Anhand dieser klinischen Fälle demonstrieren Ihre Kollegen das breite Spektrum der Anwendungsmöglichkeiten für CEREC – von der Einzelzahnrestauration über hochästhetische Herausforderungen bis hin zur umfassenden oralen Rehabilitation.

Lassen Sie sich inspirieren und erfahren Sie, wie diese hochentwickelte und intelligente Technologie Sie bei Ihrer Arbeit unterstützen kann, um die Behandlung für Ihre Patienten hochwertig, sicher und schnell zu gestalten.

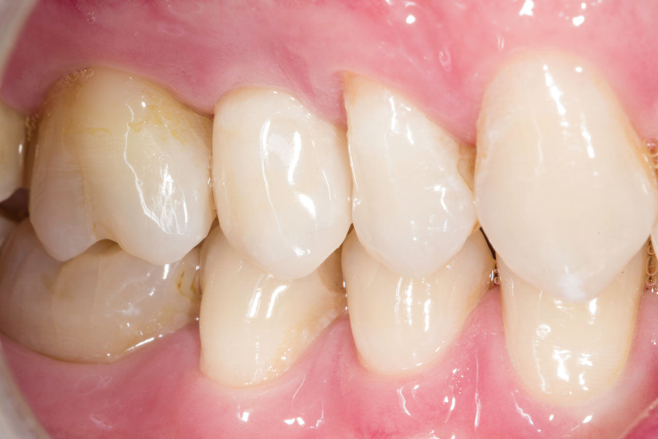
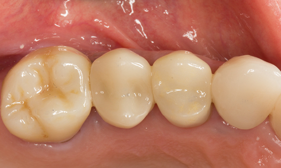
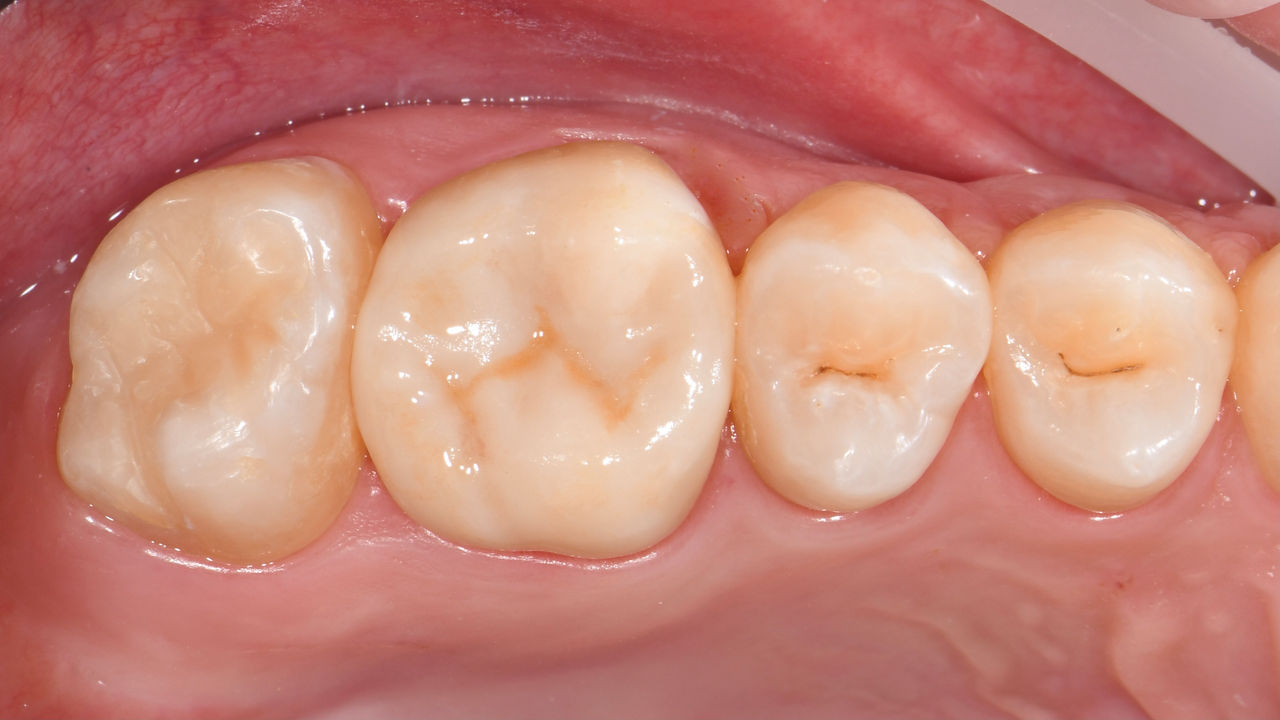
Erster oberer Molar in 90 Minuten 

