Gracias a estos casos clínicos, tus compañeros muestran la amplia gama de indicaciones para las que se puede usar CEREC, desde restauraciones en una sola visita hasta rehabilitaciones bucales completas y grandes desafíos estéticos.

Descubre cómo la sofisticada e inteligente tecnología de CEREC puede ayudarte en tu trabajo para que la experiencia de tus pacientes sea mejor, más segura y más rápida.

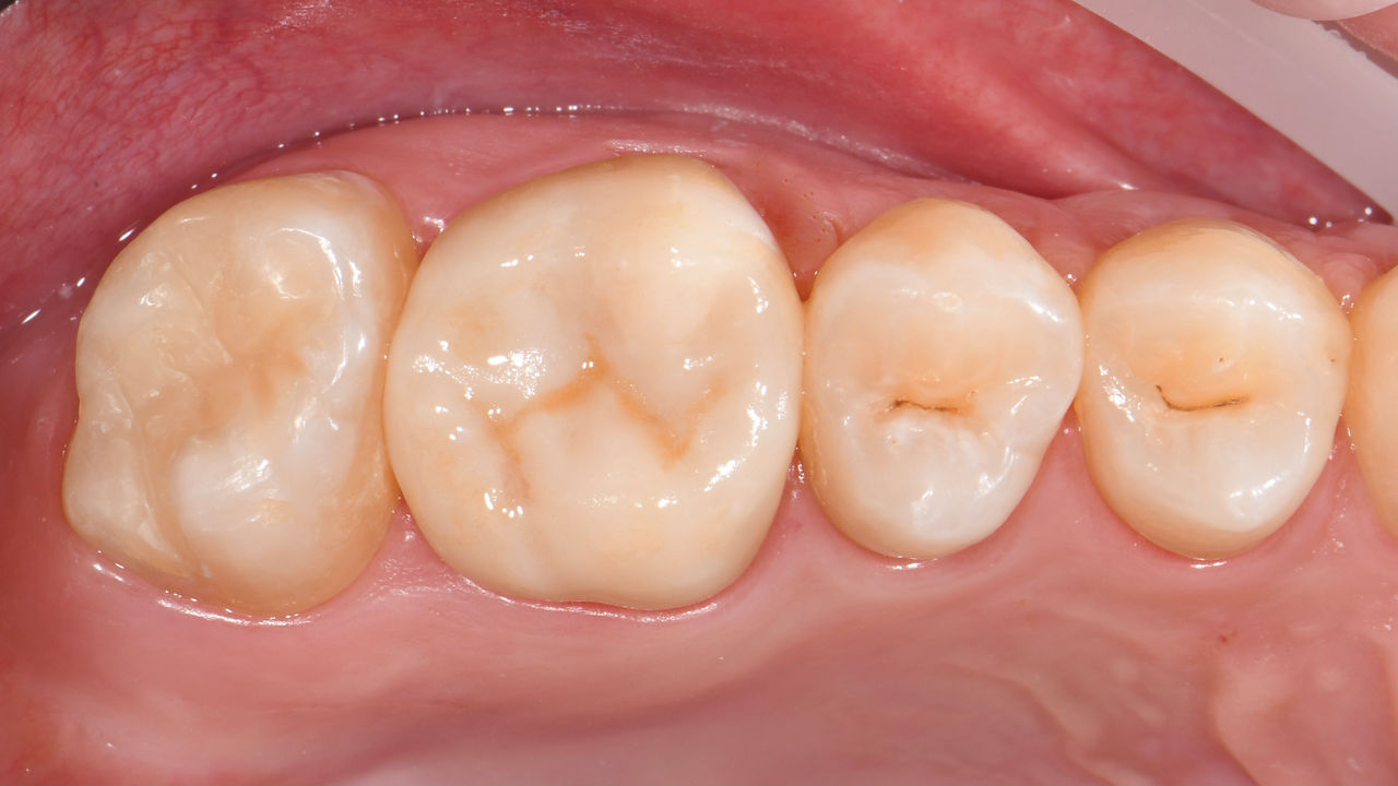
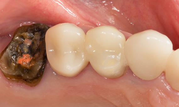
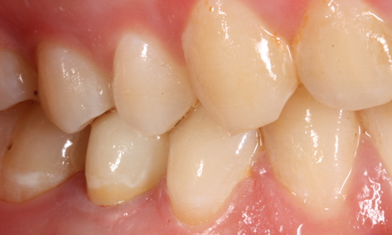
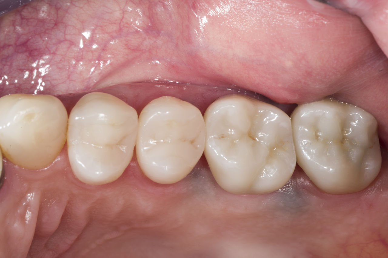
Primer molar superior en 90 minutos 

