Appelez-nous ou laissez vos coordonnées ci-dessous, et un représentant Dentsply Sirona vous contactera prochainement.
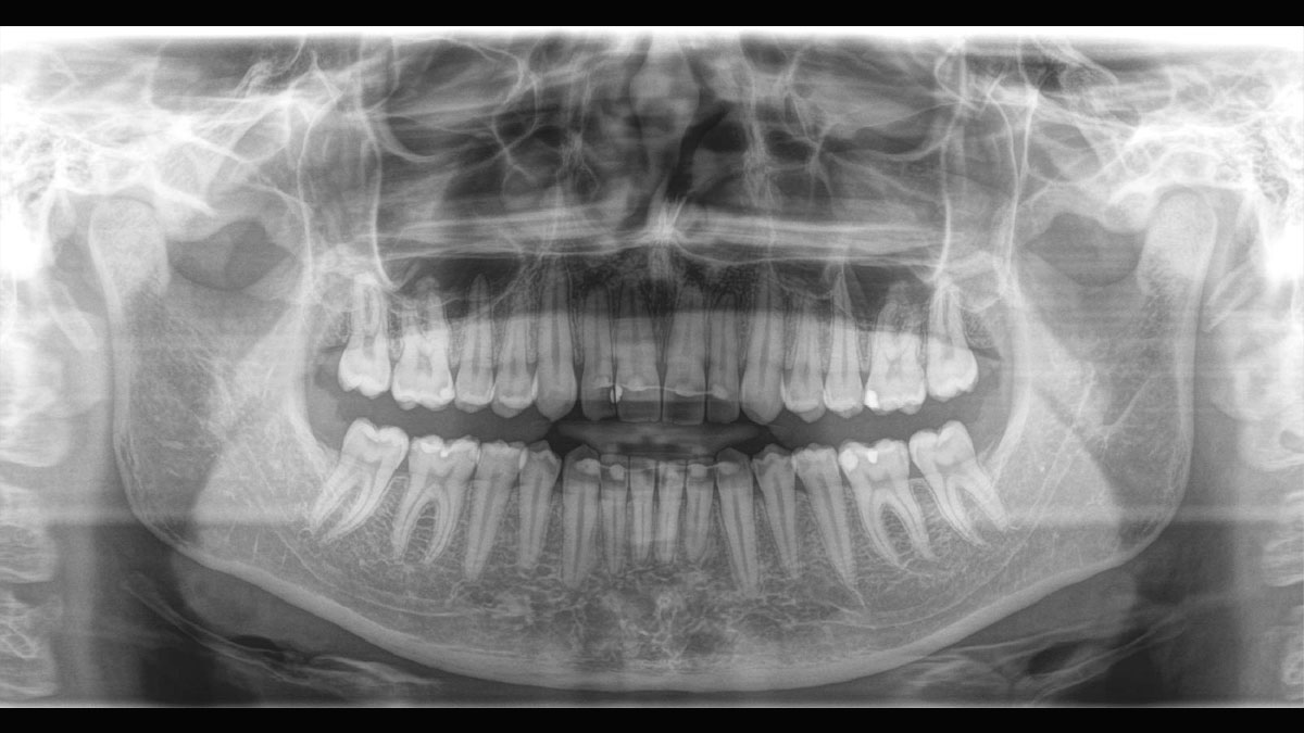
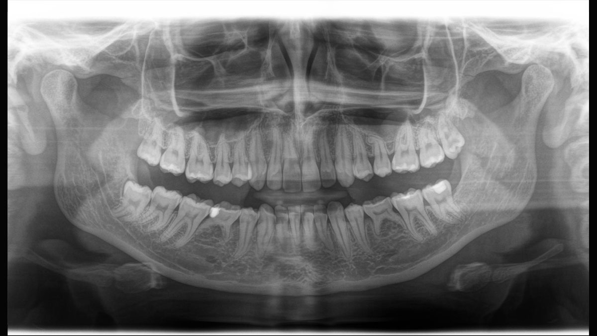
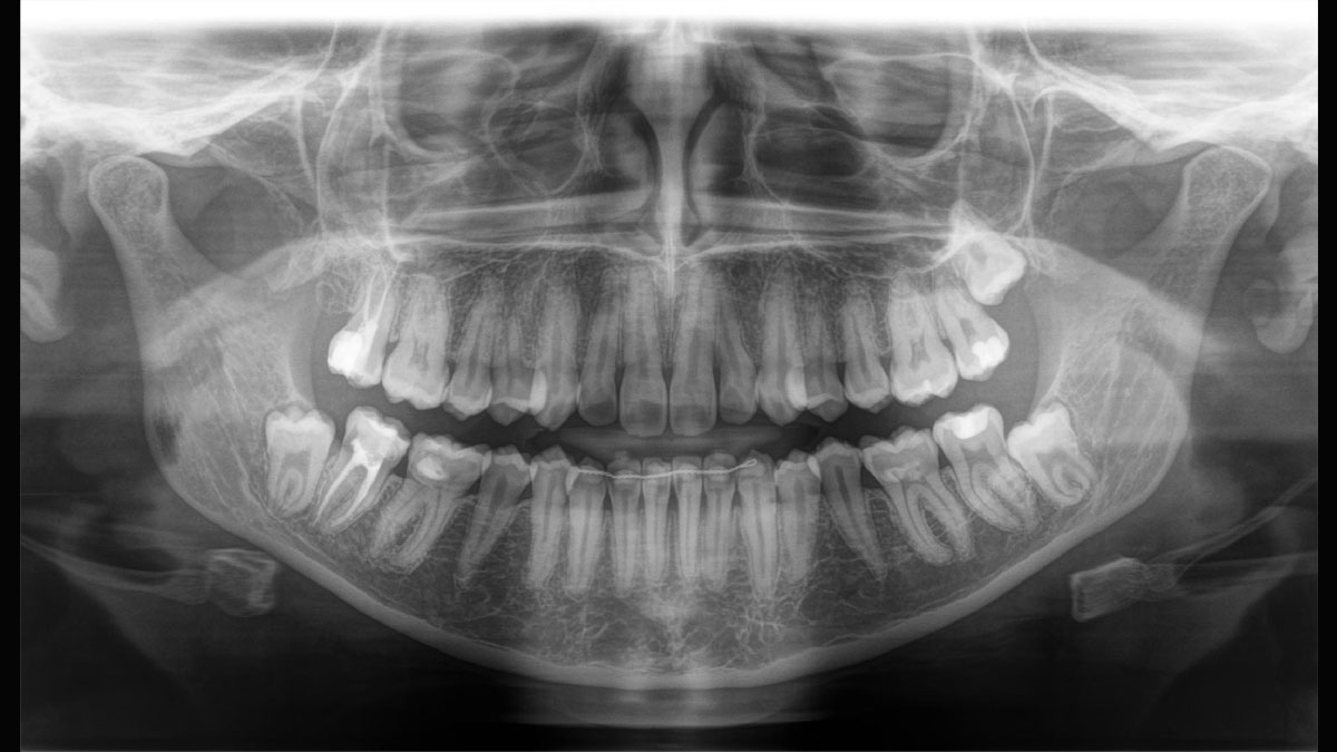
The top-quality 2D/3D high-end device for practices with a keen understanding of the latest technologies and for those who simply want more. The integrated Direct Conversion Sensor (DCS) completely redefines the standard of panoramic imaging – delivering unique sharpness. The namesake, Sharp Layer technology, provides autofocused panoramic images, even in difficult cases. The Orthophos SL guarantees maximum ease of use through automatic positioning, intuitive operation with the EasyPad and offers an individually adjustable ambient light for an exclusive look and feel.
Benefits
Facilitated by the unique Direct Converstion Sensor for exceptional image quality
The sharp layer technology helps ensure that your images are displayed in optimal sharpness on different levels
Auto positioning with the patented occlusal bite block and the intuitive EasyPad provide consistent reliability
With the motorized temple and forehead supports, automatic temple width measurement, light localizers and integrated handles for additional positioning stability
For bitewing, sinus or ceph images. An optional left or right ceph arm can be added at the time of purchase or retrofitted at any time
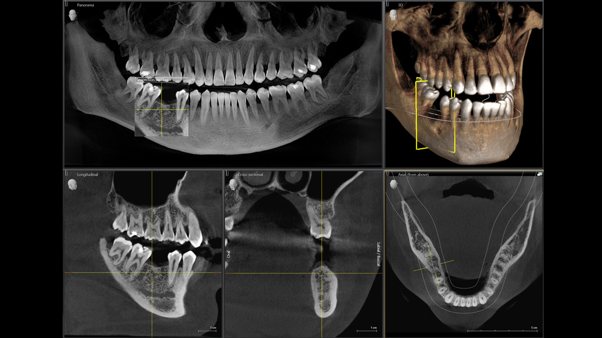
With the 3D Low Dose mode, you get 3D images in the dose range of a 2D X-ray. In HD mode (up to 1,400) individual images are captured during a single rotation and converted into a 3D volume with up to 80 μm for low-noise images in high resolution
With a selection of over 30 colors, the Ambient Light of the Orthophos SL creates a pleasant atmosphere for your patient and blends in perfectly with your modern practice look
Ø 5cm x 5.5cm to Ø 8cm x 8cm or Ø 11cm x 10cm
The Direct Conversion Sensor (DCS) has redefined the standard of panoramic imaging. X-rays are converted directly into electrical signals – unlike conventional systems, there is no signal loss due to light conversion, which facilitates an improved image information output. The result is images with a uniquely high level of sharpness - even at an extremely low dose.
