Este acervo apresenta vários casos clínicos que demonstram o amplo leque de indicações aplicáveis ao CEREC Tessera – de restaurações chairside em consulta única a desafios altamente estéticos e reabilitações orais abrangentes, incluindo restaurações fabricadas em laboratório.
Inspire-se e experimente como essa tecnologia inteligente pode apoiar seu trabalho para tornar a experiência de tratamento para você e para seus pacientes melhor, mais segura e mais rápida.


Amelogênese imperfeita

Reabilitação completa com 28 restaurações totalmente em cerâmica

Um caso particular e prolongado de maloclusão esquelética de Classe II e amelogênese imperfeita generalizada em um adolescente foi encaminhado para reabilitação protética. O objetivo do tratamento era preparar a estrutura restante do dente, remover rebaixamentos e abrir espaço para coroas totalmente em cerâmica cobrindo toda a dentina e simulando o esmalte perdido.

Antes: Situação inicial antes do tratamento ortodôntico.

Depois: Resultado final, 1 semana pós-operatório.

Alexander Declerck, (DDS, MSc)

Sint-Martens-Latem, Bélgica


Facetas de preparação mínima após trauma de incisivos centrais superiores

Restauração com material altamente estético em um dia após trauma nos incisivos centrais maxilares.

Antes: Pré-operatório de situação clínica. Trauma dos incisivos centrais superiores

Depois: Restaurações coladas por adesivo.

Dr. Mohamed Hassanien

Cairo, Egito


Reabilitação estética da amelogênese imperfeita

CEREC Tessera

Uma reabilitação estética na região anterior poderia ser realizada com restaurações laboratoriais do CEREC Tessera revestidas com Celtra Ceram. 

Antes: o objetivo do tratamento era reabilitar o maxilar anterior e a mandíbula para melhora estética. O diagnóstico clínico revelou amelogênese imperfeita.

Depois: restauração fabricada em laboratório feita de cerâmica de dissilicato de lítio avançada CEREC Tessera e, para obtenção de alto resultado estético, revestida com Celtra Ceram.

Sabine Mayer (CDT)

Koblenz, Alemanha

Mario Pace (CDT)

Lahnstein, Alemanha


Segundo molar inferior direito em 90 minutos

Um onlay CEREC Tessera

Uma paciente de 20 anos de idade recebeu tratamento endodôntico no segundo molar inferior direito. Um onlay chairside foi fabricado com a nova cerâmica de alta resistência CEREC Tessera ALD.

Antes: Cenário clínico pré-operatório após terapia endodôntica.

Depois: 1 mês depois, o onlay CEREC Tessera foi colado.

Dr. Aniruddha Nene

Pune, Índia


Amelogênese imperfeita

Reabilitação completa com 28 restaurações totalmente em cerâmica

Um caso particular e prolongado de maloclusão esquelética de Classe II e amelogênese imperfeita generalizada em um adolescente foi encaminhado para reabilitação protética. O objetivo do tratamento era preparar a estrutura restante do dente, remover rebaixamentos e abrir espaço para coroas totalmente em cerâmica cobrindo toda a dentina e simulando o esmalte perdido.

Antes: Situação inicial antes do tratamento ortodôntico.

Depois: Resultado final, 1 semana pós-operatório.

Alexander Declerck, (DDS, MSc)

Sint-Martens-Latem, Bélgica


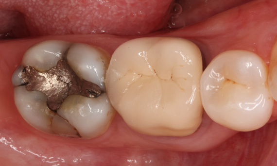
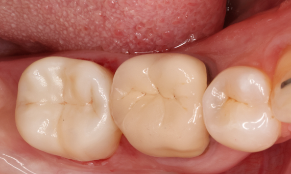
Restauração chairside do segundo molar inferior

Uma coroa parcial CEREC Tessera

Um segundo molar inferior com sensibilidade apresentou rachaduras, bem como uma extensa restauração composta de Classe I na superfície bucal. De acordo com o conceito minimamente invasivo, uma coroa parcial CAD/CAM foi planejada, fabricada e colada usando CEREC Tessera em uma única consulta.

Antes: restauração de amálgama com falha precisando de substituição. Paciente se queixando de sensibilidade e dente apresentando múltiplas rachaduras.

Depois: Restauração chairside parcial da coroa CAD/CAM fabricada com cerâmica de vidro de dissilicato de lítio avançada CEREC Tessera.

