NOUS JOINDRE

Communiquez avec nous pour obtenir plus de renseignements

Communiquez avec l’un de nos spécialistes des produits de restauration pour en savoir plus sur la famille des ciments Calibra.

Le choix universel facile

Le ciment-résine autoadhésif Calibra Universel est un ciment autoadhésif à deux composants, à photo et autopolymérisation et à haute résistance qui contient du fluorure.

Le ciment universel Calibra combine la teinte esthétique à un adhésif automordançant, ce qui le rend idéal pour le scellement permanent du métal, du PFM, de la résine/du composite, des incrustations de porcelaine et de céramique, des incrustations de surface, des couronnes et des ponts et des pivots endodontiques sans application d’un agent/système de liaison adhésif pour dentine/émail distinct.

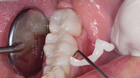
Grâce à sa grande fenêtre de polymérisation de prise allant jusqu’à 10 secondes1 et à sa phase de gel prolongée de 45 secondes, le ciment Calibra Universel assure un nettoyage facile et sans contrainte pour toutes les restaurations en zircone+ CEREC.

La haute radio-opacité de Calibra Universel permet de voir clairement le matériau à l’intérieur de la couronne. Cela aide à éviter un mauvais diagnostic des vides ou des vides, ce qui peut entraîner des reprises coûteuses. 

Avantages

Pourquoi choisir Calibra Universal?

Forte adhérence immédiate en 6 minutes pour une forte adhérence initiale

Technique de nettoyage simplifiée : fenêtre de polymérisation de 10 secondes et phase de gel prolongée de 45 secondes¹.

La cimentation en une seule étape signifie aucun gel de mordançage ou adhésif supplémentaire

5 options de teintes esthétiques avec la technologie Shade Stable éliminent pratiquement tout changement de couleur avec le temps

Radio-opacité la plus élevée

Performance de liaison robuste

Obtenez la fiabilité et la prévisibilité d’une résistance de liaison immédiate et à court terme éprouvée pour des résultats durables2.

Matériaux recommandés pour les restaurations avec Calibra Universal

Guide des ciments dentaires

Trouvez le ciment qui convient à votre restauration

Téléchargements

463 KB

Nous joindre

En savoir plus sur nos produits et solutions de restauration.

1. La fenêtre de polymérisation de prise de 10 secondes est égale à 5 secondes de polymérisation par surface. Pour le nettoyage excédentaire du ciment, il est recommandé d’utiliser des lumières à DEL de sortie mono-ondes avec une seule sortie de crête autour de 470 nm. Une lumière à haute puissance, à double ou à large spectre peut causer un durcissement prématuré de l’excès de ciment. Vérifier l’effet de la lampe de photopolymérisation sur le ciment-résine mélangé en laboratoire avant l’utilisation clinique.

2. RelyX supprime Unicem2 et Maxcem supite ne sont pas des marques déposées de DentsplySirona Inc.