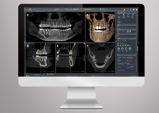
O nível de dados fornecidos a partir de uma imagem 3D é uma força revolucionária no diagnóstico odontológico. A capacidade de visualizar dentes sobrepostos, canais inesperados e raízes ocultas eleva a precisão e o impacto do diagnóstico de um paciente. Melhorar a compreensão e a confiança influencia positivamente a aceitação do paciente e o sucesso do tratamento.
O Orthophos S pode ser atualizado com recursos 3D a qualquer momento, permitindo que essas unidades de imagem correspondam ao seu nível de serviços e se desenvolvam com seu consultório. Com esses dois modelos 3D, você pode escolher caso a caso se deseja usar volumes de alta resolução para estruturas finas (alta dose) ou um filtro de baixa dose para estruturas densas.
Volume
Quando se trata de tamanho de volume, dose e qualidade de imagem, cada caso clínico exige requisitos individuais. Escolha o volume apropriado para suas necessidades: Desde o volume de Ø 5 cm x 5,5 cm focado até o volume de Ø 11 cm x 10 cm, que exibe os dentes do siso e o trato respiratório superior.
Software de redução de artefatos de metal (MARS)
Artefatos de metal são um desafio na geração de imagens 3D. Objetos radiopacos criam efeitos de sombreamento e estrias durante a reconstrução tridimensional, interferindo nos achados. O MARS reduz automaticamente os artefatos de metal e facilita o diagnóstico.
Modo de alta definição (HD)
O modo de definição padrão (SD) fornece informações clínicas básicas necessárias para um diagnóstico. Alguns casos clínicos exigem uma imagem de maior qualidade com melhor visibilidade de estruturas finas para planejamento e implementação do tratamento. O modo HD grava até 800 imagens individuais durante uma rotação e as mescla em um volume 3D de baixo ruído com alta resolução de até 80 μm. Esse modo garante um diagnóstico mais rápido e seguro dentro do volume registrado.
Modo de dose baixa
O modo otimizado de baixa dose com um filtro dedicado possibilita a visualização de imagens de estruturas densas, como ossos, com uma dose bastante reduzida. Isso torna a dose baixa uma opção eficiente para muitas tarefas clínicas, especialmente para aqueles em ortodontia ou implantologia. Com os recursos de imagens 3D, os pacientes não precisam mais de encaminhamento para um escaneamento CBCT, simplificando o processo e expandindo suas ofertas de serviços.