Eine CEREC Tessera Krone

Die Restauration des ersten oberen Molars in einer einzigen Sitzung war dank des effizienten CEREC Workflows mit CEREC Primemill und CEREC SpeedFire möglich. Der Patient äußerte sich sehr positiv über die kurze Behandlungszeit und das ästhetische Ergebnis.

Vorher: Der erste obere Molar war mit einer umfangreichen, aber unzureichenden Kompositfüllung versorgt worden, die bereits sichtbare Frakturen aufwies.

Nachher: Am Behandlungsstuhl hergestellte Restauration aus einer modernen Lithiumdisilikat-Keramik, CEREC Tessera.

Dr. Shivi Gupta

San Diego, USA


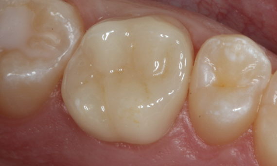
Erster oberer Molar in 100 Minuten

Ein CEREC Tessera-Inlay

Die Restauration am Behandlungsstuhl und in einer einzigen Sitzung erwies sich für diesen Patienten als besonders effektive und bequeme Lösung, da der Anfahrtsweg zur Praxis 50 Kilometer betrug. Mit CEREC Tessera konnte ein hochästhetisches Inlay realisiert werden.

Vorher: Frakturierte Keramik-Restauration aus leuzitverstärkter Glaskeramik nach einer klinischen Einsatzdauer von 12 Jahren.

Nachher: Bei der Behandlung hergestellte Restauration aus der weiterentwickelten Lithium-Disilikat-Keramik, CEREC Tessera.

Dr. Sven Rinke

Hanau, Deutschland


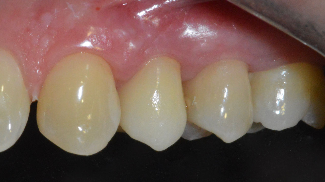
Zweiter oberer Prämolar in 90 Minuten

Eine CEREC MTL Zirconia Krone 

Der Patient war sehr zufrieden mit der zahnerhaltenden Behandlung in einer einzigen Sitzung. Die Krone aus CEREC MTL Zirconia bietet sowohl eine hohe Festigkeit als auch eine sehr gute Ästhetik.

Vorher: Eine große kariöse mesiale Läsion an Zahn 15. Der Zahn zeigte eine asymptomatische apikale Parodontitis und einen signifikanten Verlust der Zahnstruktur.

Nachher: Chairside-hergestellte Restauration aus CEREC MTL Zirconia, konstruiert mit der biogenerischen Individualfunktion in der CEREC Software. 

