Por meio desses casos clínicos, seus colegas demonstram a ampla gama de indicações aplicáveis ao CEREC – de restaurações de consulta única a desafios altamente estéticos e reabilitação oral abrangente.

Inspire-se e experimente como essa tecnologia sofisticada e inteligente pode apoiar você em seu trabalho para tornar a experiência de tratamento de seus pacientes melhor, mais segura e mais rápida.

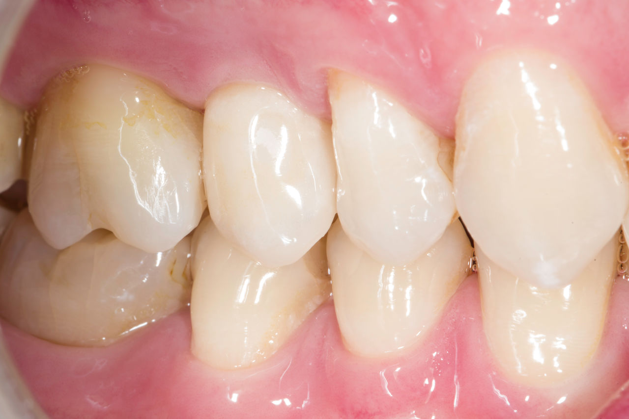
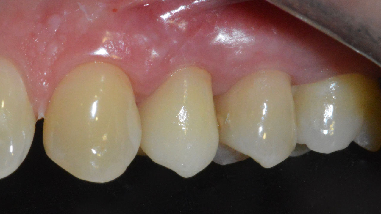
Primeiro molar superior em 90 minutos 

Uma coroa CEREC Tessera

A restauração do primeiro molar superior em uma única consulta foi possível devido ao fluxo de trabalho eficiente do CEREC com o CEREC Primemill e o CEREC SpeedFire. O paciente foi extremamente positivo em relação ao curto tempo de tratamento e ao resultado estético.

Antes: O primeiro molar superior havia sido restaurado com bastante resina composta, mas insuficiente, que já apresenta fraturas visíveis.

Depois: Restauração fabricada em chairside feita de cerâmica de dissilicato de lítio avançado, CEREC Tessera.

Dra. Shivi Gupta

San Diego, EUA


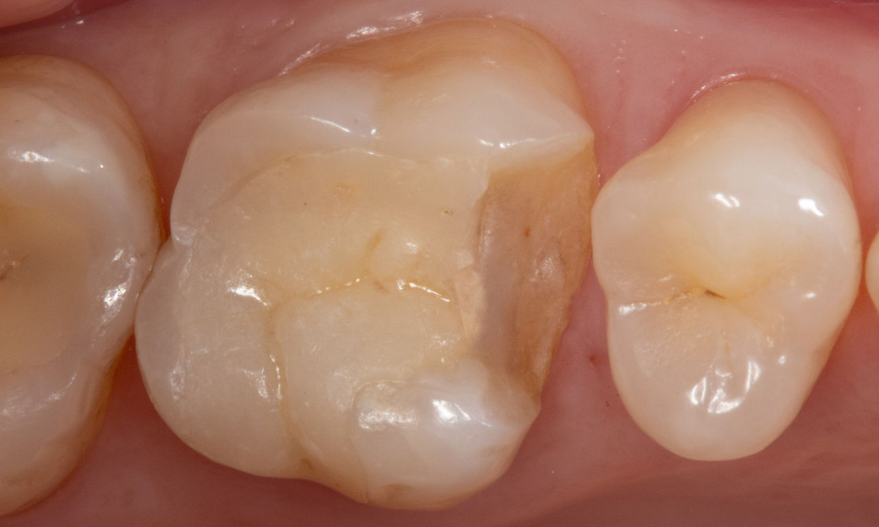
Primeiro molar superior em 100 minutos

Um inlay CEREC Tessera

A restauração em chairside em uma única consulta provou ser uma solução particularmente eficaz e confortável para essa paciente, pois seu deslocamento para o consultório era de 50 quilômetros. Um inlay altamente estético com CEREC Tessera poderia ser realizado.

Antes: Restauração de cerâmica fraturada feita de cerâmica de vidro reforçada com leucito após um tempo de serviço clínico de 12 anos.

Depois: Restauração fabricada em chairside feita de cerâmica de dissilicato de lítio avançado, CEREC Tessera.

