Fale conosco

Juntos podemos alcançar mais.

Entre em contato para saber mais sobre o que o Spectra Smart pode fazer por você.

Características X Benefícios

Resina Composta Nanohíbrida – partículas estéticas para casos anteriores

Fluorescência natural - aspecto natural nas restaurações anteriores

60% de carga inorgânica – incrível performance em posterior

Tixotropia – baixa pegajosidade, ajudando a manipulação do produto

Característica extra em radiopacidade – facilidade em diagnosticar por imagem

Sua exclusiva fórmula desenvolvida nos Estados Unidos combina resinas e cargas com nanotecnologia que resultam em opacidade intermediária, alta translucidez de esmalte e um índice de refração que, associados à alta capacidade de polimento e brilho, garantem um ótimo resultado estético;

Espectro de cores completo com 15 cores (3 opacas, 10 de corpo; 2 translúcidas):

Forma de apresentação:

Apresentações comerciais:

  • Refil com 4g
  • Starter Kit com 5 seringas de 4g (A2, A3, A2O, A3O e yE) + porta resinas de acrílico 

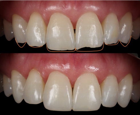
Spectra Smart clinicamente:

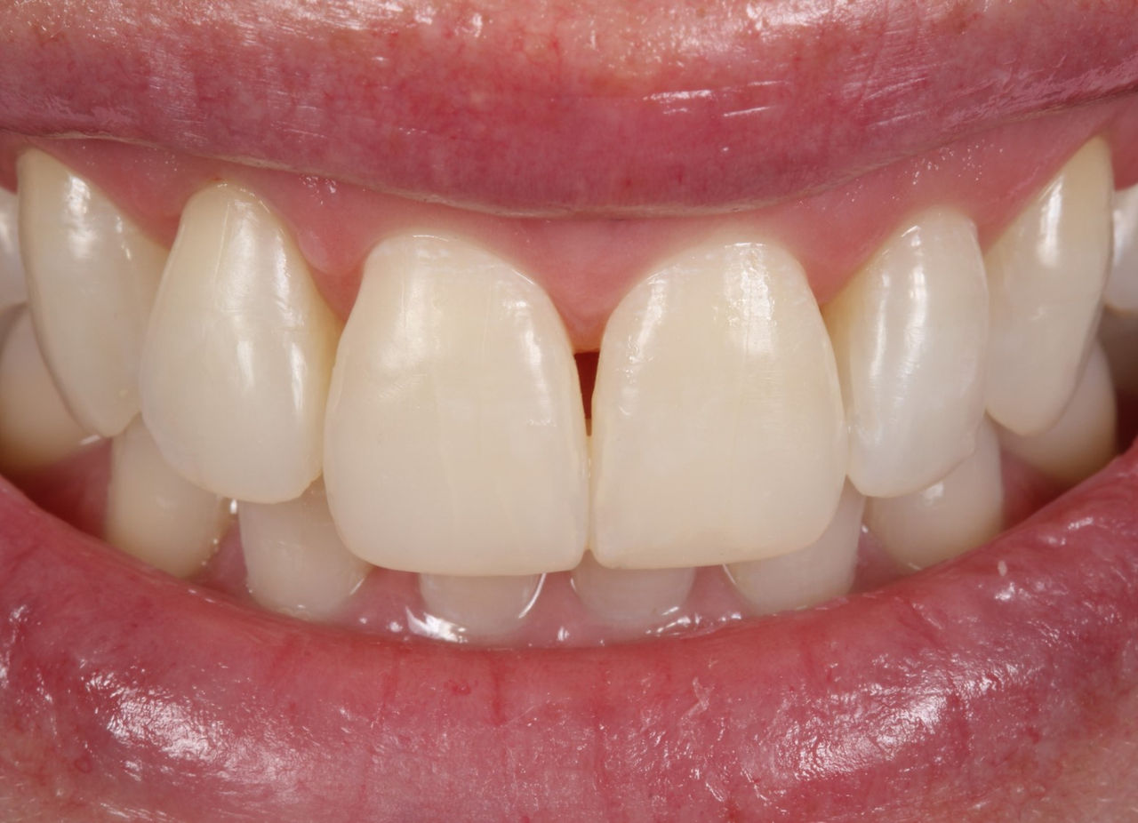
Caso clínico cedido por: Profa. Dra. Elaine Maia- Mestre e Doutora em Dentística pela UFSC; - Professora de cursos em Especialização e Atualização de Dentística há 17 anos; - Autora de livro e capítulos na área da Dentística; - Clínica Particular – CABI Odontologia – Brasília/DF.

