На примере этих клинических случаев ваши коллеги демонстрируют широкий спектр показаний к применению CEREC: от реставраций за одно посещение до высокоэстетичных задач и комплексной реабилитации полости рта.

Вдохновитесь ими и узнайте, как эта комплексная интеллектуальная технология может помочь вам в вашей работе, чтобы повысить качество, безопасность и оперативность лечения ваших пациентов.

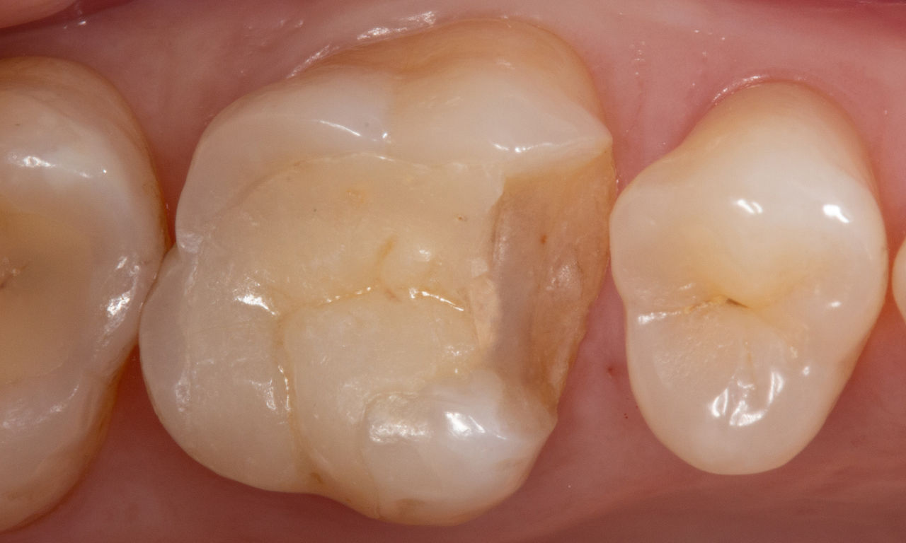
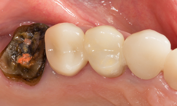
Первый моляр верхней челюсти за 90 минут 

Коронка CEREC Tessera

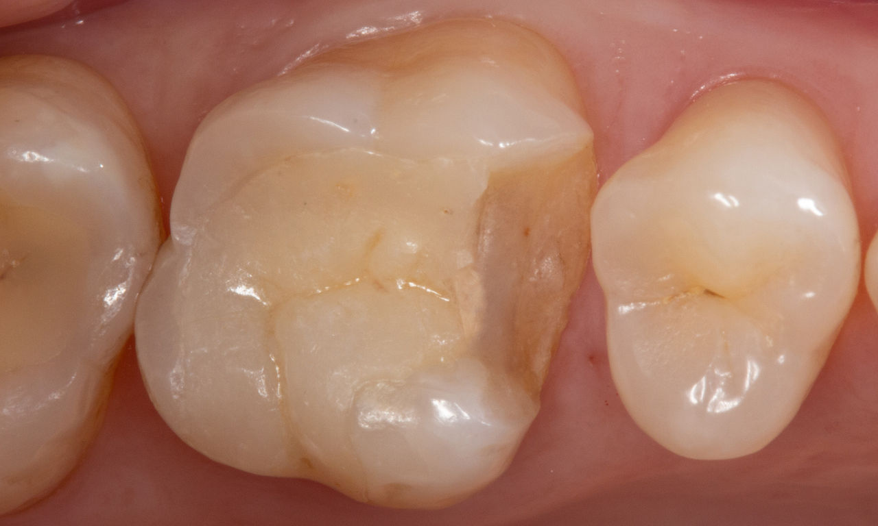
Реставрация первого моляра верхней челюсти за одно посещение стала возможной благодаря эффективному рабочему процессу CEREC с использованием CEREC Primemill и CEREC SpeedFire. Пациент чрезвычайно положительно отозвался о коротком времени лечения и эстетическом результате.

До: Первый моляр верхней челюсти был восстановлен с помощью обширной, но тем не менее недостаточной композитной пломбы, на которой уже были заметны трещины.

После: Изготовленная непосредственно в условиях стоматологического кабинета реставрация из современной керамики на основе дисиликата лития CEREC Tessera.

Доктор Шиви Гупта

Сан-Диего, США


Первый моляр верхней челюсти за 100 минут

Вкладка CEREC Tessera

Реставрация в стоматологическом кабинете за одно посещение оказалась особенно эффективным и удобным решением для этой пациентки, так как ее поездка до клиники составляла 50 километров. В этом случае наиболее подходило использование вкладки инлей CEREC Tessera.

До: Отколовшаяся керамическая реставрация из лейцит-армированной стеклокерамики, после 12 лет клинической эксплуатации.

После: Изготовленная непосредственно в условиях стоматологического кабинета реставрация из современной керамики на основе дисиликата лития CEREC Tessera.