Dr. Sven Rinke

Hanau, Alemanha


Segundo pré-molar superior em 90 minutos

Uma coroa de zircônia do CEREC MTL 

O paciente ficou muito satisfeito com o tratamento de preservação dos dentes em uma única consulta. A coroa feita de zircônia CEREC MTL oferece alta resistência e estética muito boa.

Antes: Uma grande lesão mesial cariosa no dente 15. O dente mostrou periodontite apical assintomática e perda significativa da estrutura do dente.

Depois: Restauração fabricada em chairside feita de zircônia CEREC MTL projetada usando a função individual Biogeneric no software CEREC. 

Dra. Cecilie Terjesen

Arendal, Noruega


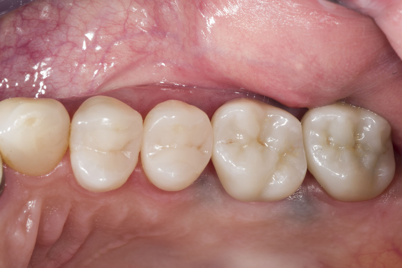
Reabilitação do quadrante

Duas coroas CEREC Tessera e dois inlays 

Em uma única consulta de quatro horas, foi realizada a restauração de duas coroas e dois inlays, que tinham 15 anos de idade. O paciente ficou muito satisfeito com o bom resultado estético.

Antes: Preenchimentos insuficientes no segundo quadrante. As restaurações tinham cerca de 15 anos de idade.

Depois: Coroas fabricadas em chairside feitas de CEREC Tessera (dentes 26/27). Inlays para os dentes 24 e 25 feitos de blocos de resina.

Dr. Andreas Bindl

Zurique, Suíça


Segundo pré-molar superior em 60 minutos

Uma coroa única IPS e.max CAD 

A velocidade de todo o fluxo de trabalho de restauração foi incrível: incluindo a preparação, fabricação e cimentação da restauração, o tratamento levou apenas 57 minutos. O paciente ficou muito satisfeito com o curto tempo de tratamento e o resultado estético agradável.

Antes: O dente 25 apresentou cárie marginal mesial e distal e porcelana quebrada no PFM existente.

Depois: A coroa no dente 25 foi refeita para ficar mais alinhada facialmente e incisalmente com a arcada.

Dr. Frank Clark Brown

Melbourne, EUA


Primeiro molar superior em 60 minutos

Coroa única IPS e.max CAD

O caso clínico demonstra com que rapidez e eficiência a CEREC Primemill possibilita que uma coroa de cerâmica de vidro de superfície inteira seja fabricada em chairside em uma única sessão, atendendo às mais altas demandas estéticas.

Antes: Grande falta de resina composta no dente 16 com rachaduras marginais distais do rebordo, rachadura da parede lingual e cárie recorrente distal.

Depois: Coroa cerâmica de vidro de superfície inteira altamente estética.

Dra. Karyn M. Halpern DMD, MS

Nova York, EUA


Primeiro molar superior em 75 minutos

Coroa única IPS e.max CAD

Um software de escaneamento rápido e muito preciso, gerenciável e de design intuitivo, combinado com uma unidade de fresagem e moagem que realiza uma restauração em apenas alguns minutos, resulta em um aumento significativo na eficiência e maior satisfação do paciente com o meu consultório.

Antes: Dente 26 apresentando cárie e restauração de resina caindo.

Depois: Coroa cerâmica de dissilicato de lítio altamente estética e funcional.

Dr. Dan Butterman

Centennial, EUA


Segundo pré-molar inferior em 90 minutos

Coroa única de zircônia Katana STML

A restauração desse pré-molar foi muito adequada para o tratamento de zircônia feita em chairside e levou apenas cerca de 90 minutos no total. Conseguimos usar coroa de zircônia graças à ampla variedade de tons disponíveis, alcançando resultados satisfatórios para requisitos estéticos.

Antes: Dente 45 descolorido como consequência de um tratamento anterior do canal radicular.

Depois: Coroa de zircônia translúcida com acabamento individualizado.

Dra. Gertrud Fabel

Munique, Alemanha


Primeiro molar superior em 90 minutos

Coroa única de zircônia Katana STML

O CEREC Primemill não apenas traz velocidade para a consulta, mas também versatilidade nas estratégias de fresagem. Neste caso, escolhemos o modo de fresagem extrafina para obter a máxima estética e atenção possível aos detalhes.

Antes: Coroa metal-cerâmica fraturada no dente 14, que havia sido previamente tratado endodonticamente.

