Contact Us

Take your practice to the next level.

Discover more ways to bring innovation to your practice.

Benefits

Why choose Xios XG Supreme?

Excellent Image Quality

Xios XG Supreme provides a theoretical resolution of 33 lp/mm and a 15 μm pixel size.

Multiple Options to Fit Your Treatment Rooms

Xios XG Supreme has been designed for true modularity to support your specific way of working, offering 3 sensor sizes (0, 1, and 2) and 3 cables lengths (90 cm, 180 cm, 270 cm).

Easy Cable Exchange

Sensor cable is available in 3 lengths. If a cable gets damaged, you can change it completely in-house and within minutes.

"I use the Xios XG Supreme sensor because of its mobility; I can now easily switch treatment rooms with it. The replaceable cable is also a great feature, as before I used to have issues with broken cables."

Dr. Antoine Hirardot, Le Mans, France

Working with Xios XG Supreme: Filtering enhancements

With Xios XG Supreme sensors you have the option of five different filtering options: General Dentistry, Endodontics, Periodontics, Restorative and Hygiene. These clinically specific views are designed to optimize your diagnosis, enhancing the image to suit your needs.

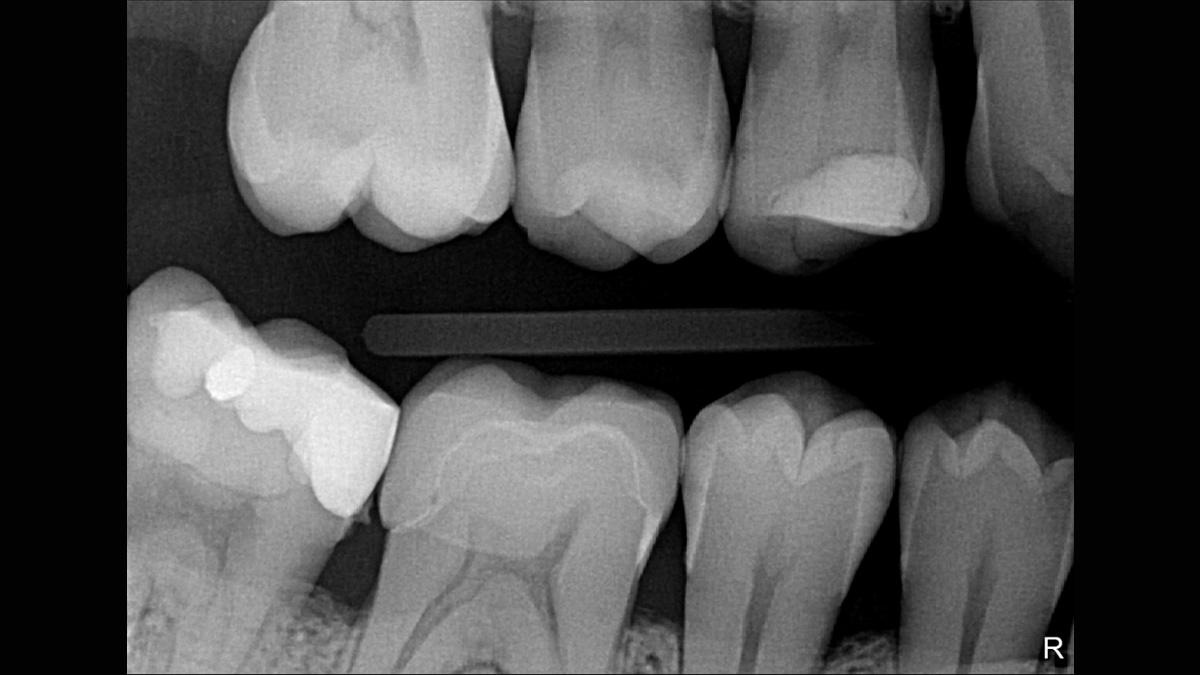
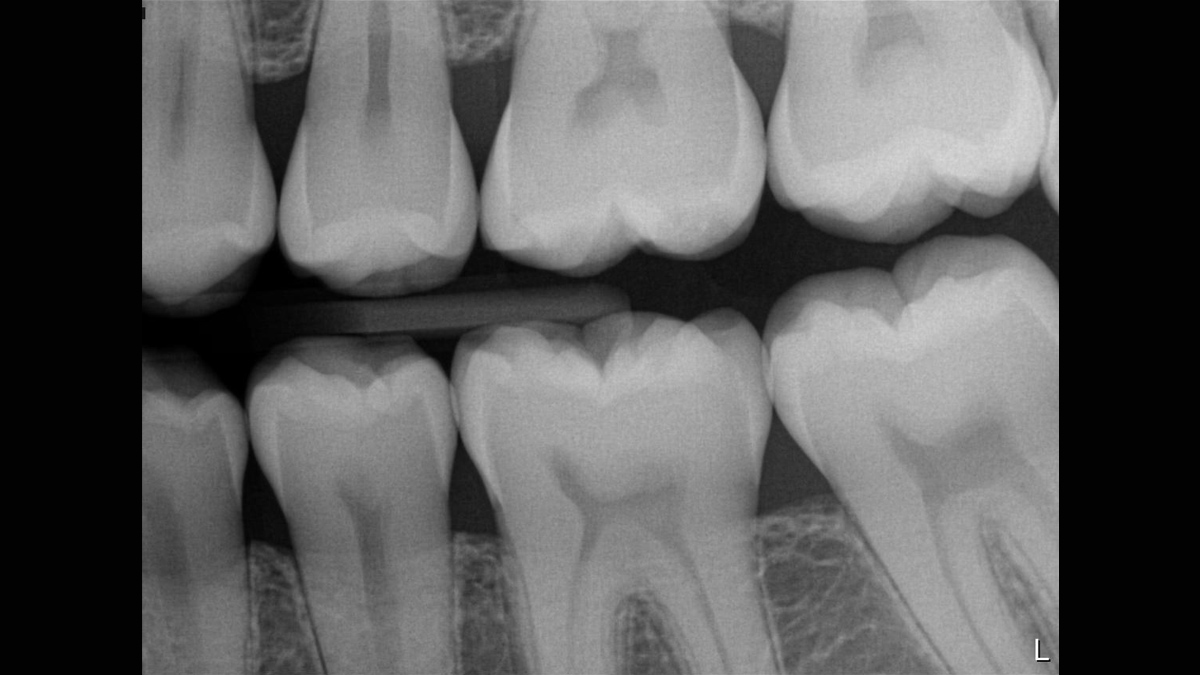
Gallery of Sample Images

FAQs

Bending imaging plates can distort images and jeopardize the reproducibility of the image quality - plate manufacturers specifically state that plates should not be bent. Intraoral sensors are not as susceptible to scratches or distortion of the image, offer quick X-ray capture and are overall much more durable, offering the ultimate intraoral imaging experience.

The requirements follow those set for the Sidexis 4 imaging software. For more details, please see Sidexis 4 System Requirements.

The Xios intraoral sensor cable technology is backed by years of leading experience and offers outstanding durability. The ability to exchange the cable helps to limit loss in productivity if unexpected damage occurs. For example, if a chair rolls over the cable or someone mistakenly shuts it in a drawer with force, there is the potential that the cable could get damaged. For these cases, it is good to be prepared and the exchangeable cable will ensure that you are fully supported and can continue working with minimal delay.

The USB interface comes equipped with a 2 m USB cable, and additional optional sensor cables go up to 2.7 m to suit every operatory configuration and allow for optimum movement and flexibility.

Dentsply Sirona's intraoral holder systems allow for a hygienic, comfortable and accurate imaging experience and can be purchased through your local dealer.

Contact us

Find out more about the X-ray Solutions from Dentsply Sirona and request information on intraoral X-ray, software or 2D and 3D imaging technology.