Bel ons of geef hieronder uw contactgegevens op. Een vertegenwoordiger van Dentsply Sirona zal binnenkort contact met u opnemen.
Single-visit indirecte restauraties met CEREC-blokken moeten naadloos opgaan in uw workflow. Concessies mogen geen deel uitmaken van het beoordelingsproces. Met de modernste technologie hoeft u geen compromissen te sluiten. Esthetiek en sterkte. Sterkte en snelheid. Esthetiek en snelheid. Alle combinaties worden standaard aangeboden om u te helpen state-of-the-art restauraties te leveren.
CEREC Tessera™ - Advanced Lithium Disilicate is een materiaal dat klaar is om te worden geïntegreerd in uw digitale workflow als uw go-to glaskeramisch blok of in combinatie met CEREC MTL® Zirkonia voor een compleet CEREC-blokaanbod.
CEREC Tessera™ Abutment blokken zijn een productuitbreiding van CEREC Tessera™ Advanced Lithium Disilicate Blocks. De CEREC Tessera™ keramische structuur gecementeerd op de TiBase wordt aanbevolen voor tweedelige hybride abutments voor enkelvoudige tand-restauraties en hybride abutment kronen, gebruikt in combinatie met endosseuze tandheelkundige implantaten.
Voordelen
Tot 32% sterker dan de concurrentie met een biaxiale sterkte gemeten bij meer dan 700 MPa.1
De dubbele kristalstructuur interageert met het zichtbare lichtspectrum voor ideale doorschijnendheid, fluorescentie en opalescentie.
Clinici kunnen tot 44% van de totale verwerkingstijd (slijpen en bakken) besparen zonder dat dit ten koste gaat van het volledige scala aan esthetische opties.1
Geïndiceerd voor gebruik voor solitaire kronen, inlays, onlays en veneer.
1. Interne data on file. Neem contact op met Consumables-Data-Requests@dentsplysirona.com voor meer informatie
OVER GEAVANCEERDE LITHIUMDISILICAAT
TESTIMONIALS
"Randen prachtig gefreesd. De tint werkte goed voor deze casus! Er waren geen aanpassingen nodig."
Shivi Gupta, DDS
“De baktijd is een revolutie met dit materiaal.”
Michael Snider, DMD
OVER CEREC TESSERA™
1. Interne data on file. Neem contact op met Consumables-Data-Requests@dentsplysirona.com voor meer informatie
1. Interne data on file. Neem contact op met Consumables-Data-Requests@dentsplysirona.com voor meer informatie
1. Interne data on file. Neem contact op met Consumables-Data-Requests@dentsplysirona.com voor meer informatie
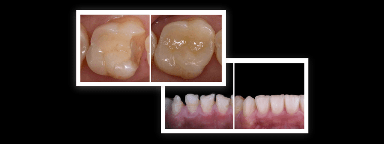
SINGLE-UNIT CROWN WORKFLOW
CEREC Tessera™ blokken maken een ongekende verwerkingssnelheid mogelijk voor een grotere patiënttevredenheid en een productievere praktijk: ze hebben slechts 4,5 minuut nodig in een CEREC SpeedFire® oven1, zelfs bij verkleuringen.
CHAIRSIDE IMPLANTAAT TIBASE-RESTAURATIEPROCEDURE
CEREC Tessera™ blokken zijn ontworpen voor de workflow op kantoor en kunnen snel en betrouwbaar worden voltooid. Gebruik deze krachtige combinatie voor efficiëntere workflows. Combineer alle elementen voor een geslaagde TiBase-restauratie van het implantaat.
In deze workflow wordt een CEREC Tessera ™ abutment blok gebruikt als volledig dekkende kroon die extraoraal wordt gecementeerd op een TiBase. Het wordt vervolgens in het implantaatsysteem geschroefd. Composite (zoals Ceram.x Spectra® ST) wordt gebruikt om het schroefkanaal te vullen en de restauratie te voltooien.
Primescan en CEREC® Software bieden snelheid, eenvoud en nauwkeurigheid bij digitale afdrukken in hoge resolutie voor betere klinische resultaten en winstpotentieel.
CEREC® Primemill levert kwaliteit, snelheid, gemak en veelzijdigheid voor uitstekende marges en oppervlaktedetails.
CEREC SpeedFire® is de kleinste en snelste sinteroven die verkrijgbaar is. Glazuur CEREC Tessera™ abutment in ongeveer 4,5 minuut.
In deze workflow wordt een CEREC Tessera™ abutment blok gebruikt om een op maat gemaakt abutment te creëren waarop elke volledig dekkende kroon kan worden gecementeerd. CEREC Tessera™ abutment blok wordt extraoraal gecementeerd aan een TiBase en intraoraal in het implantaatsysteem geschroefd. Vervolgens wordt intraoraal een volledig bedekkende kroon gecementeerd.
Primescan en CEREC® Software bieden snelheid, eenvoud en nauwkeurigheid bij digitale afdrukken in hoge resolutie voor betere klinische resultaten en winstpotentieel.
CEREC® Primemill levert kwaliteit, snelheid, gemak en veelzijdigheid voor uitstekende marges en oppervlaktedetails.
CEREC SpeedFire® is de kleinste en snelste sinteroven die verkrijgbaar is. Glazuur CEREC Tessera™ abutment kronen in ongeveer 4,5 minuten.
Verdere bronnen zijn beschikbaar in ons Download Center.
1. Interne data on file. For more information, contact Consumables-Data-Requests@dentsplysirona.com