Доктор Свен Ринке

Ханау, Германия


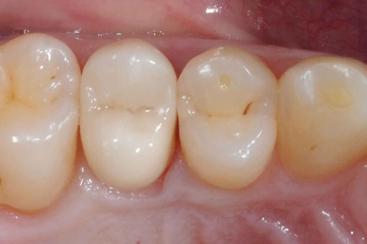
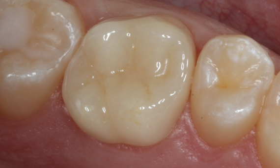
Второй премоляр верхней челюсти за 90 минут

Коронка CEREC MTL из оксида циркония 

Пациент остался весьма доволен проведенным за одно посещение зубосохраняющим лечением. Коронка CEREC MTL из оксида циркония обеспечивает как высокую прочность, так и очень хорошую эстетику.

До: Большое кариозное поражение мезиальной поверхности на зубе 15. В зубе наблюдался бессимптомный апикальный периодонтит и значительная потеря структуры зуба.

После: Изготовленная непосредственно в условиях стоматологического кабинета реставрация из CEREC MTL на основе оксида циркония с помощью индивидуальной функции Biogeneric в программе CEREC. 

Доктор Сесили Терьесен

Арендал, Норвегия


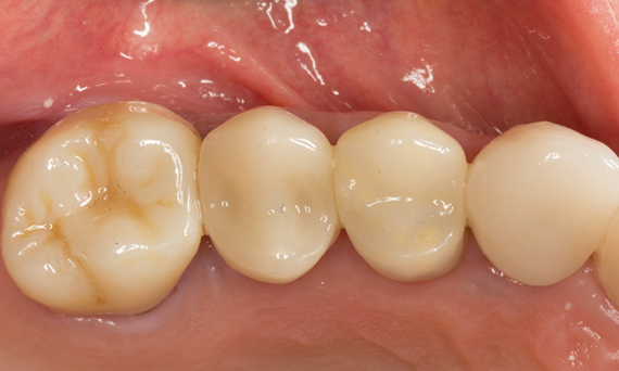
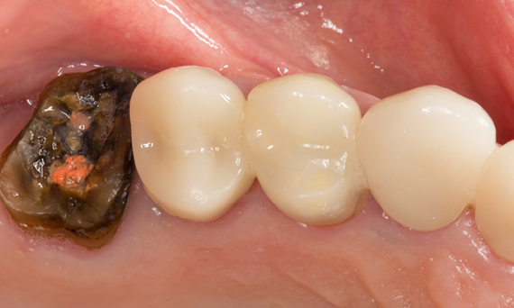
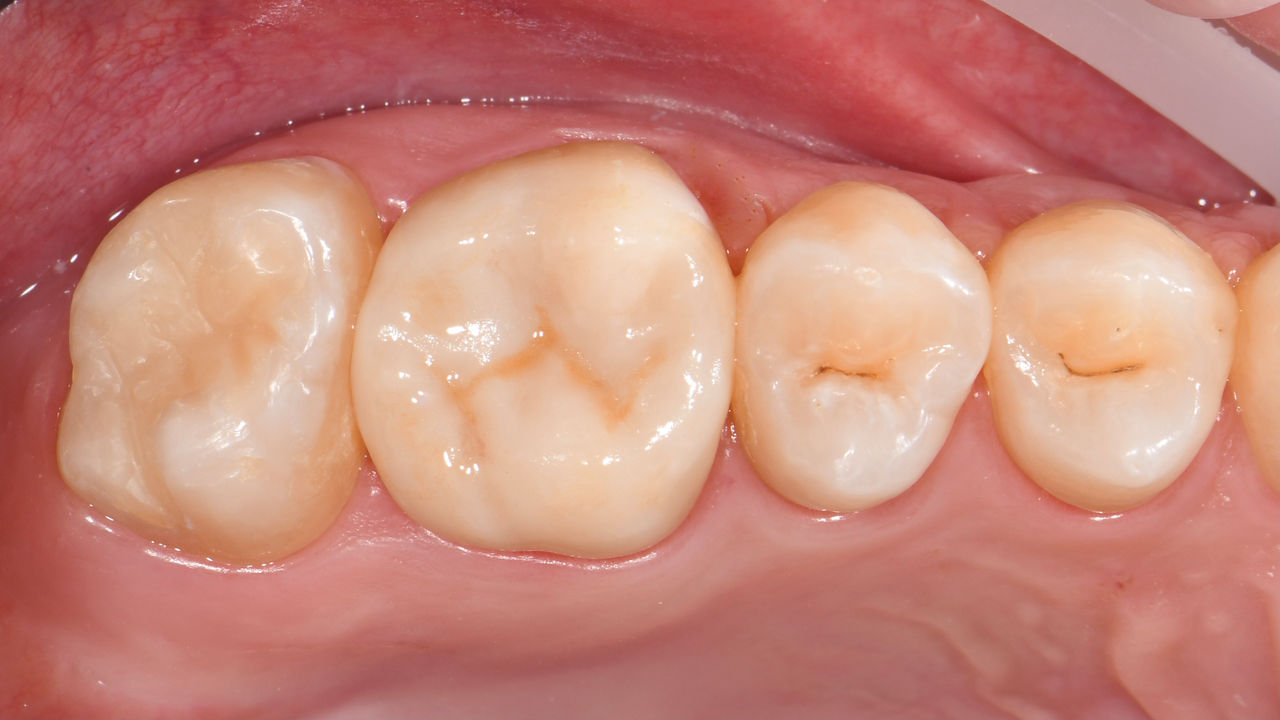
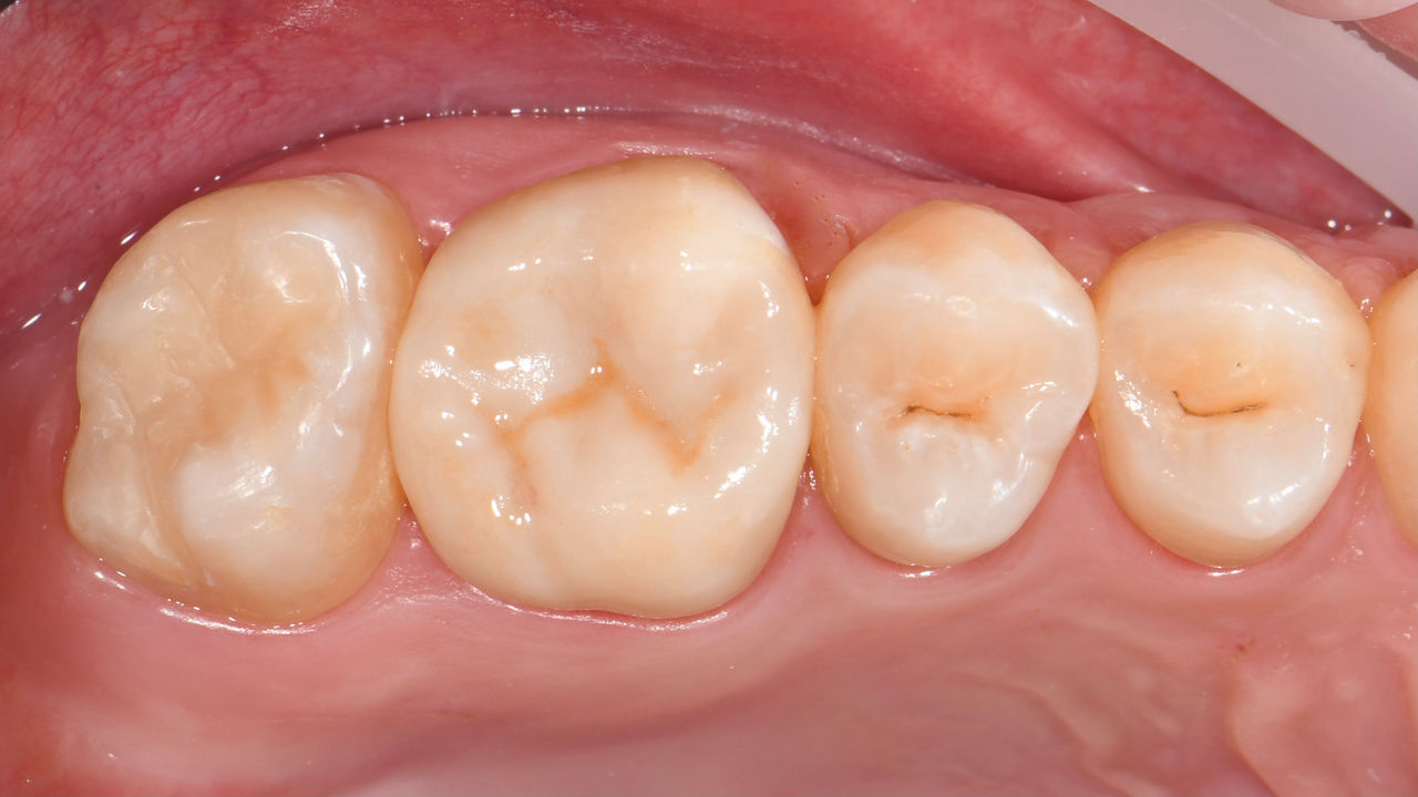
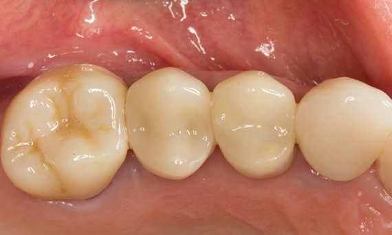
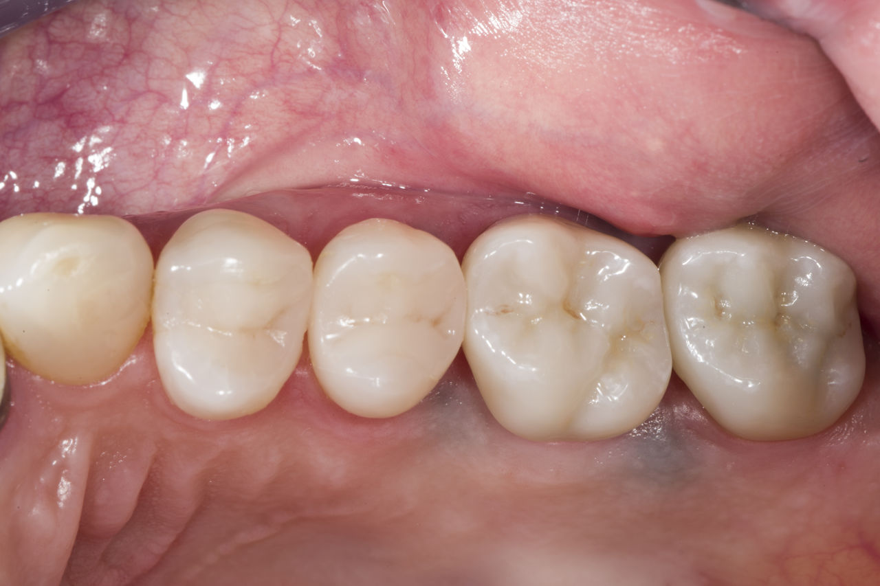
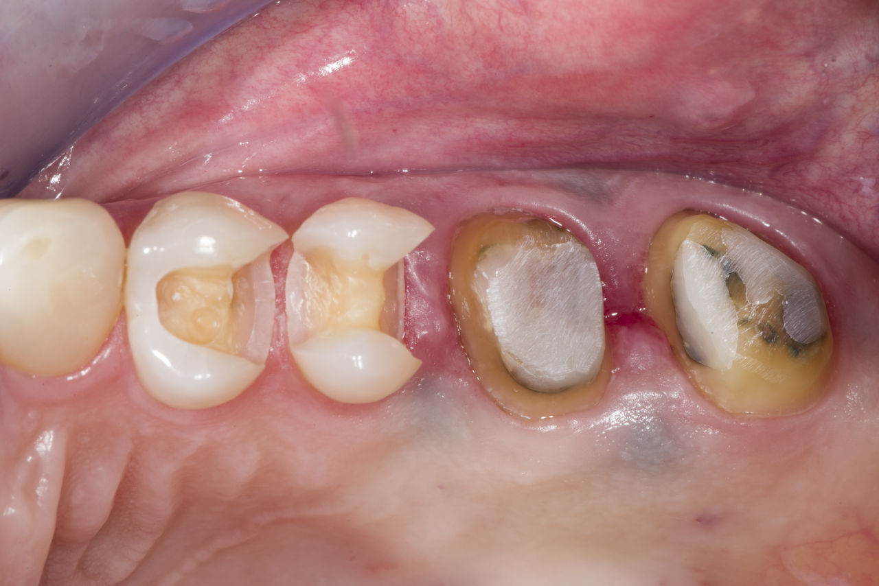
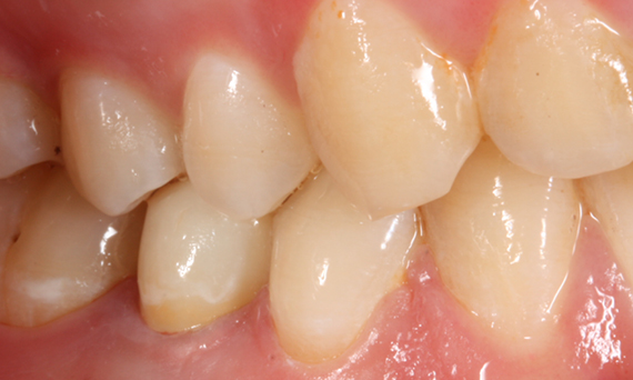
Восстановление квадранта

