Apprenez-en davantage sur l’ensemble de sécurité Windows 11 de Dentsply Sirona pour continuer à assurer la sécurité et la compatibilité de vos appareils Dentsply Sirona.
La dentisterie est un domaine dynamique qui évolue constamment grâce aux nouvelles techniques et technologies. Les cours de diagnostic de Dentsply Sirona vous apprendront à combiner les informations cliniques avec les données radiographiques pour établir un diagnostic précis et planifier les traitements appropriés, même pour des cas complexes. Dans le cadre de ces cinq cours, nous nous concentrerons sur les procédures d’examen complet et l’évaluation diagnostique des patients, notamment l’examen clinique, l’établissement du dossier dentaire et l’évaluation radiographique.
La collecte des données du patient est essentielle pour établir un diagnostic dentaire susceptible de générer un plan de traitement complet et bien ordonné. Ce cours décrira une rubrique systématique et séquentielle pour la collecte des antécédents dentaires et médicaux, en mettant l’accent sur l’utilisation d’un style d’écoute active et sur l’engagement du patient. De plus, les étapes des examens séquentiels extrabuccaux et des tissus mous et durs intrabuccaux seront présentées. Enfin, ce cours d’introduction décrira les radiographies appropriées nécessaires à un diagnostic précis, fondé sur les résultats cliniques et les antécédents du patient.
Dans ce cours, nous continuerons d’élargir les principes de collecte des données illustrés dans les Fondamentaux du diagnostic dentaire I, en mettant l’accent sur des outils et des dispositifs diagnostiques additionnels, les pièces de dossiers supplémentaires qui devraient être réunies (moulages, numérisations, photographies) et les étapes finales de la création d’une liste de problèmes. Ce cours mettra en lumière les termes et les significations les plus acceptés pour le diagnostic dentaire final, comme fondement de la création d’un plan de traitement robuste et séquentiel.
Après une évaluation approfondie du patient et l’établissement d’un diagnostic dentaire formel (phase I), des plans de traitement visant à répondre au diagnostic et aux souhaits du patient doivent être formulés pour lui être présentés. Pour l’acceptation par le patient et l’optimisation des résultats du traitement, il est essentiel de créer des scénarios de traitement recommandés et alternatifs à l’attention du patient, d’une manière systématique et fondée sur les priorités.
La collecte de données radiographiques intra-orales est essentielle pour un diagnostic optimal et la planification du traitement, ainsi que pour le séquençage de la thérapie. Le cours sur le diagnostic dentaire examine les bases de l’évaluation systématique des radiographies intrabuccales, en discutant des recommandations pour une sélection radiographique appropriée équilibrant protection du patient et collecte d’informations diagnostiques.
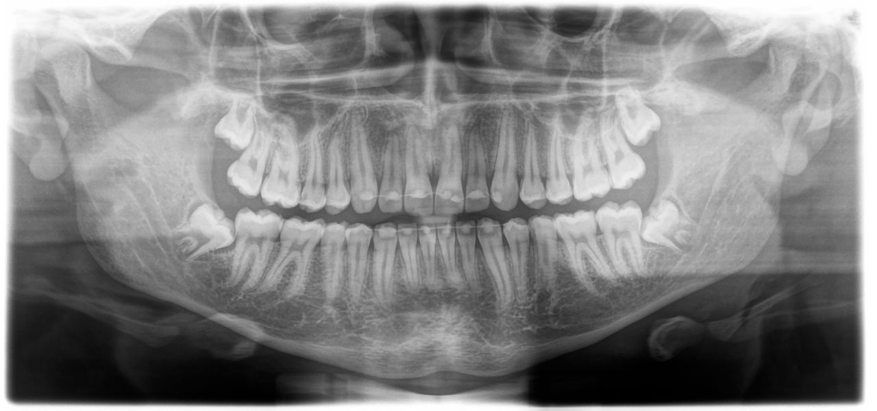
La collecte de données radiographiques panoramiques est essentielle pour un diagnostic optimal et la planification du traitement, ainsi que pour le séquençage de la thérapie. Le cours examine les bases de l’évaluation systématique des images panoramiques. Il couvre également les repères anatomiques ordinaires ainsi que les anomalies courantes observées sur les radiographies panoramiques.
Le professeur Latta est doyen émérite et professeur de dentisterie générale de l’École de dentisterie de l’Université de Creighton.
Il est conférencier international et chercheur clinique, et a obtenu 120 subventions de recherche sur les matériaux dentaires, les adhésifs et les ciments. Il a dirigé de nombreux essais cliniques de matériaux dentaires et a publié plus de 130 documents et 200 résumés. Après avoir exercé pendant quatre ans dans un cabinet dentaire privé, le Dr Latta a rejoint la Division des produits de laboratoire de Dentsply International, où il a occupé de nombreuses fonctions, dont celle de directeur de la recherche et du développement.
Le directeur a été rémunéré par Dentsply Sirona pour la production de ce contenu.