Dr. Carlos Eduardo Sabrosa

Rio de Janeiro, Brasil


Primeiro molar superior em 100 minutos

Um inlay CEREC Tessera

A restauração em chairside em uma única consulta provou ser uma solução particularmente eficaz e confortável para essa paciente, pois seu deslocamento para o consultório era de 50 quilômetros. Um inlay altamente estético com CEREC Tessera poderia ser realizado.

Antes: Restauração de cerâmica fraturada feita de cerâmica de vidro reforçada com leucito após um tempo de serviço clínico de 12 anos.

Depois: Restauração fabricada em chairside feita de cerâmica de dissilicato de lítio avançado, CEREC Tessera.

Dr. Sven Rinke

Hanau, Alemanha


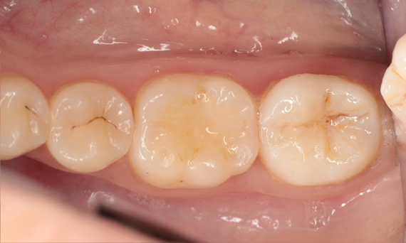
Reabilitação do quadrante

Duas coroas CEREC Tessera e dois inlays 

Em uma única consulta de quatro horas, foi realizada a restauração de duas coroas e dois inlays, que tinham 15 anos de idade. O paciente ficou muito satisfeito com o bom resultado estético.

Antes: Preenchimentos insuficientes no segundo quadrante. As restaurações tinham cerca de 15 anos de idade.

Depois: Coroas fabricadas em chairside feitas de CEREC Tessera (dentes 26/27). Inlays para os dentes 24 e 25 feitos de blocos de resina.

Dr. Andreas Bindl

Zurique, Suíça


Primeiro molar superior em 90 minutos 

Uma coroa CEREC Tessera

A restauração do primeiro molar superior em uma única consulta foi possível devido ao fluxo de trabalho eficiente do CEREC com o CEREC Primemill e o CEREC SpeedFire. O paciente foi extremamente positivo em relação ao curto tempo de tratamento e ao resultado estético.

Antes: O primeiro molar superior havia sido restaurado com bastante resina composta, mas insuficiente, que já apresenta fraturas visíveis.

Depois: Restauração fabricada em chairside feita de cerâmica de dissilicato de lítio avançado, CEREC Tessera.

Dra. Shivi Gupta

San Diego, EUA


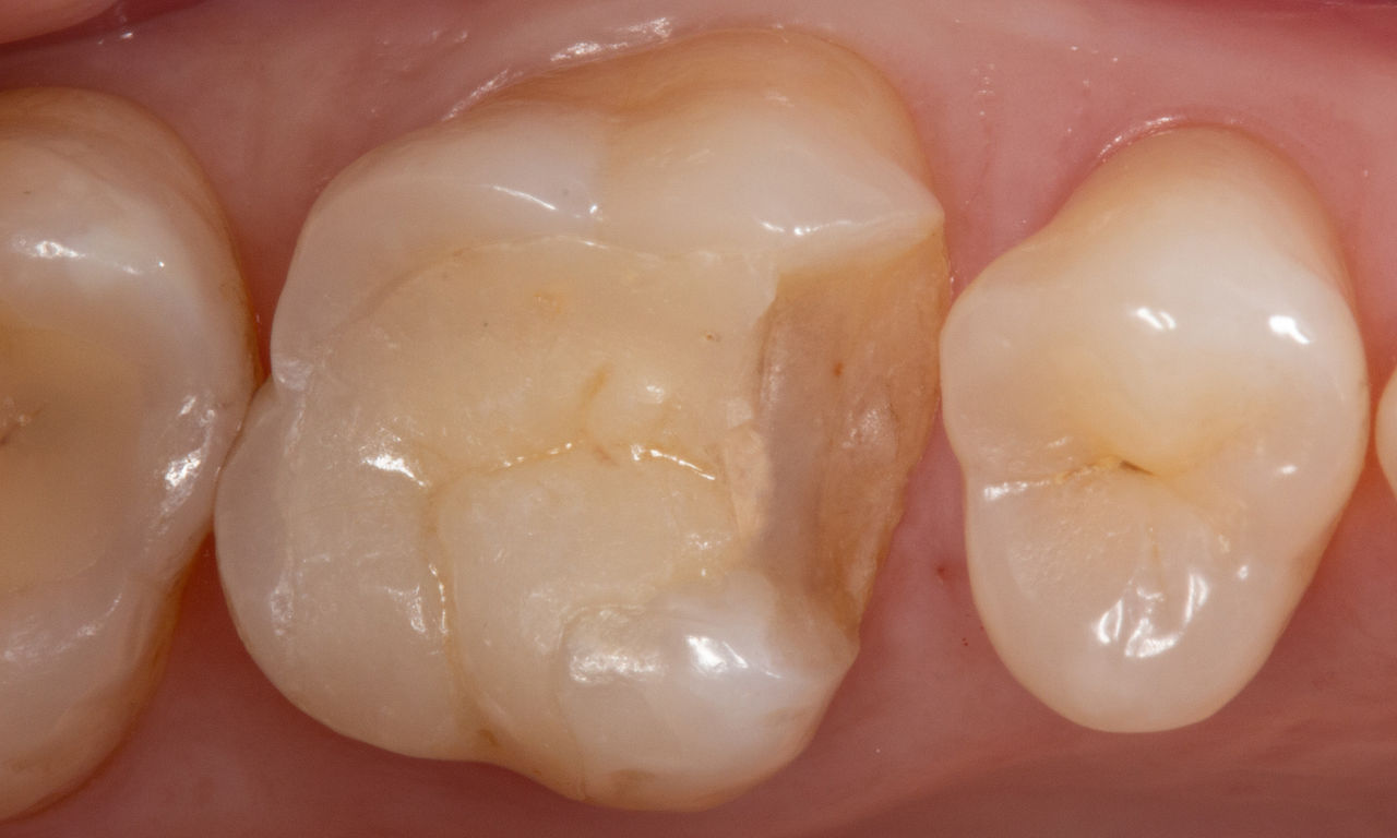
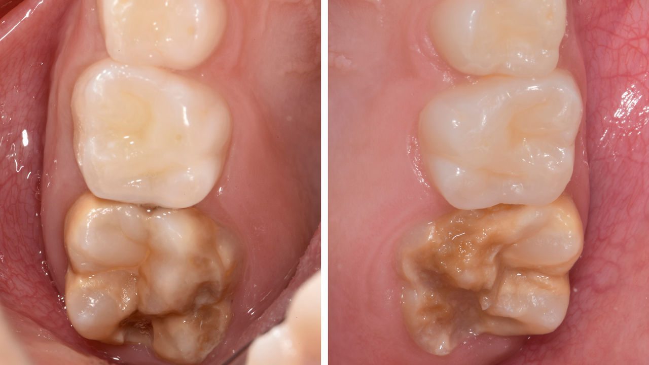
Restauração de dentes com HMI com CEREC Tessera

