Cette collection présente divers cas cliniques qui illustrent la plage étendue d’indications applicables au CEREC Tessera : des restaurations effectuées en consultation unique aux défis hautement esthétiques et aux réhabilitations bucco-dentaires complètes, y compris les restaurations fabriquées en laboratoire.
Laissez-vous inspirer et découvrez comment cette technologie intelligente peut soutenir votre travail afin d’offrir une meilleure expérience de traitement, plus sûre et plus rapide, pour vous et vos patients.


Amélogenèse imparfaite

Restauration complète de la bouche avec 28 restaurations tout céramique

Un cas particulier et prolongé de malocclusion squelettique de classe II et d’amélogenèse imparfaite généralisée chez un adolescent a été référé pour une réhabilitation prothétique. L’objectif du traitement était de préparer la structure dentaire restante, d’éliminer les contre-dépouilles et de faire de la place pour des couronnes entièrement en céramique couvrant toute la dentine et simulant l’émail perdu.

Avant : Situation initiale avant le traitement orthodontie.

Après : Résultat final, 1 semaine après l’opération.

Alexander Declerck, (DDS, MSc)

Laethem-Saint-Martin, Belgique


Facettes à préparation minimale après un traumatisme des incisives centrales maxillaires

Restauration avec un matériau hautement esthétique en un jour après un traumatisme des incisives centrales maxillaires.

Avant : Situation clinique préopératoire. Traumatisme des incisives centrales maxillaires

Après : Restaurations collées.

Dr. Mohamed Hassanien

Le Caire, Egypte


Réhabilitation esthétique d’une amélogenèse imparfaite

CEREC Tessera

Une restauration esthétique dans la région antérieure a pu être réalisée avec des restaurations CEREC Tessera en laboratoire, facettes en Celtra Ceram .

Avant : l’objectif du traitement était de réhabiliter le maxillaire antérieur et la mandibule pour une amélioration esthétique. Le diagnostic clinique a révélé une ameloenesis imperfecta.

Après : restauration fabriquée en laboratoire à partir de la céramique avancée au disilicate de lithium CEREC Tessera et, pour un résultat esthétique élevé, facettes en Celtra Ceram.

Sabine Mayer (CDT)

Coblence, Allemagne

Mario Pace (CDT)

Lahnstein, Allemagne


Deuxième molaire mandibulaire droite en 90 minutes

Un onlay CEREC Tessera

Une patiente de 20 ans a subi un traitement endodontique de sa 2e molaire mandibulaire. Un onlay a été fabriqué en consultation à partir de la nouvelle céramique à haute résistance CEREC Tessera ALD.

Avant : Scénario clinique préopératoire après le traitement endodontique.

Après : 1 mois après le collage de l’onlay CEREC Tessera.

Dr. Aniruddha Nene

Pune, Inde


Amélogenèse imparfaite

Restauration complète de la bouche avec 28 restaurations tout céramique

Un cas particulier et prolongé de malocclusion squelettique de classe II et d’amélogenèse imparfaite généralisée chez un adolescent a été référé pour une réhabilitation prothétique. L’objectif du traitement était de préparer la structure dentaire restante, d’éliminer les contre-dépouilles et de faire de la place pour des couronnes entièrement en céramique couvrant toute la dentine et simulant l’émail perdu.

Avant : Situation initiale avant le traitement orthodontie.

Après : Résultat final, 1 semaine après l’opération.

Alexander Declerck, (DDS, MSc)

Laethem-Saint-Martin, Belgique


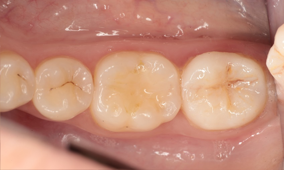
Restauration de la deuxième molaire mandibulaire en consultation

Couronne partielle CEREC Tessera

Une deuxième molaire mandibulaire sensible présentait des fissures ainsi qu’une restauration composite de classe I étendue sur la face vestibulaire. Conformément au concept mini-invasif, une couronne partielle CFAO a été planifiée, fabriquée et collée à l’aide du CEREC Tessera en une seule visite.

