Bizi arayın veya aşağıya iletişim bilgilerinizi girin, bir Dentsply Sirona temsilcisi en kısa zamanda sizinle iletişime geçecektir.
Akışkan kompozitinizden daha fazlasını bekleme zamanı geldi. Daha fazla çok yönlülük. Daha fazla renk tonu eşleştirme özelliği. Her gün karşılaştığınız küçük onarımları yönetme konusunda daha fazla yol.
Neo Spectra® ST flow sayesinde, modern renk tonu kapsamı, optimize kullanım ve kalıcı estetik için tasarlanmış akışkan bir kompozit bulacaksınız. Bu kadar çok doktorun Neo Spectra® ST flow ürününü her hastada “kurtarıcı” akışkan olarak gördüğünü anlayın.
Yakın tarihli bir kullanıcı çalışmasında klinisyenlerin %96'sı neden 36 aylık kullanımdan sonra Neo Spectra® ST flow ürününü kullanmaya devam etmeyi planlıyor?1 Çünkü bu tek akışkan kompozitin temel avantajları ve toplam güvenilirliği her gün devam ediyor.
Avantajlar
Çok yönlü malzeme, siz alet düzeniyle flowu başlatana kadar yerinde kalır. Tercihinize bağlı olarak Compula Uçları veya şırıngalar mevcuttur.
Küçük kusurları onarmaktan ideal estetik düzeyini sağlamaya kadar, işi yapmanın birçok yolunu bulacaksınız.
Bukalemun harmanlama, tam VITA®² serisinin yalnızca 5 renk tonuyla kapsanmasını sağlar. Bu uyumlu akışkan, Spectra ST üniversal kompozit için mükemmel bir tamamlayıcı üründür.
Cilalamadan sonra güvenilir dayanım, renklenme direnci ve harika parlaklık ile akışkan kompozitinizden daha fazlasını elde edin.
Çok çeşitli endikasyonlarla çalışırken optimum düzeyde çok yönlülükten yararlanın. Neo Spectra® ST flow, siz enstrümantasyonlu akışkan kompoziti başlatana kadar yerinde kalacak şekilde tasarlanmıştır. Tek kullanımlık Compula Uçları veya şırınga arasından bir seçim yapın.
“Güzel bukalemun etkisi ile üstün akış.”
Dr. Tobias Neumann, Heidenheim, Almanya
“Uyum ve istiflenebilirliği %100 ikna edici.”
Dr. Thomas Weinberger, Linz, Avusturya
“Toplu dolgu kompozitler, daha büyük kaviteler için hızlı ve kullanımları kolaydır, ancak estetik açıdan zorlayıcı kaviteler için konvansiyonel, yüksek derecede estetik katmanlayıcı bir kompozitin kullanımı alternatif olarak düşünülmeli.”
Prof. Dr. Claus-Peter Ernst, Mainz, Almanya
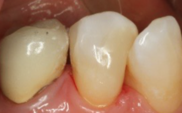
Önceki DO ve MO restorasyonları altında tekrarlayan çürük mevcuttu.
Neredeyse görünmez: Tükürük ile nemlendirildikten sonra restorasyon.
İndirme Merkezimizde daha fazla indirme sağlanmaktadır.
Neo Spectra® ST flow, estetik akışkan uygulamalarda gelişmiş basitlik ve çok yönlülük için tasarlanmış görünür ışıkla kürlenen akışkan kompozit rezin restoratif bir malzemedir.
Kavitelerin doğrudan restorasyonu (oklüzal stres taşıyan Sınıf II kaviteler hariç), lezyonlar, diş birikmesi, kusurların onarımı, pit ve fissür kapatıcıları ve ışık geçirgen dolaylı restorasyonların simantasyonu için anterior ve posterior dişler dahil olmak üzere tüm geleneksel akışkan endikasyonlarda kullanım için endikedir.
SphereTEC®, Neo Spectra® ST'de kullanılan yeni tescilli dolgu teknolojisidir.
SphereTEC® dolgu partikülü üretim prosesinde, iyi tanımlanmış, önceden polimerize edilmiş küresel dolgu partikülleri üretmek için mikron altı cam ve sprey granülasyonu kullanılır.
SphereTEC® dolguların morfolojisi, partikül boyutu dağılımı ve yüzey mikro yapısı, Neo Spectra® ST'nin mükemmel kullanım, dayanım ve cilalama özellikleri için anahtar niteliğindedir.
Neo Spectra® ST floe kompozit restoratif, kolay kavite erişimi için küçük bir dağıtım ucu ile 0,25 g malzeme ve kolay kavite erişimi için küçük, tek kullanımlık şırınga uçları ile 1,8 g malzeme içeren şırıngalar içeren önceden dozlanmış Compula Uçlarında sunulur.
Neo Spectra® ST flow, Neo Spectra® ST (A1, A2, A3, A3.5, A4, BW) ve Neo Spectra® ST Effects (D1, D3, E1) üniversal kompozit renk tonlarıyla mükemmel şekilde eşleşecek şekilde tasarlanmıştır. Ayrıca mükemmel cila ve renklenme direncine sahiptir, bu nedenle kullanıcı esasen uygulama için uygun olan kullanımı seçer ve aynı harika estetik sonuçlara güvenebilir.
Neo Spectra® ST flow, Prime&Bond üniversal adeziv gibi görünür ışıkla kürlenen kompozit restoratiflerle kullanılmak üzere tasarlanmış Dentsply Sirona adezivleri dahil olmak üzere konvansiyonel (met)akrilat bazlı dentin/mine adezivleriyle kimyasal olarak uyumludur.
1. Dentsply Sirona Kullanıcı Değerlendirmesi, 2021
2. VITA®, Dentsply Sirona’nın tescilli ticari markasıdır.