100 Implants Challenge
Dein Weg in die Implantologie.
DS World Germany - 13. – 14. März 2026. Mehr erfahren
Windows 11 Security Package Mehr erfahren
Experience the future of connected dentistry: Die Dentsply Sirona World – 2026 erstmals in Deutschland – steht für einen vielfältigen Kongress mit international anerkannten Referenten, zahlreichen Fortbildungsvorträgen (inkl. CE-Punkte) & Workshops sowie einem kollegialen Miteinander.
Unsere Nachhaltigkeitsstrategie ist für unsere Mission und unser gesamtes Handeln von grundlegender Bedeutung.
TruNatomy Behandlungskonzept
TruNatomy ist ein umfassendes endodontisches Behandlungskonzept, das Folgendes bietet:
In dieser Sammlung von Erfahrungsberichten teilen Ärzte ihre Erfahrungen mit TruNatomy. Von einfachen2 bis hin zu komplexen Fällen3, ist TruNatomy eine Lösung, die Zahnärztinnen und Zahnärzte in ihrer täglichen Praxis unterstützt.
"Ein patienten- und behandlungsorientierter Erfolg." Dr. Cowie
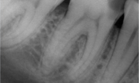
Vorher: Periapikale Radioluzenz primär an der distalen Wurzel und Verlust der Lamina dura an der mesialen Wurzel.
Nachher: In diesem Fall wurde TruNatomy gewählt, um einen kariesfreien Ansatz zu ermöglichen und sich auf den Erhalt des perizervikalen Dentins zu konzentrieren, insbesondere auf der mesialen Seite, wo der Zahn eine minimalere Restauration aufwies.
Bath, UK
"Ich habe mich für TruNatomy entschieden, um so viel Dentin wie möglich zu erhalten, um die okklusale Belastung zu bewältigen und die Langlebigkeit des Zahns zu erhöhen." Dr. Abuelezz
Vorher: Bei der Untersuchung wurde eine Karies-Läsion am unteren rechten ersten Molaren festgestellt. Bei der röntgenologischen Untersuchung zeigte sich die Nähe der Läsion zum Pulpahorn. Zusammen mit den Hauptbeschwerden wurde die endgültige Diagnose einer chronischen irreversiblen Pulpitis gestellt.
Nachher: Die Zugangskavität wurde so konservativ wie möglich gestaltet. Da es sich um einen jungen Patienten handelte, war TruNatomy das System der Wahl. Wir mussten das Dentin so weit wie möglich erhalten, um die Fähigkeit des Zahns zur Bewältigung der okklusalen Belastung und die Langlebigkeit der endgültigen Restauration zu erhöhen.
Kairo, Ägypten
Erfahren Sie mehr über endodontische Produkte und Lösungen.
1 Im Vergleich zu ProTaper Next
2 Dr. Filippo Santarcangelo (S. 8 – Klinische Fälle und Erfahrungsberichte PDF)
3 Dr. Jonathan Cowie (S. 12 – Klinische Fälle und Erfahrungsberichte PDF)