Meslektaşlarınız bu klinik vakalar yoluyla, tek seanslık restorasyonlardan estetik zorluklara ve kapsamlı oral rehabilitasyonlara kadar CEREC’in uygulanabildiği çok çeşitli endikasyon örnekleri göstermektedir.

Bu sofistike ve akıllı teknolojinin tedavileri nasıl daha iyi, daha güvenli ve daha hızlı hale getirdiğini ve hastalarınızın deneyimini nasıl geliştirebileceğini keşfedin ve bundan ilham alın.

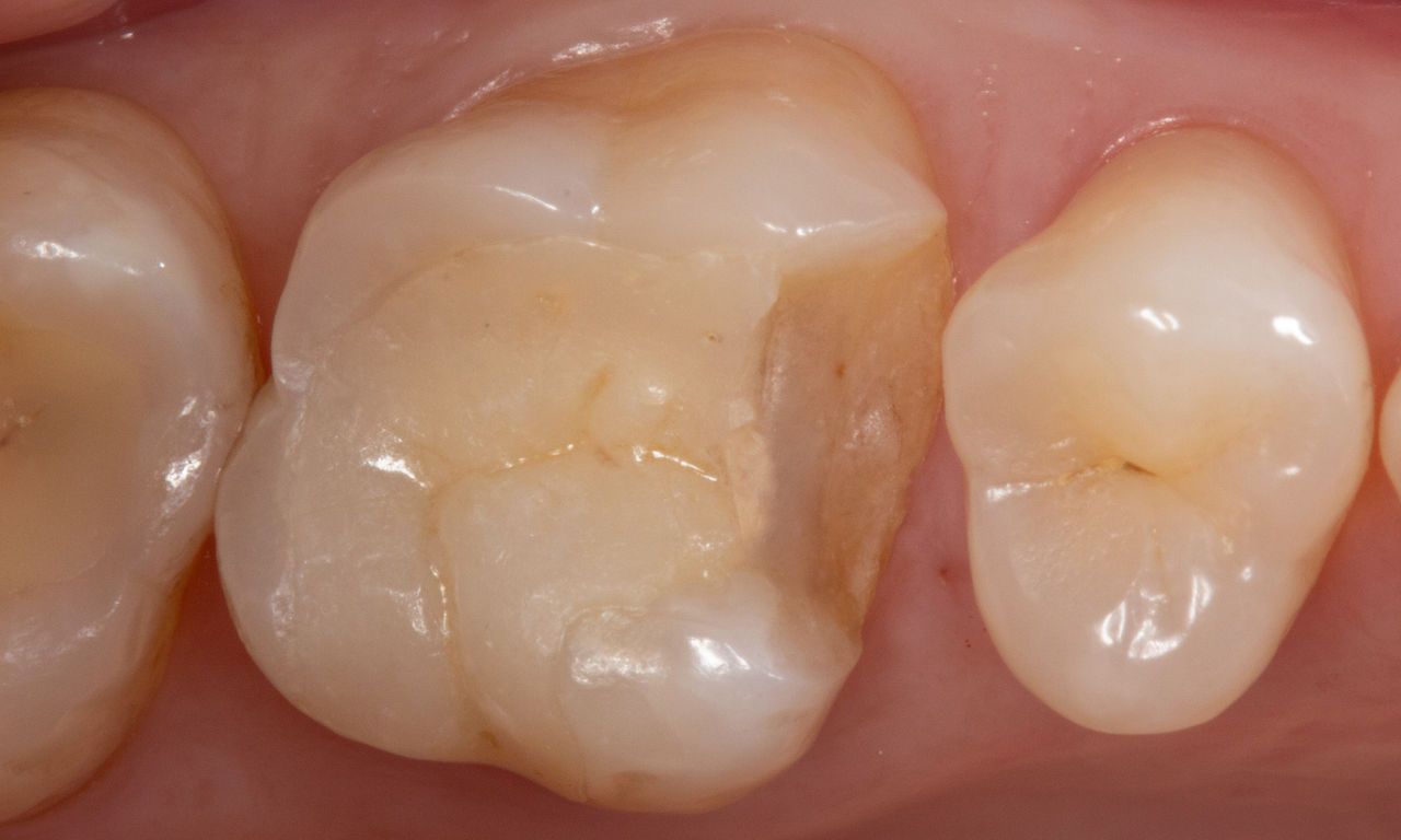
90 dakikada üst birinci molar 

Bir CEREC Tessera kuronu

CEREC Primemill ve CEREC SpeedFire ile verimli CEREC iş akışı sayesinde üst birinci molar restorasyonu tek bir seansta mümkün olmuştur. Hasta, kısa tedavi süresi ve estetik sonuç karşısında oldukça olumlu bir tavır sergiledi.

Önce: Üst birinci molar, halihazırda görünür kırıklar bulunan, kapsamlı ancak yetersiz bir kompozit dolguyla restore edilmişti.

Sonra: İleri seviye bir lityum disilikat seramik olan CEREC Tessera ile yapılmış, hasta başında üretilmiş restorasyon.

Dr. Shivi Gupta

San Diego, ABD


100 dakikada üst birinci molar

CEREC Tessera inleyi

Bu hasta için, kliniğe gidiş geliş mesafesi 50 kilometre olduğu için, tek bir seansta gerçekleştirilen hasta başı restorasyonunun özellikle etkili ve konforlu bir çözüm olduğu kanıtlandı. CEREC Tessera ile son derece estetik bir inley gerçekleştirilebilir.

