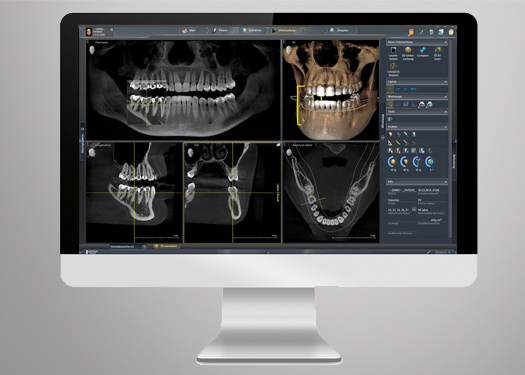
El nivel de información que puede obtenerse de una imagen 3D es algo revolucionario en el diagnóstico dental. La posibilidad de visualizar dientes superpuestos, canales inesperados y raíces ocultas aumenta la precisión y mejora considerablemente el diagnóstico de los pacientes. Mejorar la comprensión y la confianza tiene una influencia positiva en la aceptación del paciente y el éxito del tratamiento.
Orthophos S puede actualizarse en todo momento con funcionalidades 3D, para que estas unidades de radiología se ajusten a tu nivel de servicios y se desarrollen de la mano de tu clínica. Con estos dos modelos 3D, podrás elegir caso por caso si quieres emplear volúmenes de alta resolución para estructuras finas (HD) o un filtro de dosis baja para estructuras densas.
Volumen
Cada caso clínico necesita sus propios requisitos, ya sea en cuanto a tamaño de volumen, dosis y calidad de imagen. Elige el volumen que mejor se ajuste a tus necesidades: Desde el volumen más enfocado de Ø 5 cm x 5,5 cm hasta el volumen de Ø 11 cm x 10 cm, que muestra las muelas del juicio y las vías respiratorias superiores.
Software de reducción de artefactos metálicos (Metal Artifact Reduction Software, MARS)
Los artefactos metálicos son un reto en la radiología 3D. Los objetos radiopacos crean efectos de sombras y rayas durante la reconstrucción tridimensional, interfiriendo con los hallazgos. MARS reduce automáticamente los artefactos metálicos y facilita el diagnóstico.
Modo de alta definición (HD)
El modo de definición estándar (SD) facilita toda la información clínica básica que hace falta para un diagnóstico. Algunos casos clínicos requieren una imagen de mayor calidad y con una mejor visibilidad de las estructuras finas para la planificación e implementación del tratamiento. El modo HD graba hasta 800 imágenes individuales durante una rotación y las combina en un volumen 3D con poco ruido y alta resolución de hasta 80 μm. Este modo garantiza un diagnóstico más rápido y seguro en el volumen registrado.
Modo de dosis baja
Este modo optimizado de dosis baja cuenta con un filtro específico que permite adquirir imágenes de estructuras densas, como huesos, a una dosis muy reducida. Esto hace que la dosis baja sea una opción muy útil para muchas tareas clínicas, especialmente para las de ortodoncia o implantología. Con sus funcionalidades de radiología 3D, los pacientes ya no necesitarán que los remitan a un escaneado CBCT, algo que agilizará el proceso y también contribuirá a ampliar tus ofertas de servicios.