Collection de cas cliniques d’endodontie

TruNatomy est une solution d’endodontie complète qui offre :

  • Une sensation de douceur pendant la préparation
  • Une performance et une efficacité améliorées1
  • Plus d’espace pour le débridement et le retrait des débris1
  • Respect de l’anatomie de la dent naturelle
  • Préservation de la structure de la dent

Dans cette collection de témoignages, des cliniciens partagent leurs expériences avec TruNatomy. Des cas simples2 aux cas complexes,3 TruNatomy est une solution qui suit les cliniciens dans leur cabinet au quotidien.


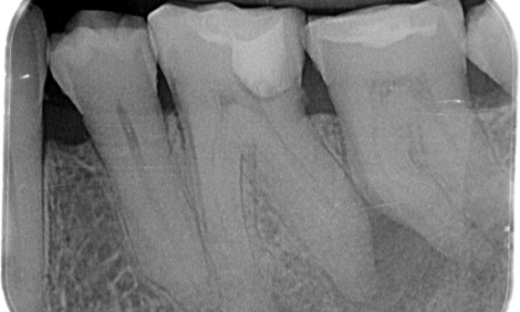
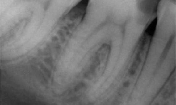
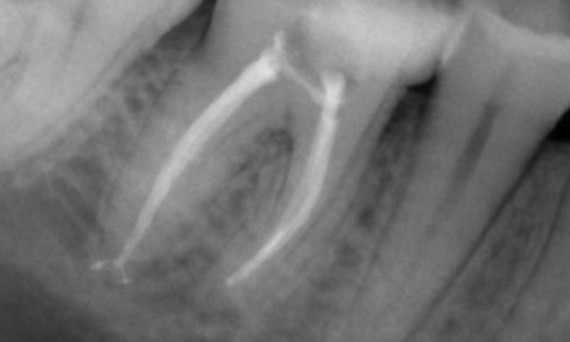
Un cas complexe avec de longues racines et un système calcifié avec un suivi de 14 mois

« Une réussite centrée sur le patient et le processus. » - Dr Cowie

Avant : Radiotransparence périapicale associée principalement à la racine distale et à la perte de la lamina dura sur la racine mésiale.

Après : TruNatomy a été choisi dans ce cas pour permettre une approche adaptée aux caries et une préservation de la dentine péricervicale, en particulier au niveau de l’aspect mésial où la restauration de la dent était minimale.

Dr Jonathan Cowie (endodontiste spécialisé)

Bath, Royaume-Uni


Une approche de restauration en matière d’endodontie

« J’ai choisi TruNatomy pour pouvoir préserver autant de dentine que possible afin de surmonter le défi lié à la charge occlusale et d’augmenter la longévité de la dent. » - Dr Abuelezz

Avant : L’examen a révélé une lésion carieuse liée à la première molaire mandibulaire droite. L’examen radiographique a révélé la proximité de la lésion avec la corne pulpaire et, en l’associant à la plainte principale, un diagnostic final de pulpite chronique irréversible a été posé.

Après : La cavité d’accès a été réalisée de la manière la plus conservatrice possible. TruNatomy a été le système de choix en raison de l’âge du jeune patient. Nous devions préserver la dentine autant que possible afin d’augmenter la capacité de la dent à surmonter la charge occlusale et d’accroître la longévité de la restauration finale.

Dr Ahmed Hussein Abuelezz (PHD en endodontie)

Le Caire, Egypte


Contactez-nous

Pour en savoir plus sur nos produits et solutions endodontiques.

1 Comparé à ProTaper Next

2 Dr Filippo Santarcangelo (PDF S. 8 - Cas cliniques et témoignages)

3 Dr Jonathan Cowie (PDF S. 12 - Cas cliniques et témoignages)