Dr. Cecilie Terjesen

Arendal, Norwegen


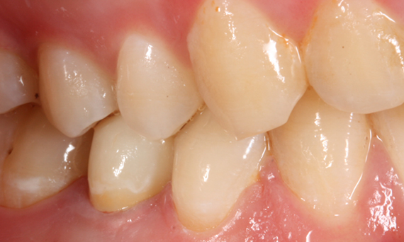
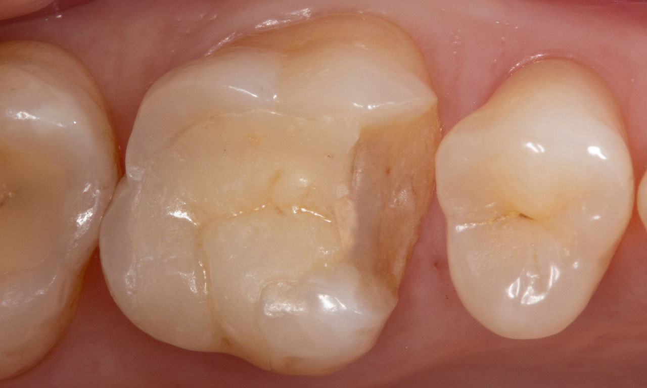
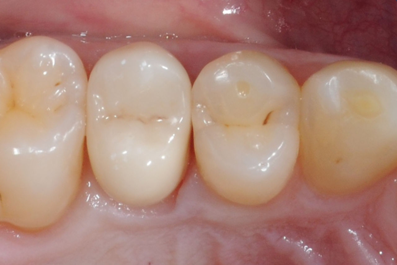
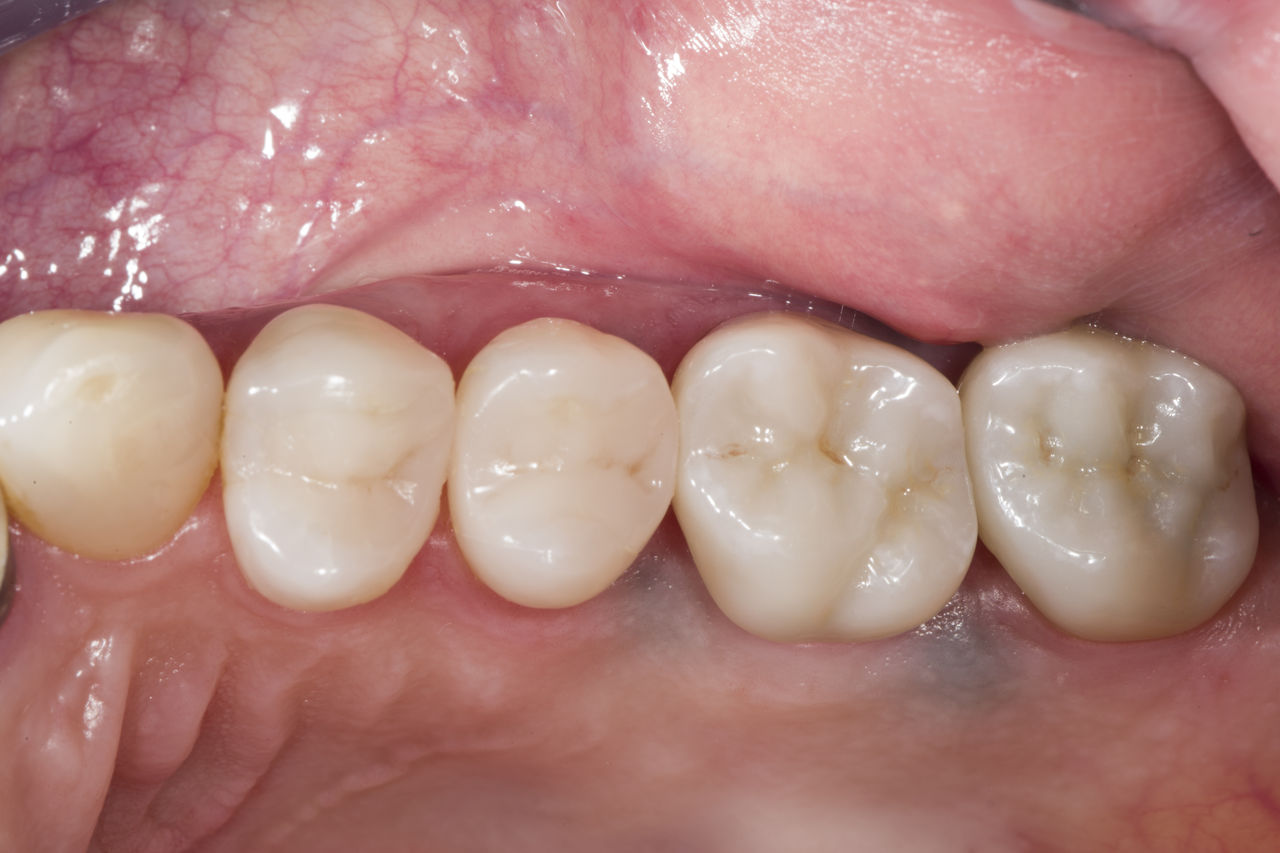
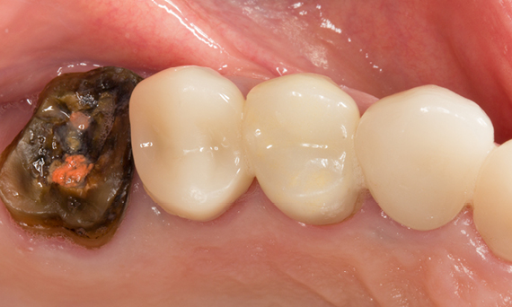
Quadranten-Rehabilitation

