Deze collectie bevat verschillende klinische casussen, die het brede scala aan indicaties aantonen voor het gebruik van CEREC Tessera - van single-visit chairside restauraties tot zeer esthetische uitdagingen en uitgebreide, orale revalidaties, waaronder door tandheelkundige laboratoria gefabriceerde restauraties.
Laat u inspireren en ervaar hoe deze slimme technologie uw werk kan ondersteunen om de behandelingservaring voor u en uw patiënten beter, veiliger en sneller te maken.


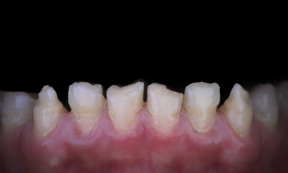
Amelogenesis imperfecta

Volledige mondrevalidatie met 28 volledig keramische restauraties

Een tiener met een bijzonder en langdurig geval van malocclusie van skeletklasse II en gegeneraliseerde amelogenesis imperfecta werd verwezen naar prothetische revalidatie. Het doel van de behandeling was om de resterende tandstructuur voor te bereiden, ondersnijdingen te verwijderen en ruimte te maken voor volledig keramische kronen die de gehele dentine bedekken en het verloren glazuur nabootsen.

Vóór: Initiële situatie voorafgaand aan orthodontische behandeling.

Na: Eindresultaat, 1 week postoperatief.

Alexander Declerck, (DDS, MSc)

Sint-Martens-Latem, België


Minimale preparatie van veneers na trauma van bovenste centrale snijtanden

Restauratie met een zeer esthetisch materiaal in één dag na trauma aan de maxillaire centrale snijtanden.

Vóór: Klinische situatie pre-op. Trauma van bovenste centrale snijtanden

Na: Restauraties gehecht met adhesief.

Dr. Mohamed Hassanien

Caïro, Egypte


Esthetische revalidatie van amelogenesis imperfecta

CEREC Tessera

Een esthetische revalidatie kon anterieur gerealiseerd worden met labside CEREC Tessera restauraties met Celtra Ceram. 

Vóór: De behandelingsdoelstelling was de revalidatie van de anterieure maxilla en mandibula voor esthetische verbetering. De klinische diagnose toonde amelogenesis imperfecta.

Na: Door het laboratorium vervaardigde restauratie, gemaakt van het geavanceerd lithiumdisilicaatkeramiek CEREC Tessera en voor het hoge esthetische resultaat veneering met Celtra Ceram.

Sabine Mayer (CDT)

Koblenz, Duitsland

Mario Pace (CDT)

Lahnstein, Duitsland


Tweede molaar rechtsonder in 90 minuten

Een CEREC Tessera-onlay

Een 20-jarige vrouwelijke patiënte onderging de endodontische behandeling van haar tweede molaar rechtsonder. Een chairside onlay werd gemaakt van het nieuwe, zeer sterke, keramische CEREC Tessera geavanceerd lithiumdisilicaat.

Vóór: Preoperatief klinisch scenario na endodontische behandeling.

Na: 1 maand nadat de CEREC Tessera-onlay was gehecht.

Dr. Aniruddha Nene

Pune, India


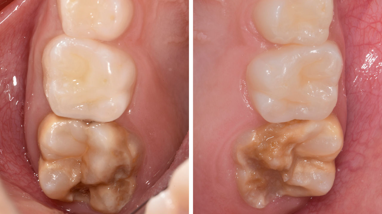
Amelogenesis imperfecta

Volledige mondrevalidatie met 28 volledig keramische restauraties

Een tiener met een bijzonder en langdurig geval van malocclusie van skeletklasse II en gegeneraliseerde amelogenesis imperfecta werd verwezen naar prothetische revalidatie. Het doel van de behandeling was om de resterende tandstructuur voor te bereiden, ondersnijdingen te verwijderen en ruimte te maken voor volledig keramische kronen die de gehele dentine bedekken en het verloren glazuur nabootsen.

Vóór: Initiële situatie voorafgaand aan orthodontische behandeling.

Na: Eindresultaat, 1 week postoperatief.