Depois: Coroa translúcida de zircônia total para um resultado estético com máxima resistência e formato de retenção.

Dr. Mike Skramstad

Orono, EUA

Incisivos centrais superiores em 4 horas

Quatro coroas únicas IPS e.max CAD

A restauração com coroas totalmente em cerâmica não exigiu preparação subgengival para cobrir a margem e nenhuma sombra de metal escuro perturbou a estética. Com o CEREC Primescan e o CEREC Primemill, os pacientes recebem uma restauração totalmente em cerâmica de alta qualidade mais rapidamente do que nunca.

Antes: Preenchimentos inadequados nos dentes 12-22, uma linha gengival irregular nos dentes 12 e 11 e bordas incisais gravemente erodidas.

Depois: Quatro coroas cerâmicas de dissilicato de lítio altamente estéticas e individualizadas.

Claudia Scholz

Kiel, Alemanha


Reabilitação do quadrante em 2 sessões

Dez coroas únicas VITA Suprinity PC

O paciente queria um belo sorriso. Como os dentes de 15 a 25 são todos visíveis, foi tomada a decisão de usar uma cerâmica altamente estética para todos os 10 dentes. Devido à extensa consulta e implementação com um modelo, a restauração foi realizada em duas sessões com o CEREC.

Antes: Paciente insatisfeita com seu sorriso devido à descoloração do dente.

Depois: Dez coroas individuais altamente estéticas, individualizadas com coloração.

Dr. Daniel Vasquez

San Diego, EUA

Incisivos laterais superiores em 180 minutos

Colocação de implante Ankylos e duas coroas CELTRA DUO 

Após 9 meses de cirurgias, o CEREC me permitiu restaurar o sorriso do meu paciente em apenas uma consulta. Os resultados foram fantásticos, em comparação com a situação inicial.

Antes: a ausência de dentes 12 e 22 devido à agenesia dentária e perda óssea causada pelos primeiros implantes mal colocados representava um desafio para restaurações na região anterior.

Depois: restaurações dentárias altamente estéticas com implantes e coroas anteriores fabricadas em chairside.

Dr. Fernando Peixoto Soares

São Paulo, Brasil


Segundo pré-molar superior

Colocação de implante Astra Tech e coroa única IPS e.max CAD 

Um paciente de 36 anos de idade compareceu ao nosso consultório quatro meses após a extração do dente 15 para fechar a lacuna resultante com um implante. Seis meses após a cirurgia guiada, a paciente apresentou condições saudáveis da gengiva e dos ossos.

Antes: ausência do dente 15 devido a uma fratura longitudinal. O paciente queria fechar a lacuna resultante.

Depois: uma coroa de cerâmica de vidro de alta qualidade que proporciona uma restauração estável de longo prazo e altamente estética.

Dr. Andreas Bindl

Zurique, Suíça


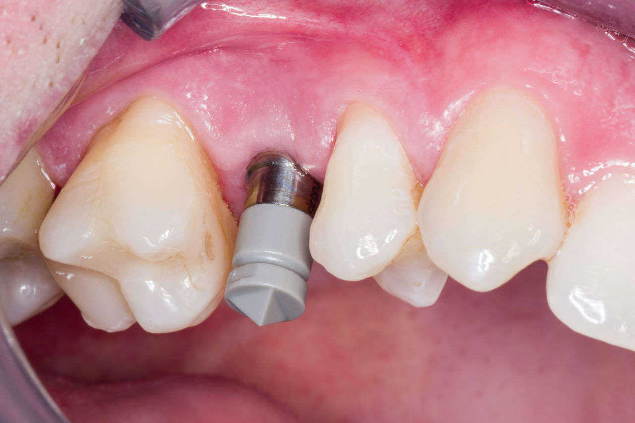
Primeiro pré-molar superior em 90 minutos

Colocação de implante Ankylos e coroa única IPS e.max CAD 

Dentro de 90 minutos, as próteses finais após um tratamento de implante foram produzidas e colocadas, graças ao fluxo de trabalho digital em chairside com o CEREC. O paciente ficou muito satisfeito com isso.

Antes: Dente 24 com fratura da raiz horizontal e infecção periférica.

Depois: Preservação da estética e do contorno natural do tecido mole.

Dr. Carlos Repullo

Sevilha, Espanha

Fale conosco

Saiba mais sobre nossas soluções CAD/CAM e nosso sistema CEREC da Dentsply Sirona solicitando informações sobre os produtos.