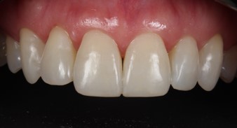
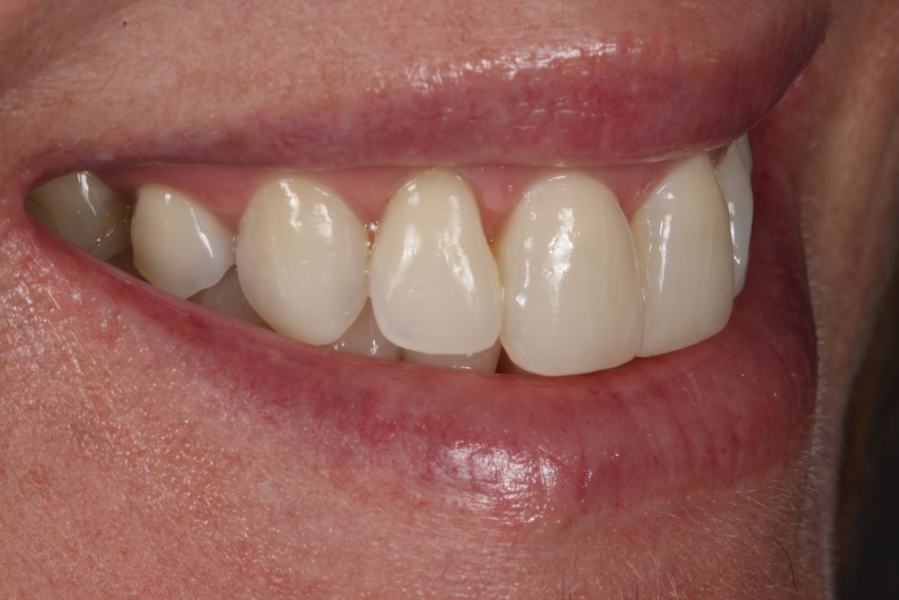
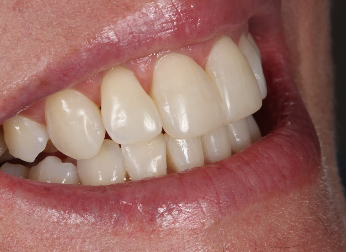
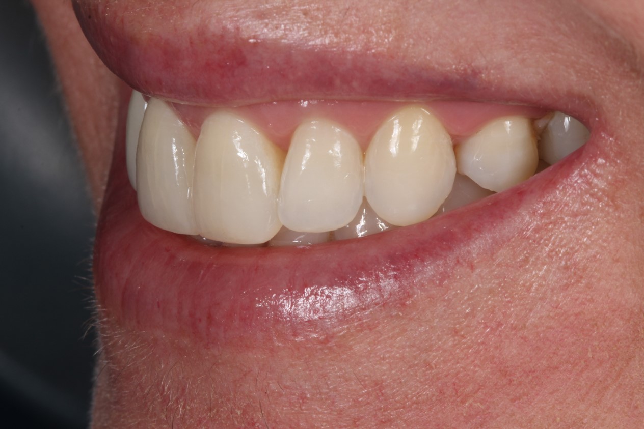
Fotos iniciais

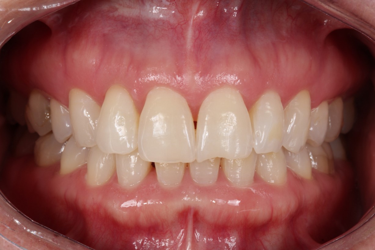
Restauração de canino a canino para correção do sorriso com a resina Spectra Smart

Resultado final.

Downloads

Fale conosco

Saiba mais sobre nossos produtos e soluções de restauração.