Beim Kauf von zwei Produkten der Kategorien Essix Folien oder SpaceFiles wird der Rabatt auf der Rechnung abgezogen.
ACHTUNG: Ab 1. Mai ist dieser Rabatt nur mehr online und mit Code ORTHO20 verfügbar.
DS World Germany - 13. – 14. März 2026. Mehr erfahren
Newsletter abonnieren und 5% auf die nächste Bestellung im Webshop sichern! Jetzt anmelden
Jetzt verfügbar: MIS SEVEN XD Implantate & MIS C1 XD Implantate können ab sofort online bestellt werden. Jetzt einkaufen!
5 % Rabatt auf Ihre erste Online-Bestellung – Verwenden Sie den Code WILLKOMMEN5 im Warenkorb. Jetzt einkaufen
Windows 11 Security Package Mehr erfahren
Beim Kauf von zwei Produkten der Kategorien Essix Folien oder SpaceFiles wird der Rabatt auf der Rechnung abgezogen.
ACHTUNG: Ab 1. Mai ist dieser Rabatt nur mehr online und mit Code ORTHO20 verfügbar.
Experience the future of connected dentistry: Die Dentsply Sirona World – 2026 erstmals in Deutschland – steht für einen vielfältigen Kongress mit international anerkannten Referenten, zahlreichen Fortbildungsvorträgen (inkl. CE-Punkte) & Workshops sowie einem kollegialen Miteinander.
Unsere Nachhaltigkeitsstrategie ist für unsere Mission und unser gesamtes Handeln von grundlegender Bedeutung.
Zukunftssicher im Produktangebot, engagiert für Ihren beruflichen Erfolg und zuverlässig in Qualität und Service –dafür stehen wir mit unserem Existenzgründerprogramm.
Fallbeispiel
Alter
Geschlecht
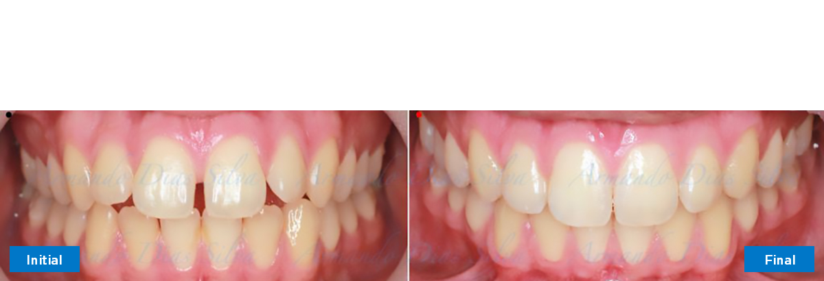
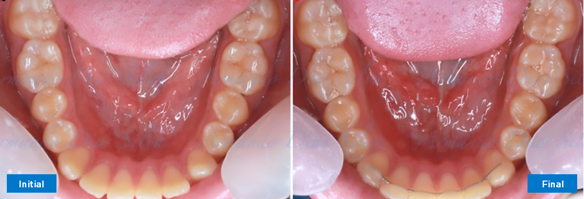
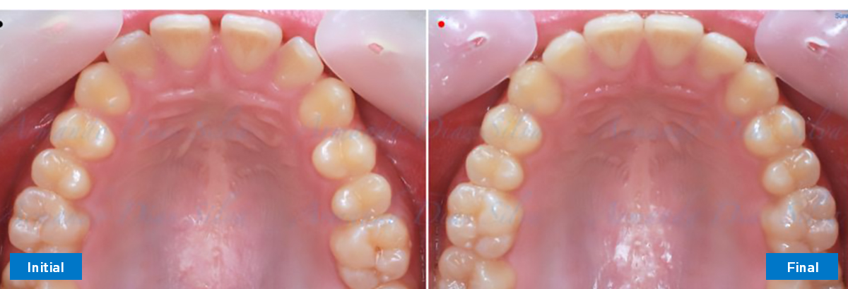
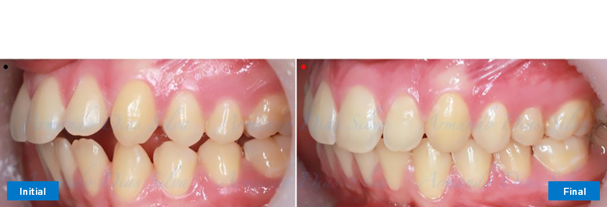
Hauptbeschwerde(n) des Patienten: zentrale Inzisionsprotrusion und offener Biss. Der Patient lehnt die Erweiterung des Gaumenbogens (MARPE) und Extraktionen ab.
