Grâce à ces cas cliniques, vos collègues démontrent la vaste gamme d’indications applicables à CEREC, qu’il s’agisse de restaurations en une seule visite, de défis hautement esthétiques ou de réadaptation orale complète.

Laissez-vous inspirer et voyez comment cette technologie sophistiquée et intelligente peut vous aider à améliorer l’expérience de soin de vos patients, en la rendant plus agréable, plus sûre et plus rapide.

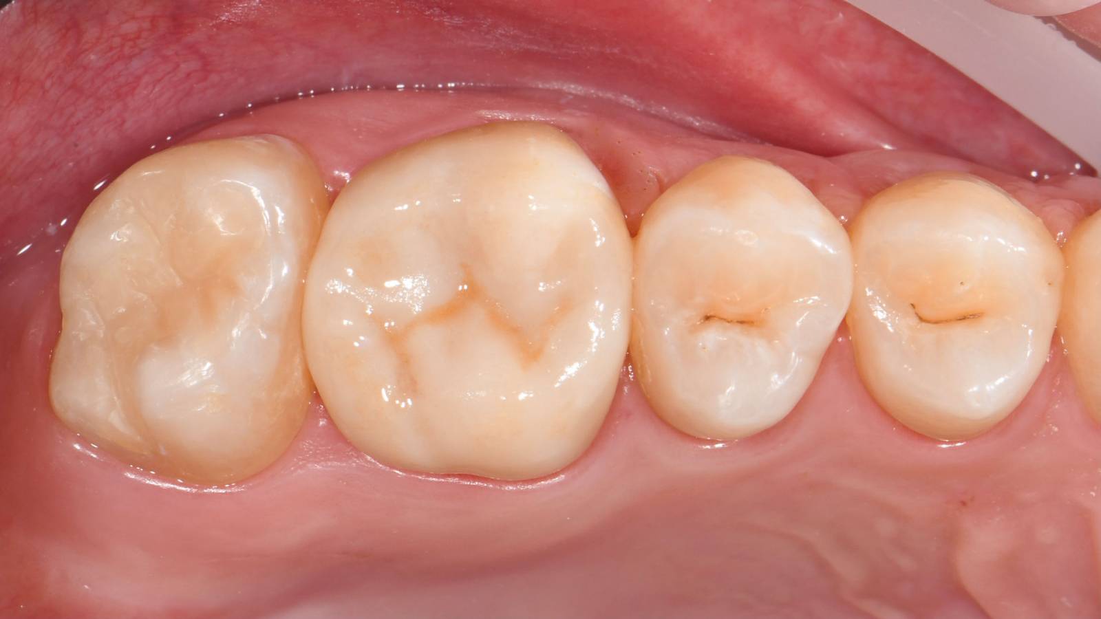
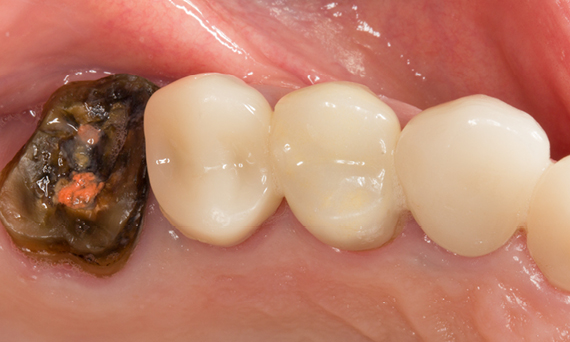
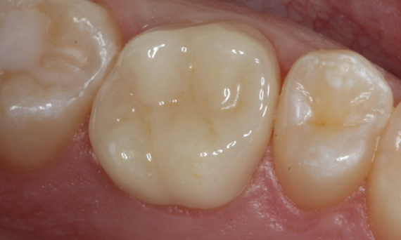
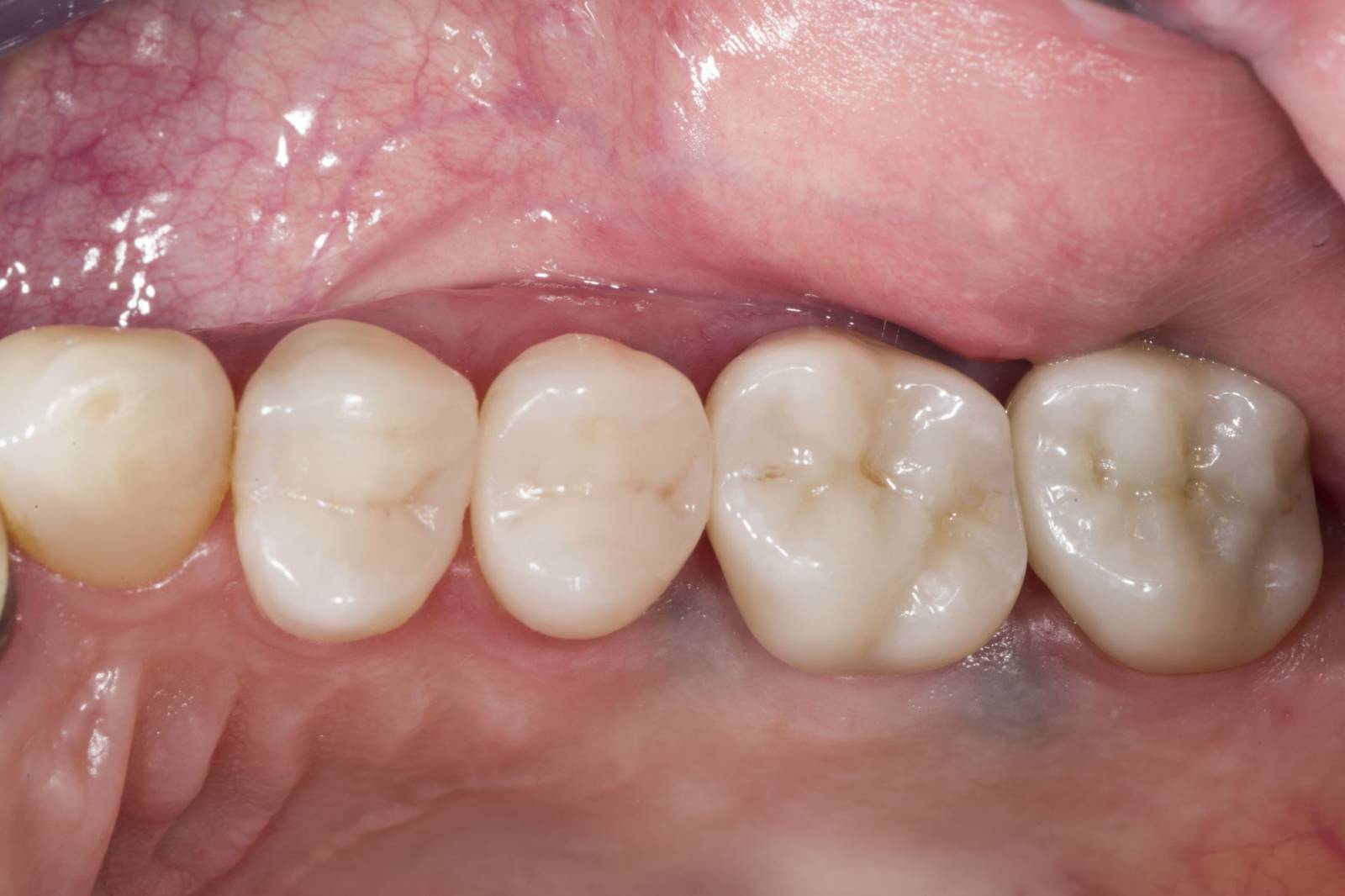
Première molaire supérieure en 90 minutes 

