SureSmile
Kieferorthopädie
Fallbeispiel
Spectra
Restauration
Produktschulung

Angaben zum Patienten

Alter

36 Jahre alt

Geschlecht

Weiblich

Adhäsv befestigte Attachments mit Ceram.x Spectra® ST Universal-Komposit für SureSmile® Aligner

Ausgangssituation der Patientin

 

Nach einer gründlichen Untersuchung und einem Gespräch über die zahnmedizinische Vorgeschichte der Patientin entschied Dr. Silveira, dass eine SureSmile® Aligner-Behandlung die beste Lösung wäre, um die Zähne der Patientin schrittweise in die gewünschte Position zu bringen. Die Hauptziele dieser Behandlung waren die Ausrichtung der oberen seitlichen Schneidezähne, die Verbesserung der Gesamtführung und der Okklusion.

Dr. Amaury de Moraes Silveira

Dentsply Sirona Certified KOL seit 2010, Londrina – PR/Brasilien

Einzelheiten zum Fall

Aufnahmedatum

Juni 2023

Dieser Fallbericht wird als Inspiration für Sie als Behandler veröffentlicht und stellt nicht unbedingt eine Empfehlung von Dentsply Sirona dar.

Diagnose

Die Hauptziele dieser Behandlung waren die Ausrichtung der oberen seitlichen Schneidezähne, die Verbesserung der Gesamtführung und der Okklusion.

Behandlungsplan

  • Zur Vorbereitung der Behandlung nahm Dr. Silveira mit einem Primescan® Intraoralscanner digitale Abformungen von den Zähnen der Patientin, die es ihm ermöglichten, einen individuellen Behandlungsplan zu erstellen, der auf die besonderen Bedürfnisse und Ziele der Patientin zugeschnitten war.
  • Mit Hilfe einer Behandlungssoftware war es möglich, der Patientin eine visuelle Darstellung zu zeigen, wie sich die Zähne im Laufe der Behandlung allmählich in die gewünschte Position bewegen würden, was realistische Erwartungen an das Ergebnis ermöglichte. 
  • Sobald der Behandlungsplan feststand, wurde eine Reihe von SureSmile® Alignern entwickelt, die genau auf die Zähne der Patientin abgestimmt waren. 
  • Dr. Silveira setzte auch Komposit-Attachments ein, die mit dem universellen Komposit-Füllungsmaterial Ceram.x Spectra® ST hergestellt wurden, um die Bewegung der Zähne während des Behandlungsprozesses zu führen. 

 

Workflow

Schritt 1: Vorbereiten der Zähne

  • Wangenhalter einsetzen
  • Polieren der Zähne mit fluoridfreiem Bimsstein
  • Zähne spülen und trocknen
  • Ätzgel (DeTrey® Conditioner 36) 30 Sekunden lang auftragen
  • Absaugen, abspülen und abtrocknen

Schritt 2: Adhäsiv auftragen

  • Prime&Bond active® Adhäsiv auftragen und 20 Sekunden hin und her bewegen

Schritt 3: Lufttrocknen des Adhäsivs

  • Jeden Zahn mindestens 5 Sekunden lang sanft mit Luft trocknen. Die Zahnoberfläche sollte ein einheitliches, glänzendes Aussehen haben.

Schritt 4: Lichthärtendes Adhäsiv

  • Lichthärtung jeder behandelten Zahnoberfläche mit SmartLite® Pro für 10 Sekunden

Schritt 5: Attachment-Tray vorbereiten

Die Attachment-Schablone mit Ceram.x Spectra® ST befüllen. Compules® Tips werden für eine präzise und einfache Platzierung empfohlen.

Schritt 6: Komposit stopfen

  • Ein allgemeines IPC-Kompositinstrument wurde verwendet, um das Komposit in das Attachment zu stopfen.
  • Das niedrigviskose Komposit wurde verwendet, weil es sich am einfachsten in Form bringen lässt.

Schritt 7: Überschüssiges Komposit abtragen

  • Verwenden Sie eine beflockte Applikatorspitze, um den Bereich um den Aufsatz vor dem Anbringen gut zu reinigen. Dieser Reinigungsschritt vor dem Verkleben spart Behandlungszeit.

Schritt 8: Tray platzieren

  • Das mit Komposit gefüllte Tray wird in den Mund des Patienten eingesetzt. Um die Haftung zu gewährleisten, sollte auf jedes Komposit-Attachment leichter Druck ausgeübt werden.

Schritt 9: Lichthärtung jedes Attachments

  • Jedes Attachment wurde mit SmartLite® Pro 10 Sekunden lang lichtgehärtet.

Schritt 10: Überprüfen auf Grat

  • Ultraviolettes oder schwarzes Licht wurde verwendet, um etwaigen Grat leicht zu erkennen

Schritt 11: Entgraten

  • Mit Enhance®-Schleifstiften wurde der verbleibende Kompositgrat entfernt.

Schritt 12: Attachment polieren

  • Endgültige Ergebnisse nach dem Polieren mit dem Enhance® PoGo Polishing System.
  • Zum Entfernen von Attachments ästhetische Hartmetall-Bohrer zum Schneiden und Finieren verwenden
  • Obwohl die Behandlung noch nicht abgeschlossen ist, haben sich die Zähne der Patientin nach einigen Monaten bereits vielversprechend in die gewünschte Position bewegt.
  • Dadurch besteht eine positive Prognose, dass die Fehlstellung der Frontzähne korrigiert wird.
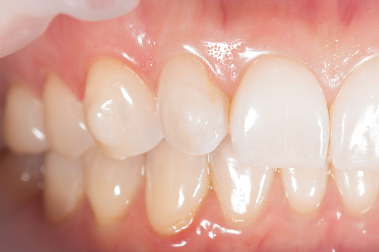
  • Die Komposit-Attachments waren gut mit der Zahnoberfläche verbunden und bieten der Patientin eine hervorragende, natürlich wirkende Ästhetik.
  • Die Patientin war beeindruckt von der Einfachheit der SureSmile® Aligner und erfreut über die vorhersagbaren Ergebnisse, denn ihr Lächeln scheint sich deutlich zu verbessern.
  • Die Patientin war wirklich beeindruckt von dem Komfort, den SureSmile® Aligner bieten.
  • Im Gegensatz zu herkömmlichen Zahnspangen musste die Patientin nicht befürchten, dass Metallklammern oder Drähte Unbehagen verursachen oder die Mundhygiene erschweren könnten.
  • Dadurch, dass sie die Aligner zum Essen, Zähneputzen und für die Verwendung von Zahnseide herausnehmen konnte, war ihr Alltag sehr viel leichter zu bewältigen.
  • Insgesamt ist der von Dr. Amaury de Moraes Silveira vorgestellte klinische Fall ein anschauliches Beispiel für die erfolgreiche Verwendung von Komposit-Attachments zur Korrektur von Fehlstellungen im Frontzahnbereich. 
  • Die Verwendung von Produkten von Dentsply Sirona bei der Behandlung zeigte deutlich deren Wirksamkeit und Eignung für Zahnersatz.
  1. Mit Ceram.x Spectra® ST-Komposit geklebte Attachments sehen natürlich aus und sind äußerst langlebig
  2. Geklebte Attachments mit eingesetzten SureSmile® Alignern

Verwandte Artikel