Esta colección incluye diversos casos clínicos que muestran la amplia gama de indicaciones aplicables a CEREC Tessera: desde restauraciones en la clínica de una sola visita hasta grandes desafíos estéticos y rehabilitaciones orales completas, incluidas las restauraciones fabricadas en el laboratorio.
Inspírese y experimente cómo esta tecnología inteligente puede ayudarte en tu trabajo para hacer que la experiencia del tratamiento para ti y tus pacientes sea mejor, más segura y más rápida.


Amelogénesis Imperfecta

Para rehabilitación bucal completa con 28 restauraciones totalmente cerámicas

Un caso particular y prolongado de maloclusión esquelética de clase II y amelogénesis imperfecta generalizada de un adolescente remitido a rehabilitación protésica. El objetivo del tratamiento consistió en preparar la estructura dental restante, retirar retenciones y habilitar espacio para las coronas totalmente cerámicas cubriendo la totalidad de la dentina y simulando el esmalte que se perdió.

Antes: Situación inicial anterior al tratamiento protésico.

Después: Resultado final, 1 semana tras la intervención.

Alexander Declerck, (DDS, MSc)

Sint-Martens-Latem, Bélgica


Carillas de mínima preparación tras traumatismo en los incisivos centrales superiores

Restauración con material altamente estético realizada en un día después de un traumatismo en los incisivos maxilares inferiores.

Antes: Situación clínica preoperatoria. Traumatismo en los incisivos centrales superiores

Después: Restauraciones unidas con adhesivo.

Dr. Mohamed Hassanien

El Cairo, Egipto.


Rehabilitación estética de amelogénesis imperfecta

CEREC Tessera

Podría realizarse una rehabilitación estética en la región anterior con restauraciones CEREC Tessera del laboratorio con carillas de Celtra Ceram. 

Antes: el objetivo del tratamiento fue rehabilitar la maxila anterior y la mandíbula para una mejora estética. El diagnóstico clínico reveló amelogénesis imperfecta.

Después: restauración fabricada en el laboratorio hecha de cerámica de disilicato de litio avanzado CEREC Tessera y, para un resultado muy estético, revestido con Celtra Ceram.

Sabine Mayer (CDT)

Koblenz, Alemania

Mario Pace (CDT)

Lahnstein, Alemania


Segundo molar derecho inferior en 90 minutos

Un onlay CEREC Tessera

Una joven de 20 años con tratamiento endodóntico de su segundo molar derecho inferior. Se fabricó un onlay en clínica utilizando el nuevo ALD cerámico CEREC Tessera de alta resistencia.

Antes: Escenario clínico preoperatorio tras la terapia endodóntica.

Después: 1 mes después de unir el onlay CEREC Tessera.

Dr. Aniruddha Nene

Pune, India


Amelogénesis Imperfecta

Para rehabilitación bucal completa con 28 restauraciones totalmente cerámicas

Un caso particular y prolongado de maloclusión esquelética de clase II y amelogénesis imperfecta generalizada de un adolescente remitido a rehabilitación protésica. El objetivo del tratamiento consistió en preparar la estructura dental restante, retirar retenciones y habilitar espacio para las coronas totalmente cerámicas cubriendo la totalidad de la dentina y simulando el esmalte que se perdió.

Antes: Situación inicial anterior al tratamiento protésico.

Después: Resultado final, 1 semana tras la intervención.

Alexander Declerck, (DDS, MSc)

Sint-Martens-Latem, Bélgica


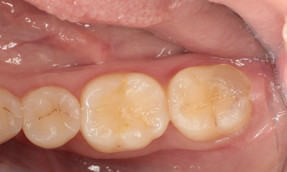
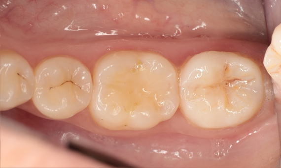
Restauración en clínica del segundo molar inferior

Una corona parcial CEREC Tessera

Un segundo molar inferior con sensibilidad que presenta grietas, además de una restauración de composite de clase I en la superficie bucal. Siguiendo un concepto mínimamente invasivo se planificó, fabricó y unió una corona CAD/CAM parcial con CEREC Tessera en una única visita.

Antes: Restauración de amalgama fallida que requiere sustitución. Paciente que se queja de sensibilidad y un diente que presenta varias grietas.

Después: Restauración en clínica de corona CAD/CAM parcial fabricada con cerámica vidriada de disilicato de litio avanzado CEREC Tessera.