Una corona CEREC Tessera

La restauración del primer molar superior realizada en una única visita gracias al flujo de trabajo eficiente de CEREC con CEREC Primemill y CEREC SpeedFire. El paciente quedó muy contento en cuanto al breve tiempo de tratamiento y el resultado estético.

Antes: El primer molar superior se había restaurado con un empaste de composite grande aunque insuficiente que ya mostraba fracturas visibles.

Después: Restauración fabricada en clínica hecha con cerámica de disilicato de litio avanzado, CEREC Tessera.

Dra. Shivi Gupta

San Diego, EE. UU.


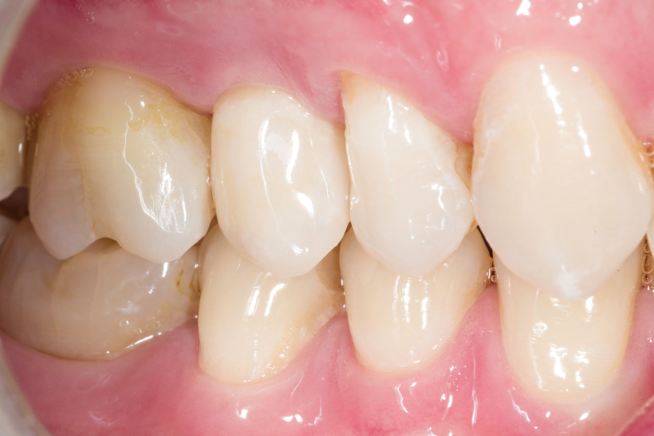
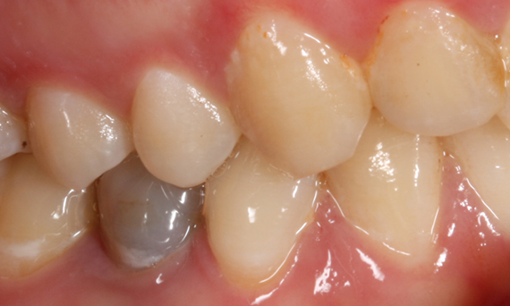
Primer molar superior en 100 minutos

Un inlay CEREC Tessera

La restauración en clínica en una sola visita demostró ser una solución particularmente efectiva y cómoda para esta paciente, ya que tiene que desplazarse 50 kilómetros hasta la clínica. Podría realizarse un inlay muy estético con CEREC Tessera.

Antes: Restauración cerámica fracturada fabricada con cerámica de vidrio reforzada con leucita tras un tiempo de servicio clínico de 12 años.

Después: Restauración fabricada en clínica con cerámica de disilicato de litio avanzado CEREC Tessera.

Dr. Sven Rinke

Hanau, Alemania


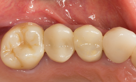
Segundo premolar superior en 90 minutos

Una corona de zirconio CEREC MTL 

El paciente quedó muy satisfecho con el tratamiento de conservación de dientes en una sola visita. La corona de zirconio CEREC MTL proporciona una gran resistencia y una estética inmejorable.

Antes: Una gran lesión cariosa mesial en el diente 15. El diente presentaba una periodontitis apical asintomática y una importante pérdida de estructura dental.

Después: Restauración de zirconio CEREC MTL fabricada en clínica y diseñada con la función individual Biogeneric del software CEREC. 

