Através destes casos clínicos, os seus colegas demonstram a ampla gama de indicações aplicáveis ao CEREC – de restaurações de consulta única a desafios altamente estéticos e reabilitação oral abrangente.

Inspire-se e experimente como a tecnologia inteligente e sofisticada pode apoiá-lo no seu trabalho para tornar a experiência de tratamento dos seus pacientes melhor, mais segura e mais rápida.

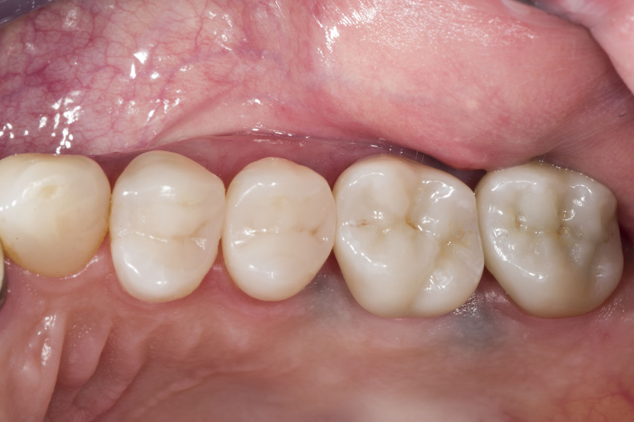
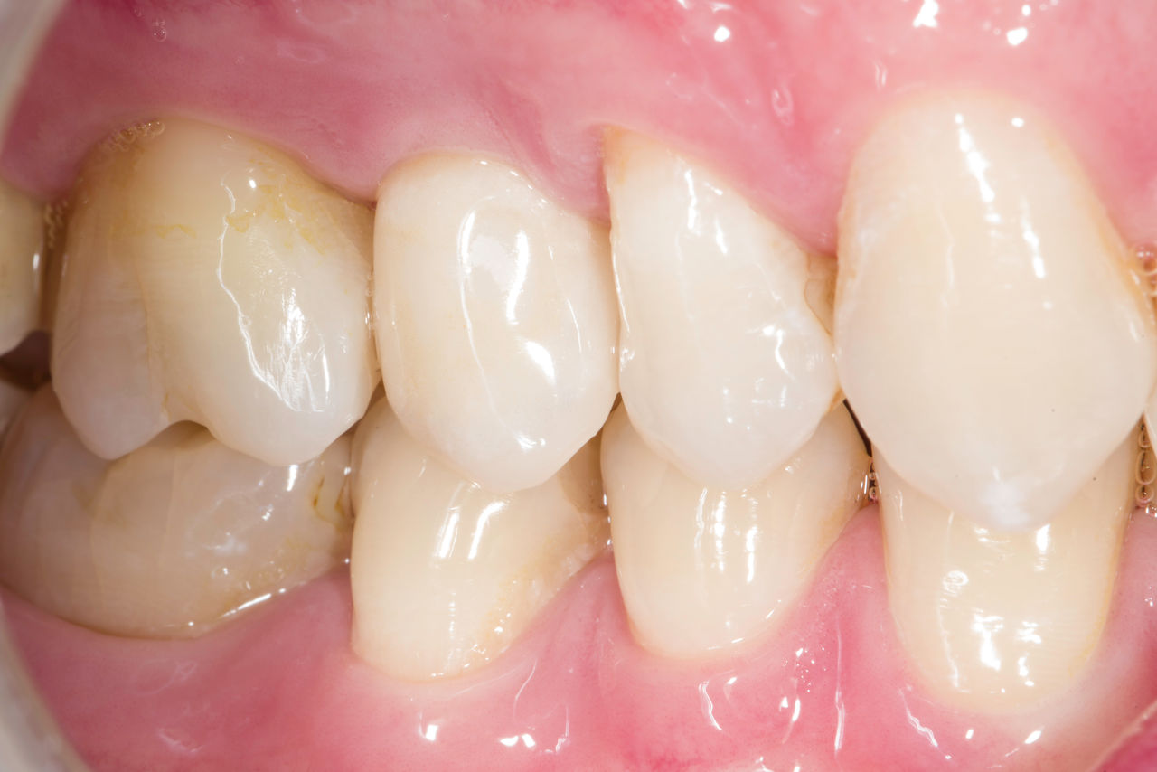
Primeiro molar superior em 90 minutos 

Uma coroa CEREC Tessera

A restauração do primeiro molar superior numa única consulta foi possível devido ao fluxo de trabalho eficiente do CEREC, com o CEREC Primemill e o CEREC SpeedFire. O paciente ficou extremamente satisfeito, em relação ao curto tempo de tratamento e ao resultado estético.