Avant : Restauration en amalgame défaillante nécessitant un remplacement. Patient se plaignant de sensibilité et dent présentant de multiples fissures.

Après : Restauration d’une couronne partielle CFAO réalisée en consultation avec la vitrocéramique CEREC Tessera Advanced Lithium-Disilicate.

Carlos Eduardo Sabrosa

Rio de Janeiro, Brésil


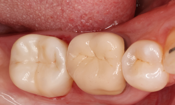
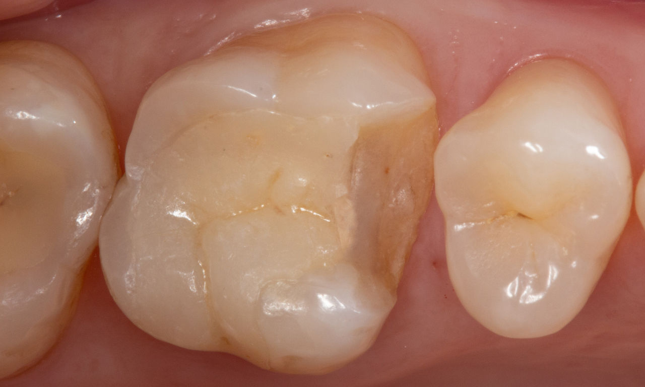
Première molaire supérieure, en 100 minutes

Un inlay CEREC Tessera

La restauration lors d’une consultation unique s’est avérée être une solution particulièrement efficace et confortable pour cette patiente, qui devait effectuer un trajet de 50 kilomètres pour se rendre au cabinet. Un inlay très esthétique a pu être réalisé avec CEREC Tessera.

Avant : Restauration en céramique fracturée réalisée à partir d’une vitrocéramique renforcée à la leucite après une durée d’utilisation clinique de 12 ans.

Après : Restauration fabriquée en consultation à partir d’une céramique avancée au disilicate de lithium CEREC Tessera.

