Узнайте больше о пакете безопасного обновления до Windows 11 для программных продуктов Dentsply Sirona, чтобы гарантировать безопасность и совместимость вашего оборудования Dentsply Sirona в будущем.
Пакет безопасного обновления до Windows 11 Узнать больше
Узнайте о будущем стоматологии с сетевой функциональностью: На каждом мероприятии представлены ведущие в отрасли образовательные технологии, передовые достижения, авторитетные эксперты и беспрецедентные возможности для налаживания деловых связей.
Наша стратегия устойчивого развития лежит в основе нашей миссии и составляет неотъемлемую часть всей нашей деятельности.
Get FREE SHIPPING on all Endodontic products that can help you save now.
Решение TruNatomy
TruNatomy — это комплексное эндодонтическое решение, которое предлагает:
Здесь собраны отзывы стоматологов, рассказывающих о своем опыте использования решения TruNatomy. От простых случаев 2 до самых сложных 3: решение TruNatomy ― это то, в чем нуждаются специалисты в области стоматологии каждый день.
"Успех, ориентированный на пациента и процесс." - Доктор Коуи
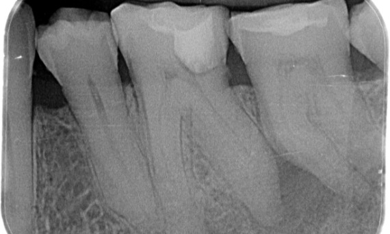
До: Периапикальная рентгенопрозрачность связана, главным образом, с дистальным корнем и потерей твердой пластинки на мезиальном корне.
После: В данном случае была выбрана технология TruNatomy, чтобы обеспечить подход, ориентированный на кариес, и сосредоточиться на сохранении перицервикального дентина, особенно на мезиальной части, где зуб имел в большей степени минимальную реставрацию.
Бат, Великобритания
"Я выбрал TruNatomy, чтобы сохранить как можно больше дентина, преодолеть окклюзионную нагрузку и увеличить долговечность зуба." - Доктор Абуэлезз
До: При осмотре обнаружено кариесное поражение правого нижнего первого моляра. Рентгенологическое исследование выявило близость поражения к рогу пульпы и в сочетании с основной жалобой был поставлен окончательный диагноз: хронический необратимый пульпит.
После: Доступ к полости выполнялся максимально консервативно. TruNatomy была системой выбора из-за молодого возраста пациента. Нам необходимо было максимально сохранить дентин, чтобы повысить способность зуба преодолевать окклюзионную нагрузку и увеличить долговечность окончательной реставрации.
Каир, Египет
Узнайте больше о наших продуктах и решениях для эндодонтии.
1 По сравнению с ProTaper Next
2 Д-р Филиппо Сантарканджело (S. 8 — Клинические случаи и отзывы PDF)
3 Д-р Джонатан Коуи (S. 12 — Клинические случаи и отзывы PDF)