Cette collecte rassemble plusieurs cas cliniques qui mettent en évidence la vaste gamme d’indications applicables à CEREC Tessera, qu’il s’agisse de restaurations au fauteuil en une seule visite, de défis hautement esthétiques ou de réadaptation orale complète comprenant des restaurations conçues en laboratoire.
Soyez inspiré et découvrez en quoi cette technologie intelligente peut vous aider dans votre travail afin de rendre l’expérience de traitement meilleure, plus sûre et plus rapide pour vous et vos patients.


Amélogénèse imparfaite

Réadaptation complète de la bouche avec 28 restaurations entièrement en céramique

Un cas particulier et prolongé de malocclusion du squelette de classe II et d’amélogénèse imparfaite généralisée chez un adolescent a été adressé pour une réadaptation prothétique. L’objectif du traitement était de préparer la structure dentaire restante, d’enlever les contre-dépouilles et de faire de la place pour des couronnes entièrement en céramique couvrant toute la dentine et simulant l’émail perdu.

Avant : Situation initiale avant le traitement orthodontique.

Après : Résultat final, 1 semaine après l’intervention.

Alexander Declerck, (DDS, MSc)

Sint-Martens-Latem, Belgique


Préparation minimale des facettes après traumatisme des incisives centrales supérieures

Restauration avec un matériau hautement esthétique dans la journée suivant un traumatisme aux incisives centrales maxillaires.

Avant : Situation clinique avant l’opération. Traumatisme des incisives centrales supérieures.

Après : Restaurations collées avec un adhésif.

Dr Mohamed Hassanien

Caire, Égypte


Réhabilitation esthétique de l’amélogénèse imparfaite

CEREC Tessera

Une réhabilitation esthétique dans la région antérieure pourrait être réalisée avec des restaurations CEREC Tessera de laboratoire plaquées avec Celtra Ceram. 

Avant : L’objectif du traitement était de réhabiliter le maxillaire antérieur et la mandibule pour une amélioration esthétique. Le diagnostic clinique a révélé une amélogénèse imparfaite.

Après : Restauration fabriquée en laboratoire à partir de céramique de disilicate de lithium avancé CEREC Tessera et pour un résultat esthétique élevé, un placage avec Celtra Ceram.

Sabine Mayer (CDT)

Koblenz, Allemagne

Mario Pace (CDT)

Lahnstein, Allemagne


Deuxième molaire inférieure droite en 90 minutes

Un onlay CEREC Tessera

Une patiente de 20 ans a reçu un traitement endodontique de sa 2e molaire inférieure droite. Une incrustation de surface au fauteuil a été fabriquée à partir de la nouvelle céramique haute résistance CEREC Tessera ALD.

Avant : Scénario clinique préopératoire après un traitement endodontique.

Après : 1 mois après la pose de l’incrustation de surface CEREC Tessera.

Dr Aniruddha Nene

Pune, Inde


Amélogénèse imparfaite

Réadaptation complète de la bouche avec 28 restaurations entièrement en céramique

Un cas particulier et prolongé de malocclusion du squelette de classe II et d’amélogénèse imparfaite généralisée chez un adolescent a été adressé pour une réadaptation prothétique. L’objectif du traitement était de préparer la structure dentaire restante, d’enlever les contre-dépouilles et de faire de la place pour des couronnes entièrement en céramique couvrant toute la dentine et simulant l’émail perdu.

Avant : Situation initiale avant le traitement orthodontique.

Après : Résultat final, 1 semaine après l’intervention.

Alexander Declerck, (DDS, MSc)

Sint-Martens-Latem, Belgique


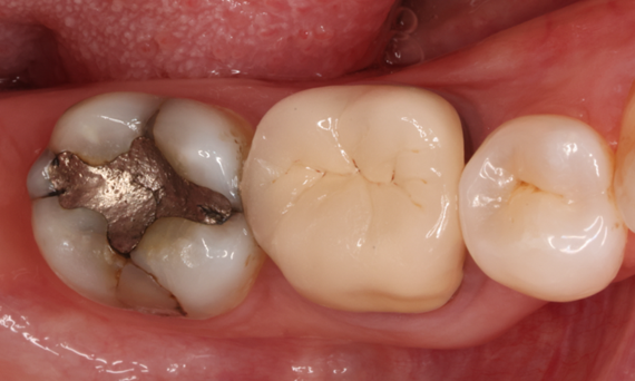
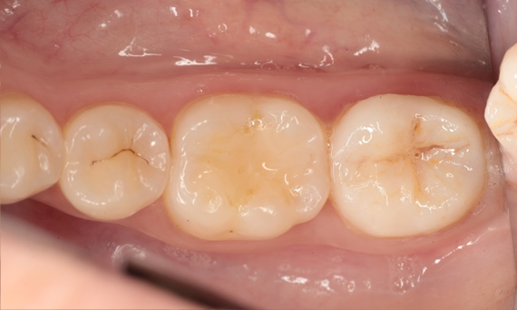
Restauration de la deuxième molaire inférieure au fauteuil

Une couronne partielle de CEREC Tessera

Une deuxième molaire inférieure présentant une sensibilité possédait des fissures ainsi qu’une restauration composite étendue de classe I sur la surface buccale. Selon une approche minimalement invasive, une couronne partielle CAO/FAO a été planifiée, fabriquée et collée à l’aide de CEREC Tessera en une seule visite.