Zwei CEREC Tessera Kronen und zwei Inlays 

Innerhalb einer einzigen Sitzung von vier Stunden wurde die Restauration von zwei Kronen und zwei Inlays durchgeführt, die 15 Jahre zuvor eingesetzt wurden. Der Patient war sehr zufrieden mit dem hochwertigen ästhetischen Ergebnis.

Vorher: Unzureichende Füllungen im zweiten Quadranten. Die Restaurationen wurden etwa 15 Jahre zuvor eingesetzt.

Nachher: Am Behandlungsstuhl hergestellte Kronen aus CEREC Tessera (Zähne 26/27). Inlays für die Zähne 24 und 25 aus Kompositblöcken.

Dr. Andreas Bindl

Zürich, Schweiz


Zweiter oberer Prämolar in 60 Minuten

Eine IPS e.max CAD Einzelzahnkrone 

Die Geschwindigkeit des gesamten restaurativen Workflows war erstaunlich: Einschließlich Präparation, Herstellung und Zementierung der Restauration dauerte die Behandlung nur 57 Minuten. Die Patientin war mit der kurzen Behandlungszeit und dem ansprechenden ästhetischen Ergebnis sehr zufrieden.

Vorher: Zahn 25 wies mesial und distal marginale Karies und Porzellanbruch an der bestehenden PFM auf.

Nachher: Die Krone auf Zahn 25 wurde neu angefertigt, um sie fazial und inzisal besser an den Zahnbogen anzupassen.

Dr. Frank Clark Brown

Melbourne, USA


Erster oberer Molar in 60 Minuten

IPS e.max CAD Einzelzahnkrone

Der klinische Fall zeigt, wie schnell und effizient CEREC Primemill die Herstellung einer Chairside-Glaskeramik-Vollkrone in einer einzigen Sitzung ermöglicht und gleichzeitig die sehr hohen ästhetischen Anforderungen erfüllt.

Vorher: Ausgeprägte Insuffizienz der Kompositfüllung an Zahn 16 mit Rissen am distalen Rand, einem Sprung der palatinalen Wand und rezidivierender Karies distal.

Nachher: Ästhetisch hochwertige Glaskeramik-Vollkrone.

Dr. Karyn M. Halpern DMD, MS

New York, USA


Erster oberer Molar in 75 Minuten

IPS e.max CAD Einzelzahnkrone

Ein schneller und sehr genauer Scan und eine überschaubare und intuitive Konstruktionssoftware, kombiniert mit einer Schleif- und Fräseinheit, die eine Restauration in nur wenigen Minuten fertigstellt, sorgen für eine signifikante Steigerung der Effizienz und größere Patientenzufriedenheit in meiner Praxis.

Vorher: Zahn 26 mit Karies und einer nicht funktionstüchtigen direkten Kompositversorgung.

Nachher: Ästhetisch und funktionell hochwertige Lithium-Disilikat-Keramikkrone.