Une couronne CEREC Tessera

La restauration de la première molaire supérieure en une seule visite était possible en raison d’un flux de travail CEREC efficace grâce à CEREC Primemill et CEREC SpeedFire. Le patient a été extrêmement satisfait de la courte durée du traitement et du résultat esthétique.

Avant : La première molaire supérieure avait été restaurée avec un remplissage composite étendu, mais insuffisant, qui présentait déjà des fractures visibles.

Après : Restauration fabriquée au fauteuil à partir d’une céramique de disilicate de lithium avancée CEREC Tessera.

Dr Shivi Gupta

San Diego, É.-U.


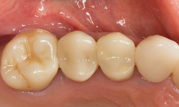
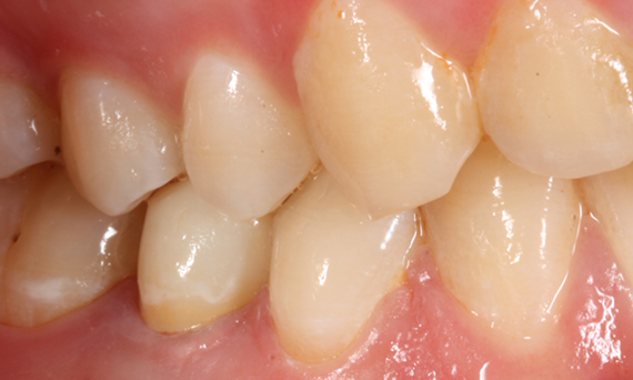
Première molaire supérieure en 100 minutes

Une incrustation CEREC Tessera

La restauration au fauteuil en une seule visite s’est avérée être une solution particulièrement efficace et confortable pour cette patiente, car elle habite à 50 kilomètres de la clinique. Une incrustation très esthétique avec CEREC Tessera pourrait être réalisée.

Avant : Restauration en céramique fracturée réalisée à partir de vitrocéramique renforcée par de la leucite après 12 ans de service clinique.

Après : Restauration réalisée au fauteuil à partir d’une céramique avancée en disilicate de lithium CEREC Tessera.

Dr Sven Rinke

Hanau, Allemagne


Deuxième prémolaire supérieure en 90 minutes

Une couronne en zircone CEREC MTL 

Le patient était très satisfait de ce traitement conservateur réalisé en une seule visite. La couronne en zircone CEREC MTL allie résistance élevée et esthétique remarquable.

Avant : Importante lésion carieuse mésiale sur la dent 15. La dent présentait une parodontie apicale asymptomatique et une perte importante de la substance dentaire.

Après : Restauration au fauteuil en zircone CEREC MTL, conçue avec la fonction de biogénérique individuelle dans le logiciel CEREC. 

Dre Cecilie Terjesen

Arendal, Norvège


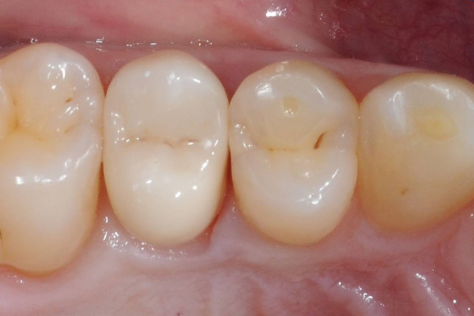
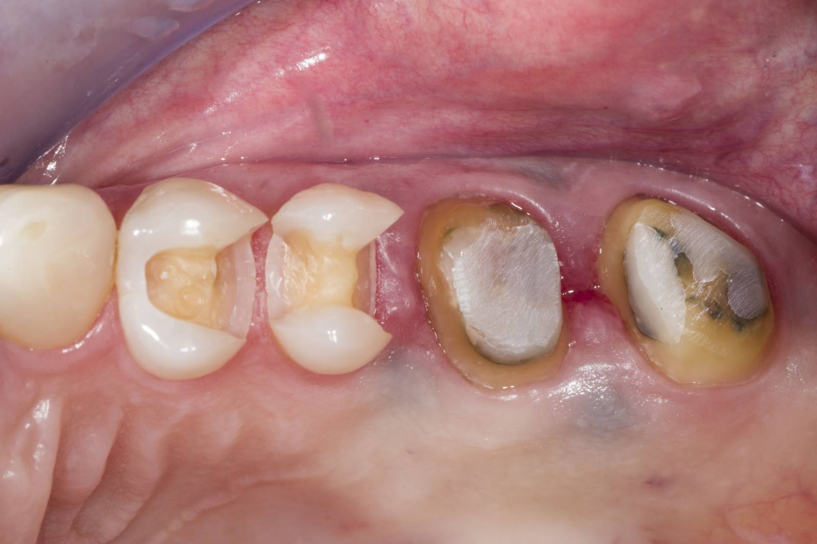
Réhabilitation d’un quadrant

Deux couronnes CEREC Tessera et deux incrustations 

En une seule visite de quatre heures, la restauration de deux couronnes et de deux incrustations âgées de 15 ans a été effectuée. Le patient s’est avéré très satisfait de l’excellent résultat esthétique.

Avant : Obturations insuffisantes dans le deuxième quadrant. Les restaurations avaient environ 15 ans.

Après : Couronnes fabriquées au fauteuil en Tessera CEREC (dents 26/27). Incrustations pour les dents 24 et 25 faites de blocs composites.

