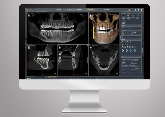
Le niveau de données fournies à partir d’une image 3D est une force révolutionnaire dans le diagnostic dentaire. La capacité de visualiser les dents superposées, les canaux secondaires et les racines cachées augmente la précision et l’impact du diagnostic d’un patient. L’amélioration de la compréhension et de la confiance influence positivement l’acceptation du patient et la réussite du traitement.
L’Orthophos S peut être amélioré avec des fonctionnalités 3D à tout moment, permettant à ces appareils d’imagerie d’évoluer avec votre niveau de services et votre cabinet. Avec ces deux modèles 3D, vous pouvez choisir au cas par cas d’utiliser des volumes à haute définition pour les structures fines (HD) ou un filtre à faible dose pour les structures denses.
Volume
En ce qui concerne la taille du volume, la dose et la qualité d’image, chaque cas clinique exige des exigences individuelles. Choisissez le volume qui convient à vos besoins : Du volume focalisé de Ø 5 cm x 5,5 cm au volume de Ø 11 cm x 10 cm, qui affiche les dents de sagesse et les voies respiratoires supérieures.
Logiciel de réduction des artéfacts métalliques (MARS)
Les artéfacts métalliques représentent un défi dans l’imagerie 3D. Les objets radio-opaques créent des effets d’ombrage et de stries pendant la reconstruction tridimensionnelle, ce qui nuit aux résultats. MARS réduit automatiquement les artéfacts métalliques et facilite le diagnostic.
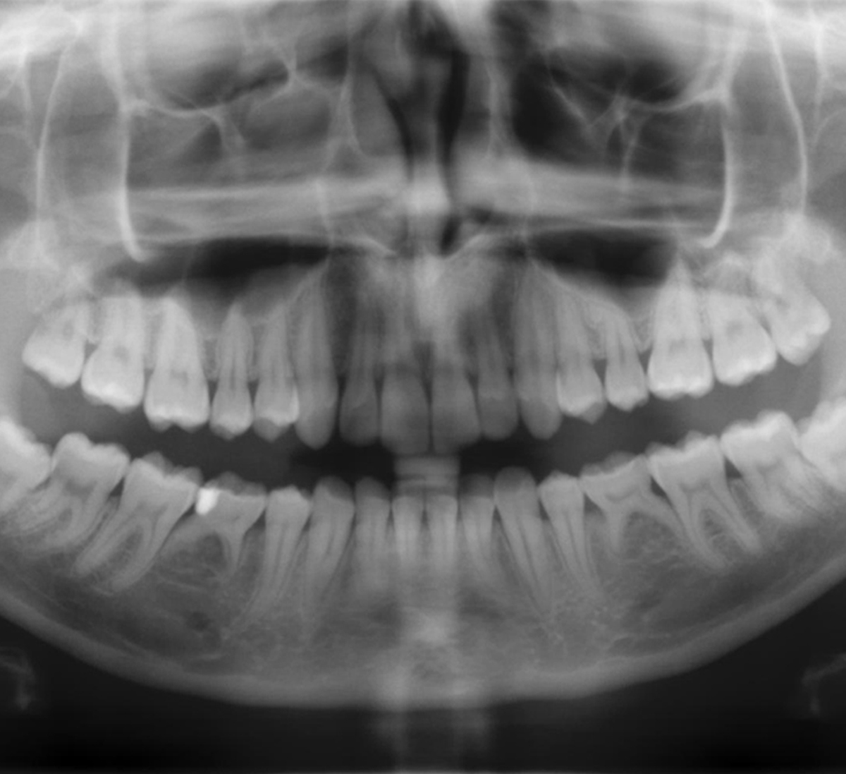
Mode haute définition (HD)
Le mode de définition standard (SD) fournit les informations cliniques de base nécessaires pour un diagnostic. Certains cas cliniques nécessitent une image de meilleure qualité avec une meilleure visibilité des structures fines pour la planification et la mise en route du traitement. Le mode HD enregistre jusqu'à 800 images individuelles lors d'une rotation, et les fusionne en un volume 3D à faible bruit avec une haute définition allant jusqu'à 80 μm. Ce mode garantit un diagnostic plus rapide et plus sûr dans le volume enregistré.
Mode à faible dose
Le mode à faible dose optimisé avec un filtre dédié permet l’imagerie de structures denses, comme les os, à une dose grandement réduite. Cela fait de la faible dose une option efficace pour de nombreuses tâches cliniques, particulièrement pour les personnes en orthodontie ou en implantologie. Avec ses capacités d’imagerie 3D, les patients n’ont plus besoin d’être orientés pour un examen CBCT, ce qui rationalise le processus et élargit vos offres de services.