Önce: 12 yıllık klinik hizmet ömrü sonrasında, lösit takviyeli cam seramikten yapılmış kırık seramik restorasyonu.

Sonra: İleri seviye bir lityum disilikat seramik olan CEREC Tessera ile yapılmış, hasta başında üretilmiş restorasyon.

Dr. Sven Rinke

Hanau, Almanya


90 dakikada üst ikinci premolar

Bir CEREC MTL Zirconia kuron 

Hasta, tek seansta yapılan diş koruyucu tedaviden çok memnun kaldı. CEREC MTL Zirconia ile üretilen kuron hem yüksek mukavemet hem de çok iyi estetik sağlar.

Önce: Diş 15 'de büyük, çürük mesiyal lezyon. Diş asemptomatik apikal periodontit ve belirgin diş yapısı kaybı göstermiştir.

Sonra: CEREC Yazılımındaki Biogeneric özel fonksiyon kullanılarak tasarlanan CEREC MTL Zirconia ile hasta başında üretilmiş restorasyon. 

Dr. Cecilie Terjesen

Arendal, Norveç


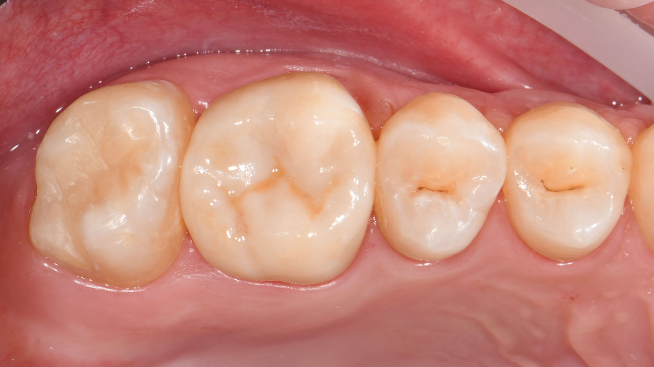
Kadran rehabilitasyon

İki CEREC Tessera kuron ve iki inley 

Dört saatlik tek bir seansta, 15 yıllık iki kuron ve iki inley restorasyonu gerçekleştirildi. Estetik açıdan çok iyi sonuçlar elde eden hasta çok memnun kaldı.

Önce: İkinci kadranda yetersiz dolgular. Restorasyonlar yaklaşık 15 yıllıktı.