Dr. Dan Butterman

Centennial, USA


Zweiter unterer Prämolar in 90 Minuten

Katana Zirconia STML Einzelkrone

Die Restauration dieses Prämolaren war für die Chairside-Behandlung mit Zirconia sehr gut geeignet und dauerte insgesamt nur etwa 90 Minuten. Dank der großen Farbauswahl konnten wir Vollkontur-Zirkonoxid verwenden und damit zufriedenstellende Ergebnisse für die erforderlichen ästhetischen Anforderungen erzielen.

Vorher: Verfärbter Zahn 45 als Folge einer früheren Wurzelkanalbehandlung.

Nachher: Transluzente Zirkonoxid-Krone mit individualisiertem Finishing.

Dr. Gertrud Fabel

München, Deutschland


Erster oberer Molar in 90 Minuten

Katana Zirconia STML Einzelkrone

CEREC Primemill sorgt nicht nur für schnelle Behandlungstermine, sondern auch für vielseitige Frässtrategien. In diesem Fall wählten wir den Extra-Fein-Fräsmodus, um ein Maximum an Ästhetik und Detailwiedergabe zu erreichen.

Vorher: Frakturierte Metallkeramikkrone an Zahn 14, der früher endodontisch behandelt worden war.

Nachher: Transluzente Zirkonoxid-Vollkrone für ein ästhetisches Ergebnis mit maximaler Widerstands- und Retentionsform.

Dr. Mike Skramstad

Orono, USA

Obere mittlere Schneidezähne, in 4 Stunden

Vier IPS e.max CAD Einzelzahnkronen

Die Restauration mit Vollkeramik-Kronen erforderte keine subgingivale Präparation zur Abdeckung des Randes und die Ästhetik wurde nicht durch dunkle Metallschatten gestört. Mit CEREC Primescan und CEREC Primemill erhalten Patienten eine qualitativ hochwertige Vollkeramik-Restauration in sehr kurzer Zeit.

Vorher: Insuffiziente Füllungen an den Zähnen 12-22, eine ungleichmäßige Gingivalinie an 12 und 11 und stark erodierte Schneidekanten.

Nachher: Vier ästhetisch hochwertige und individualisierte Lithium-Disilikat-Keramikkronen.

Claudia Scholz

Kiel, Deutschland


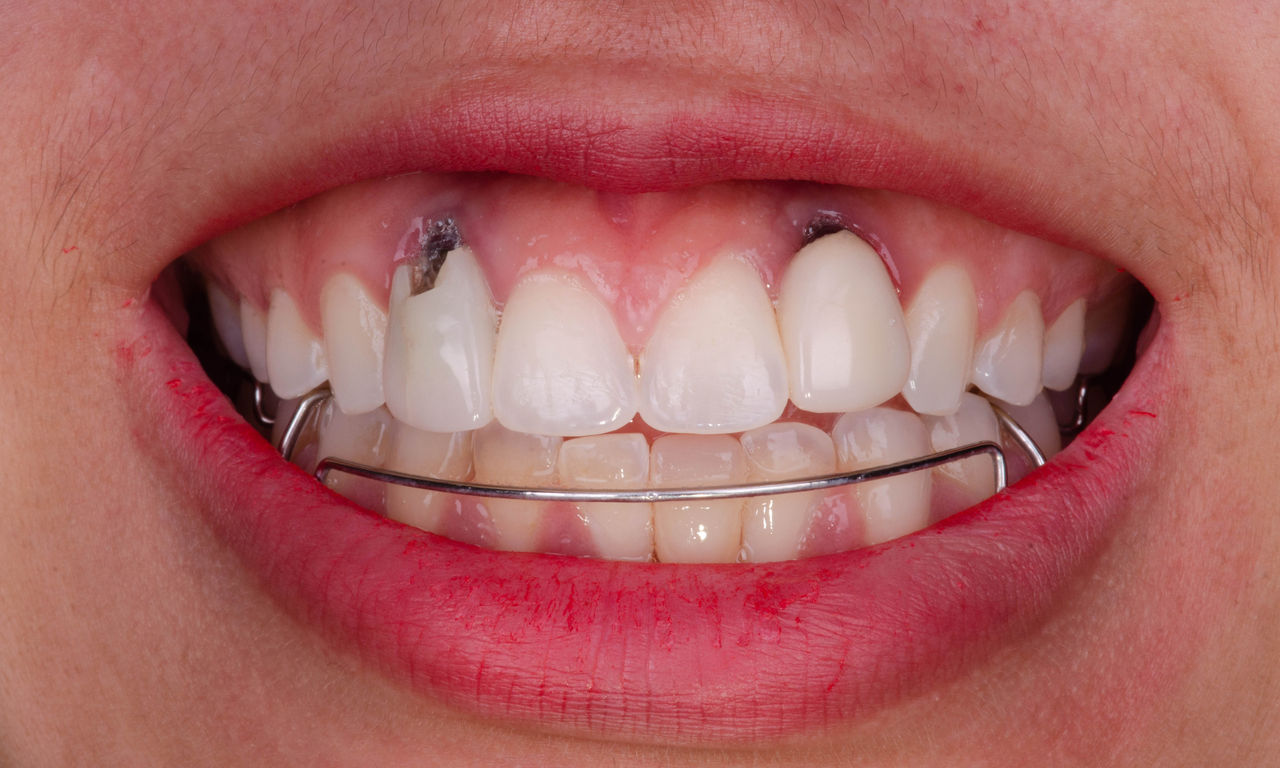
Quadranten-Rehabilitation in 2 Sitzungen

