Vorteile

Effiziente Handhabung

Ein durchdachtes Design, das Ihnen hilft, die besten Ergebnisse zu erzielen, ohne einen Gedanken zu verschwenden. Progressive Gewinde-Design mit hoher Schneidleistung für einen vorhersagbaren, liniearen Drehmoment-Aufbau und eine sichere Verankerung im Knochen.

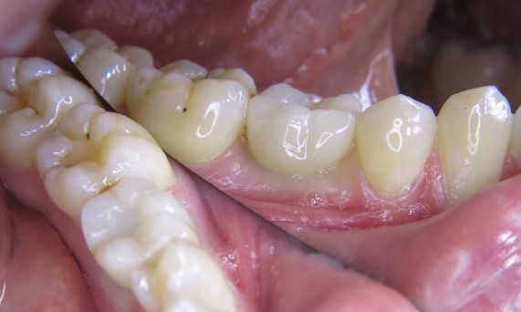
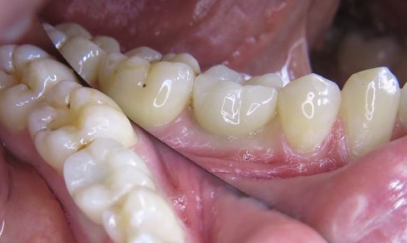
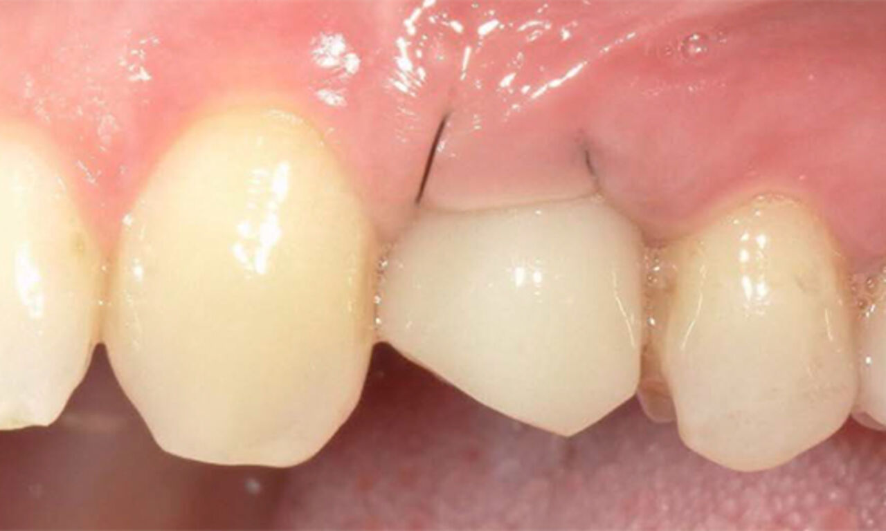
Langfristiger Knochenerhalt

Lassen Sie sich von unserer Erfolgsbilanz inspirieren: Wir haben den Standard in puncto Knochenerhalt gesetzt. Aufbauend auf dem bewährten Renommee des Astra Tech Imlant Systems für eine schnelle, vorhersagbare Osseointegration. Die OsseoSpeed-Oberfläche beitet langfristigen Knochenerhalt und übertrifft zwei andere Implantat-Oberflächen in Bezug auf marginalen Knochenerhalt in 1-Jahres- und 5-Jahres-Follow-ups.*

