Beim Kauf von zwei Produkten der Kategorien Essix Folien oder SpaceFiles wird der Rabatt auf der Rechnung abgezogen.
ACHTUNG: Ab 1. Mai ist dieser Rabatt nur mehr online und mit Code ORTHO20 verfügbar.
DS World Germany - 13. – 14. März 2026. Mehr erfahren
Newsletter abonnieren und 5% auf die nächste Bestellung im Webshop sichern! Jetzt anmelden
Jetzt verfügbar: MIS SEVEN XD Implantate & MIS C1 XD Implantate können ab sofort online bestellt werden. Jetzt einkaufen!
5 % Rabatt auf Ihre erste Online-Bestellung – Verwenden Sie den Code WILLKOMMEN5 im Warenkorb. Jetzt einkaufen
Windows 11 Security Package Mehr erfahren
Beim Kauf von zwei Produkten der Kategorien Essix Folien oder SpaceFiles wird der Rabatt auf der Rechnung abgezogen.
ACHTUNG: Ab 1. Mai ist dieser Rabatt nur mehr online und mit Code ORTHO20 verfügbar.
Experience the future of connected dentistry: Die Dentsply Sirona World – 2026 erstmals in Deutschland – steht für einen vielfältigen Kongress mit international anerkannten Referenten, zahlreichen Fortbildungsvorträgen (inkl. CE-Punkte) & Workshops sowie einem kollegialen Miteinander.
Unsere Nachhaltigkeitsstrategie ist für unsere Mission und unser gesamtes Handeln von grundlegender Bedeutung.
Zukunftssicher im Produktangebot, engagiert für Ihren beruflichen Erfolg und zuverlässig in Qualität und Service –dafür stehen wir mit unserem Existenzgründerprogramm.
Fallbeispiel
Alter
Geschlecht
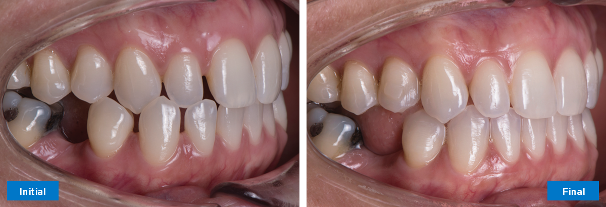
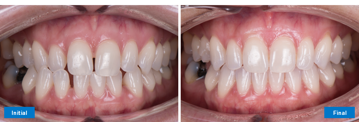
Die Hauptbeschwerde(n) der Patientin: Mag die Lücken zwischen den Zähnen nicht.
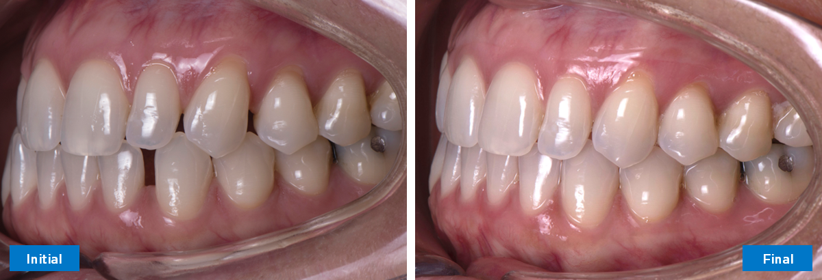
Die Patientin stellte sich mit Lücken im oberen und unteren Zahnbogen und einem fehlenden unteren Prämolar vor. Aufgrund der Position des oberen und unteren rechten Eckzahns im Kreuzbiss hatte sie eine schlechte anteriore Kopplung mit schlecht koordinierten Bögen.
In diesem Fall von Dr. Antonino Secchi erfahren Sie mehr darüber, wie die Aligner-Therapie von vielen Ärzten vor der Implantatinsertion eingesetzt wird, um die Lücken auszugleichen und zu konsolidieren.
Dr. Secchi ist Kieferorthopäde mit einer Privatpraxis in Devon, Pennsylvania.
Dentsply Sirona KOL
Diplomat, American Board of Orthodontics
Kieferorthopäde
Privatpraxis in Devon, Pennsylvania
https://devonortho.com/
Aufnahmedatum
Dieser Fallbericht wird als Inspiration für Sie als Behandler veröffentlicht und stellt nicht unbedingt eine Empfehlung von Dentsply Sirona dar.
Leichter Fall, Klasse III
Mäßiger Abstand zwischen Ober- und Unterkiefer
Mittellinien 1,5 mm entfernt
Kreuzbiss oberer rechter seitlicher Schneidezahn und Eckzahn
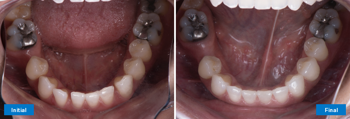
Fehlender unterer rechter 2. Prämolar
Alle Lücken schließen
Korrektur des anterioren Kreuzbisses auf der rechten Seite
Erhöhung der bukkalen Spitze des oberen rechten Eckzahns und des lingualen Kronendrehmoments des unteren rechten Eckzahns zur Verbesserung der Kopplung
Koordinierung der oberen und unteren Bögen und Aufrechterhaltung der Okklusionsebene
Korrektur der Mittellinien und Schaffung von ausreichend Platz für die Implantatversorgung des unteren rechten zweiten Prämolaren
Modalitäten: SureSmile® Software, Aligner und VPro
Dauer: 10,5 Monate
Aligner: O – 41 U – 33
Die Patientin wurde gebeten, 18 bis 20 Stunden pro Tag Aligner zu tragen und die Aligner-Stufen alle 7 Tage zu wechseln.
Alle Hauptziele wurden erreicht:
Aufbewahrung: OK und UK Transparenter Retainer