Apprenez-en davantage sur l’ensemble de sécurité Windows 11 de Dentsply Sirona pour continuer à assurer la sécurité et la compatibilité de vos appareils Dentsply Sirona.
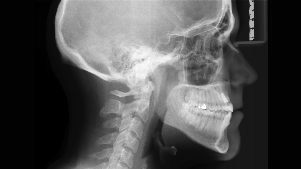
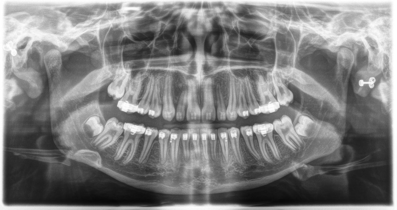
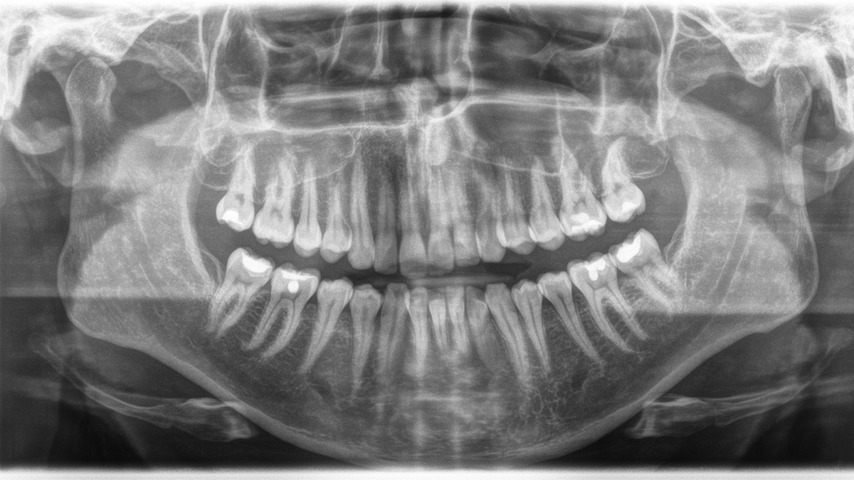
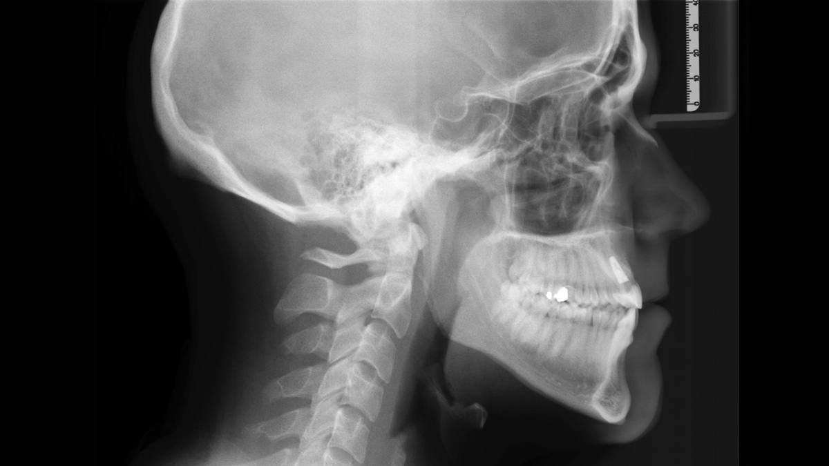
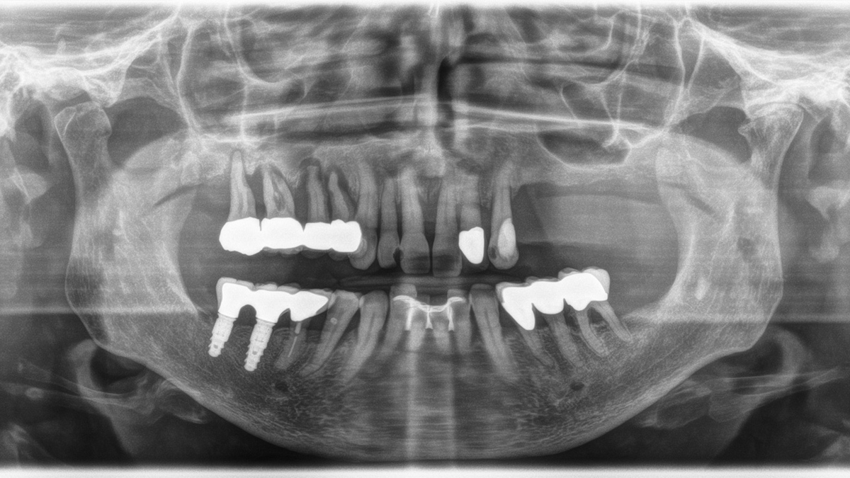
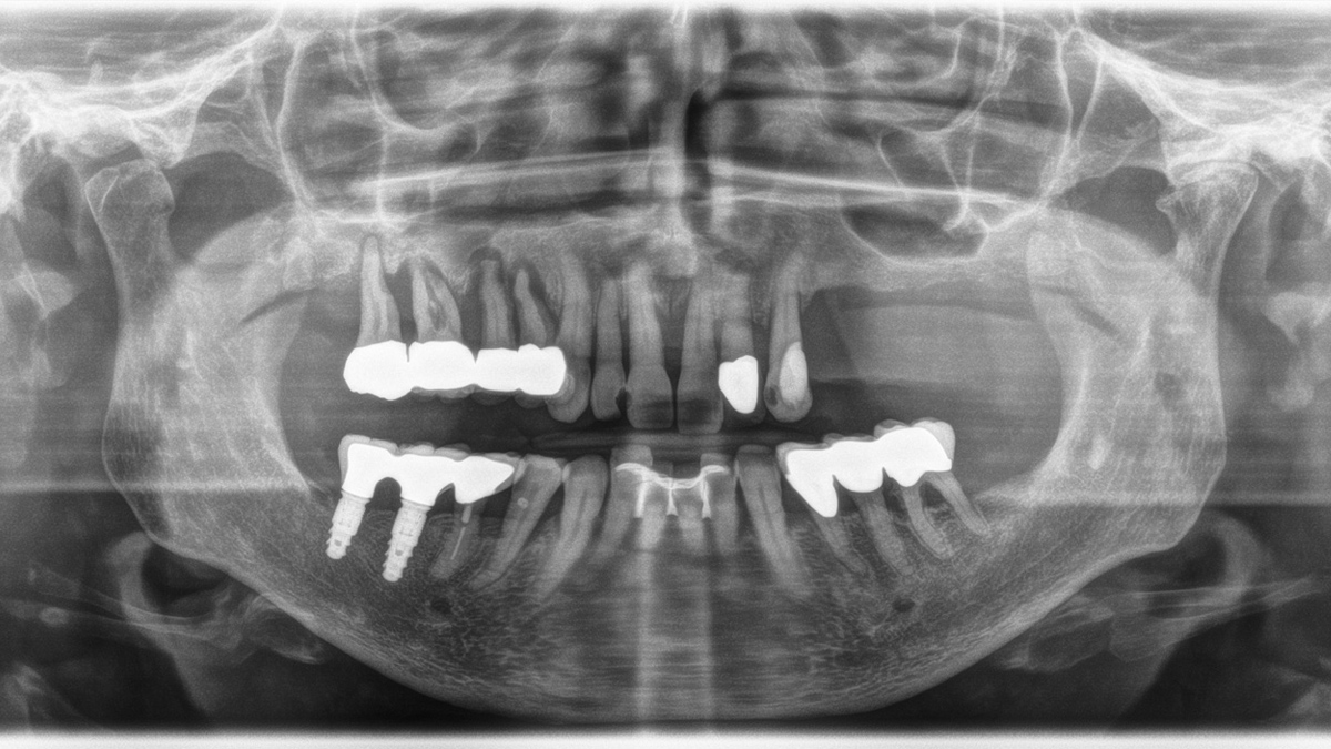
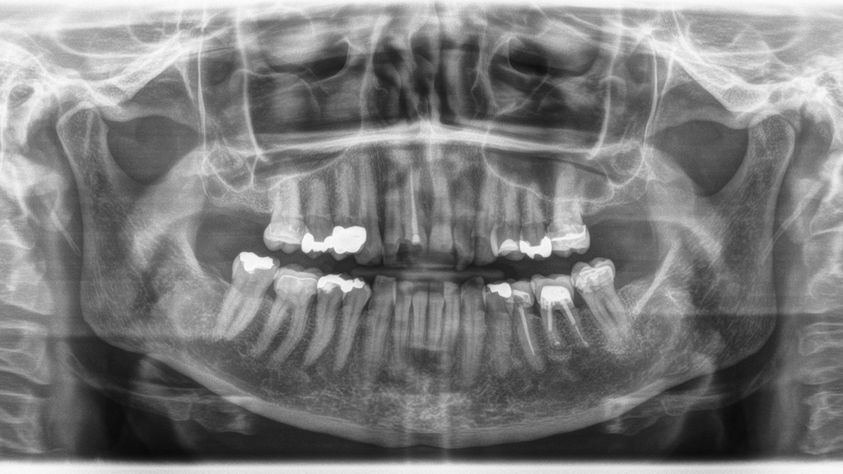
L’unité de radiographie 2D vous permet d’entrer en douceur dans le monde de l’imagerie numérique. Grâce à la technologie de capteur CsI et à son interface conviviale, vous êtes assurés d’un diagnostic fiable à tout coup. L’option céphalométrique fait également d’Orthophos E un partenaire fiable pour l’orthodontie. Enrichissez votre cabinet d’une vaste gamme de services qui ne sont possibles qu’avec l’imagerie numérique.
