Узнайте больше о пакете безопасного обновления до Windows 11 для программных продуктов Dentsply Sirona, чтобы гарантировать безопасность и совместимость вашего оборудования Dentsply Sirona в будущем.
Получите больше преимуществ от использования текучего композита. Более универсальный. Более точный подбор цвета. Больше показаний для использования в рутинных реставрациях в повседневной работе.
Текучий композит Neo Spectra® ST flow обеспечивает простой подбор оттенков, удобство в использовании и стойкий эстетический эффект. Узнайте о том, почему столько врачей-стоматологов считают Neo Spectra® ST flow лучшим текучим композитом.
Почему в недавнем исследовании 96 % стоматологов намерены продолжить использование Neo Spectra® ST flow после 36 месяцев применения 1? Потому что это единственный текучий композит, обладающий ключевыми преимуществами и необходимой надежностью, которые так востребованы стоматологами в их повседневной работе.
Преимущества
Универсальный композитный материал не растекается, но распределяется при воздействии на него инструментом. Выпускается в шприцах и компьюлах.
От устранения мелких дефектов до выполнения эстетической реставрации: очень широкий спектр применения.
Благодаря эффекту хамелеона всего 5 оттенков способны перекрыть весь диапазон шкалы VITA® ². Этот текучий композит отлично дополняет универсальный композит Spectra ST благодаря идеальному соответствию его палитре оттенков.
Благодаря надежности, прочности, устойчивости к окрашиванию и идеальному блеску после полировки вы можете получить максимум от использования этого текучего композита.
Используйте универсальность текучего композита для широкого спектра показаний. Neo Spectra® ST flow не растекается, но контролируемо распределяется, когда вы придаете ему форму с помощью инструмента. Выпускается в шприцах и компьюлах для одноразового использования.
«Непревзойденная текучесть с красивым эффектом хамелеона».
Д-р Тобиас Нойманн, Хайденхайм, Германия
«Адаптивность и способность заполнять полости ― это стопроцентный аргумент».
Д-р Томас Вайнбергер, Линц, Австрия
«Композиты объемного внесения обеспечивают быструю и легкую герметизацию больших полостей, но при повышенных требованиях к эстетическому результату следует использовать традиционный композит с послойным нанесением».
Проф., д-р Клаус-Петер Эрнст, Майнц, Германия
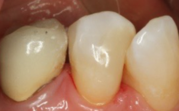
Вторичный кариес под реставрациями на ДО (дистально-окклюзионных) и МО (мезиально-окклюзионных) поверхностях зуба.
Практически незаметно: реставрация после регидратации.
Дополнительные материалы для загрузки доступны в нашем Центре загрузок.
Neo Spectra® ST flow ― это текучий, отверждаемый видимым светом полимерный композитный материал для реставраций, который обеспечивает более простое и универсальное применение и эстетический результат.
Материал предназначен для всех традиционных видов реставраций, в том числе для прямых реставраций передних и жевательных зубов (кроме полостей класса II с окклюзионной нагрузкой), устранения различных дефектов, надстройки культи, герметизации ямок и фиссур, а также для фиксации светопроницаемых реставраций.
SphereTEC® ― это новая запатентованная технология наполнителя, применяемая в композитах Neo Spectra® ST.
В процессе производства SphereTEC® используются субмикронные частицы стекла и технология грануляции распылением для получения предварительно полимеризованных сферических частиц наполнителя.
Морфология гранул наполнителя SphereTEC®, распределение частиц по размеру и микроструктура их поверхности являются ключевыми факторами, обеспечивающими легкость в работе, прочность и гладкость композита Neo Spectra® ST при эксплуатации.
Реставрационный композит Neo Spectra® ST flow поставляется в компьюлах по 0,25 г и в шприцах по 1,8 г. Компьюлы и шприцы снабжены сменными дозирующими наконечниками, обеспечивающими простой доступ в полость.
Оттенки Neo Spectra® ST flow точно повторяют все оттенки Neo Spectra® ST (A1, A2, A3, A3.5, A4, BW) и Neo Spectra® ST Effects (D1, D3, E1). Текучий композит обеспечивает превосходную полировку и устойчивость к окрашиванию. Пользователю остается лишь выбрать способ применения, подходящий для конкретной ситуации, и ожидать получения отличных эстетических результатов.
Neo Spectra® ST flow по своим химическим свойствам совместим с традиционными адгезивами для дентина и эмали на основе (мет)акрилата, в том числе с адгезивами от Dentsply Sirona, предназначенными для применения с композитами, твердеющими под воздействием видимого света, как например универсальный адгезив Prime&Bond universal™.
1. Оценка пользователей Dentsply Sirona, 2021
2. VITA® не является зарегистрированной торговой маркой Dentsply Sirona.