Dr. Sven Rinke

Hanau, Allemagne


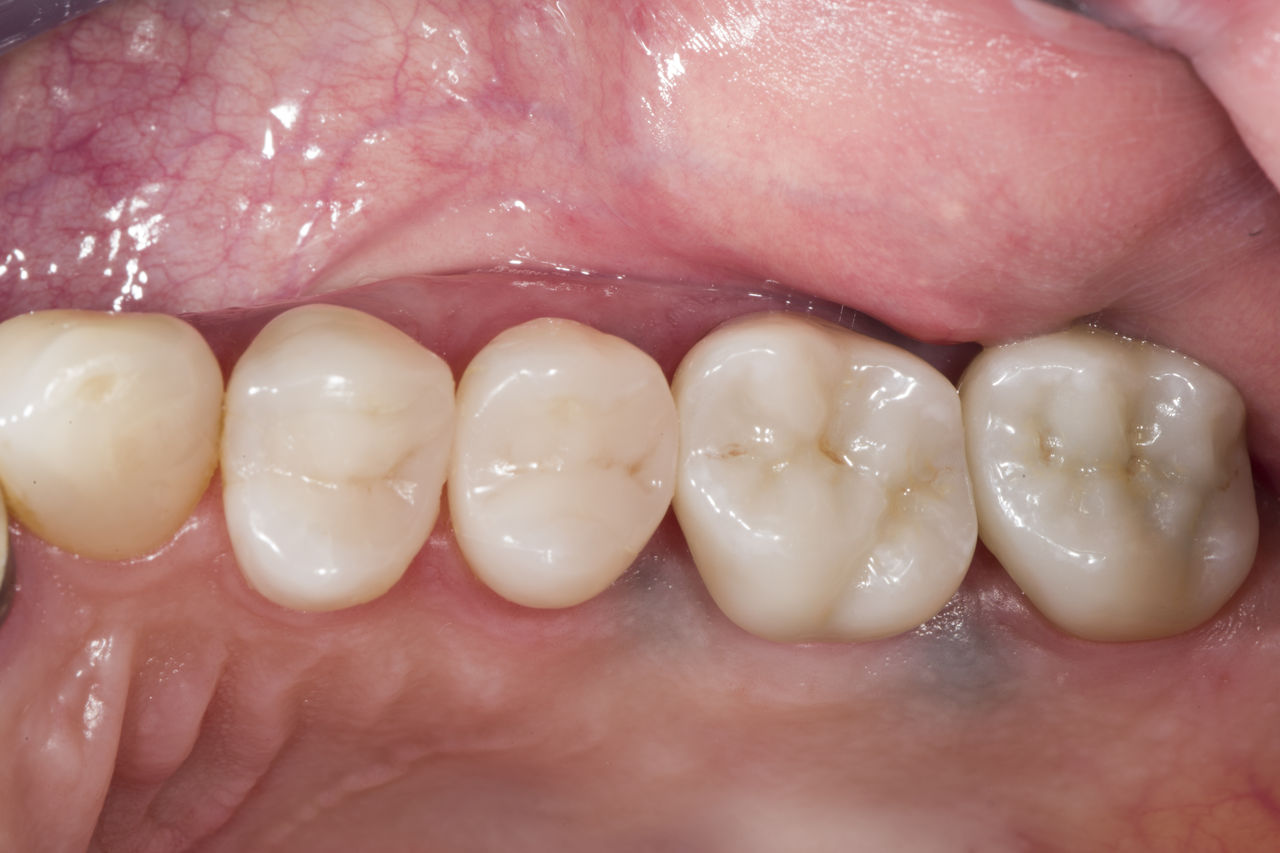
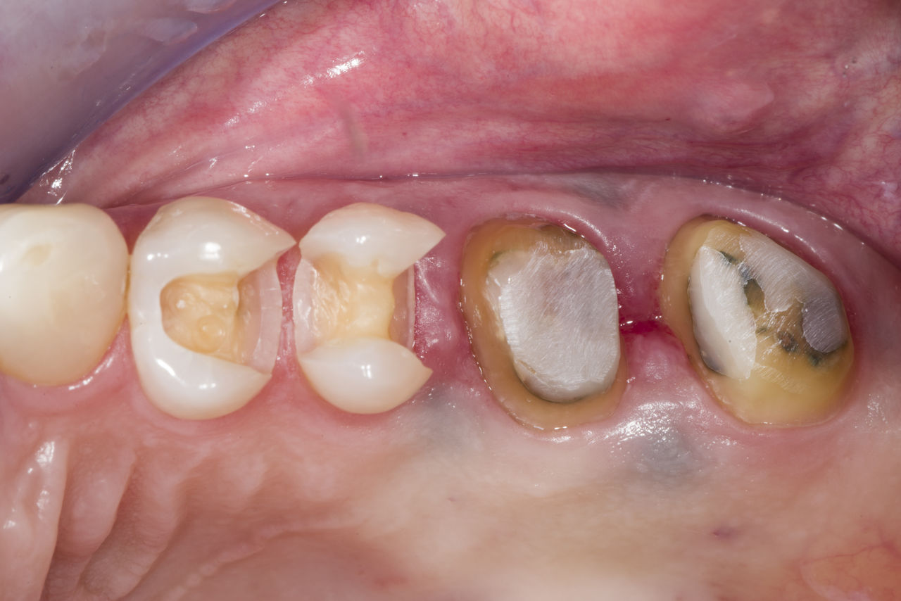
Réhabilitation du quadrant

Deux couronnes CEREC Tessera et deux inlays 

En une seule visite de quatre heures, la restauration de deux couronnes et de deux inlays, vieux de 15 ans, a été réalisée. La patient était très satisfaite du très bon résultat esthétique.

Avant : Plombages insuffisants dans le deuxième quadrant. Les restaurations avaient environ 15 ans.

Après : Couronnes fabriquées en consultation à partir du CEREC Tessera (dents 26/27). Inlays pour les dents 24 et 25 en blocs de composite.