Zehn VITA Suprinity PC Einzelkronen

Die Patientin wünschte ein schönes Lächeln. Da die Zähne 15 bis 25 alle sichtbar sind, entschieden wir uns, eine ästhetisch hochwertige Keramik für alle 10 Kronen zu verwenden. Aufgrund der ausführlichen Beratung und dem Einbeziehen eines Mock-ups wurde die Restauration in zwei Sitzungen mit CEREC durchgeführt.

Vorher: Patientin, unzufrieden mit ihrem Lächeln aufgrund der Zahnverfärbungen.

Nachher: Zehn ästhetisch hochwertige Einzelkronen, individualisiert mit Malfarben.

Dr. Daniel Vasquez

San Diego, USA

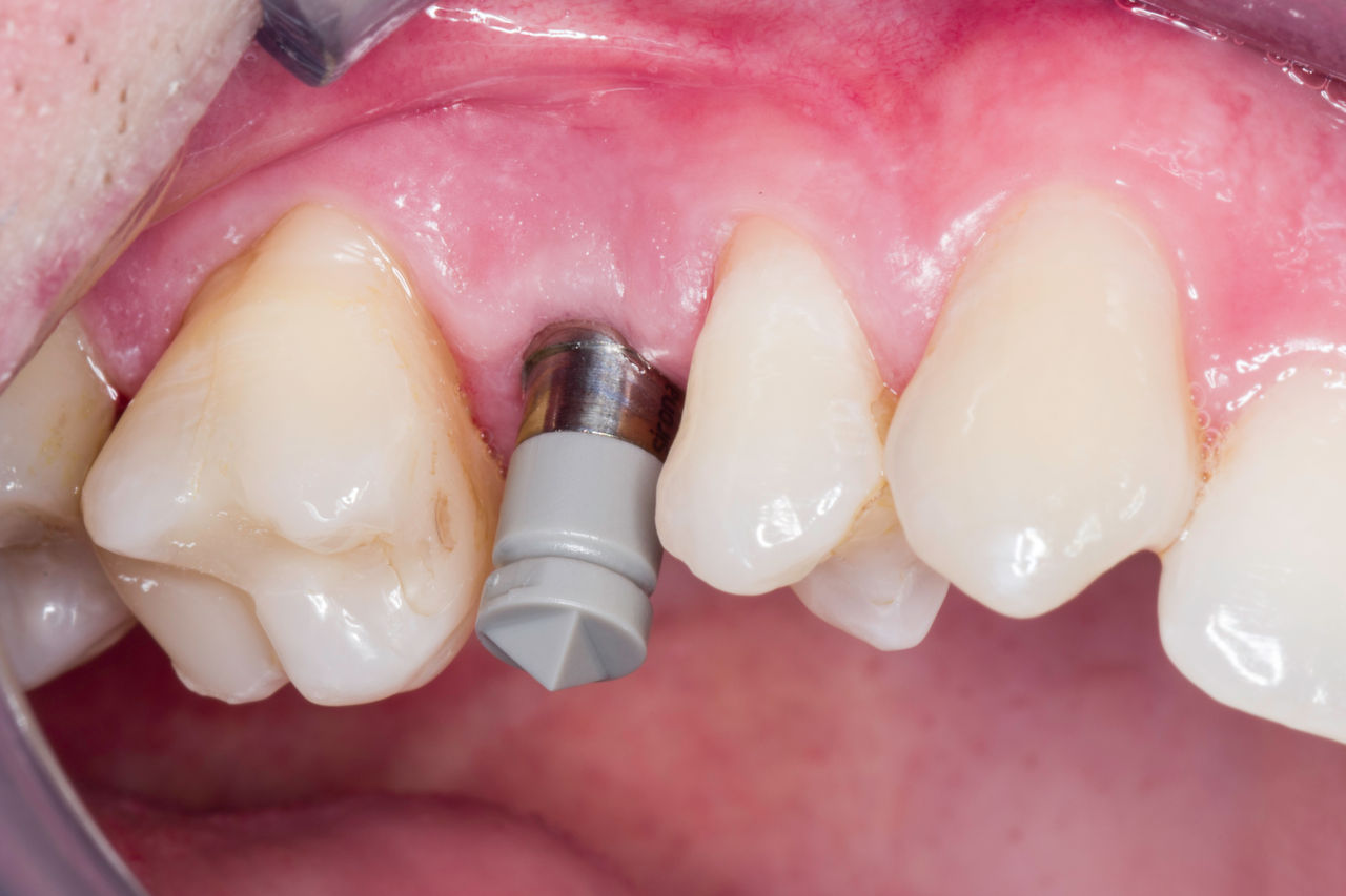
Obere seitliche Schneidezähne, in 180 Minuten

Ankylos Implantatinsertion und zwei Celtra Duo Kronen 

Nach 9 Monaten chirurgischer Eingriffe konnte ich mit CEREC das Lächeln meiner Patientin in nur einer Sitzung wiederherstellen. Die Ergebnisse waren im Vergleich zur Ausgangssituation fantastisch.

Vorher: Das Fehlen der Zähne 12 und 22 aufgrund von Zahnagenesie und Knochenverlust durch die ersten schlecht platzierten Implantate stellte eine Herausforderung für Restaurationen im Frontzahnbereich dar.

Nachher: Ästhetisch hochwertige Einzelzahn-Restaurationen mit Implantaten und Chairside-hergestellten Kronen im Frontzahnbereich.