Dra. Cecilie Terjesen

Arendal, Noruega


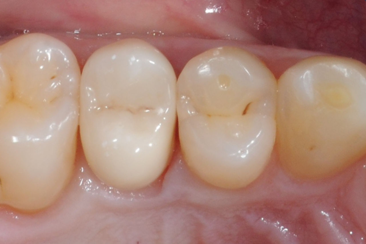
Rehabilitación por cuadrantes

Dos coronas y dos inlays CEREC Tessera 

La restauración de dos coronas y dos inlays, de 15 años, se realizó en una única visita de cuatro horas. El paciente quedó muy complacido con el buen resultado estético.

Antes: Empastes insuficientes en el segundo cuadrante. Las restauraciones eran de unos 15 años.

Después: Coronas fabricadas en clínica con CEREC Tessera (dientes 26/27). Inlays para los dientes 24 y 25 fabricados de bloques de composite.

Dr. Andreas Bindl

Zúrich, Suiza


Segundo premolar superior en 60 minutos

Una corona individual IPS e.max CAD 

La velocidad del flujo de trabajo de la restauración fue increíble: el tratamiento completo se llevó a cabo en tan solo 57 minutos, incluyendo la preparación, la fabricación y la cementación de la restauración. La paciente quedó muy satisfecha con el tratamiento tan rápido y el agradable resultado estético.

Antes: El diente 25 tenía caries marginal mesial y distal y una porcelana rota en el PFM existente.

Después: Se tuvo que rehacer la corona del diente 25 para alinearla con la arcada, desde el punto de vista facial e incisal.

Dr. Frank Clark Brown

Melbourne, EE. UU.


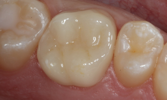
Primer molar superior en 60 minutos

Corona individual IPS e.max CAD

El caso clínico demuestra la rapidez y eficacia con la que CEREC Primemill puede fabricar en clínica una corona de cerámica de vidrio de superficie completa en una sola sesión, cumpliendo con las más altas exigencias estéticas.

Antes: Gran insuficiencia del empaste de composite en el diente 16 con grietas en el reborde marginal distal, una grieta en la pared lingual y caries distal recurrente.

Después: Corona de cerámica de vidrio de superficie completa y muy estética.

Dra. Karyn M. Halpern DMD, MS

Nueva York, EE. UU.


Primer molar superior en 75 minutos

Corona individual IPS e.max CAD

Un escaneo rápido y muy preciso, un software de diseño manejable e intuitivo, en combinación con una unidad de fresado y tallado que lleva a cabo una restauración en pocos minutos, genera un gran aumento de la eficiencia y una mayor satisfacción del paciente con mi clínica.

Antes: Diente 26 con caries y una restauración directa de composite defectuosa.

Después: Corona de cerámica de disilicato de litio muy estética y funcional.

Dr. Dan Butterman

Centennial, EE. UU.


Segundo premolar inferior en 90 minutos

Corona individual Katana zirconio STML

La restauración de este premolar resultó muy adecuada para el tratamiento en clínica con zirconio y llevó un total de unos 90 minutos. Pudimos utilizar zirconio de contorno completo gracias a la amplia gama de tonos disponibles, consiguiendo unos resultados satisfactorios para los requisitos estéticos.

Antes: Diente 45 descolorido como consecuencia de un tratamiento anterior de conducto radicular.

Después: Corona translúcida de zirconio con acabado individualizado.

Dra. Gertrud Fabel

Munich, Alemania


Primer molar superior en 90 minutos

Corona individual Katana zirconio STML

CEREC Primemill no solo acelera la cita, sino que también hace las estrategias de fresado mucho más versátiles. En este caso, elegimos el modo de fresado extrafino para conseguir una estética y una atención a los detalles lo mejor posible.

Antes: Corona de cerámica de metal fracturada en el diente 14, de un tratamiento anterior con endodoncia.

Después: Corona translúcida completa de zirconio para lograr un resultado estético con la máxima resistencia y retención de forma.

Dr. Mike Skramstad

Orono, EE. UU.