Dr Andreas Bindl

Zurich, Suisse


Deuxième prémolaire supérieure en 60 minutes

Une couronne unitaire IPS e.maxCAD 

La rapidité du flux de travail restaurateur complet a été impressionnante : de la préparation à la fabrication, jusqu’à la cimentation de la restauration, le traitement a été réalisé en seulement 57 minutes. Le patient a exprimé une grande satisfaction quant à la rapidité du traitement et au résultat esthétique obtenu.

Avant : La dent 25 présentait une dégradation marginale mésiale et distale, ainsi qu’une fracture de la porcelaine sur la couronne métallo-céramique précédemment posée.

Après : La couronne de la dent 25 a été reconstruite pour mieux s’harmoniser avec l’alignement facial et incisif de l’arcade dentaire.

Dr Frank Clark Brown

Melbourne, États-Unis


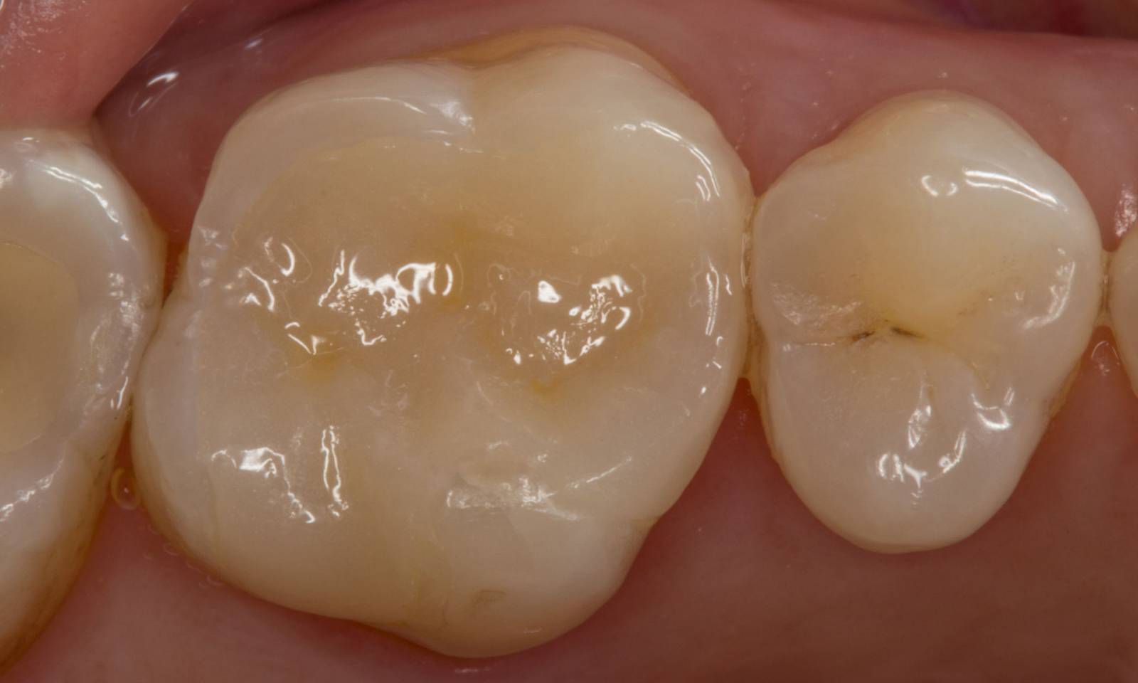
Première molaire supérieure en 60 minutes

Couronne unitaire IPS e.max CAO

Ce cas clinique démontre l’efficacité et la rapidité de CEREC Primemill pour fabriquer en une seule séance au fauteuil une couronne en vitrocéramique sur toute la surface, tout en satisfaisant aux plus hautes exigences esthétiques.

Avant : Grande insuffisance du remplissage composite sur la dent 16 avec fissures de crête marginale distale, fissure de la paroi linguale et carie distale récurrente.

Après : Couronne en vitrocéramique à surface intégrale hautement esthétique.

Dre Karyn M. Halpern DMD, M.Sc.

New York, É.-U.