Antes: O primeiro molar superior tinha sido restaurado com bastante obturação composta, mas insuficiente; já apresentava fraturas visíveis.

Depois: Restauração fabricada em chairside feita de cerâmica de dissilicato de lítio avançado, CEREC Tessera.

Dra. Shivi Gupta

San Diego, EUA


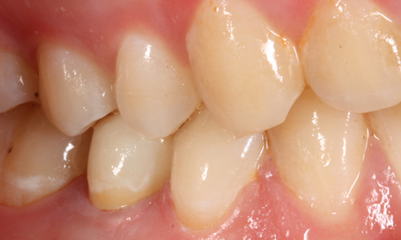
Primeiro molar superior em 100 minutos

Um inlay CEREC Tessera

A restauração em chairside numa única consulta provou ser uma solução particularmente eficaz e confortável para a paciente, pois a sua deslocação para a clínica era de 50 quilómetros. Poderia ser realizado um inlay altamente estético com CEREC Tessera.

Antes: Restauração de cerâmica fraturada feita de vitrocerâmica reforçada com leucite, após um tempo de serviço clínico de 12 anos.

Depois: Restauração fabricada em chairside feita de cerâmica de dissilicato de lítio avançado, CEREC Tessera.

Dr. Sven Rinke

Hanau, Alemanha


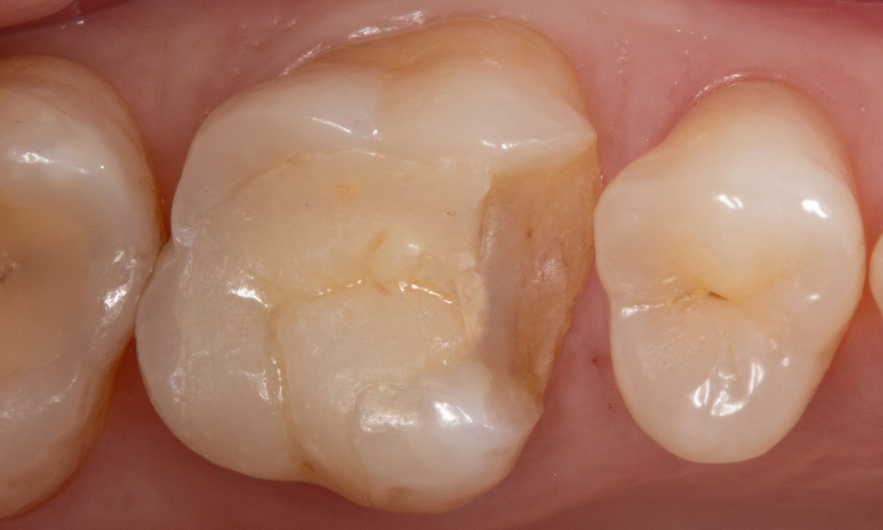
Segundo pré-molar superior em 90 minutos

Uma coroa de zircónia do CEREC MTL 

O paciente ficou muito satisfeito com o tratamento de preservação dos dentes numa única consulta. A coroa feita de zircónia CEREC MTL oferece elevada resistência e uma excelente estética.

Antes: Uma grande lesão mesial com cárie no dente 15. O dente mostrava periodontite apical assintomática e perda significativa da estrutura do dente.

Depois: Restauração fabricada em chairside feita de zircónia CEREC MTL projetada usando a função individual Biogenérica no software CEREC. 

