Appelez-nous ou laissez vos coordonnées ci-dessous, et un représentant Dentsply Sirona vous contactera prochainement.
Bénéficiez de 5 % de réduction sur votre première commande avec le code promotionnel WELCOME5
Implant Solutions World Summit 2026 En savoir plus
Catégories
Découvrez l’avenir de la dentisterie connectée : Chaque événement présente une formation de pointe, des avancées récentes, des leaders d’opinion renommés et des opportunités de réseautage incomparables.
Notre stratégie de développement durable est au cœur de notre mission et de tout ce que nous faisons.
Solution TruNatomy
TruNatomy est une solution d’endodontie complète qui offre :
Dans cette collection de témoignages, des cliniciens partagent leurs expériences avec TruNatomy. Des cas simples2 aux cas complexes,3 TruNatomy est une solution qui suit les cliniciens dans leur cabinet au quotidien.
« Une réussite centrée sur le patient et le processus. » - Dr Cowie
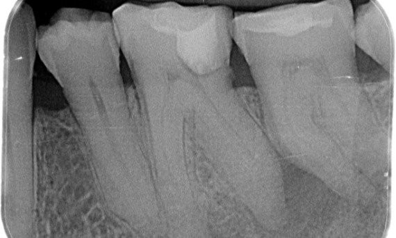
Avant : Radiotransparence périapicale associée principalement à la racine distale et à la perte de la lamina dura sur la racine mésiale.
Après : TruNatomy a été choisi dans ce cas pour permettre une approche adaptée aux caries et une préservation de la dentine péricervicale, en particulier au niveau de l’aspect mésial où la restauration de la dent était minimale.
Bath, Royaume-Uni
« J’ai choisi TruNatomy pour pouvoir préserver autant de dentine que possible afin de surmonter le défi lié à la charge occlusale et d’augmenter la longévité de la dent. » - Dr Abuelezz
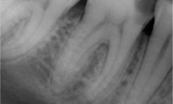
Avant : L’examen a révélé une lésion carieuse liée à la première molaire mandibulaire droite. L’examen radiographique a révélé la proximité de la lésion avec la corne pulpaire et, en l’associant à la plainte principale, un diagnostic final de pulpite chronique irréversible a été posé.
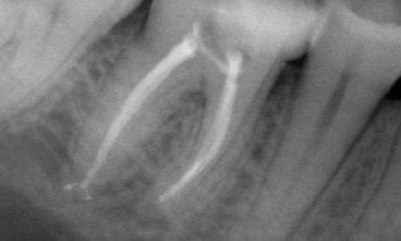
Après : La cavité d’accès a été réalisée de la manière la plus conservatrice possible. TruNatomy a été le système de choix en raison de l’âge du jeune patient. Nous devions préserver la dentine autant que possible afin d’augmenter la capacité de la dent à surmonter la charge occlusale et d’accroître la longévité de la restauration finale.
Le Caire, Egypte
Pour en savoir plus sur nos produits et solutions endodontiques.
1 Comparé à ProTaper Next
2 Dr Filippo Santarcangelo (PDF S. 8 - Cas cliniques et témoignages)
3 Dr Jonathan Cowie (PDF S. 12 - Cas cliniques et témoignages)