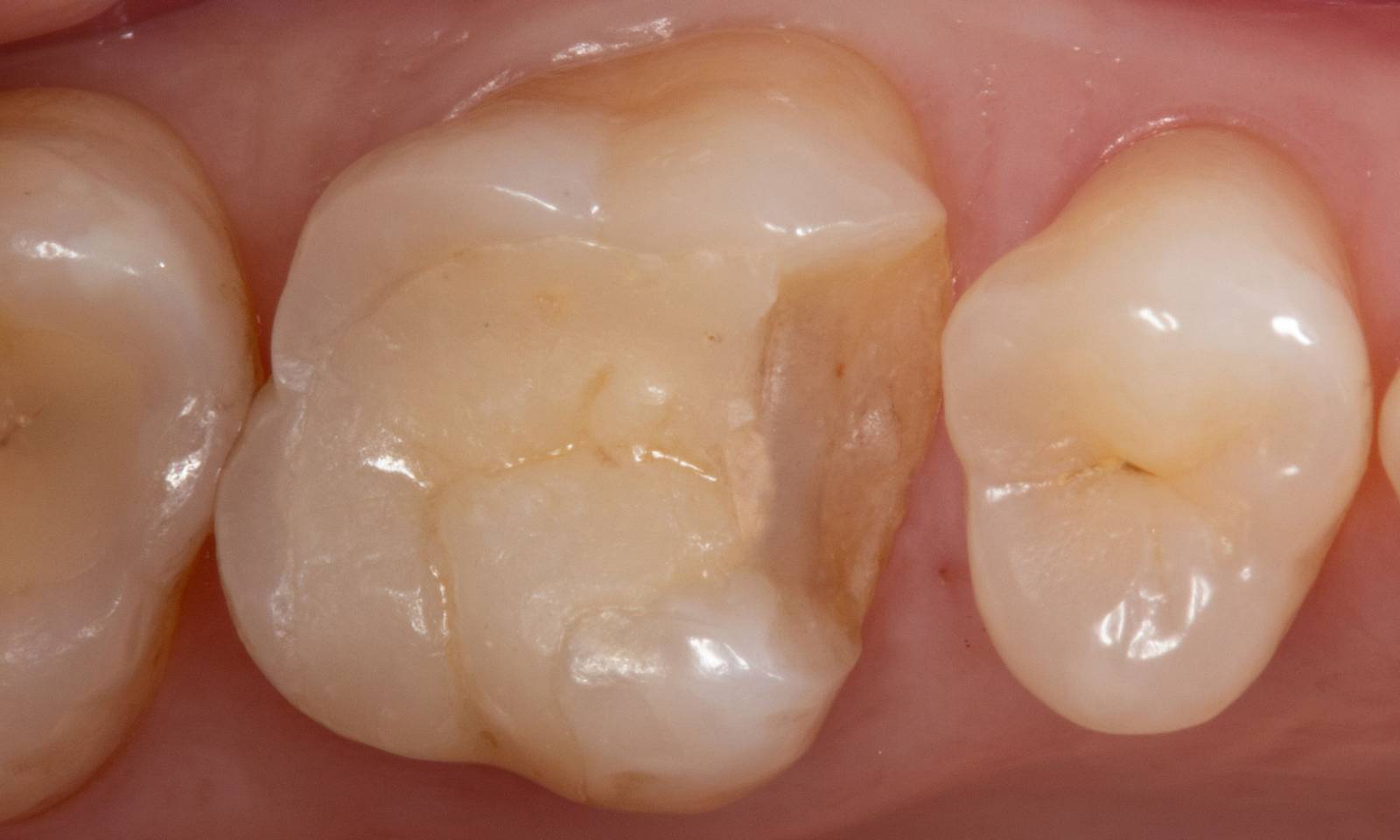
Première molaire supérieure en 75 minutes

Couronne unitaire IPS e.max CAO

Un logiciel de conception rapide et très précis, facile à gérer et intuitif, combiné à une unité de fraisage et de meulage qui complète une restauration en quelques minutes seulement, mène à une hausse significative de l’efficacité et à une plus grande satisfaction des patients avec ma pratique.

Avant : La dent 26 présentait une carie et une restauration en composite direct défectueuse.

Après : Couronne en céramique de disilicate de lithium hautement esthétique et fonctionnelle.

Dr Dan Butterman

Centennial, É.-U.


Deuxième prémolaire inférieure, en 90 minutes

Couronne unitaire Katana Zirconia STML

La restauration de cette prémolaire était particulièrement adaptée au traitement au fauteuil avec de la zircone, le tout réalisé en environ 90 minutes. L’utilisation de zircone plein contour a été possible grâce à un large éventail de teintes disponibles, offrant des résultats esthétiques satisfaisants.