Две коронки и две вкладки инлей CEREC Tessera 

За одно посещение в течение четырех часов была проведена реставрация двух коронок и двух вкладок инлей 15-летней давности. Пациентка была очень довольна хорошим эстетическим результатом.

До: Недостаточная пломба во втором квадранте. Реставрации были примерно 15-летней давности.

После: Изготовленные непосредственно в условиях стоматологического кабинета коронки из CEREC Tessera (зубы 26/27). Вкладки инлей на зубы 24 и 25 из композитных блоков.

Доктор Андреас Биндл

Цюрих, Швейцария


Второй премоляр верхней челюсти за 60 минут

Одиночная коронка IPS e.max CAD 

Поражает скорость всего процесса реставрации: лечение заняло всего 57 минут, включая подготовку, изготовление и цементирование реставрации. Пациентка была очень довольна коротким временем лечения и приятным эстетическим результатом.

До: Зуб 25 имел мезиальный и дистальный краевой кариес и разрушенный фарфор на имеющейся металлокерамической коронке.

После: Коронка на зубе 25 была переделана, чтобы привести ее в соответствие с лицевой дугой и с боковыми поверхностями.

Доктор Фрэнк Кларк Браун

Мельбурн, США


Первый моляр верхней челюсти за 60 минут

Одиночная коронка IPS e.max CAD

Этот клинический случай демонстрирует, насколько быстро и эффективно CEREC Primemill позволяет изготовить полноповерхностную стеклокерамическую коронку за один прием, удовлетворяя при этом самым высоким эстетическим требованиям.

До: Значительная недостаточность композитной пломбы на зубе 16 с трещинами дистального краевого гребня, трещиной лингвальной стенки и дистальный рецидивирующий кариес.

После: Высокоэстетичная полноповерхностная стеклокерамическая коронка.

Доктор Кэрин М. Халперн, доктор стоматологии, магистр наук

Нью-Йорк, США


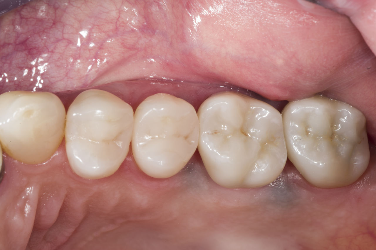
Первый моляр верхней челюсти за 75 минут

Одиночная коронка IPS e.max CAD

Быстрое и очень точное сканирование, управляемое и интуитивно понятное программное обеспечение для моделирования в сочетании с шлифовально-фрезерным аппаратом, который изготавливает реставрацию всего за несколько минут, значительно увеличивает эффективность и повышает удовлетворенность пациентов моей клиникой.

До: Кариес и разрушающаяся прямая композитная реставрация зуба 26.

После: Высокоэстетичная и функциональная керамическая коронка из дисиликата лития.

Доктор Дэн Баттерман

Сентенниал, США


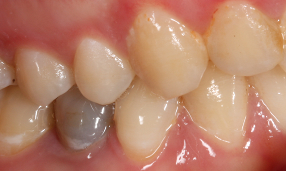
Второй премоляр нижней челюсти за 90 минут

Одиночная коронка из оксида циркония Katana Zirconia STML

Для лечения этого премоляра непосредственно в условиях стоматологического кабинета очень хорошо подошла реставрация из оксида циркония и заняла в общей сложности около 90 минут. Благодаря широкому спектру доступных оттенков мы смогли выполнить полноанатомическую реставрацию из циркония, добившись удовлетворительных эстетических результатов.

До: Дисколорированный зуб 45, корневой канал которого ранее подвергался лечению.

После: Полупрозрачная коронка из оксида циркония с индивидуально подобранным оттенком.

Доктор Гертруда Фабель

Мюнхен, Германия


Первый моляр верхней челюсти за 90 минут

Одиночная коронка из оксида циркония Katana Zirconia STML

CEREC Primemill не только ускоряет работу, но и обеспечивает универсальность в стратегиях фрезерования. В данном случае мы выбрали режим экстраточного фрезерования для достижения максимальной эстетики и детализации.

До: Разрушение металлокерамической коронки на зубе 14, который ранее подвергался эндодонтическому лечению.

После: Высокоэстетичная цельная коронка из полупрозрачного оксида циркония с максимальной прочностью и ретенцией.