Dra. Cecilie Terjesen

Arendal, Noruega


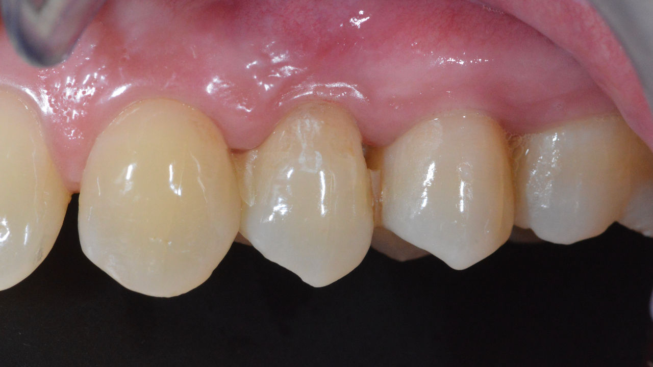
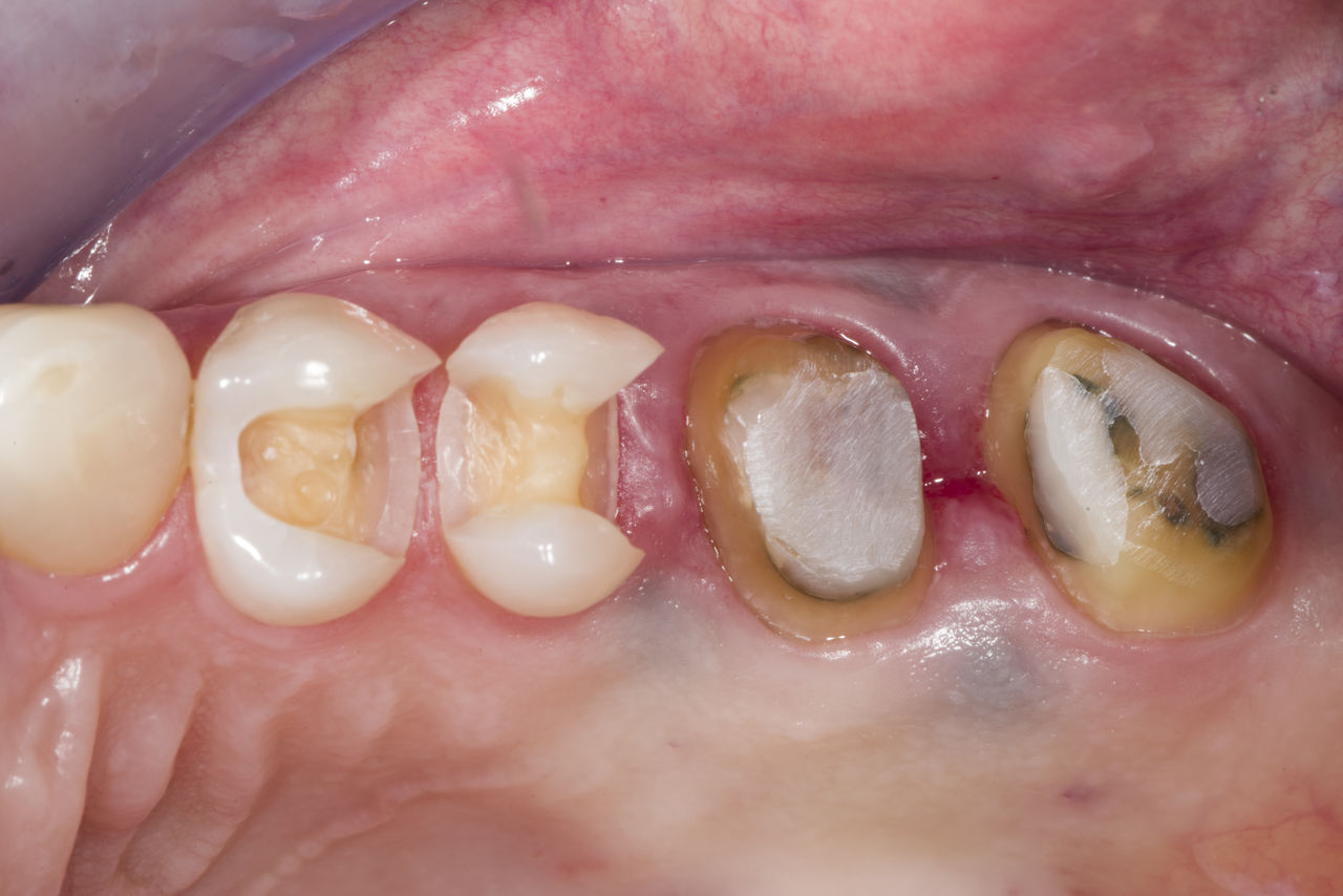
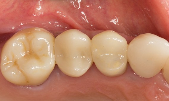
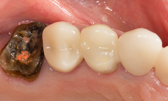
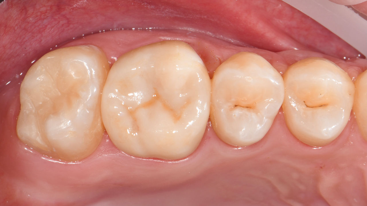
Reabilitação do quadrante