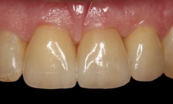
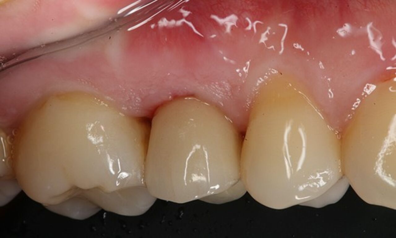
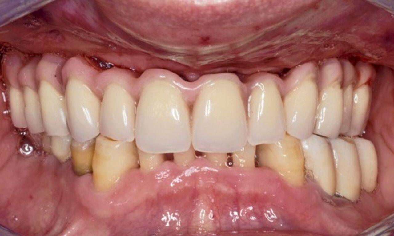
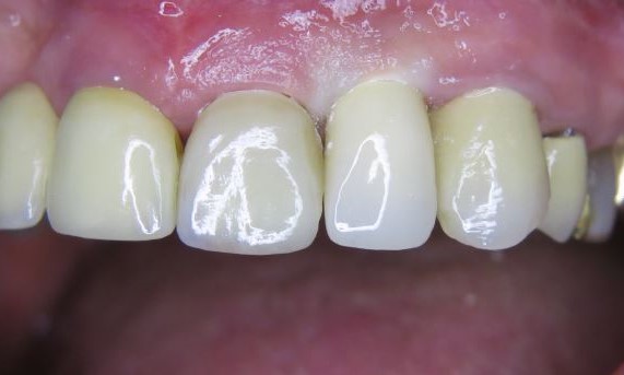
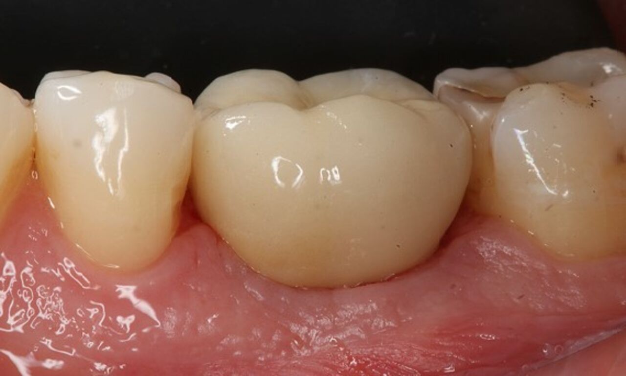
Exzellente Ästhetik

Langfristiger marginaler Knochenerhalt für eine exzellente Ästhetik über Jahre hinweg. Sie wissen, dass Sie gewonnen haben, wenn Ihr anspruchsvollster Patient dauerhaft zufrieden ist.

Nahtlose Workflow-Integration

Harmonische und vereinfachte Arbeitsabläufe vom präzisen Intraoralscan bzw. der konventionellen Abdrucknahme bis zur finalen Versorgung.

* Norton MR et al. Int. J. Oral Maxillofacial Implants 2020; 35 (6): 1099 - 1111

Hauptmerkmale von DS PrimeTaper

Langfristiger Knochenerhalt und exzellente Ästhetik dokumentiert und klinisch erprobt.

Neuigkeiten

Hier finden Sie Neuigkeiten und Fallberichte rund um DS PrimeTaper, die in regelmäßigen Abständen aktualisiert werden.

Verpassen Sie nichts und registrieren Sie sich für weitere Informationen.

Pressemitteilung
Dentsply Sirona: Umfassende Neuausrichtung des Geschäftsbereichs Implants

Auf der Basis digitaler Technologien, innovativer Produkte und integrierter Arbeitsabläufe in Verbindung mit einer kontinuierlichen Aus- und Weiterbildung richtet Dentsply Sirona seine Implantologie-Sparte neu aus.....

Wissenschaftlicher Nachweis

 

Fundierte Wissenschaft und umfassende Forschungsarbeit sind für uns bei Dentsply Sirona wichtig, denn darauf kommt es an.

Die Hauptmerkmale des Implantats – EV-Innenverbindung, OsseoSpeed, MicroThread, Soft Tissue Chamber – wurden für das Astra Tech Implant System hinsichtlich Knochenerhalt und Ästhetik dokumentiert und klinisch erprobt.

 

Material

 

OsseoSpeed - Marginaler Knochenerhalt (Meta-Analyse)

OsseoSpeed - Vorhersagbarkeit (Meta-Analyse)

OsseoSpeed - stärkere und schnellere Osseointegration

SoftTissue Chamber – größeres Weichgewebevolumen und hohe Ästhetik

EV-Innenverbindung - starker und stabiler Halt

MicroThread – biomechanische Knochenstimulation

Publikationen - Zusammenfassung

Kontaktieren Sie uns

Sie möchten mehr über das neue DS PrimeTaper Implantatsystem erfahren? Registrieren Sie sich hier, wenn Sie keine Neuigkeit mehr verpassen möchten.

Kontaktinformationen

Adresse

Informationen darüber, wie wir Ihre personenbezogenen Daten verarbeiten, finden Sie in unserer Datenschutzerklärung unter www.dentsplysirona.com

load-icon
Wir sind derzeit nicht in der Lage, diese Anfrage zu bearbeiten. Bitte versuchen Sie es später erneut.

Weitere Produktinformationen