Доктор Майк Скрамстад

Ороно, США

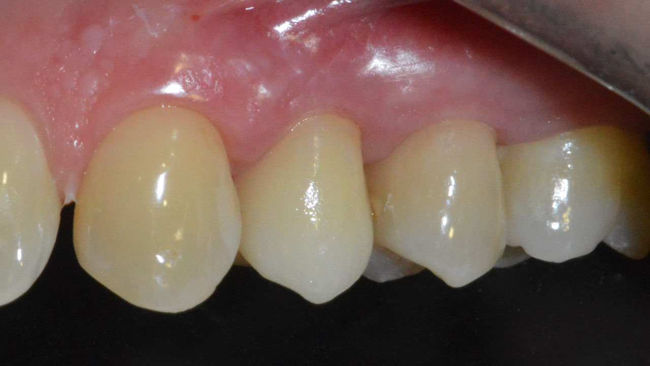
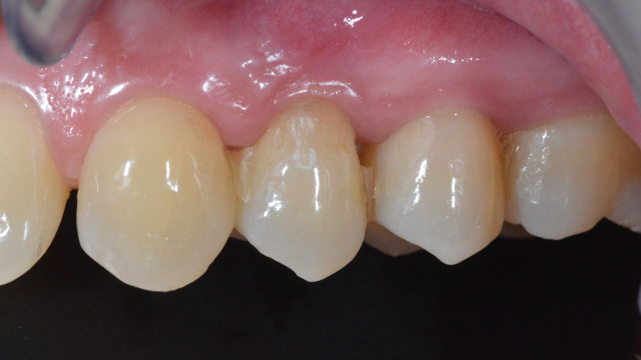
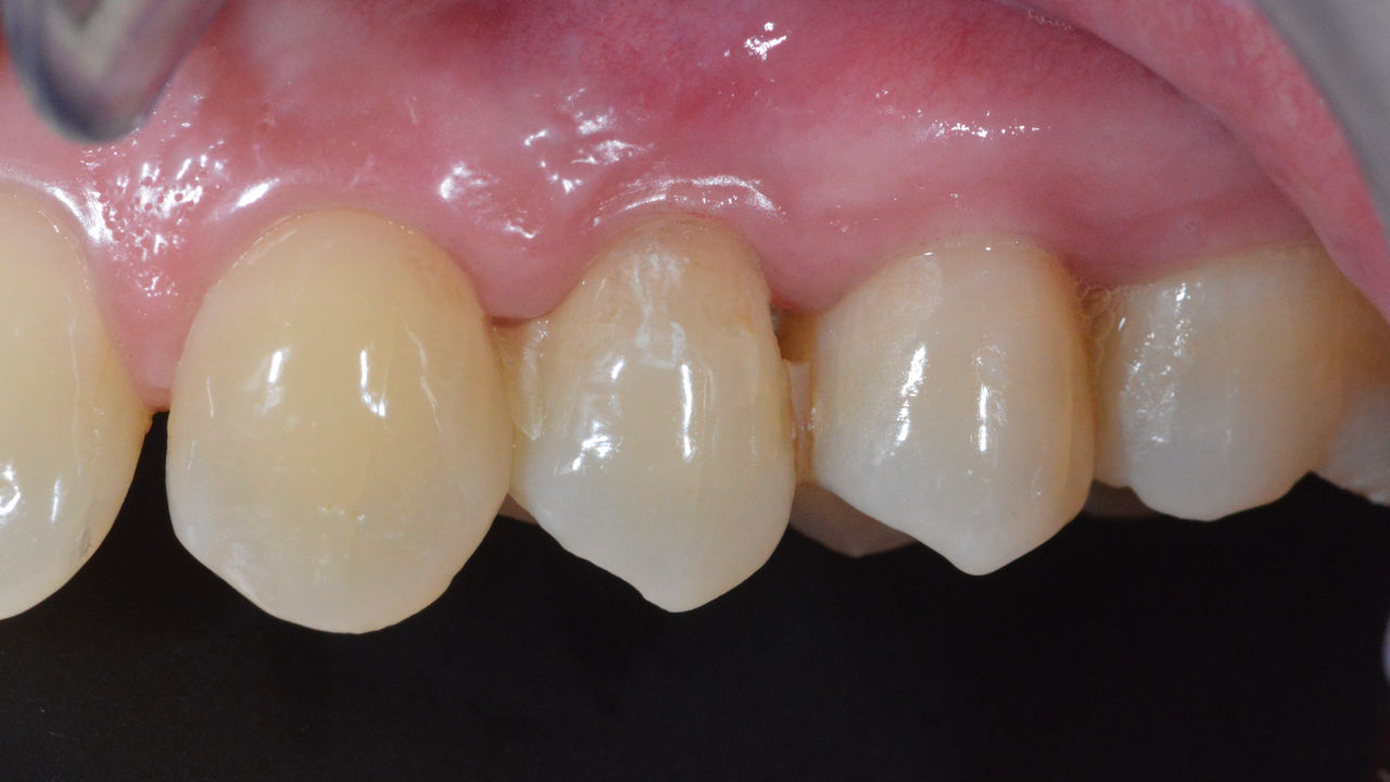
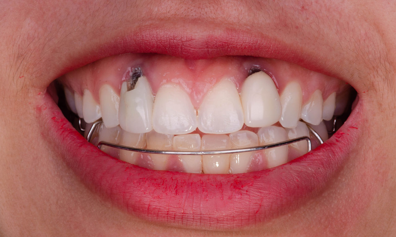
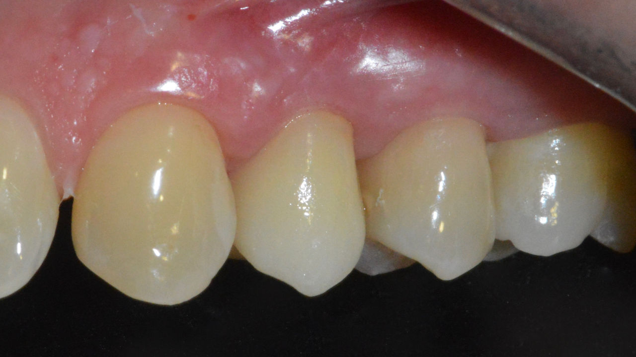
Верхние центральные резцы, за 4 часа

Четыре одиночные коронки IPS e.max CAD

При реставрации цельнокерамическими коронками не требуется поддесневое препарирование для закрытия границ, а тени от темного металла не нарушают эстетичность. С помощью CEREC Primescan и CEREC Primemill пациенты получают высококачественную цельнокерамическую реставрацию быстрее, чем когда-либо прежде.