Duas coroas CEREC Tessera e dois inlays 

Numa única consulta de quatro horas foi realizada a restauração de duas coroas e dois inlays, que tinham 15 anos de idade. O paciente ficou muito satisfeito com o bom resultado estético.

Antes: Enchimentos insuficientes no segundo quadrante. As restaurações tinham cerca de 15 anos de idade.

Depois: Coroas fabricadas em chairside feitas de CEREC Tessera (dentes 26/27). Inlays para os dentes 24 e 25 feitos de blocos de compósito.

Dr. Andreas Bindl

Zurique, Suíça


Segundo pré-molar superior em 60 minutos

Uma coroa única IPS e.max CAD 

A velocidade de todo o fluxo de trabalho de restauração foi incrível: incluindo a preparação, fabrico e cimentação da restauração, o tratamento demorou apenas 57 minutos. O paciente ficou muito satisfeito com o curto tempo de tratamento e o resultado estético atrativo.

Antes: O dente 25 apresentava cárie marginal mesial e distal e porcelana quebrada no PFM existente.

Depois: A coroa no dente 25 foi refeita para ficar mais alinhada facial e incisalmente com a arcada.

Dr. Frank Clark Brown

Melbourne, EUA


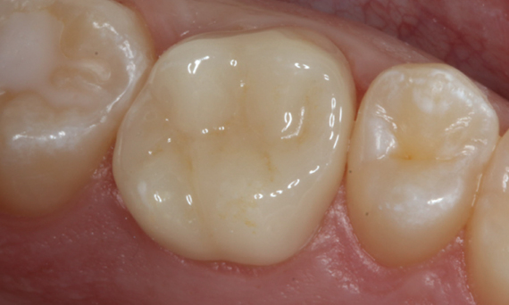
Primeiro molar superior em 60 minutos

Coroa única IPS e.max CAD

O caso clínico demonstra com que rapidez e eficiência o CEREC Primemill possibilita que uma coroa de cerâmica de vidro de superfície inteira seja fabricada em chairside numa única sessão, cumprindo as mais elevadas exigências estéticas.

Antes: Grande insuficiência de obturações compostas no dente 16 com rachaduras marginais distais do rebordo, rachadura da parede lingual e cárie recorrente distal.

Depois: Coroa cerâmica de vidro de superfície inteira altamente estética.

Dra. Karyn M. Halpern DMD, MS

Nova Iorque, EUA


Primeiro molar superior em 75 minutos

Coroa única IPS e.max CAD

Um software de digitalização rápido e muito preciso, passível de gestão e com design intuitivo, combinado com uma unidade de fresagem e moagem que realiza uma restauração em apenas alguns minutos, resulta num aumento significativo na eficiência e maior satisfação do paciente com a minha clínica.

Antes: O dente 26 apresentava cárie e restauração de resina a cair.

Depois: Coroa cerâmica de dissilicato de lítio altamente estética e funcional.

Dr. Dan Butterman

Centennial, EUA


Segundo pré-molar inferior em 90 minutos

Coroa única de zircónia Katana STML

A restauração deste pré-molar foi muito adequada para o tratamento de zircónia feita em chairside e demorou apenas cerca de 90 minutos no total. Conseguimos usar uma zircónia de contorno total graças à ampla variedade de tons disponíveis, alcançando resultados satisfatórios para requisitos estéticos.

Antes: Dente 45 descolorido como consequência de um tratamento anterior do canal radicular.

Depois: Coroa de zircónia translúcida com acabamento individualizado.