Uma coroa CEREC Tessera

Situação inicial do paciente:

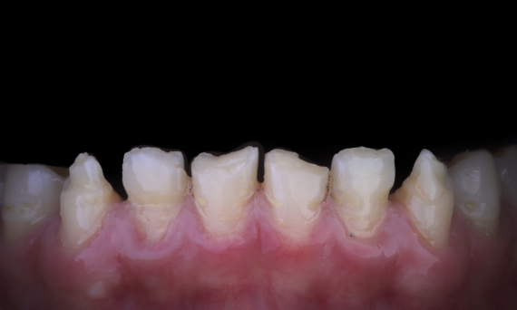
A paciente apresentou aumento de sensibilidade à temperatura em seus molares aos seis anos. A anamnese não revelou nenhuma evidência de malformação do esmalte associada ao medicamento ou à doença. A gravidez da mãe não teve complicações. O exame clínico revelou perda extensa de substâncias e esmalte hipomineralizado abrangendo todas as coroas clínicas dos dentes 16 e 26. Além disso, o incisivo central esquerdo e os dois primeiros molares mandibulares foram afetados por hipomineralizações. O dente 21 não apresentou cavitação e não mostrou hipersensibilidade. Os primeiros molares inferiores tinham pequenas cavitações com hipersensibilidade. Com base nesses achados, o diagnóstico foi de hipomineralização molar-incisivo (HMI). De acordo com o artigo “MIH-Treatment Need Index” [Bekes & Steffen, 2016], os dentes 16 e 26 foram atribuídos à Pontuação 4c, exigindo restauração em coroa total. O dente 21 foi atribuído à Pontuação 1 e foi deixado como estava a pedido da mãe e da própria paciente. Os dentes 36 e 46 receberam Pontuação 4b e foram restaurados com restaurações diretas com resina.

Até o momento, os molares maxilares ainda não estavam totalmente irrompidos. Portanto, esses dentes foram inicialmente restaurados com restaurações diretas com resina para aguardar a erupção completa do dente. Aos 11 anos de idade, os dentes 16 e 26 tinham irrompido completamente, permitindo restaurações em coroa total.

Dr. Sebastian Soliman

Würzburg, Alemanha

Fale conosco

Saiba mais sobre nossos produtos e soluções de restauração.