Bel ons of geef hieronder uw contactgegevens op. Een vertegenwoordiger van Dentsply Sirona zal binnenkort contact met u opnemen.
Axeos – het 2D/3D specialistische systeem met een groot volume en hoge beeldkwaliteit voor praktijken met een breed behandelingsaanbod. Axeos is ontwikkeld in samenwerking met tandartsen en kaakchirurgen en biedt van alle extraorale röntgenapparaten van Dentsply Sirona de grootste reeks aan functies. Naast een uitstekende beeldkwaliteit en op maat gemaakte 3D-volumegroottes is het tandheelkundige beeldvormingsapparaat volledig geoptimaliseerd voor meer comfort voor de patiënt. Axeos biedt niet alleen kwaliteit in prestaties en comfort, maar ook met zijn bekroonde ontwerp dankzij de geïntegreerde bijtblokaccessoirekast en het omgevingslicht.
Voordelen
Talloze volumegroottes zorgen voor flexibiliteit in de dagelijkse praktijk. Onderzoek een nauwkeurig gebied of evalueer het volledige gebit, inclusief de TMJ's
Met de Intelligent Low Dose-modus krijgt u 3D-beelden in het dosisbereik van een 2D-röntgenfoto. In de HD-modus (maximaal 1400) worden afzonderlijke beelden vastgelegd tijdens een enkele rotatie en omgezet in een 3D-volume met maximaal 80 μm voor beelden in hoge resolutie met weinig ruis
Voor uitzonderlijke panoramische beelden met een hoge scherpte. U kunt optioneel kiezen voor een cephalometrische arm, die zowel links als rechts gemonteerd kan worden.
Via connectiviteit met PACS, RIS, DICOM-werklijst en DICOM-printers. Röntgenbeelden volgens de DICOM-standaard.
Met EasyPad en autopositioner voor hoge beeldkwaliteit, eenvoudige reproduceerbaarheid en comfort voor patiënt en assistent
Voor het gemakkelijk opbergen van de bijtblokaccessoires heeft de geïntegreerde kast binnenverlichting en is deze binnen handbereik van de operator
Voor efficiënte workflows en kortere wachttijden. De slimme hoogteaanpassing stelt het apparaat automatisch in op de individuele lengte van de patiënt op basis van de opgeslagen instellingen van eerdere bezoeken
Bij het vastleggen van een succesvolle medische of tandheelkundige röntgenfoto is er een voortdurend fundamenteel conflict. Enerzijds wilt u er alles aan doen om de maximale beeldkwaliteit te bereiken, anderzijds moet de stralingsdosis voor de patiënt zo laag zijn als redelijkerwijs mogelijk is. Bij Dentsply Sirona zijn we toegewijd aan het aanbieden van producten die een uitzonderlijke beeldkwaliteit garanderen en tegelijkertijd een veilige en ethische praktijk ondersteunen. Bij de ontwikkeling van onze producten houden we ons aan het internationaal geldige ALARA-principe (zo laag als redelijkerwijs mogelijk is).
Intelligent Low Dose
Dankzij de geoptimaliseerde low dose-modus met een speciaal filter is bij een sterk verlaagde dosis beeldvorming mogelijk van dichte structuren, zoals botten. Dit maakt Intelligent Low Dose een aantrekkelijke en efficiënte optie in een groot aantal klinische situaties. Of het nu gaat om orthodontie of implantologie - met oplossingen van Dentsply Sirona vindt u de optimale instelling voor elk geval.
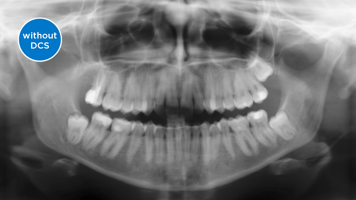
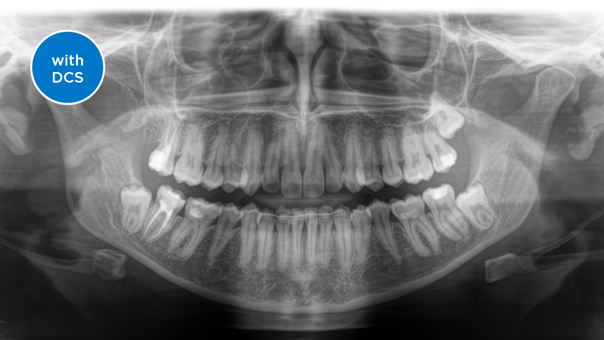
De Direct Conversion Sensor (DCS) heeft een revolutie teweeggebracht in de standaard van panoramische beeldvorming. Röntgenstralen worden direct omgezet in elektrische signalen. Er is dus geen signaalverlies door lichtconversie, zoals bij conventionele systemen het geval is. Het resultaat: beelden met een hoge scherpte en contrast – zelfs bij een extreem lage stralingsdosis. Voor nauwkeurige diagnostische informatie ter ondersteuning van gerichte behandeling.
De afbeelding hieronder toont een panoramische röntgenfoto zonder en met DCS-technologie. Sleep met behulp van de pijl de besturing over het beeld om het verschil te zien dat de directe conversiesensor maakt voor de beeldkwaliteit en diagnostische mogelijkheden.
De juiste focus is cruciaal voor hoogkwalitatieve panoramische röntgenfoto's. Met de autofocusfunctie ontvangt u automatisch een beeld met de best mogelijke scherpte. Dentsply Sirona Imaging-apparaten maken enkele duizenden afzonderlijke beelden in één cyclus en identificeren automatisch de gebieden waar de kaak optimaal is gepositioneerd. Zonder extra handmatige stappen worden deze beelden vervolgens weergegeven in een definitieve scherpe afbeelding.
Slechts enkele delen van het beeld zijn scherp, terwijl andere gebieden wazig zijn.
Het systeem detecteert de relevante gebieden van enkele duizenden afzonderlijke beelden in één cyclus en identificeert automatisch de gebieden waar de kaak optimaal is gepositioneerd.
Scherpe beelden.
Axeos is uitgerust met een omgevingslicht dat het apparaat verlicht en een kalmerende omgeving creëert om uw patiëntervaring zo aangenaam mogelijk te maken. Met een selectie van meer dan 35 kleuren om uit te kiezen, kunt u ervoor zorgen dat het perfect past bij de moderne esthetiek van uw praktijk.
De vereisten volgen die voor de beeldvormingssoftware van Sidexis 4 en Axeos. Raadpleeg voor meer informatie de systeemvereisten van Sidexis 4 en de installatievereisten van Axeos.
Dentsply Sirona 3D units werken uitsluitend met Sidexis 4. Toch is de gegevensmigratie van Sidexis XG naar Sidexis 4 heel eenvoudig. Sidexis 4 zorgt voor een volledige digitale ervaring met de nieuwste tools.
Orthophos S 2D maakt een 3D-upgrade mogelijk. Axeos is een speciale hybride unit. De Orthophos E heeft deze optie niet.