Avant : Décoloration de la dent 45 à la suite d’un traitement de canal antérieur.

Après : Couronne en zircone translucide avec finition personnalisée.

Dr Gertrud Fabel

Munich, Allemagne


Première molaire supérieure, en 90 minutes

Couronne unitaire Katana Zirconia STML

Non seulement CEREC Primemill accélère le rendez-vous, mais il offre également une polyvalence dans les stratégies de fraisage. Dans ce cas, nous avons choisi le mode de fraisage extra fin pour obtenir un maximum d’esthétique et d’attention aux détails dans la mesure du possible.

Avant : Couronne en céramique métallique fracturée sur la dent 14, qui avait déjà été traitée de façon endodontique.

Après : Couronne en zircone translucide complète pour un résultat esthétique avec une résistance et une forme de rétention maximales.

Dr Mike Skramstad

Orono, É.-U.

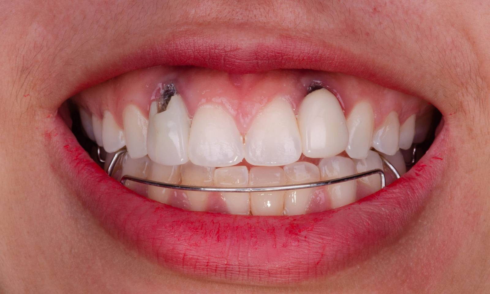
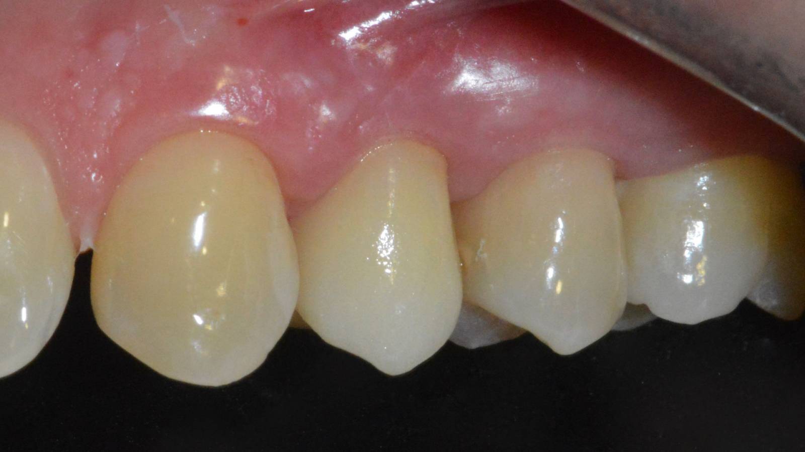
Incisives centrales supérieures, en 4 heures

Quatre couronnes unitaires IPS e.max CAO

La restauration avec des couronnes entièrement en céramique n’a pas nécessité de préparation sous-gingivale pour couvrir la marge et aucune ombre métallique foncée n’a perturbé l’esthétique. Avec CEREC Primescan et CEREC Primemill, les patients reçoivent une restauration entièrement en céramique de haute qualité plus rapidement que jamais.

Avant : Obturations inadéquates sur les dents 12 à 22, une ligne gingivale inégale sur les bords 12 et 11 et les bords incisifs gravement érodés.

Après : Quatre couronnes en céramique de disilicate de lithium hautement esthétiques et personnalisées.

Claudia Scholz

Kiel, Allemagne


Réhabilitation d’un quadrant en 2 séances

Dix couronnes unitaires VITA Suprinity PC

Le patient voulait un sourire magnifique. Comme les dents de 15 à 25 sont toutes visibles, la décision a été prise d’utiliser une céramique hautement esthétique pour chacune d’entre elles. En raison de la consultation approfondie et de la mise en œuvre d’une simulation, la restauration a été réalisée en deux séances avec CEREC.

Avant : Patiente, insatisfaite de son sourire en raison d’une décoloration dentaire.

Après : Dix couronnes simples hautement esthétiques, personnalisées avec des colorants.

Dr Daniel Vasquez

San Diego, É.-U.

Incisives latérales supérieures, en 180 minutes

Pose d’implant Ankylos et de deux couronnes CELTRA DUO 

Après neuf mois de chirurgies, CEREC a permis de restaurer le sourire de mon patient en une seule visite, offrant des résultats impressionnants par rapport à la situation initiale.