Sonra: CEREC Tessera ile yapılmış, hasta başında üretilmiş kuronlar (26/27 numaralı dişler). 24 ve 25 numaralı dişler için kompozit bloklardan yapılmış inleyler.

Dr. Andreas Bindl

Zürih, İsviçre


60 dakikada üst ikinci premolar

IPS e.max CAD tek kuron 

Tüm restoratif iş akışı inanılmaz bir hızla gerçekleşti: preparasyon, restorasyonun üretilmesi ve simantasyonu dahil, tedavi sadece 57 dakika sürdü. Tedavinin kısa sürmesi ve estetik açıdan çok güzel bir sonuç elde edilmesi hastayı çok memnun etti.

Önce: Diş 25'te mevcut PFM üzerinde mesiyal ve distal marjinal çürüme ve kırık porselen vardı.

Sonra: Diş 25'teki kuron, yüz ve kesişim yönünde ark ile daha hizalı olacak şekilde yeniden yapıldı.

Dr. Frank Clark Brown

Melbourne, ABD


60 dakikada üst birinci molar

IPS e.max CAD tek kuron

Klinik vaka, CEREC Primemill ile tam kapsamlı cam seramik bir kuronun tek seansta hızlı ve verimli bir şekilde, aynı zamanda en yüksek estetik talepleri karşılayacak şekilde nasıl üretilebildiğini göstermektedir.

Önce: Distal marjinal sırt çatlakları, lingual duvar çatlağı ve distal tekrarlayan çürüme ile 16 numaralı dişteki kompozit dolgunun büyük ölçüde eksik olması.

Sonra: Yüksek ölçüde estetik tam yüzeyli cam seramik kuron.

Dr. Karyn M. Halpern DMD, MS

New York, ABD


75 dakikada üst birinci molar

IPS e.max CAD tek kuron

Hızlı ve çok hassas tarama özelliği, yönetilebilir ve sezgisel tasarımlı yazılımı ve restorasyonu sadece birkaç dakikada tamamlayan frezeleme ve kazıma ünitesi sayesinde, kliniğimde önemli bir verimlilik artışı sağlamanın yanı sıra hasta memnuniyetini de artırdı.

Önce: 26 numaralı dişte çürüme ve başarısız direkt kompozit restorasyon var.

Sonra: Yüksek ölçüde estetik ve fonksiyonel lityum disilikat seramik kuron.

Dr. Dan Butterman

Centennial, USA


90 dakikada alt ikinci premolar

Katana Zirconia STML tek kuron

Bu premolar restorasyon, zirkon ile hasta başı tedavisi için çok uygundur ve toplamda sadece yaklaşık 90 dakika sürmüştür. Mevcut geniş renk yelpazesi sayesinde tam konturlu zirkon kullanabildik ve estetik gereksinimler için tatmin edici sonuçlar elde ettik.

Önce: Önceki kök kanalı tedavisinin sonucu olarak rengi bozulmuş 45 numaralı diş.

Sonra: Kişiye özel cilalamayla yarı saydam zirkon kuron.

Dr. Gertrud Fabel

Münih, Almanya


90 dakikada üst birinci molar

Katana Zirconia STML tek kuron

CEREC Primemill sadece seansı hızlandırmakla kalmaz, aynı zamanda frezeleme yöntemlerinde çok yönlülüğü de beraberinde getirir. Bu vakada, maksimum estetik sağlamak ve ayrıntılara dikkat edebilmek için Ekstra İnce frezeleme modunu seçtik.

Önce: Daha önce endodontik tedavi görmüş, 14 numaralı dişte kırık metal-seramik kuron.

Sonra: Estetik bir sonuç için maksimum dayanım ve tutuş şekli ile yarı saydam tam zirkon kuron.