Dra. Gertrud Fabel

Munique, Alemanha


Primeiro molar superior em 90 minutos

Coroa única de zircónia Katana STML

O CEREC Primemill não apenas traz velocidade para a consulta, mas também versatilidade nas estratégias de fresagem. Neste caso, escolhemos o modo de fresagem extrafina para obter a máxima estética e atenção possível aos detalhes.

Antes: Coroa metal-cerâmica fraturada no dente 14, que havia sido previamente tratado em endodontia.

Depois: Coroa translúcida de zircónia total para um resultado estético com máxima resistência e formato de retenção.

Dr. Mike Skramstad

Orono, EUA

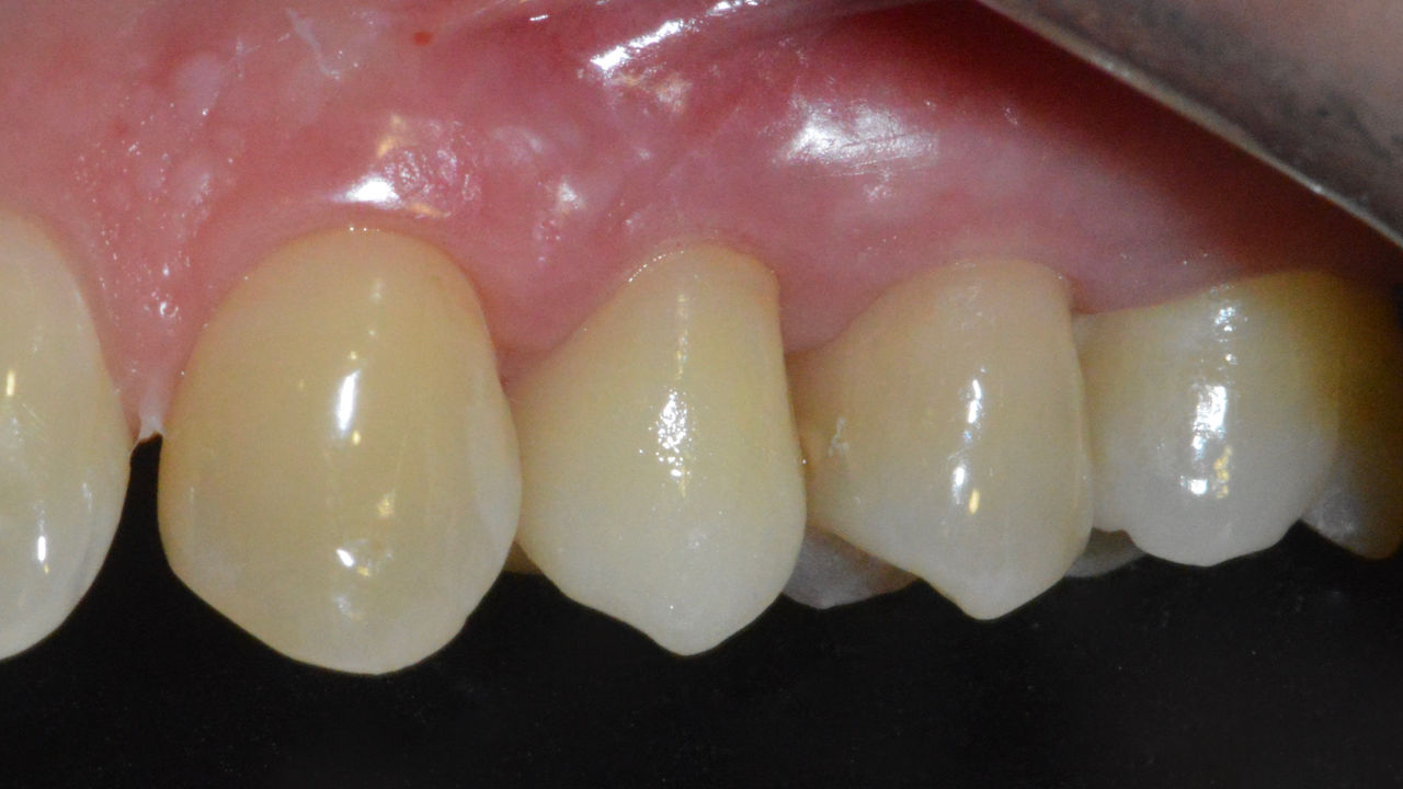
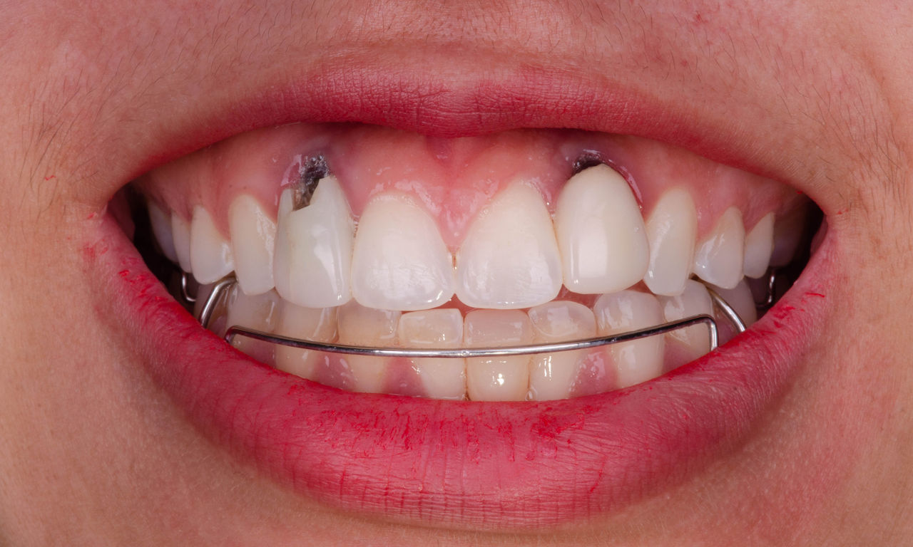
Incisivos centrais superiores em 4 horas