Der jugendliche Patient stellte sich mit Backenzähnen der Klasse II vor und mochte seinen offenen Biss und die vorstehenden Frontzähne nicht. Aus den Fotografien seines Gesichts ging hervor, dass sein Unterkiefer retrognath war oder es ihm an Volumen im Kinn fehlte. Aus den Patientenunterlagen ging auch hervor, dass ein funktionelles Problem vorlag, da keine Schneidezahnführung vorhanden war.
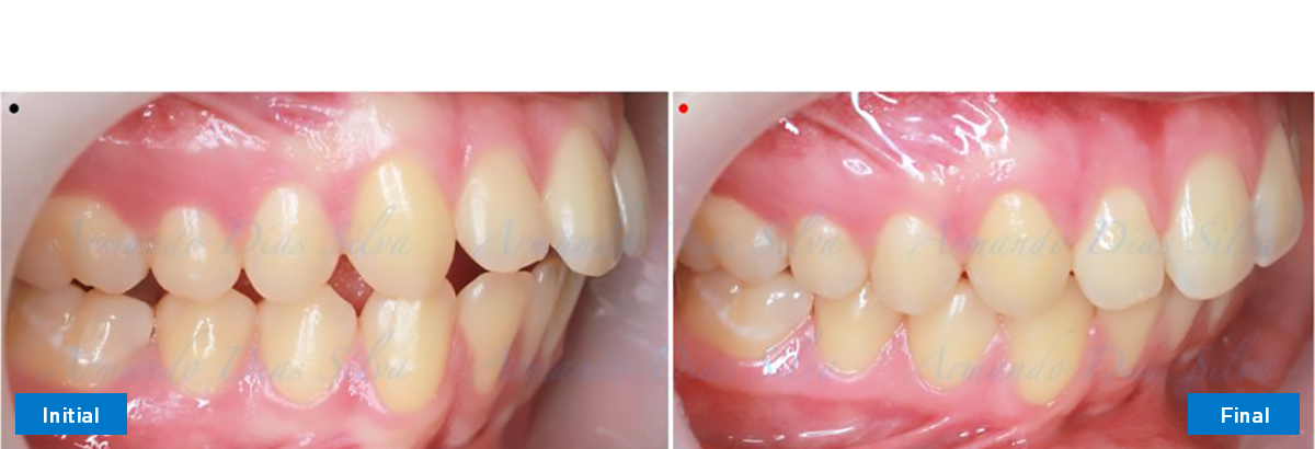
Sehen Sie in dem Fallbeispiel für die Anwendung von SureSmile von Dr. Armando Dias da Silva, wie Ärzte Fälle der Klasse II mit Distalisierung und ohne elastische Elemente behandeln. Dr. Armando Dias da Silva ist Kieferorthopäde mit einer Privatpraxis in Porto, Portugal.
Kieferorthopäde
Privatpraxis in Porto, Portugal
Aufnahmedatum
Dieser Fallbericht wird als Inspiration für Sie als Behandler veröffentlicht und stellt nicht unbedingt eine Empfehlung von Dentsply Sirona dar.
• Molaren der Klasse II
• Diastema
• Geringer Abstand zwischen Ober- und Unterkiefer (Querfehlstellung von 3,45 mm)
• Der obere rechte erste Molar befindet sich in einer mesialeren Position als der obere linke erste Molar
• Leichte Oberkiefer-Querfehlstellung (3,45 mm)
• Vorstehende obere und untere Schneidezähne
• Ungünstige Eckzahnführung
• Ausrichten und Nivellieren ohne Extraktionen
• Obere Molaren derotieren und distalisieren
• Obere Schneidezähne retrudieren
• Untere Schneidezähne rückverlagern
• Genioplastik im Erwachsenenalter
Modalitäten – SureSmile® Software und Aligner
Dauer – 7 Monate, 7 Termine
Anzahl der Aligner – O: 24 U: 16
Alle Hauptziele wurden erreicht:
Retention: Oberer Zahnbogen mit transparentem Retainer. Der untere Zahnbogen wird mit einem lingualen Retainer gehalten, der von Eckzahn zu Eckzahn geklebt wird.