Dr. Mike Skramstad

Orono, ABD

Orta üst kesici dişler, 4 saat içinde

Dört adet IPS e.max CAD tek kuron

Tam seramik kuronlarla yapılan restorasyon, estetiği bozan metal gölgelere neden olmaksızın, subgingival preparasyona gerek duyulmadan marjini kapatmıştır. CEREC Primescan ve CEREC Primemill ile hastalarınız, daha önce hiç olmadığı kadar hızlı bir şekilde yüksek kaliteli tam seramik restorasyonlara sahip olur.

Önce: 12-22 numaralı dişlerde yetersiz dolgu, 12 ve 11 numaralı dişlerde diş eti seviyesi eşitsizliği ve insizal kenarlarda ciddi aşınma.

Sonra: Dört adet yüksek ölçüde estetik ve kişiye özel lityum disilikat seramik kuron.

Claudia Scholz

Kiel, Almanya


2 oturumda kadran rehabilitasyonu

On adet VITA Suprinity PC tek kuron

Hasta güzel bir gülümsemeye sahip olmak istiyordu. 15’ten 25 numaraya kadar olan dişler görünür olduğundan, görünen 10 adet dişin tamamı için yüksek ölçüde estetik seramik kullanma kararı verildi. Kapsamlı konsültasyon ve tam boy modelle uygulama nedeniyle, restorasyon CEREC ile iki seansta gerçekleştirildi.

Önce: Hasta, diş renginin değişmesi nedeniyle gülümsemesinden memnun değildi.

Sonra: Boya ile kişiselleştirilmiş on adet yüksek ölçüde estetik tek kuron.

Dr. Daniel Vasquez

San Diego, ABD

Lateral üst kesici dişler, 180 dakikada

Ankylos implant yerleştirme ve iki adet CELTRA DUO kuron 

9 ay süren ameliyatlar sonrasında, CEREC sayesinde hastamın gülümsemesini tek seansta geri kazandırdım. Sonuçlar, başlangıçtaki duruma kıyasla harikaydı.

Önce: Diş agenezi ve kötü yerleştirilmiş ilk implantların neden olduğu kemik kaybı nedeniyle 12 ve 22 numaralı dişlerin eksikliği, anterior bölgedeki restorasyonlar için zorluk teşkil etmiştir.

Sonra: İmplantlar ve hasta başında üretilmiş anterior kuronlarla yüksek ölçüde estetik tek diş restorasyonları.

Dr. Fernando Peixoto Soares

São Paulo, Brezilya


Üst ikinci premolar

Astra Tech implant yerleştirme ve IPS e.max CAD tek kuron 

36 yaşında bir hasta, 15 numaralı dişin çekiminden dört ay sonra oluşan diş aralığını implantla kapatmak için kliniğimize başvurmuştu. Kılavuzlu cerrahiden altı ay sonra, hasta sağlıklı diş eti ile kemik rahatsızlığı şikayetiyle başvurdu.

Önce: Uzunlamasına kırık nedeniyle 15 numaralı dişin eksikliği. Hasta, oluşan diş aralığını kapatmak istedi.

Sonra: Yüksek ölçüde estetik ve uzun süreli stabil restorasyon sağlayan yüksek kaliteli cam seramik kuron.

Dr. Andreas Bindl

Zürih, İsviçre


90 dakikada üst birinci premolar

Ankylos implant yerleştirme ve IPS e.max CAD tek Kuron 

CEREC ile dijital hasta başı iş akışı sayesinde, implant tedavisinden sonra 90 dakika içinde nihai protezler üretildi ve yerleştirildi. Hasta bu işlemden çok memnun kaldı.

Önce: Yatay kök kırığı ve periferik enfeksiyonu olan 24 numaralı diş.

Sonra: Estetiğin ve doğal yumuşak doku konturunun korunması.

Dr. Carlos Repullo

Sevilla, İspanya

Bizimle iletişim kurun

Ürün bilgisi talep ederek Dentsply Sirona’dan CAD/CAM çözümlerimiz ve CEREC sistemimiz hakkında daha fazla bilgi edinin.