Posicionamento do paciente e Assistente de imagem – o nosso conceito de 10 pontos

O posicionamento correto do paciente leva à alta qualidade da imagem para apoiar um diagnóstico preciso e facilita e melhora a experiência do paciente.

Este é o nosso conceito de 10 pontos para o fácil posicionamento do paciente e imagiologia por X. Consiste principalmente em dois pontos: alta qualidade de imagem e conforto para o paciente e para o assistente.

 

1. O EasyPad permite que rode e incline o ecrã tátil e também oferece seleção intuitiva de programas

2. O ajuste de altura inteligente permite a preparação da unidade de raios X antes da chegada do paciente

3. O posicionador automático exclusivo determina automaticamente a inclinação correta da cabeça

4. A área de raios X pode ser facilmente adaptada utilizando o bloco de mordida universal, que permite a modificação de cada paciente individualmente

5. Apoio para a cabeça motorizado e ajustável com paragem automática na cabeça do paciente e abertura automática no final da captura de imagem

6. Com base na medição automática da largura das hastes, a rotação do dispositivo ajusta-se a cada paciente individualmente

7. Compensação automática da coluna vertebral para melhorar a qualidade da imagem panorâmica na região anterior

8. Linhas de luz que facilitam a visibilidade do volume

9. O espelho giratório integrado suporta o posicionamento adequado do paciente

10. Pegas ergonómicas para apoiar o posicionamento estável do paciente

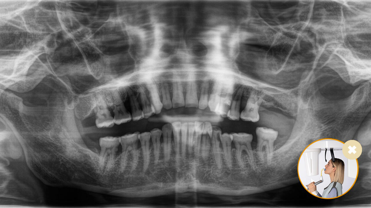
3D Posicionamento do paciente com bloco de mordida universal

Imagens de como trabalhar com nosso conceito de Posicionamento do Paciente e Assistente de Imagem

Configurações intuitivas com recurso ao EasyPad

A operação do bloco de mordida oclusal não podia ser mais simples. Com a ajuda dos símbolos e cores no ecrã do dispositivo de raios X, os dentistas têm todas as informações necessárias para o ajuste fino ideal do dispositivo. As setas iluminadas indicam em que direção a unidade deve ser movida para alcançar a inclinação ideal da cabeça. O dispositivo para automaticamente quando a posição correta é atingida.

  • Gire e incline com o painel de operação "EasyPad"
  • Disposição clara dos botões
  • Símbolos simples

O resultado: digitalizações precisas graças ao bloco de mordida oclusal

"Graças ao posicionador automático, os tempos de espera são reduzidos."

Dr. Stamnitz & Kollegen, Langen, Alemanha

Contacte-nos

Saiba mais sobre as soluções de raios X da Dentsply Sirona e solicite informações sobre raios X intraorais, software ou tecnologia de imagiologia 2D e 3D.