До: Несостоятельные пломбы на зубах 12–22, неровная линия десны на зубах 12 и 11 и сильная стираемость режущего края.

После: Четыре высокоэстетичные и индивидуализированные керамические коронки из дисиликата лития.

Клаудия Шольц

Киль, Германия


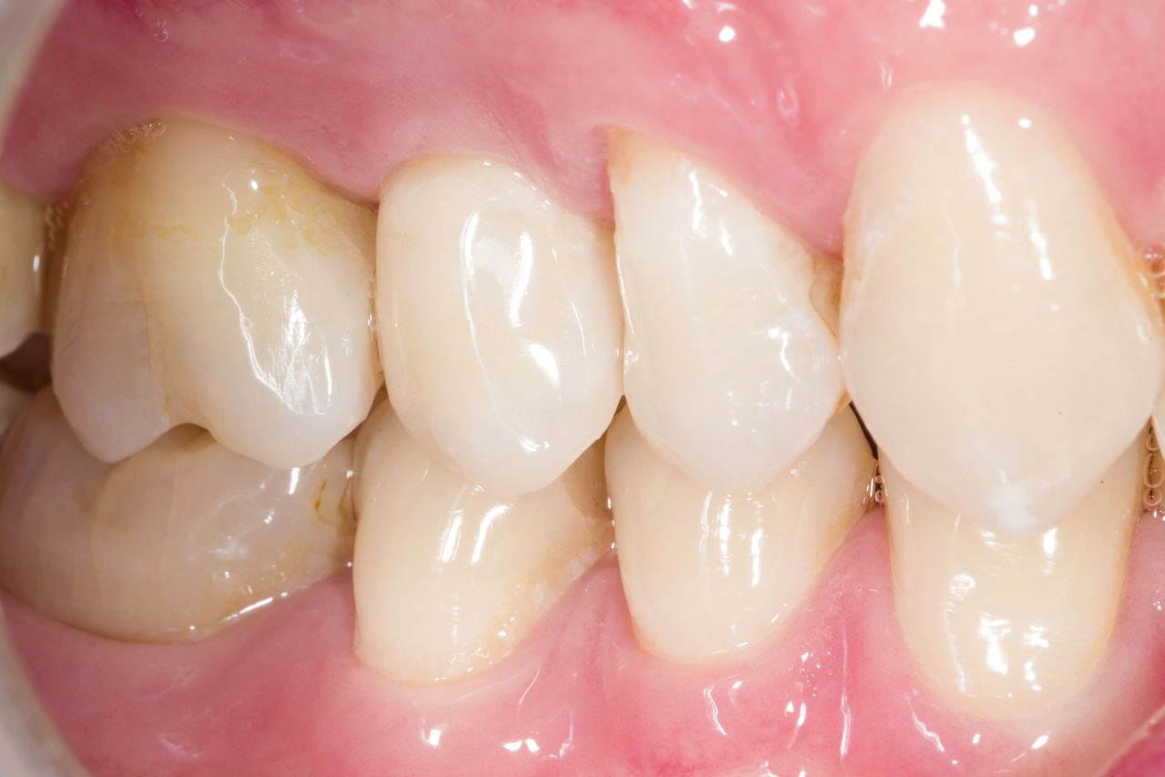
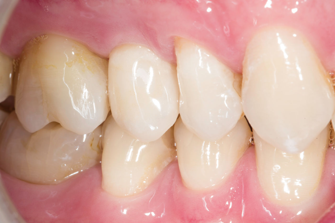
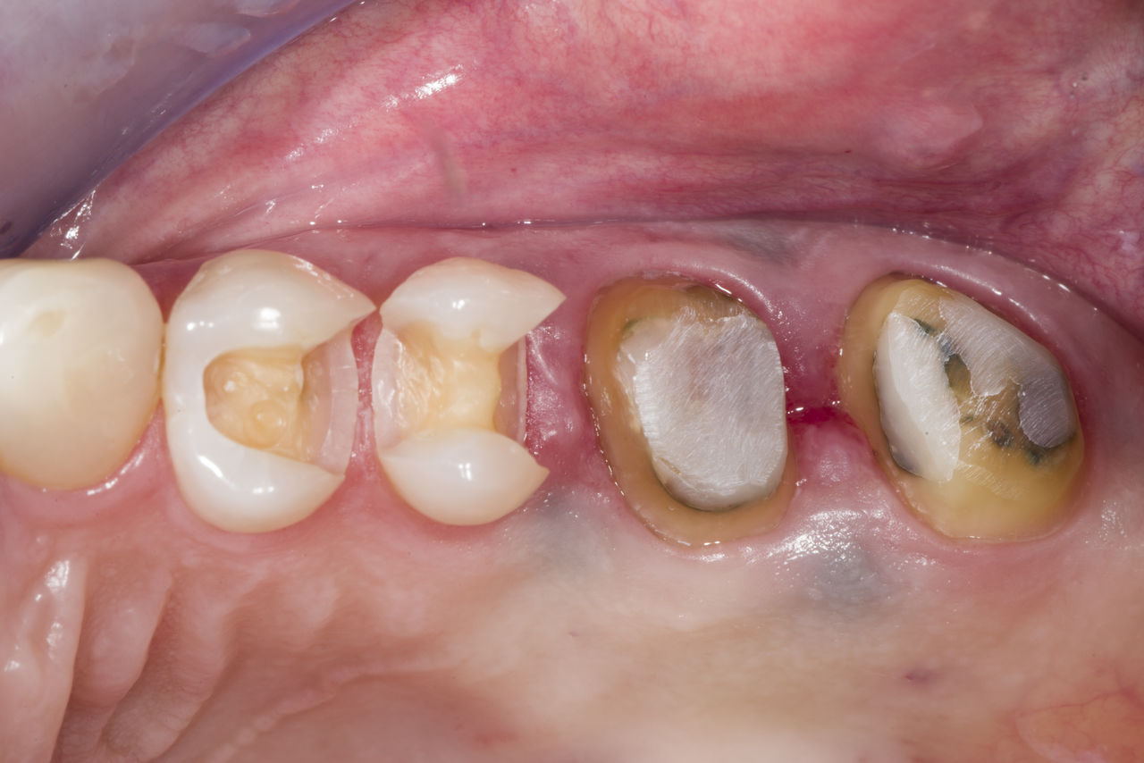
Реабилитация квадранта за 2 приема

