Bizi arayın veya aşağıya iletişim bilgilerinizi girin, bir Dentsply Sirona temsilcisi en kısa zamanda sizinle iletişime geçecektir.
DS World Dubai 2026 Register Now
Bağlantılı diş hekimliğinin geleceğini deneyimleyin: Her etkinlikte sektör lideri eğitimler, en son gelişmeler, ünlü düşünce liderleri ve rakipsiz ağ oluşturma fırsatları sunulur.
Sürdürülebilirlik stratejimiz misyonumuz için temel değer taşır ve gerçekleştirdiğimiz her uygulamayla bütünleşiktir.
TruNatomy Çözümü
TruNatomy, aşağıdakileri sunan kapsamlı bir endodontik çözümdür:
Bu değerlendirme yazılarında, klinisyenler TruNatomy ile ilgili deneyimlerini paylaşıyor. TruNatomy®, en basit vakalardan2 en karmaşık vakalara3 kadar klinisyenleri günlük kliniklerinde her an destekleyen bir çözümdür.
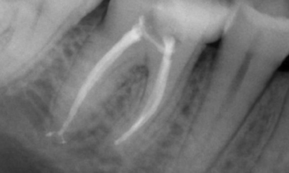
"Bir hasta ve süreç odaklı başarı." - Dr. Cowie
Önce: Öncelikli olarak distal kökle ilişkili periyapikal radyolüsen ve mesiyal kökte lamina dura kaybı.
Sonra: TruNatomy, bu vakada çürüklerden yararlanılan bir yaklaşıma ve özellikle dişin daha minimal bir restorasyona sahip olduğu mesiyal yönde periservikal dentin korumasına odaklanmaya izin vermek için seçilmiştir.
Bath, Birleşik Krallık
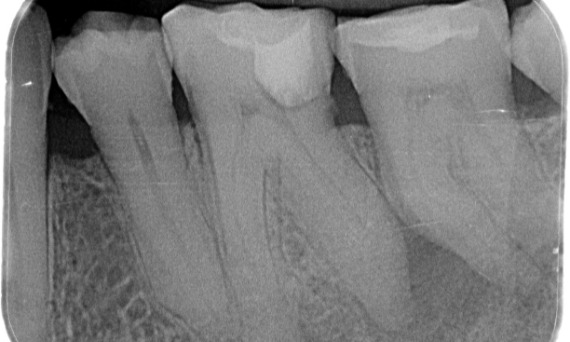
“TruNatomy'yi oklüzal yükün üstesinden gelmek ve diş ömrünü uzatmak için mümkün olduğunca çok dentini koruyabilmek amacıyla seçtim.” - Dr. Abuelezz
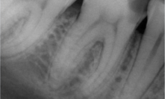
Önce: Muayenede, sağ alt ilk molar ile ilişkili çürük lezyonu mevcuttu. Radyografik incelemede lezyonun pulpa boynuzuna yakınlığı görüldü ve temel şikayet ile birleştirilince kronik geri dönüşümsüz pulpitis tanısı konuldu.
Sonra: Erişim kavitesi mümkün olduğunca konservatif olarak yapıldı. TruNatomy, genç hastanın yaşı nedeniyle tercih edilen sistem oldu. Dişin oklüzal yükün üstesinden gelme yeteneğini artırmak ve son restorasyonun ömrünü uzatmak amacıyla dentini mümkün olduğunca korumamız gerekiyordu.
Kahire, Mısır
Endodonti ürünlerimiz ve çözümlerimiz hakkında daha fazla bilgi edinin.
1 ProTaper Next’e kıyasla
2 Dr. Filippo Santarcangelo (S. 8 - Klinik vakalar ve referanslar PDF)
3 Dr. Jonathan Cowie (S. 12 - Klinik vakalar ve referanslar PDF)
© 2025 - Dentsply Sirona, Tüm Hakları Saklıdır