Alexander Declerck, (DDS, MSc)

Sint-Martens-Latem, België


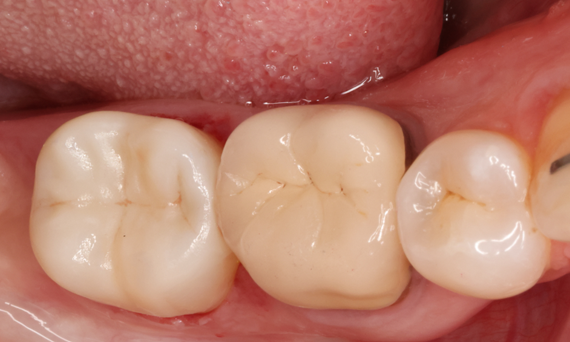
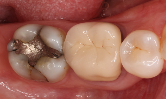
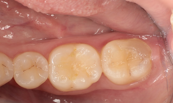
Restauratie onderste tweede molaar in de stoel

Een gedeeltelijke CEREC Tessera-kroon

Een onderste tweede molaar met gevoeligheid vertoonde scheuren en een uitgebreide klasse I composietrestauratie op het buccale oppervlak. Volgens het minimaal invasieve concept werd een CAD/CAM partiële kroon in een enkel bezoek gepland, vervaardigd en gehecht met behulp van CEREC Tessera.

Vóór: Een mislukte amalgaamrestauratie die vervangen moet worden. De patiënt klaagt over gevoeligheid en de tand vertoont meerdere scheuren.

Na: Een Chairside CAD/CAM partiële kroonrestauratie, vervaardigd met CEREC Tessera, een geavanceerd lithiumdisilicaat glaskeramiek.

Dr. Carlos Eduardo Sabrosa

Rio de Janeiro, Brazilië


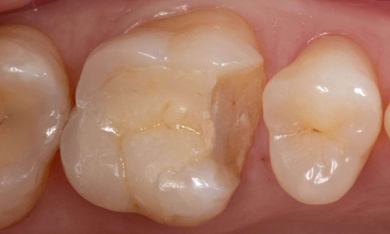
Eerste bovenste molaar in 100 minuten

Een CEREC Tessera-inlay

De chairside single-visit restauratie bleek een bijzonder effectieve en comfortabele oplossing voor deze patiënte, aangezien haar reis naar de praktijk 50 kilometer was. Een zeer esthetische inlay met CEREC Tessera kon worden gerealiseerd.

Vóór: Gebroken, keramische restauratie gemaakt van met leuciet versterkt glaskeramiek na een klinische levensduur van 12 jaar.

Na: Chairside-gefabriceerde restauratie gemaakt van een geavanceerd lithiumdisilicaat keramiek CEREC Tessera.

Dr. Sven Rinke

Hanau, Duitsland


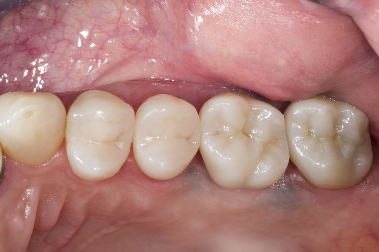
Kwadrantrevalidatie

Twee CEREC Tessera-kronen en twee inlays 

Binnen een eenmalig bezoek van vier uur werd de restauratie van twee kronen en twee inlays, die 15 jaar oud waren, uitgevoerd. Patiënt was uiterst tevreden met het zeer goede esthetische resultaat.

Vóór: Onvoldoende vullingen in het tweede kwadrant. De restauraties waren ongeveer 15 jaar oud.

Na: Chairside vervaardigde kronen gemaakt van CEREC Tessera (tanden 26/27). Inlays voor tanden 24 en 25 gemaakt van composietblokken.

