Bu koleksiyonda, CEREC Tessera için geçerli geniş uygulama yelpazesini gösteren çeşitli klinik vakalar sergilenmektedir. Tek vizitlik klinik restorasyonlardan son derece estetik uygulamalara ve laboratuvarda üretilen restorasyonlar da dahil olmak üzere kapsamlı oral rehabilitasyonlara kadar pek çok farklı endikasyon gösterilmektedir.
Bu akıllı teknolojinin siz ve hastalarınız için tedavi deneyimini daha iyi, daha güvenli ve daha hızlı hale getirmek açısından çalışmanızda sizi nasıl destekleyebileceği konusunda ilham alın ve deneyim kazanın.


Amelogenezis İmperfekta

28 tamamen seramik restorasyon ile tam ağız rehabilitasyonu

Protez rehabilitasyonu için bir gençte özel ve uzun süreli bir iskelet Sınıf II maloklüzyonu ve jeneralize amelogenezis imperfekta vakası sevk edilmiştir. Tedavinin amacı; kalan diş yapısını hazırlamak, alt kesimleri çıkarmak ve tüm dentini kaplayan ve kayıp mineyi simüle eden tamamen seramik kuronlara yer açmaktı.

Önce: Ortodontik tedaviden önceki ilk durum.

Sonra: Nihai sonuç, ameliyattan 1 hafta sonra.

Alexander Declerck, (DDS, MSc)

Sint-Martens-Latem, Belçika


Üst Merkez İnsizyonlarının Travmasından Sonra Minimum Hazırlık Venerleri

Maksiller santral kesici kesici dişlerde, travmadan bir gün sonra yüksek derecede estetik bir malzemeyle restorasyon.

Önce: Klinik Durum ameliyat öncesi. Üst merkezi kesici dişlerde travma

Sonra: Adezivle bağlanmış restorasyonlar.

Dr. Mohamed Hassanien

Kahire, Mısır


Amelogenezis İmperfekta Estetik Rehabilitasyon

CEREC Tessera

Celtra Ceram ile vener uygulanmış laboratuvarda CEREC Tessera restorasyonları ile anterior bölgede estetik rehabilitasyon gerçekleştirilebilir. 

Önce: Tedavinin amacı, estetik iyileşme için anterior maksilla ve mandibulanın rehabilite edilmesiydi. Klinik tanıda amelogenezis imperfekta saptandı.

Sonrasında: İleri lityum-disilikat seramik CEREC Tessera’dan ve yüksek estetik sonuç için Celtra Ceram ile vener uygulaması ile yapılmış laboratuvar tarafından imal edilmiş restorasyon.

Sabine Mayer (CDT)

Koblenz, Almanya

Mario Pace (CDT)

Lahnstein, Almanya


90 dakikada ikinci sağ alt molar

CEREC Tessera onleyi

20 yaşında kadın hasta sağ alttaki 2. molar için endodontik tedavisi aldı. Yeni yüksek dayanımlı seramik CEREC Tessera ALD'den klinikte bir onley üretilmiştir.

Önce: Endodontik tedaviyi izleyen preoperatif klinik senaryo.

Sonra: CEREC Tessera onley bağlandıktan 1 ay sonra.

Dr. Aniruddha Nene

Pune, Hindistan


Amelogenezis İmperfekta

28 tamamen seramik restorasyon ile tam ağız rehabilitasyonu

Protez rehabilitasyonu için bir gençte özel ve uzun süreli bir iskelet Sınıf II maloklüzyonu ve jeneralize amelogenezis imperfekta vakası sevk edilmiştir. Tedavinin amacı; kalan diş yapısını hazırlamak, alt kesimleri çıkarmak ve tüm dentini kaplayan ve kayıp mineyi simüle eden tamamen seramik kuronlara yer açmaktı.

Önce: Ortodontik tedaviden önceki ilk durum.

Sonra: Nihai sonuç, ameliyattan 1 hafta sonra.

Alexander Declerck, (DDS, MSc)

Sint-Martens-Latem, Belçika


Klinikte alt ikinci molar restorasyonu

Kısmi CEREC Tessera kuronu

Bukkal yüzeyde kapsamlı bir Sınıf I kompozit restorasyonun yanı sıra çatlaklarla birlikte, hassas alt ikinci molar. Minimal invazif konsepte göre, tek bir ziyarette CEREC Tessera kullanılarak CAD/CAM kısmi kuron planlandı, imal edildi ve bağlandı.

Önce: Değiştirme gerektiren başarısız amalgam restorasyonu. Hasta hassasiyetten şikayet ediyor ve dişte birden fazla çatlak bulunuyor.

Sonra: Klinikte, CEREC Tessera Gelişmiş Lityum-Disilikat cam seramikten imal edilmiş CAD/CAM kısmi kuron restorasyonu.

Dr. Carlos Eduardo Sabrosa

Rio de Janeiro, Brezilya


100 dakikada üst birinci molar

CEREC Tessera inleyi

Bu hasta için, kliniğe gidiş geliş mesafesi 50 kilometre olduğu için, tek bir seansta gerçekleştirilen hasta başı restorasyonunun özellikle etkili ve konforlu bir çözüm olduğu kanıtlandı. CEREC Tessera ile son derece estetik bir inley gerçekleştirilebilir.

