Apprenez-en davantage sur l’ensemble de sécurité Windows 11 de Dentsply Sirona pour continuer à assurer la sécurité et la compatibilité de vos appareils Dentsply Sirona.
Ensemble de sécurité Windows 11 En savoir plus
Rejoignez-nous pour un événement créé exclusivement pour les orthodontistes et leur équipe. Découvrez une formation clinique immersive, des parcours de formation animés par des experts et des flux de travail numériques concrets. Rencontrez vos pairs et découvrez de nouvelles opportunités pour améliorer votre pratique et renforcer les compétences de votre équipe.
Notre stratégie de développement durable est fondamentale pour notre mission et toutes nos actions en tiennent compte.
DS Academy
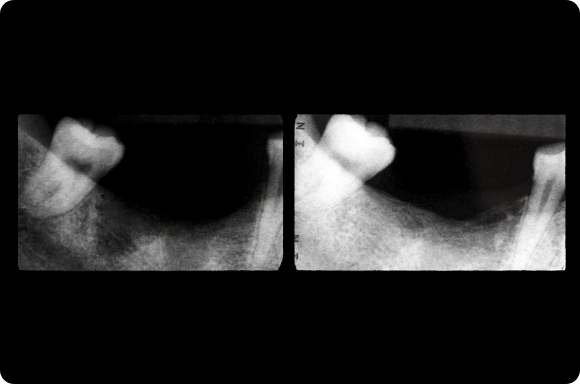
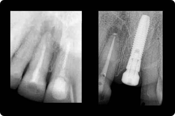
Ce cours de niveau maîtrise aborde à la fois la prévention et la gestion des complications chirurgicales et restauratrices. Dans le domaine chirurgical, la présentation se concentre sur l’échec précoce de l’implant et la maladie péri-implantaire ultérieure. Les concepts prothétiques comprendront la conception de prothèses préventives, le retrait des vis/piliers et un séquençage qui reconnaît l’importance de l’expérience du patient.
Le programme consacré à l’implantologie est une série de cours interactifs basés sur les procédures qui utilisent des cas individuels pour enseigner le traitement actuel des implants. Cette approche est contraire à l’éducation dentaire conventionnelle qui se concentre davantage sur les sujets et la théorie didactiques. L’objectif de cette approche pédagogique est de mettre en évidence les patients et les procédures rencontrés dans la pratique clinique quotidienne, où les concepts les plus importants sont observés et discutés dans de multiples scénarios cliniques.
Sur la base des procédures : Cours de niveau 6
Maîtrise : Cours de niveau 8
© 2026 - Dentsply Sirona, Inc. Tous droits réservés