Todas as indicações num relance

Ao comparar as áreas de aplicação dos diferentes tipos de laser, torna-se claro que o laser de diodo oferece a maior variedade de aplicações.

Descubra exemplos de casos sob a forma de imagens e clipes de vídeo da prática diária em cirurgia, endodontia, periodontologia e muito mais. Deixe-se inspirar, nada supera a experiência prática!

Opções de tratamento com os SiroLasers

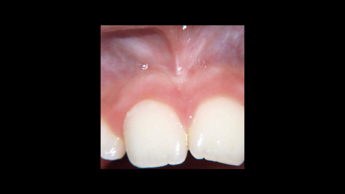
Cirurgia

As seguintes aplicações são apresentadas nos vídeos e imagens:

  • Cirurgia
  • Abcesso
  • Epúlide
  • Fibroma
  • Frenectomia
  • Gengivectomia
  • Gengivoplastia
  • Descobrimento do implante
  • Incisões/excisões
  • Operculectomia
  • Derrame gengival
  • Expor um dente deslocado (sem programa de tratamento predefinido)

Fibroma

Frenectomia

Gengivoplastia

Descobrimento do implante

Operculectomia

Derrame gengival

Exposição de um dente deslocado


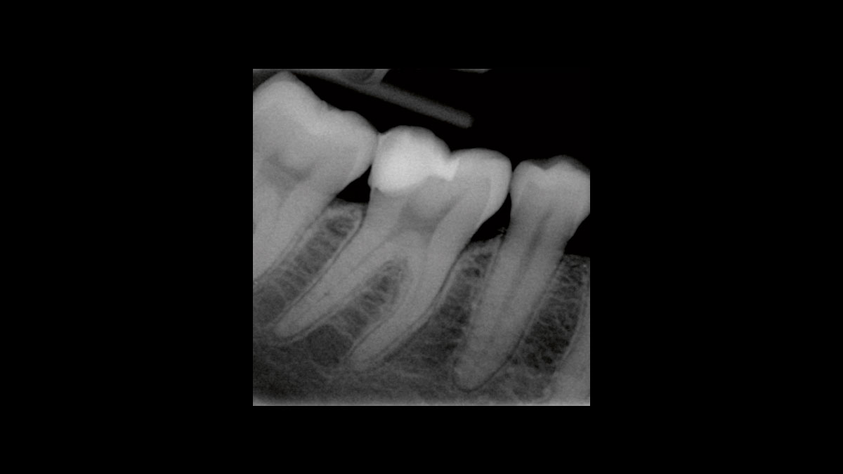
Endodontia

As seguintes aplicações são apresentadas nos vídeos e imagens:

  • Redução de germes endodônticos
  • Redução de germes de gangrena

Redução de germes endodônticos


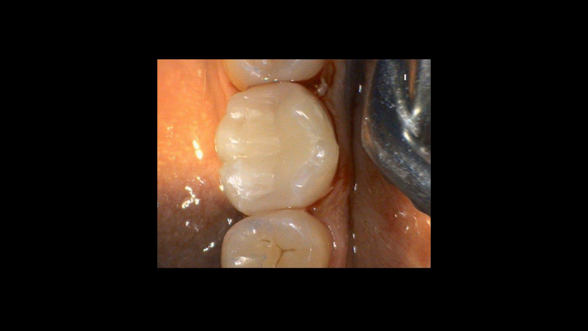
Periodontologia

As seguintes aplicações são apresentadas nos vídeos e imagens:

  • Redução de germes periodônticos

Redução de germes periodônticos


Outras indicações

As seguintes aplicações são apresentadas nos vídeos e imagens:

  • Úlceras aftosas
  • Hemostasia
  • Herpes

Úlceras aftosas

Hemostasia

Contacte-nos

Saiba mais sobre os instrumentos da Dentsply Sirona e peça informações sobre produtos retos e de contra ângulo, turbinas, lasers e muito mais.