Quatro coroas únicas IPS e.max CAD

A restauração com coroas totalmente em cerâmica não exigiu preparação subgengival para cobrir a margem e nenhuma sombra de metal escuro perturbou a estética. Com o CEREC Primescan e o CEREC Primemill, os pacientes recebem uma restauração totalmente em cerâmica de alta qualidade, mais rapidamente do que nunca.

Antes: Enchimentos inadequados nos dentes 12-22, uma linha gengival irregular nos dentes 12 e 11 e bordas incisais gravemente erodidas.

Depois: Quatro coroas cerâmicas de dissilicato de lítio altamente estéticas e individualizadas.

Claudia Scholz

Kiel, Alemanha


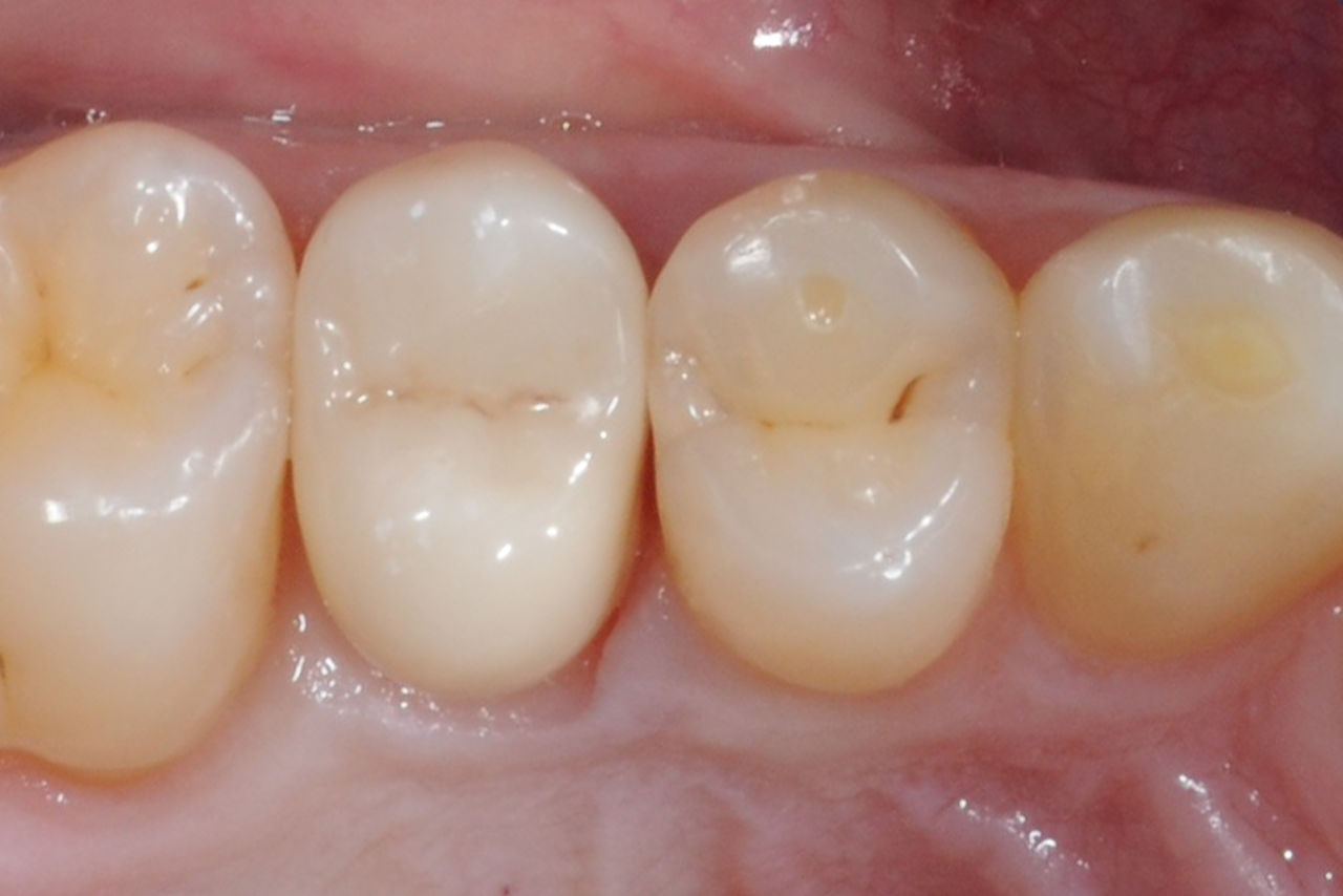
Reabilitação do quadrante em 2 sessões

Dez coroas únicas VITA Suprinity PC

A paciente queria um belo sorriso. Como os dentes de 15 a 25 são todos visíveis, foi tomada a decisão de usar uma cerâmica altamente estética para os 10 dentes. Devido à extensa consulta e implementação com um modelo, a restauração foi realizada em duas sessões com o CEREC.

Antes: Paciente insatisfeita com o seu sorriso devido à descoloração do dente.

Depois: Dez coroas individuais altamente estéticas, individualizadas com coloração.

Dr. Daniel Vasquez

San Diego, EUA

Incisivos laterais superiores em 180 minutos

Colocação de implante Ankylos e duas coroas CELTRA DUO 

Após 9 meses de cirurgias, o CEREC permitiu-me restaurar o sorriso do meu paciente em apenas uma consulta. Os resultados foram fantásticos, em comparação com a situação inicial.

Antes: a ausência dos dentes 12 e 22 devido à agenesia dentária e perda óssea causada pelos primeiros implantes mal colocados representava um desafio para restaurações na região anterior.

Depois: restaurações dentárias num único dente altamente estéticas com implantes e coroas anteriores fabricadas em chairside.