Dr. Carlos Eduardo Sabrosa

Rio de Janeiro, Brasil


Primer molar superior en 100 minutos

Un inlay CEREC Tessera

La restauración en clínica en una sola visita demostró ser una solución particularmente efectiva y cómoda para esta paciente, ya que tuvo que desplazarse 50 kilómetros hasta la clínica. Podría realizarse un inlay muy estético con CEREC Tessera.

Antes: Restauración cerámica fracturada hecha de cerámica de vidrio reforzada con leucita tras un tiempo de servicio clínico de 12 años.

Después: Restauración fabricada en clínica hecha de cerámica de disilicato de litio avanzado CEREC Tessera.

Dr. Sven Rinke

Hanau, Alemania


Rehabilitación por cuadrantes

Dos coronas y dos inlays CEREC Tessera 

La restauración de dos coronas y dos inlays, de 15 años, se realizó en una única visita de cuatro horas. El paciente quedó muy complacido con el buen resultado estético.

Antes: Empastes insuficientes en el segundo cuadrante. Las restauraciones eran de unos 15 años.

Después: Coronas fabricadas en clínica con CEREC Tessera (dientes 26/27). Inlays para los dientes 24 y 25 hechos de bloques de composite.

Dr. Andreas Bindl

Zúrich, Suiza


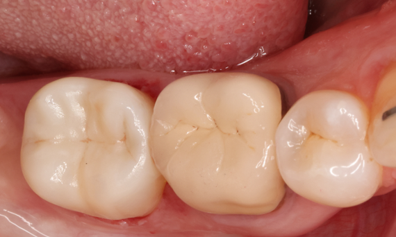
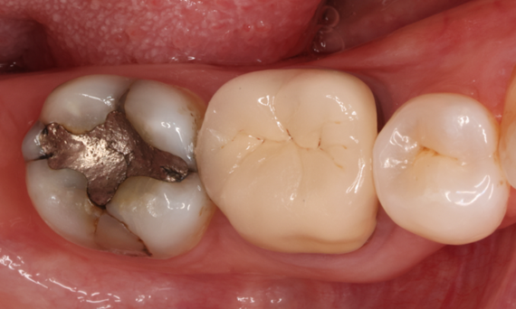
Primer molar superior en 90 minutos 

Una corona CEREC Tessera

La restauración del primer molar superior se realizó en una única visita gracias al flujo de trabajo eficiente de CEREC con CEREC Primemill y CEREC SpeedFire. El paciente quedó muy contento en cuanto al breve tiempo de tratamiento y el resultado estético.

Antes: El primer molar superior se restauró con un empaste de composite grande aunque insuficiente que ya mostraba fracturas visibles.

Después: Restauración fabricada en clínica hecha de cerámica de disilicato de litio avanzado, CEREC Tessera.

Dra. Shivi Gupta

San Diego, EE. UU.


Restauración de dientes HIM con CEREC Tessera

Una corona CEREC Tessera

Situación inicial de la paciente:

La paciente presentó un aumento de la sensibilidad a la temperatura en los molares a los seis años. La anamnesis no reveló ninguna evidencia de malformación del esmalte asociada a fármacos o enfermedades. El embarazo de la madre transcurrió sin complicaciones. La exploración clínica reveló una gran pérdida de sustancia y la presencia de esmalte hipomineralizado que abarcaba todas las coronas clínicas de los dientes 16 y 26. Además, el incisivo central izquierdo y ambos primeros molares inferiores se encontraban afectados por las hipomineralizaciones. El diente 21 no tenía cavitación y no mostraba hipersensibilidad. Los primeros molares inferiores presentaban pequeñas cavitaciones con hipersensibilidad. En base a estos hallazgos, el diagnóstico fue de hipomineralización incisivo-molar (HIM). Según el índice de necesidades de tratamiento HIM [Bekes y Steffen, 2016], a los dientes 16 y 26 se les asignó una puntuación 4c, que requiere una cobertura total de la corona. Al diente 21 se le asignó la puntuación 1, y se dejó como estaba por petición de la madre y de la propia paciente. A los dientes 36 y 46 se les asignó una puntuación de 4b, y se restauraron con restauraciones directas con composite.

En este punto, los molares superiores aún no habían erupcionado por completo. Por lo tanto, estos dientes se restauraron en un principio con restauraciones directas de composite, a la espera de la erupción completa del diente. A la edad de 11 años, los dientes 16 y 26 ya habían erupcionado por completo, por lo que se pudieron realizar restauraciones de coronas completas.

Dr. Sebastian Soliman

Wurzburgo, Alemania

Contacta con nosotros

Pídenos más​ información sobre nuestros productos y soluciones de restauración.