Десять одиночных коронок VITA Suprinity PC

Пациентка хотела иметь красивую улыбку. Поскольку все зубы с 15 по 25 видимы, было принято решение использовать высокоэстетичную керамику для всех 10 зубов. Благодаря подробным консультациям и мокапам реставрации были изготовлены с помощью CEREC за два приема.

До: Пациентка недовольна своей улыбкой из-за дисколорирования зубов.

После: Десять высокоэстетичных одиночных коронок с индивидуальным подбором оттенков.

Доктор Даниэль Васкес

Сан-Диего, США

Верхние боковые резцы, за 180 минут

Установка имплантата Ankylos и двух коронок CELTRA DUO 

После 9 месяцев операций я смог восстановить улыбку моей пациентки с помощью CEREC всего за одно посещение. Результаты были просто фантастическими по сравнению с первоначальной ситуацией.

До: Отсутствие зубов 12 и 22 из-за агенезии зубов и потери костной ткани, вызванной первыми неудачно установленными имплантатами. Реставрации в переднем отделе представляют собой особую проблему.

После: Высокоэстетичная реставрация одного зуба с помощью имплантатов и изготовленных непосредственно в условиях стоматологического кабинета передних коронок.

Доктор Фернандо Пейшоту Соарес

Сан-Паулу, Бразилия


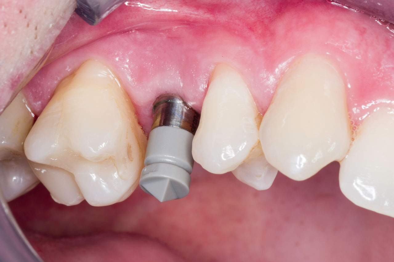
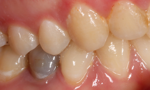
Второй премоляр верхней челюсти

Установка имплантата Astra Tech и одиночной коронки IPS e.max CAD 

36-летний пациент обратился в нашу клинику через четыре месяца после удаления зуба 15, чтобы закрыть образовавшуюся щель между зубами с помощью имплантата. Через шесть месяцев после проведенной операции у пациента отмечалось здоровое состояние десны и кости.

До: Отсутствие зуба 15 после удаления из-за продольного перелома. Пациент хотел закрыть образовавшуюся щель между зубами.

После: Высококачественная стеклокерамическая коронка, обеспечивающая высокоэстетичную и долговременную стабильную реставрацию.

Доктор Андреас Биндл

Цюрих, Швейцария


Первый премоляр верхней челюсти за 90 минут

Установка имплантата Ankylos и одиночной коронки IPS e.max CAD 

В течение 90 минут были изготовлены и установлены окончательные протезы после имплантологического лечения благодаря цифровой технологии работы с помощью CEREC непосредственно в условиях стоматологического кабинета. Пациент остался очень доволен.

До: Зуб 24 с горизонтальным переломом корня и периферической инфекцией.

После: Сохранение эстетики и естественного контура мягких тканей.

Доктор Карлос Репульо

Севилья, Испания

Связаться с нами

Узнайте больше о наших решениях CAD/CAM и системе CEREC от Dentsply Sirona, запросив информацию о продукции.