Dr. Fernando Peixoto Soares

São Paulo, Brasilien


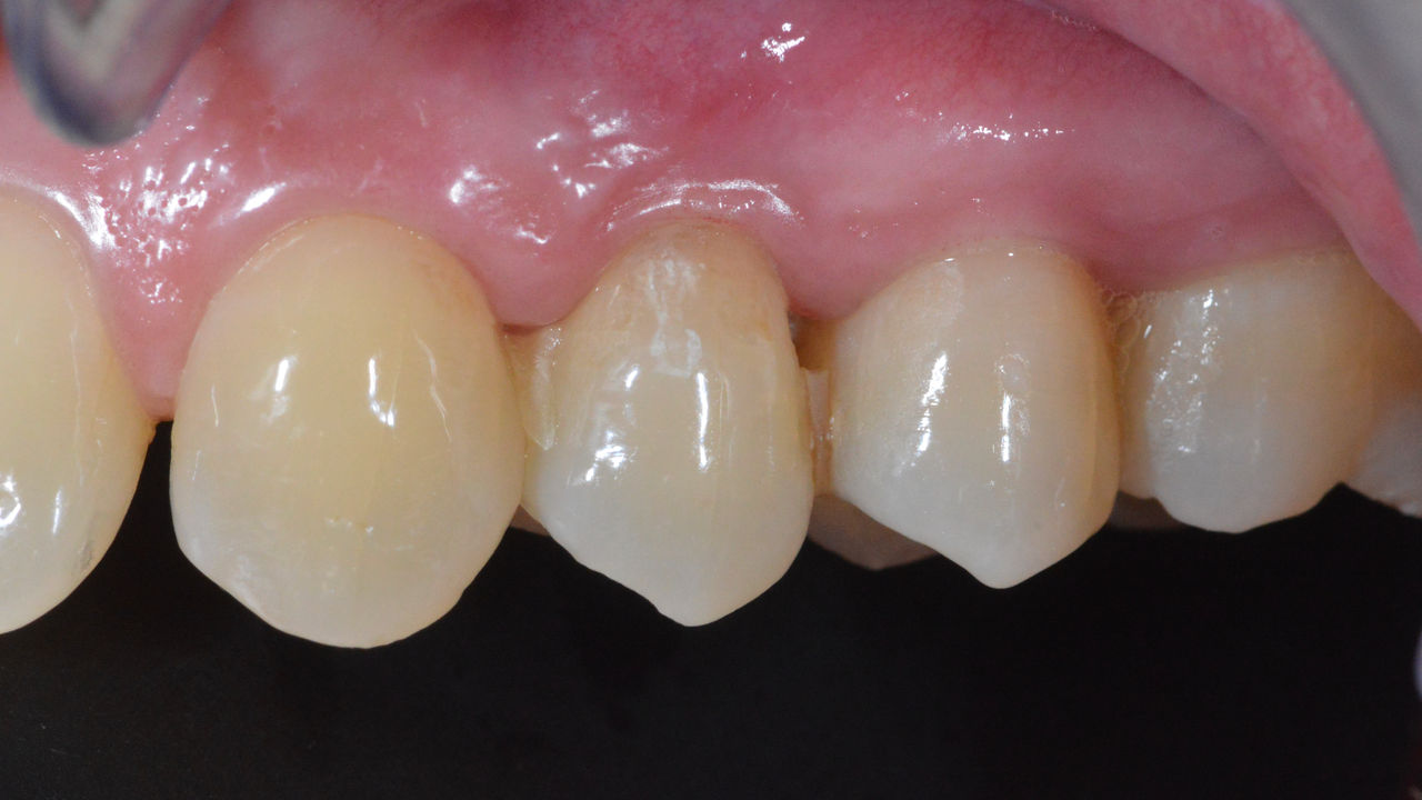
Zweiter oberer Prämolar

Astra Tech Implantatinsertion und eine IPS e.max CAD Einzelzahnkrone 

Eine 36-jährige Patientin kam vier Monate nach dem Entfernen von Zahn 15 in unsere Praxis, um die entstandene Zahnlücke mit einem Implantat zu schließen. Sechs Monate nach dem chirurgischen Eingriff präsentierte sich die Patientin mit gesundem Zahnfleisch und Knochen.

Vorher: Fehlender Zahn 15 aufgrund einer Längsfraktur. Die Patientin wollte die entstandene Zahnlücke schließen.

Nachher: Eine hochwertige Glaskeramikkrone für eine ästhetische und langfristig stabile Restauration.

Dr. Andreas Bindl

Zürich, Schweiz


Erster oberer Prämolar in 90 Minuten

Ankylos Implantatinsertion und IPS e.max CAD Einzelkrone 

Innerhalb von 90 Minuten wurde die endgültige Prothetik nach einer Implantatbehandlung dank des digitalen Chairside Workflows mit CEREC hergestellt und eingesetzt. Die Patientin war damit sehr zufrieden.

Vorher: Zahn 24 mit horizontaler Wurzelfraktur und peripherer Infektion.

Nachher: Erhaltung der Ästhetik und der natürlichen Weichgewebekontur.

Dr. Carlos Repullo

Sevilla, Spanien

Kontaktieren Sie uns

Erfahren Sie mehr über CAD/CAM-Lösungen und das CEREC-System von Dentsply Sirona und fordern Sie Produktinformationen an.