Verzameling endodontische klinische casussen

TruNatomy is een complete, endodontische oplossing die het volgende biedt:

  • Soepel gevoel tijdens het prepareren;
  • Verbeterde prestatie en effectiviteit1;
  • Meer ruimte voor debridement en verwijderen van debris1;
  • Respect voor de natuurlijke tandanatomie en
  • Behoud van de dentinestructuur.

In deze verzameling van testimonials, delen artsen hun ervaringen met TruNatomy. Van eenvoudige2 tot complexe3 casussen: TruNatomy is een oplossing, die clinici in hun dagelijkse praktijk volgt.


A complex case with long roots and a calcified system with a 14 month follow-up

"A patient and process centered success." - Dr. Cowie

Vóór: Periapicale radiolucentie aan de distale wortel en verlies van lamina dura aan de mesiale wortel.

Na: TruNatomy werd voor deze casus gekozen om een cariësgerichte benadering en een focus op pericervicale dentineconservering mogelijk te maken, vooral op het mesiale aspect waar de tand een meer minimale restauratie had.

Dr. Jonathan Cowie (specialist endodontist)

Bath, Verenigd Koninkrijk


Een restauratieve benadering van endodontie

"Ik koos voor TruNatomy om zoveel mogelijk dentine te behouden, voor bestendigheid tegen occlusale belasting en een langere levensduur van de tand." - Dr. Abuelezz

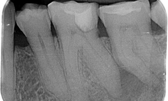
Vóór: Bij onderzoek werd een cariëslaesie geconstateerd aan de eerste molaar rechtsonder. Uit radiologisch onderzoek bleek dat de laesie zich nabij de pulpahoorn bevond en in combinatie met de voornaamste klacht, werd een definitieve diagnose van chronische, onomkeerbare pulpitis gesteld.

Na: De toegangsholte werd zo conservatief mogelijk gerealiseerd. TruNatomy was het voorkeurssysteem, vanwege de jonge leeftijd van de patiënt. We moesten de dentine zo veel mogelijk behouden, om de tand beter in staat te stellen occlusale belasting te doorstaan en de levensduur van de uiteindelijke restauratie te verlengen.

Dr. Ahmed Hussein Abuelezz (PHD in endodontie)

Caïro, Egypte


Neem contact op

Meer informatie over onze endodontieproducten en -oplossingen.

1 In vergelijking met ProTaper Next

2 Dr. Filippo Santarcangelo (S. 8 - Clinical cases and testimonials PDF)

3 Dr. Jonathan Cowie (S. 12 - Clinical cases and testimonials PDF)