Avant : Échec d’une restauration en amalgame nécessitant un remplacement. Patient se plaignant d’une sensibilité et d’une dent présentant plusieurs fissures.

Après : Restauration partielle de la couronne CAO/FAO au fauteuil fabriquée en vitrocéramique de disilicate de lithium avancé CEREC Tessera.

Dr Carlos Eduardo Sabrosa

Rio de Janeiro, Brésil


Première molaire supérieure en 100 minutes

Une incrustation CEREC Tessera

La restauration au fauteuil en une seule visite s’est avérée être une solution particulièrement efficace et confortable pour cette patiente, car elle habite à 50 kilomètres de la clinique. Une incrustation très esthétique avec CEREC Tessera pourrait être réalisée.

Avant : Restauration en céramique fracturée réalisée à partir d’une vitrocéramique renforcée à la leucite après une durée d’utilisation clinique de 12 ans.

Après : Restauration fabriquée au fauteuil à partir d’une céramique de disilicate de lithium avancée CEREC Tessera.

Dr. Sven Rinke

Hanau, Allemagne


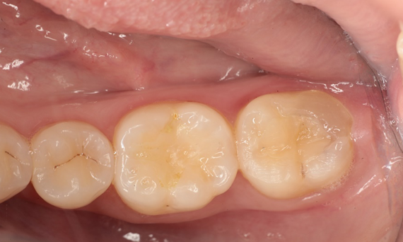
Réadaptation du quadrant

Deux couronnes CEREC Tessera et deux incrustations

En une seule visite de quatre heures, la restauration de deux couronnes et de deux incrustations âgées de 15 ans a été effectuée. Le patient s’est avéré très satisfait de l’excellent résultat esthétique.

Avant : Obturations insuffisantes dans le deuxième quadrant. Les restaurations avaient environ 15 ans.

Après : Couronnes fabriquées au fauteuil en Tessera CEREC (dents 26/27). Incrustations pour les dents 24 et 25 faites de blocs composites.

Dr Andreas Bindl

Zurich, Suisse


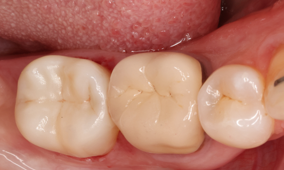
Première molaire supérieure en 90 minutes

Une couronne CEREC Tessera

La restauration de la première molaire supérieure en une seule visite était possible en raison d’un flux de travail CEREC efficace grâce à CEREC Primemill et CEREC SpeedFire. Le patient a été extrêmement satisfait de la courte durée du traitement et du résultat esthétique.

Avant : La première molaire supérieure avait été restaurée avec un remplissage composite étendu, mais insuffisant, qui présentait déjà des fractures visibles.

Après : Restauration fabriquée au fauteuil à partir d’une céramique de disilicate de lithium avancée CEREC Tessera.

Dr Shivi Gupta

San Diego, É.-U.


Restauration des dents MIH avec CEREC Tessera

Une couronne CEREC Tessera

Situation initiale du patient :

La patiente a présenté une sensibilité accrue à la température à ses molaires de six ans. L’anamnèse n’a révélé aucun signe de malformation de l’émail associée au médicament ou à la maladie. La grossesse de la mère était sans complications. L’examen clinique a révélé une perte de substance importante et un émail hypominéralisé englobant la totalité des couronnes cliniques des dents 16 et 26. En outre, l’incisive centrale gauche et les deux premières molaires mandibulaires étaient affectées par des hypominéralisations. La dent 21 n’a pas présenté de cavitation et n’a montré aucune hypersensibilité. Les premières molaires inférieures présentaient de petites cavitations avec hypersensibilité. Selon ces résultats, le diagnostic était l’hypominéralisation molaire-incisive (HMI). Selon l’indice MIH-Treatment-Need-Index [Bekes & Steffen 2016], les dents 16 et 26 ont été attribuées au score 4c nécessitant une couverture complète de la couronne. La dent 21 a été affectée au score 1 et a été laissée telle quelle à la demande de la mère et de la patiente elle-même. Les dents 36 et 46 ont reçu le score 4b et ont été restaurées avec des restaurations composites directes.

À cette étape, les molaires maxillaires n’ont pas encore été complètement sorties. Par conséquent, ces dents ont d’abord été restaurées avec des restaurations composites directes en attendant l’éruption complète des dents. À l’âge de 11 ans, les dents 16 et 26 avaient complètement éclaté, permettant des restaurations de couronne complète.

Dr Sebastian Soliman

Würzburg, Allemagne

Nous joindre

En savoir plus sur nos produits et solutions de restauration.