Dr. Fernando Peixoto Soares

São Paulo, Brasil


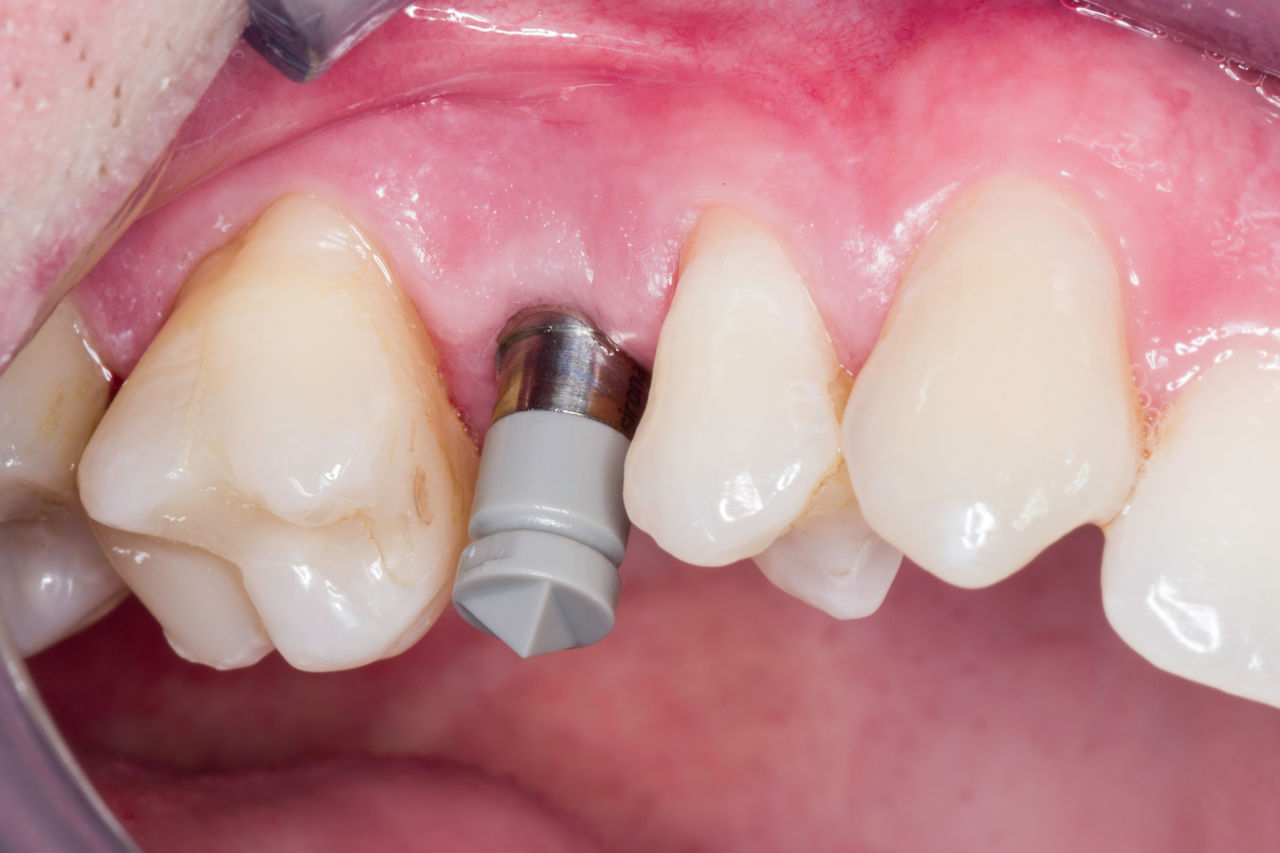
Segundo pré-molar superior

Colocação de implante Astra Tech e coroa única IPS e.max CAD 

Um paciente de 36 anos de idade dirigiu-se à nossa clínica quatro meses após a extração do dente 15 para fechar a falha resultante com um implante. Seis meses após a cirurgia guiada, o paciente apresentou condições saudáveis da gengiva e dos ossos.

Antes: ausência do dente 15 devido a uma fratura longitudinal. O paciente queria fechar a falha resultante.

Depois: uma coroa de cerâmica de vidro de alta qualidade que proporciona uma restauração estável de longo prazo e altamente estética.

Dr. Andreas Bindl

Zurique, Suíça


Primeiro pré-molar superior em 90 minutos

Colocação de implante Ankylos e coroa única IPS e.max CAD 

Em 90 minutos, as próteses finais após um tratamento de implante foram produzidas e colocadas, graças ao fluxo de trabalho digital em chairside com o CEREC. O paciente ficou muito satisfeito com isso.

Antes: Dente 24 com fratura da raiz horizontal e infeção periférica.

Depois: Preservação da estética e do contorno natural dos tecidos moles.

Dr. Carlos Repullo

Sevilha, Espanha

Contacte-nos

Saiba mais sobre as nossas soluções CAD/CAM e o nosso sistema CEREC da Dentsply Sirona, e peça mais informações sobre os produtos.