Saiba mais sobre o Pacote de Segurança Dentsply Sirona Windows 11 para continuar a garantir a segurança e compatibilidade dos seus dispositivos Dentsply Sirona.
Pacote de segurança do Windows 11 Saiba mais
Cimeira Mundial de Soluções de Implantes 2026 Registe-se hoje
A nossa estratégia de sustentabilidade é fundamental para tudo o que fazemos.
Obtenha um resultado fiável com a Solução de Classe II da Dentsply Sirona. Esta abordagem comprovada aborda os principais desafios dos procedimentos com soluções de produtos inovadoras em cada etapa. A abordagem de Classe II da Dentsply Sirona fornece os produtos e técnicas necessários para alcançar o sucesso do procedimento e a satisfação do paciente.
Caso: Um paciente do sexo masculino de 38 anos apresentou uma restauração compósita de OD Classe II falhada num molar inferior. Após um exame radiográfico e clínico, o paciente foi anestesiado, tendo sido removida a antiga restauração falhada, bem como a lesão de cáries. A restauração da cavidade do OD Classe II foi realizada utilizando uma abordagem otimizada.
Conclusão: Para reduzir a probabilidade de sensibilidade pós-operatória, a abordagem de cauterização seletiva foi utilizada com um adesivo universal. Para uma adaptação composta perfeita a livre de falhas, foi utilizado o compósito bulk fill SDR flow+ autonivelante. Além disso, para um contorno proximal preciso e criação ideal de um ponto de contacto apertado, foi utilizado o sistema de matriz seccional Palodent V3.
São Paulo, Brasil
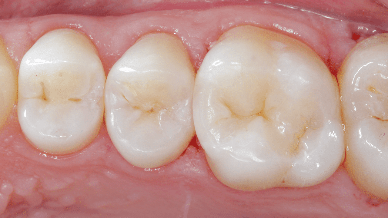
Caso: Caso inicial que mostra defeitos e restaurações antigas de amálgama com fugas.
Resultados: Voltar às duas semanas. Restauração final e excelente retenção do brilho com o compósito universal Ceram.x Spectra ST A2 e BW, devolvendo ao dente a anatomia perdida e a aparência estética natural.
Bagdade, Iraque
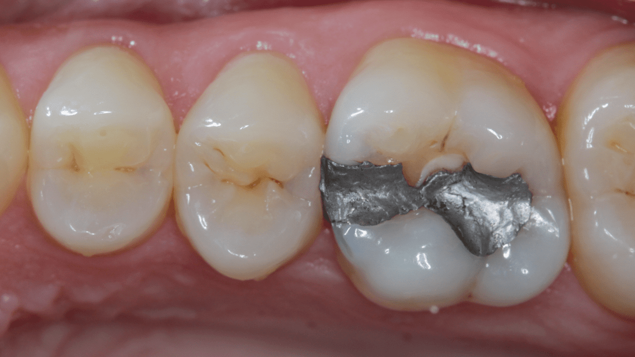
Caso: Caso inicial que mostra restauração de amálgama antiga defeituosa e fraturada.
Resultados: voltar aos 3 meses. Vista oclusal-palatina que representa uma excelente retenção do brilho. É de salientar a caraterização e aparência natural obtidos com o compósito universal Ceram.x Spectra ST A2 e BW.
Bagdade, Iraque
Caso: Nos casos em que a cavidade gengival da caixa proximal é subgengival, pode ser realizado um procedimento de elevação marginal com material de base SDR flow+. Após a elevação marginal, é aplicado um dique de borracha e é colocada uma restauração de classe II com uma técnica de solução de classe II.
Resultados: Controlo radiográfico, de notar uma excelente adaptação marginal, transição perfeita do material Bulk fill SDR flow+ para o material compósito Ceram.x Spectra ST e falta de retenção de bolhas de ar.
Istambul, Turquia
Saiba mais sobre os nossos produtos e soluções de restauração.
© 2026 Dentsply Sirona, Todos os direitos reservados