Apprenez-en davantage sur l’ensemble de sécurité Windows 11 de Dentsply Sirona pour continuer à assurer la sécurité et la compatibilité de vos appareils Dentsply Sirona.
Ensemble de sécurité Windows 11 En savoir plus
Rejoignez-nous pour un événement créé exclusivement pour les orthodontistes et leur équipe. Découvrez une formation clinique immersive, des parcours de formation animés par des experts et des flux de travail numériques concrets. Rencontrez vos pairs et découvrez de nouvelles opportunités pour améliorer votre pratique et renforcer les compétences de votre équipe.
Notre stratégie de développement durable est fondamentale pour notre mission et toutes nos actions en tiennent compte.
DS Academy
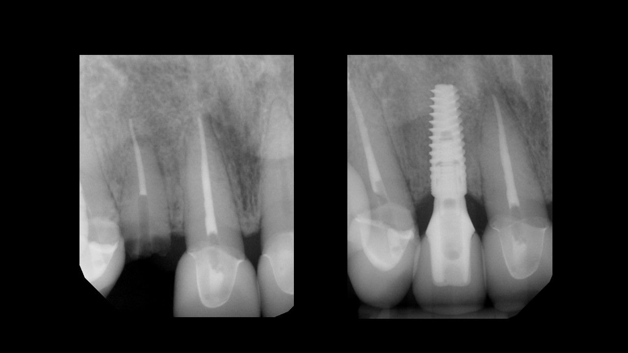
En utilisant un enseignement basé sur les procédures1, ce niveau aidera le clinicien à évoluer vers des concepts chirurgicaux et prothétiques plus avancés grâce au traitement de cas d’implants antérieurs à dent unique.
Tout au long de ce niveau, les cas couvrent des sujets tels que : Évaluation de l’os buccal et apical pour une implantation immédiate, Greffe autour d’implants immédiats (technique de la double zone), Définir l’orientation de l’implant – Les règles de six, Évaluer la stabilité primaire pour une mise en charge immédiate, Options et conceptions de piliers CAO/FAO. À la fin de ce niveau, les participants comprendront comment placer et restaurer un implant à dent unique dans la zone antérieure. Les participants sont invités à poursuivre leur formation au niveau 4, qui se concentrera sur les cas d’implants multiples.
1. Le programme consacré à l’implantologie est une série de cours interactifs basés sur les procédures qui utilisent des cas individuels pour enseigner le traitement actuel des implants. Cette approche est contraire à l’éducation dentaire conventionnelle qui se concentre davantage sur les sujets et la théorie didactiques. L’objectif de cette approche pédagogique est de mettre en évidence les patients et les procédures rencontrés dans la pratique clinique quotidienne, où les concepts les plus importants sont observés et discutés dans de multiples scénarios cliniques.
Sur la base des procédures : Cours de niveau 2
Sur la base des procédures : Cours de niveau 4
© 2026 - Dentsply Sirona, Inc. Tous droits réservés