Узнайте больше о пакете безопасного обновления до Windows 11 для программных продуктов Dentsply Sirona, чтобы гарантировать безопасность и совместимость вашего оборудования Dentsply Sirona в будущем.
Пакет безопасного обновления до Windows 11 Узнать больше
Узнайте о будущем стоматологии с сетевой функциональностью: На каждом мероприятии представлены ведущие в отрасли образовательные технологии, передовые достижения, авторитетные эксперты и беспрецедентные возможности для налаживания деловых связей.
Наша стратегия устойчивого развития лежит в основе нашей миссии и составляет неотъемлемую часть всей нашей деятельности.
Get FREE SHIPPING on all Endodontic products that can help you save now.
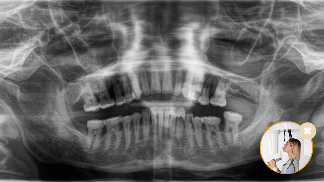
Спокойствие и комфорт одинаково важны для всех — и для пациентов, и для персонала. Когда все идет по плану и проходит гладко, это приносит удовольствие и мотивирует. Использование Orthophos или Axeos вместе с Sidexis 4 обеспечивает целенаправленную поддержку. Рентгеновские системы просты в использовании, но при этом обладают уникальными диагностическими возможностями. Это гарантирует, что каждый аспект процесса лечения оставит положительные впечатления.
Правильное позиционирование пациента обеспечивает высокое качество изображения для постановки точного диагноза, а также облегчает и совершенствует процедуру.
Это наша концепция удобного позиционирования пациента и рентгеновской визуализации, состоящая из 10 пунктов. В первую очередь это касается двух вещей: высокого качества изображения и комфорта для пациента и ассистента.
1. EasyPad позволяет поворачивать и наклонять сенсорный дисплей, а также обеспечивает интуитивный выбор программы
2. Интеллектуальная регулировка высоты позволяет подготовить рентгеновский аппарат еще до прихода пациента
3. Уникальная система автопозиционирования автоматически определяет правильный наклон головы
4. Рентгеновская область может быть легко адаптирована с помощью универсального прикусного блока, позволяющего вносить изменения индивидуально для каждого пациента
5. Моторизованный регулируемый подголовник с автоматической остановкой у головы пациента и автоматическим откидыванием в конце съемки
6. Устройство автоматически измеряет ширину височной зоны и поворачивается в соответствии с индивидуальными особенностями пациента
7. Автоматическая компенсация нагрузки на позвоночник для улучшения качества панорамных снимков в переднем отделе
8. Световые линии позволяют легко определить объем
9. Встроенное поворотное зеркало поддерживает правильное положение пациента
10. Эргономичные ручки для обеспечения стабильного положения пациента
Работа с окклюзионной накусочной пластиной стала предельно простой. С помощью символов и цветов на дисплее рентгеновского аппарата врачи получают всю необходимую информацию для его оптимальной настройки. Подсвеченные стрелки указывают, в каком направлении необходимо перемещать устройство для достижения идеального наклона головы. Устройство автоматически останавливается при достижении правильного положения.
"Благодаря автопозицинированию время выполнения сокращается".
Д-р Штамниц и коллеги, Ланген, Германия
Узнайте больше о рентгеновских решениях от Dentsply Sirona и запросите информацию об внутриротовой рентгенографии, программном обеспечении или технологиях 2D и 3D-визуализации.