Önce: 12 yıllık klinik hizmet ömrü sonrasında, lösit takviyeli cam seramikten yapılmış kırık seramik restorasyonu.

Sonra: İleri seviye bir lityum disilikat seramik olan CEREC Tessera ile yapılmış, klinikte imal edilmiş restorasyon.

Dr. Sven Rinke

Hanau, Almanya


Kadran rehabilitasyonu

İki CEREC Tessera kuron ve iki inlay 

Dört saatlik tek bir seansta, 15 yıllık iki kuron ve iki inley restorasyonu gerşekleştirildi. Estetik açıdan çok iyi sonuçlar elde eden hasta çok memnun kaldı.

Önce: İkinci kadranda yetersiz dolgular. Restorasyonlar yaklaşık 15 yıllıktı.

Sonra: CEREC Tessera ile yapılmış, hasta başında üretilmiş kuronlar (26/27 numaralı dişler). 24 ve 25 numaralı dişler için kompozit bloklardan yapılmış inleyler.

Dr. Andreas Bindl

Zürih, İsviçre


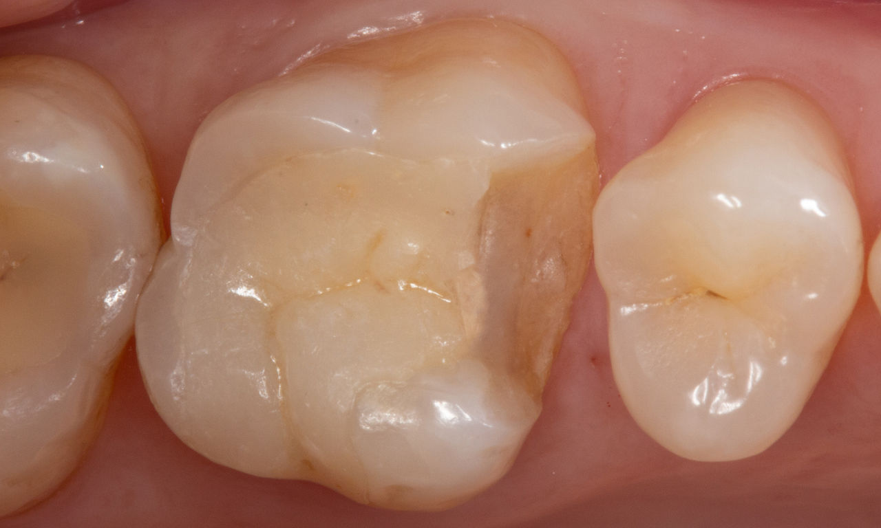
90 dakikada üst birinci molar 

Bir CEREC Tessera kuronu

CEREC Primemill ve CEREC SpeedFire ile verimli CEREC iş akışı sayesinde üst birinci molar restorasyonu tek bir seansta mümkün olmuştur. Hasta, kısa tedavi süresi ve estetik sonuç karşısında çok memnun kaldı.

Önce: Üst birinci molar, halihazırda görünür kırıklar bulunan, kapsamlı ancak yetersiz bir kompozit dolguyla restore edilmişti.

Sonra: İleri seviye bir lityum disilikat seramik olan CEREC Tessera ile yapılmış, hasta başında üretilmiş restorasyon.

Dr. Shivi Gupta

San Diego, ABD


CEREC Tessera ile MIH dişlerinin restorasyonu

Bir CEREC Tessera kuronu

Hastanın ilk durumu:

Hasta altı yıllık molarlarında artan sıcaklık hassasiyeti ile başvurdu. Anamnezde ilaçla ilişkili veya hastalıkla ilişkili mine malformasyonu bulgusu saptanmadı. Annenin gebeliğinde komplikasyon yoktu. Klinik incelemede diş 16 ve 26’nın tüm klinik kuronlarını kapsayan kapsamlı madde kaybı ve hipomineralize mine saptandı. Ayrıca, sol merkezi kesici ve her iki alt çene ilk moları hipomineralizasyonlardan etkilenmişti. Diş 21’de kavitasyon yoktu ve aşırı hassasiyet yoktu. Alt ilk molarda aşırı hassasiyet ile küçük kavitasyonlar vardı. Bu bulgulara göre tanı, molar insizör-hipomineralizasyon (MIH) olarak konuldu. MIH-Tedavi-İhtiyaç-İndeksine [Bekes & Steffen 2016] göre, 16 ve 26. dişler için tam kuron kapsamı gerektiren 4c Skoru belirlenmiştir. Diş 21 için Skor 1 belirlenmiş ve anne ve hastanın kendi isteği üzerine olduğu gibi bırakılmıştır. Diş 36 ve 46 için Skor 4b belirlenmiş ve direkt kompozit restorasyonlarla restore edilmiştir.

Bu noktada, maksiller molarlar henüz tam olarak patlamamıştır. Bu nedenle, bu dişler ilk olarak tam diş erüpsiyonunu beklenmek üzere direkt kompozit restorasyonlar ile restore edilmiştir. 11 yaşında, diş 16 ve 26 tamamen patlayarak tam kuron restorasyonlarına olanak tanımıştır.

Dr. Sebastian Soliman

Würzburg, Almanya

Bizimle iletişim kurun

Restorarif ürünlerimiz ve çözümlerimiz hakkında daha fazla bilgi edinin.