It is not only because of my interest in technology that I find the combination of direct conversion technology and the reconstructive sharp layer procedure in the Orthophos SL to be truly exciting. The resulting precise images work perfectly for interpretation. In combination with the volume selection in 3D, we have a universally applicable diagnostic partner for our practice."
Marcin Wojtunik, Specialist in oral surgery, Pfronten, Germany
We developed a 10-point concept for easy patient positioning and X-ray imaging. Our concept is primarily about two things: high image quality and comfort for the patient and the assistant. This concept supports and provides the tools needed to ensure high-quality images for treatment analysis and focuses on ergonomics and comfort for the patient and assistant.
The patented bite block technology, for example, automatically establishes the correct inclination of the patient's head, positioning the patient in the occlusal plane, partnering with the 3 point head fixation and firm handles to ensure stable positioning-limiting unnecessary correction scans.
The right focus is crucial for excellent panoramic radiographs. With the autofocus function, you will automatically receive an image with the best possible sharpness in focus. The Orthophos SL creates several thousand individual images in one cycle and automatically recognizes the areas in which the jaw is optimally positioned. A sharp panoramic image is then created from the individual projections - without any manual intermediate steps.
A broad range of volume sizes to support your various diagnostic and clinical needs from Ø 5 x 5.5 cm to Ø 11 x 10 cm
Vous trouverez d’autres téléchargements dans notre Centre de téléchargement.
For more details please see Sidexis 4 system requirements.
Dentsply Sirona x-ray units work exclusively with Sidexis 4. Nevertheless data migration from Sidexis XG to Sidexis 4 is very easy. Sidexis 4 allows for the full digital experience with the latest tools
Orthophos SL 2D and the Orthophos S 2D allow a 3D upgrade. Axeos is a dedicated hybrid unit. The Orthophos E does not offer this option.