Esta coleção apresenta vários casos clínicos que demonstram a vasta gama de indicações aplicáveis ao CEREC Tessera – de restaurações chairside em consulta única a desafios altamente estéticos e reabilitações orais abrangentes, incluindo restaurações fabricadas em laboratório.
Inspire-se e experimente a forma como esta tecnologia inteligente pode apoiar o seu trabalho para tornar a experiência de tratamento melhor, para si e para os seus pacientes, mais segura e mais rápida.


Amelogénese imperfeita

Reabilitação completa com 28 restaurações totalmente em cerâmica

Um caso particular e prolongado de má-oclusão esquelética de Classe II e amelogénese imperfeita generalizada, num adolescente que foi encaminhado para reabilitação protética. O objetivo do tratamento era preparar a estrutura restante do dente, remover subcortes e abrir espaço para coroas totalmente em cerâmica, cobrindo toda a dentina e simulando o esmalte perdido.

Antes: Situação inicial antes do tratamento ortodôntico.

Depois: Resultado final, 1 semana pós-operatório.

Alexander Declerck, (DDS, MSc)

Sint-Martens-Latem, Bélgica


Facetas de preparação mínima após trauma de incisivos centrais superiores

Restauração com material altamente estético num dia após trauma nos incisivos centrais maxilares.

Antes: Pré-operatório de situação clínica. Trauma dos incisivos centrais superiores

Depois: Restaurações coladas por adesivo.

Dr. Mohamed Hassanien

Cairo, Egito


Reabilitação estética da amelogénese imperfeita

CEREC Tessera

Uma reabilitação estética, na região anterior, poderia ser realizada com restaurações laboratoriais do CEREC Tessera revestidas com Celtra Ceram. 

Antes: o objetivo do tratamento era reabilitar o maxilar anterior e a mandíbula para melhora estética. O diagnóstico clínico revelou uma amelogénese imperfeita.

Depois: restauração fabricada em laboratório feita de cerâmica de dissilicato de lítio avançada CEREC Tessera e, para obtenção de alto resultado estético, revestida com Celtra Ceram.

Sabine Mayer (CDT)

Koblenz, Alemanha

Mario Pace (CDT)

Lahnstein, Alemanha


Segundo molar inferior direito em 90 minutos

Um onlay CEREC Tessera

Uma paciente de 20 anos de idade recebeu tratamento endodôntico no segundo molar inferior direito. Foi fabricado um onlay chairside com a nova cerâmica de alta resistência CEREC Tessera ALD.

Antes: Cenário clínico pré-operatório após terapia endodôntica.

Depois: 1 mês depois, o onlay CEREC Tessera foi colado.

Dr. Aniruddha Nene

Pune, Índia


Amelogénese imperfeita

Reabilitação completa com 28 restaurações totalmente em cerâmica

Um caso particular e prolongado de má-oclusão esquelética de Classe II e amelogénese imperfeita generalizada, num adolescente que foi encaminhado para reabilitação protética. O objetivo do tratamento era preparar a estrutura restante do dente, remover subcortes e abrir espaço para coroas totalmente em cerâmica, cobrindo toda a dentina e simulando o esmalte perdido.

Antes: Situação inicial antes do tratamento ortodôntico.

Depois: Resultado final, 1 semana pós-operatório.

Alexander Declerck, (DDS, MSc)

Sint-Martens-Latem, Bélgica


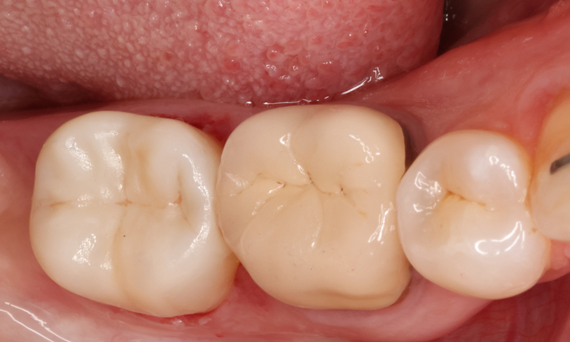
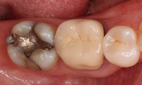
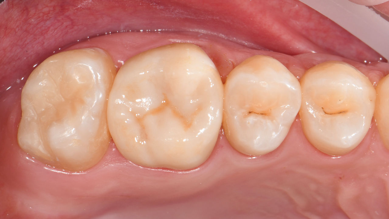
Restauração chairside do segundo molar inferior

Uma coroa parcial CEREC Tessera

Um segundo molar inferior com sensibilidade apresentou fissuras, bem como uma extensa restauração composta de Classe I na superfície oral. De acordo com o conceito minimamente invasivo, foi planeada, fabricada e colada uma coroa parcial CAD/CAM usando CEREC Tessera numa única consulta.

Antes: Restauração de amálgama com falha a precisar de substituição. Paciente a queixar-se de sensibilidade e dente apresentava múltiplas fissuras.

Depois: Restauração chairside parcial da coroa CAD/CAM fabricada com vitrocerâmica avançada de dissilicato de lítio CEREC Tessera.