Avant : L’absence des dents 12 et 22, due à une agénésie dentaire et à une perte osseuse causée par des implants initialement mal posés, représentait un défi pour les restaurations dans la zone antérieure.

Après : Des restaurations de dents uniques hautement esthétiques avec implants et couronnes antérieures réalisées au fauteuil.

Dr Fernando Peixoto Soares

São Paulo, Brésil


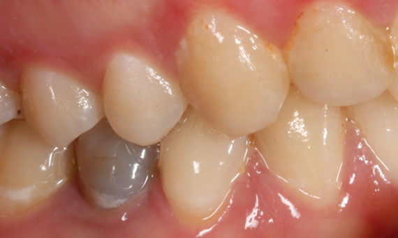
Deuxième prémolaire supérieure

Pose d’un implant Astra Tech et d’une couronne unitaire IPS e.max CAO 

Un patient de 36 ans s’est présenté à notre cabinet quatre mois après l’extraction de la dent 15, car il souhaitait combler l’espace vacant laissé par un implant. Six mois après la chirurgie guidée, le patient présentait des gencives et une ossature saines.

Avant : La dent 15 manquait en raison d’une fracture longitudinale. Le patient souhaitait combler cet espace.

Après : Une couronne en vitrocéramique de qualité supérieure offrant une restauration esthétique et durable.

Dr Andreas Bindl

Zurich, Suisse


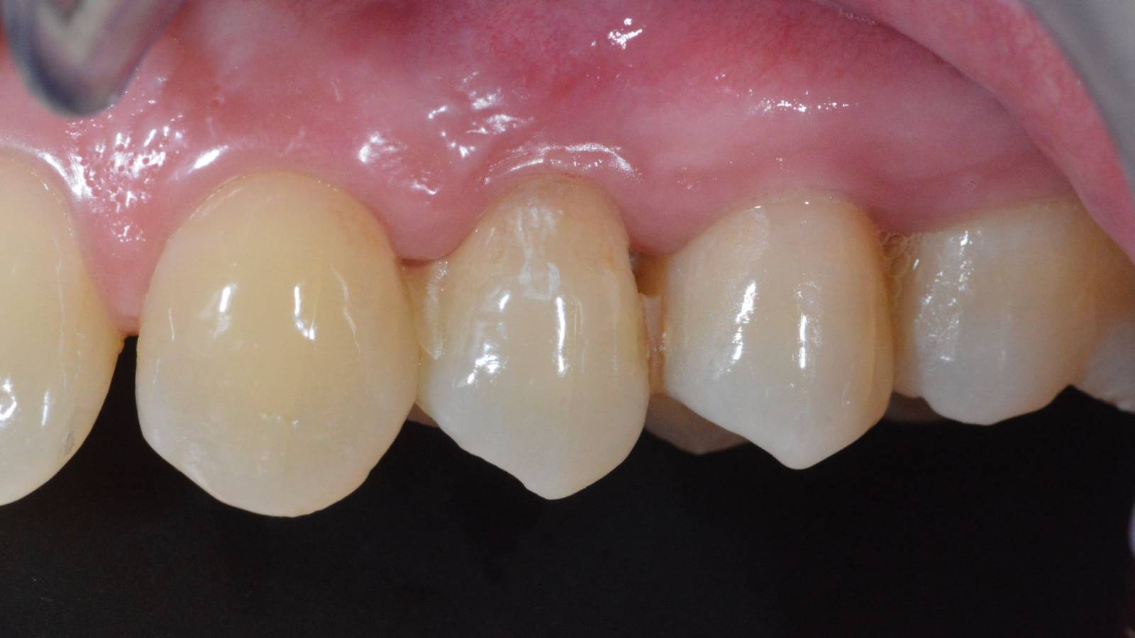
Première molaire supérieure en 90 minutes

Pose d’un implant Ankylos et d’une couronne unitaire IPS e.max CAO 

Le traitement implantaire final, réalisé et posé en 90 minutes grâce au flux de travail numérique CEREC au fauteuil, a grandement satisfait le patient.

Avant : Dent 24 avec une fracture radiculaire horizontale et une infection périphérique.

Après : Préservation de l’esthétique et du contour naturel des tissus mous.

Dr Carlos Repullo

Séville, Espagne

Nous joindre

Apprenez-en davantage sur les solutions CAO/FAO et le système CEREC offerts par Dentsply Sirona en demandant des informations produit.