Dr Andreas Bindl

Zurich, Suisse


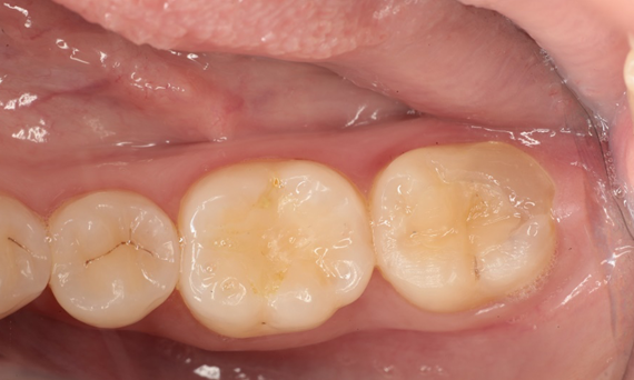
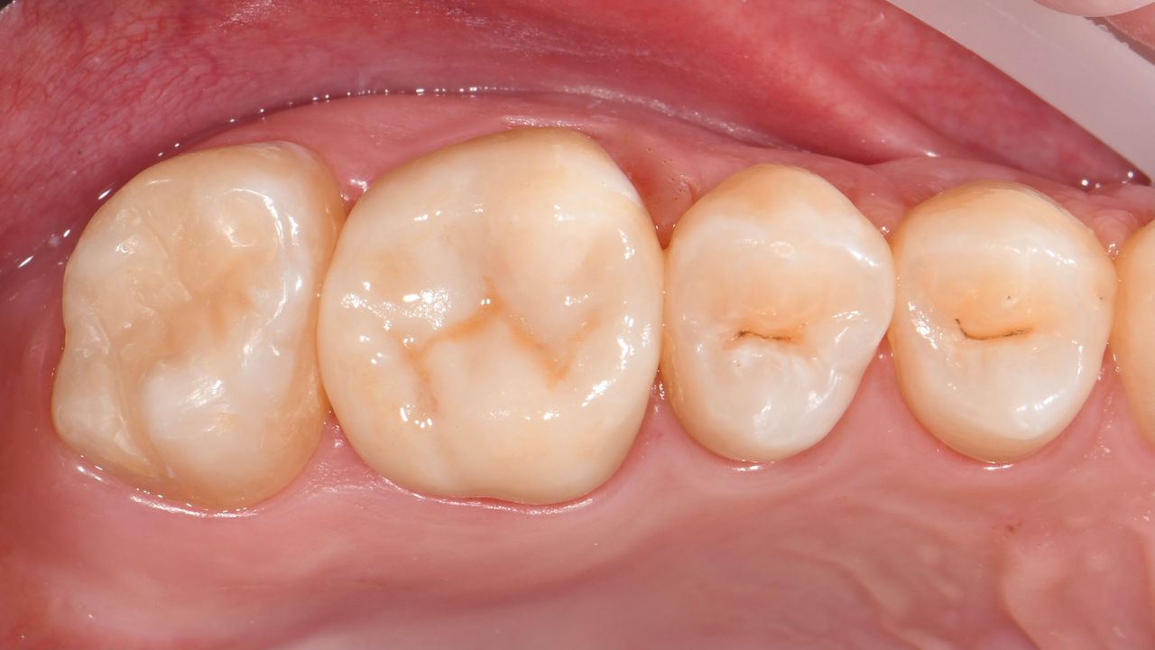
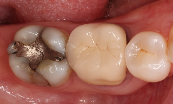
Première molaire maxillaire en 90 minutes 

Une couronne CEREC Tessera

La restauration de la première molaire maxillaire a été possible en une seule visite grâce au flux de travail CEREC efficace, avec CEREC Primemill et CEREC SpeedFire. Le patient a été extrêmement satisfait de la courte durée du traitement et du résultat esthétique.

Avant : La première molaire maxillaire avait été restaurée avec un plombage composite étendu mais insuffisant qui présentait déjà des fractures visibles.

Après : Restauration fabriquée en consultation à partir d’une céramique avancée à base de disilicate de lithium, CEREC Tessera.

Dr. Shivi Gupta

San Diego, États-Unis


Contactez-nous

Contactez-nous pour en savoir plus sur nos produits et solutions de restauration.