Dr. Carlos Eduardo Sabrosa

Rio de Janeiro, Brasil


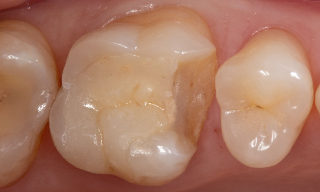
Primeiro molar superior em 100 minutos

Um inlay CEREC Tessera

A restauração em chairside numa única consulta provou ser uma solução particularmente eficaz e confortável para a paciente, pois a sua deslocação para a clínica era de 50 quilómetros. Poderia ser realizado um inlay altamente estético com CEREC Tessera.

Antes: Restauração de cerâmica fraturada feita de vitrocerâmica reforçada com leucite, após um tempo de serviço clínico de 12 anos.

Depois: Restauração fabricada em chairside feita de cerâmica de dissilicato de lítio avançado, CEREC Tessera.

Dr. Sven Rinke

Hanau, Alemanha


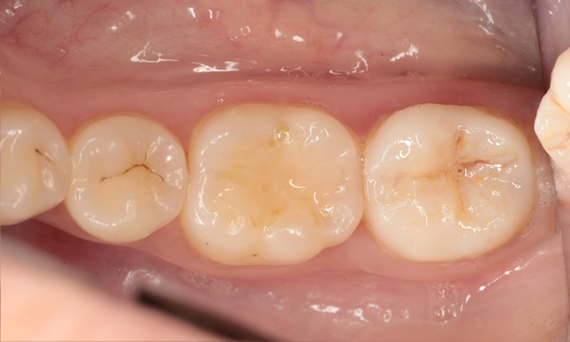
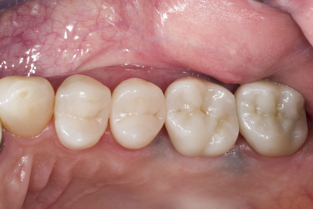
Reabilitação do quadrante

Duas coroas CEREC Tessera e dois inlays 

Numa única consulta de quatro horas foi realizada a restauração de duas coroas e dois inlays, que tinham 15 anos de idade. O paciente ficou muito satisfeito com o bom resultado estético.

Antes: Enchimentos insuficientes no segundo quadrante. As restaurações tinham cerca de 15 anos de idade.

Depois: Coroas fabricadas em chairside feitas de CEREC Tessera (dentes 26/27). Inlays para os dentes 24 e 25 feitos de blocos de compósito.

Dr. Andreas Bindl

Zurique, Suíça


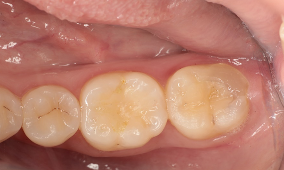
Primeiro molar superior em 90 minutos 

Uma coroa CEREC Tessera

A restauração do primeiro molar superior numa única consulta foi possível devido ao fluxo de trabalho eficiente do CEREC, com o CEREC Primemill e o CEREC SpeedFire. O paciente ficou extremamente satisfeito, em relação ao curto tempo de tratamento e ao resultado estético.

Antes: O primeiro molar superior tinha sido restaurado com bastante obturação composta, mas insuficiente; já apresentava fraturas visíveis.

Depois: Restauração fabricada em chairside feita de cerâmica de dissilicato de lítio avançado, CEREC Tessera.

Dra. Shivi Gupta

San Diego, EUA


Restauração de dentes com HMI com CEREC Tessera

Uma coroa CEREC Tessera

Situação inicial do paciente:

O paciente apresentou aumento de sensibilidade à temperatura nos seus molares aos seis anos. A anamnese não revelou nenhuma evidência de malformação do esmalte associada ao medicamento ou à doença. A gravidez da mãe não teve complicações. O exame clínico revelou perda extensa de substâncias e hipomineralização do esmalte abrangendo todas as coroas clínicas dos dentes 16 e 26. Além disso, o incisivo central esquerdo e os dois primeiros molares mandibulares foram afetados por hipomineralização. O dente 21 não apresentou cavitação e não mostrou hipersensibilidade. Os primeiros molares inferiores tinham pequenas cavitações com hipersensibilidade. Com base nestes resultados, o diagnóstico foi de hipomineralização molar-incisivo (HMI). De acordo com o artigo “MIH-Treatment Need Index” [Bekes & Steffen, 2016], os dentes 16 e 26 foram atribuídos à Pontuação 4c, exigindo uma cobertura total de coroa. O dente 21 foi atribuído à Pontuação 1 e foi deixado como estava a pedido da mãe e do própria paciente. Os dentes 36 e 46 receberam Pontuação 4b e foram restaurados com restaurações diretas com compósito.

Até ao momento, os molares maxilares ainda não estavam totalmente irrompidos. Portanto, esses dentes foram inicialmente restaurados com restaurações diretas com compósito, para aguardar a erupção completa do dente. Aos 11 anos de idade, os dentes 16 e 26 tinham irrompido completamente, permitindo restaurações totais das coroas.

Dr. Sebastian Soliman

Würzburg, Alemanha

Contacte-nos

Saiba mais sobre os nossos produtos e soluções de restauração.