Dr. Andreas Bindl

Zürich, Zwitserland


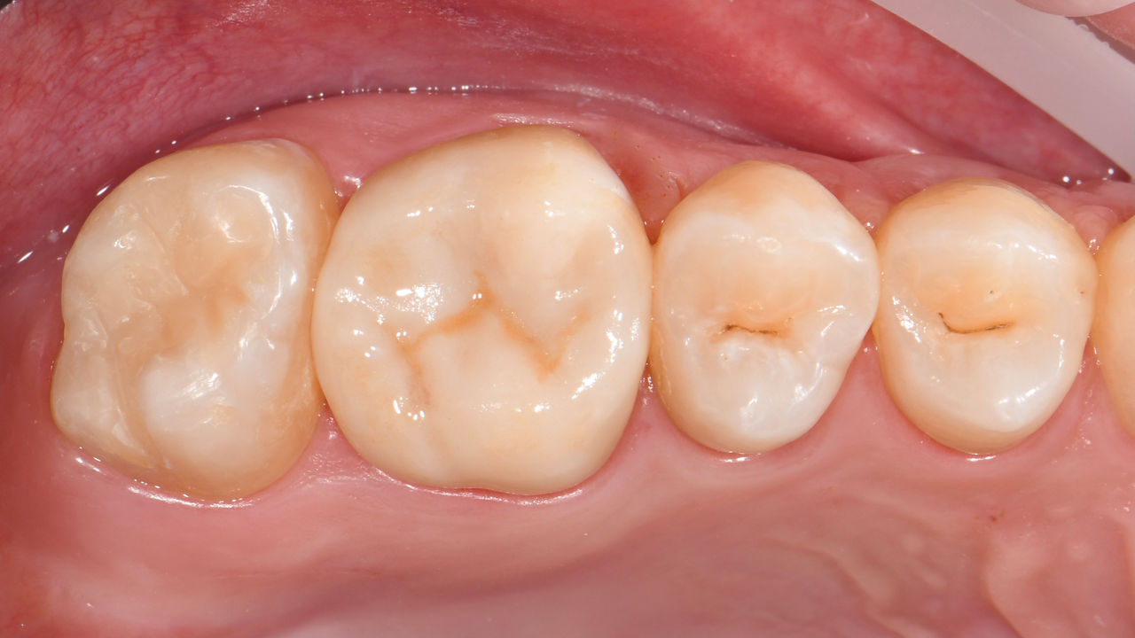
Eerste bovenste molaar in 90 minuten 

Een CEREC Tessera-kroon

De single-visit restauratie van de eerste bovenste molaar werd mogelijk gemaakt dankzij de efficiënte CEREC-workflow met CEREC Primemill en CEREC SpeedFire. De patiënt was zeer positief over de korte behandeltijd en het esthetisch resultaat.

Vóór: De eerste bovenste molaar was hersteld met een uitgebreide, maar inadequate composietvulling, die reeds zichtbare fracturen vertoonde.

Na: Een chairside-gefabriceerde restauratie gemaakt van het geavanceerde lithiumdisilicaatkeramiek CEREC Tessera.

Dr. Shivi Gupta

San Diego, Verenigde Staten


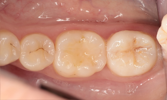
Restauratie van MIH-tanden met CEREC Tessera

Een CEREC Tessera-kroon

Initiële situatie van de patiënt:

Patiënte presenteerde zich met toenemende temperatuurgevoeligheid bij haar 6-jarige kiezen. De anamnese toonde geen aanwijzingen voor een geneesmiddel- of ziekte-geassocieerde glazuurmisvorming. De zwangerschap van de moeder verliep ongecompliceerd. Klinisch onderzoek toonde uitgebreid stofverlies en hypomineraliseerd glazuur dat de gehele klinische kronen van tanden 16 en 26 omvatte. Bovendien werden de linker centrale snijtand en beide mandibulaire eerste kiezen beïnvloed door hypomineralisaties. Tand 21 had geen cavitatie en vertoonde geen overgevoeligheid. De onderste eerste kiezen hadden kleine cavitaties met overgevoeligheid. Op basis van deze bevindingen was de diagnose molaire-incisor-hypomineralisatie (MIH). Volgens de MIH-Bereatment-Need-Index [Bekes & Steffen 2016] werden tanden 16 en 26 toegewezen aan Score 4c waarvoor volledige kroondekking nodig was. Tand 21 werd toegewezen aan Score 1 en werd gelaten zoals het was op verzoek van de moeder en de patiënt zelf. Tanden 36 en 46 kregen Score 4b toegewezen en werden hersteld met directe composietrestauraties.

Op dat moment waren de maxillaire molaren nog niet volledig doorgekomen. Daarom werden deze tanden aanvankelijk hersteld met directe composietrestauraties om te wachten op volledige tanderuptie. Op 11-jarige leeftijd waren tand 16 en 26 volledig doorgekomen, waardoor volledige kroonrestauraties mogelijk waren.

Dr. Sebastian Soliman

Würzburg, Duitsland

Neem contact op

Neem contact op. Meer informatie over onze restauratieve producten en oplossingen.