Dowiedz się więcej o pakiecie zabezpieczeń Dentsply Sirona dla systemu Windows 11, aby zapewnić ciągłe bezpieczeństwo i zgodność swoich urządzeń Dentsply Sirona.
Pakiet zabezpieczeń systemu Windows 11 Dowiedz się więcej
Poznaj przyszłość zintegrowanej stomatologii: Każde wydarzenie prezentuje wiodące w branży treści edukacyjne, najnowsze osiągnięcia, renomowanych liderów i niezrównane możliwości nawiązywania kontaktów.
Nasza strategia zrównoważonego rozwoju jest podstawą naszej misji i stanowi integralną część tego, co robimy.
Rozwiązanie TruNatomy
TruNatomy to kompleksowe rozwiązanie endodontyczne, które oferuje:
W tym zbiorze opinii lekarze dzielą się swoimi doświadczeniami z TruNatomy. Od prostych 2 do złożonych3 przypadków, TruNatomy jest rozwiązaniem, które podąża za lekarzami w ich codziennej praktyce.
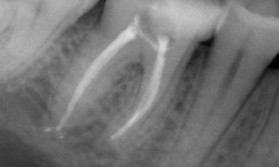
"Sukces skoncentrowany na pacjencie i procesie." – Dr Cowie
Przed: Przejaśnienie okołowierzchołkowe związane głównie z korzeniem dystalnym i utrata blaszki zewnętrznej zbitej na korzeniu mezjalnym.
Po: W tym przypadku wybrano TruNatomy, aby umożliwić podejście oparte na wykorzystaniu ubytków próchnicowych i skupienie się na zachowaniu zębiny okołoszyjkowej, szczególnie w części mezjalnej, gdzie ząb miał bardziej minimalną odbudowę.
Bath, Wielka Brytania
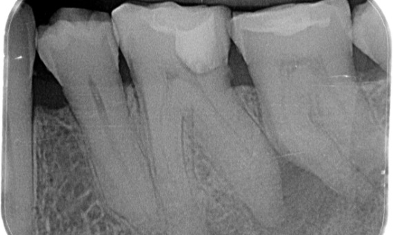
„Wybrałem TruNatomy, by móc zachować jak najwięcej zębiny, aby przezwyciężyć obciążenie okluzyjne i zwiększyć trwałość zęba”. – Dr Abuelezz
Przed: Podczas badania stwierdzono zmianę próchnicową związaną z dolnym prawym pierwszym trzonowcem. Badanie radiologiczne wykazało bliskość zmiany do rogu miazgi. Łącząc to z główną skargą pacjenta, postawiono ostateczną diagnozę przewlekłego nieodwracalnego zapalenia miazgi.
Po: Dostęp do ubytku został wykonany tak zachowawczo, jak to tylko możliwe. System TruNatomy został wybrany ze względu na młody wiek pacjenta. Musieliśmy zachować zębinę w jak największym stopniu, aby zwiększyć zdolność zęba do pokonywania obciążeń okluzyjnych i zwiększyć trwałość ostatecznej odbudowy.
Kair, Egipt
Dowiedz się więcej o naszych produktach i rozwiązaniach endodontycznych.
1 W porównaniu z ProTaper Next
2 Dr Filippo Santarcangelo (S. 8 – Przypadki kliniczne i referencje PDF)
3 Dr Jonathan Cowie (S. 12 – Przypadki kliniczne i referencje PDF)
© 2025 – Dentsply Sirona Inc, wszelkie prawa zastrzeżone