Avantages
Grâce au capteur 2D CsI et à une qualité d’image fiable
Avec les supports motorisés des tempes et du front, la mesure automatisée de la largeur des temples, les localisateurs de lumière et les poignées intégrées pour une meilleure stabilité du positionnement
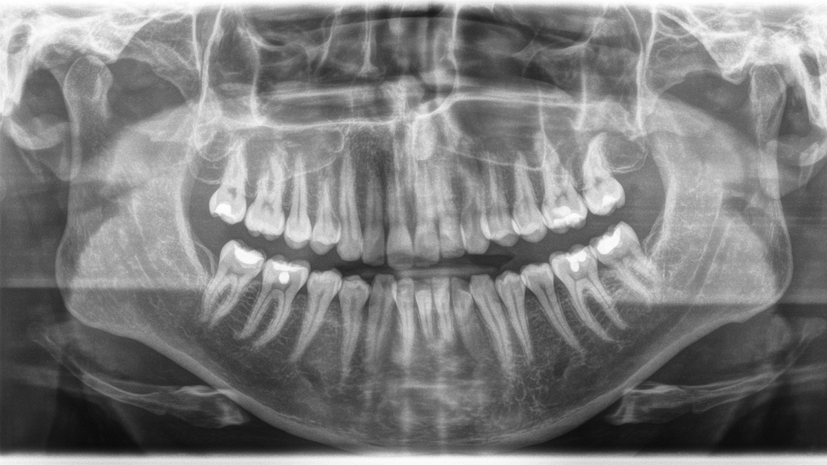
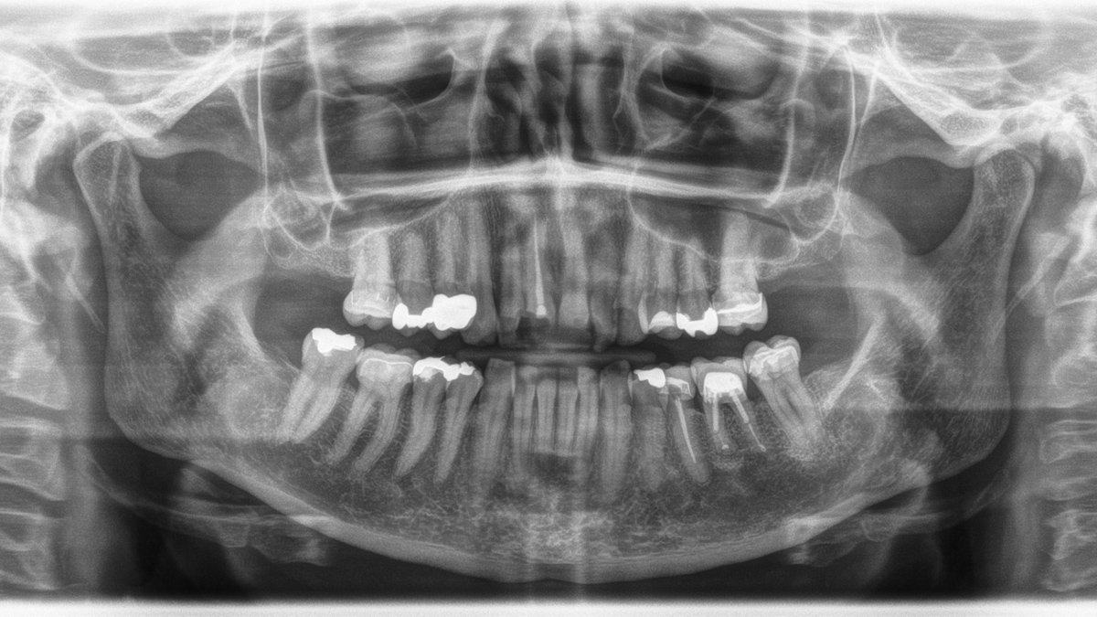
Pour les diagnostics de base en 2D
Pour un soutien diagnostique optimal en orthodontie, un bras céph gauche peut être commandé ou ajouté à tout moment
Avec le panneau de commande MultiPad
Orthophos E est doté de deux localisateurs de lumière intégrés pour faciliter le positionnement idéal dans la couche nette (sharp layer). Les supports motorisés des tempes et du front soutiennent la tête du patient et empêchent le flou de mouvement.
Pour obtenir plus de détails, veuillez consulter les exigences du système Sidexis 4.
Les unités de radiographie de Dentsply Sirona fonctionnent exclusivement avec Sidexis 4. Néanmoins, la migration des données de Sidexis XG à Sidexis 4 est très facile. Sidexis 4 permet de profiter pleinement de l’expérience numérique avec les outils les plus récents