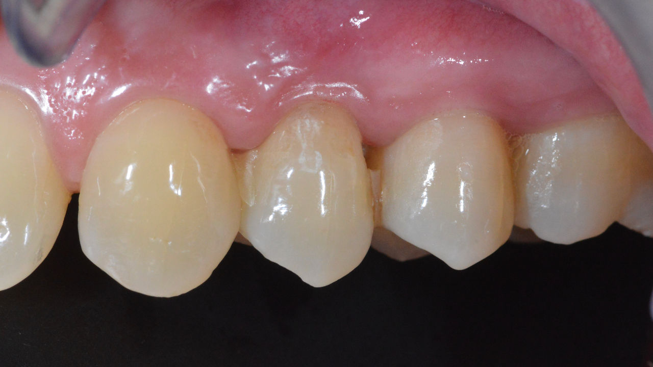
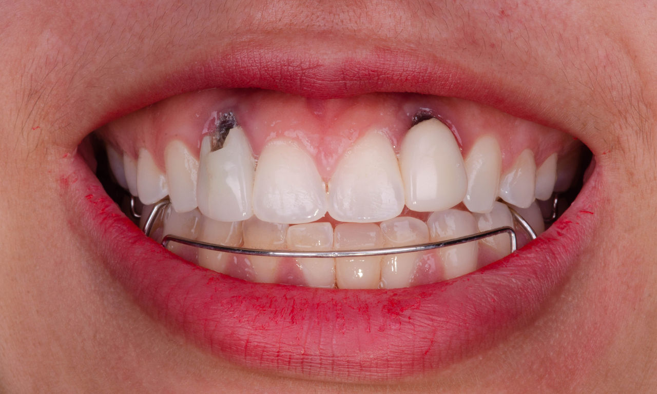
Incisivos centrales superiores en 4 horas

Cuatro coronas individuales IPS e.max CAD

La restauración con coronas de cerámica sin metal no necesitó de ninguna preparación subgingival para cubrir el margen, y la estética no se vio mermada por ninguna sombra metal oscuro. Con CEREC Primescan y CEREC Primemill, los pacientes obtienen una restauración de cerámica sin metal de alta calidad y más rápido que nunca.

Antes: Empastes inadecuados en los dientes 12-22, una línea gingival desigual en los dientes 12 y 11, y bordes incisales muy erosionados.

Después: Cuatro coronas de cerámica de disilicato de litio muy estéticas e individualizadas.

Claudia Scholz

Kiel, Alemania


Rehabilitación de cuadrantes en 2 sesiones

Diez coronas individuales VITA Suprinity PC

El paciente quería una sonrisa radiante. Como los dientes 15 a 25 son todos visibles, se optó por recurrir a una cerámica muy estética para los 10. Gracias a una consulta exhaustiva y a la implementación con una réplica, la restauración se llevó a cabo en dos sesiones con CEREC.

Antes: Paciente, insatisfecha con su sonrisa por culpa de la decoloración de los dientes.

Después: Diez coronas individuales muy estéticas, individualizadas con coloraciones.

Dr. Daniel Vasquez

San Diego, EE. UU.

Incisivos laterales superiores en 180 minutos

Colocación del implante Ankylos y dos coronas CELTRA DUO 

Tras 9 meses de cirugías, con CEREC pude restaurar la sonrisa de mi paciente en una sola visita. Los resultados fueron fantásticos, comparados con la situación inicial.

Antes: La ausencia de los dientes 12 y 22 por agenesia dental y la pérdida ósea provocada por la mala colocación de los primeros implantes acarreaban grandes dificultades a las restauraciones en la región anterior.

Después: Restauraciones de un solo diente muy estéticas con implantes y coronas anteriores fabricadas en clínica.

Dr. Fernando Peixoto Soares

São Paulo, Brasil


Segundo premolar superior

Colocación de implante Astra Tech y corona individual IPS e.max CAD 

Un paciente de 36 años acudió a nuestra clínica cuatro meses después de la extracción del diente 15 para cerrar con un implante el hueco dental que le quedó. Seis meses después de la cirugía guiada, el paciente presentaba buena salud gingival y ósea.

Antes: Ausencia del diente 15 por fractura longitudinal. El paciente quería cerrar el hueco dental que tenía.

Después: Una corona de cerámica de vidrio de alta calidad que hace posible una restauración muy estética y estable a largo plazo.

Dr. Andreas Bindl

Zúrich, Suiza


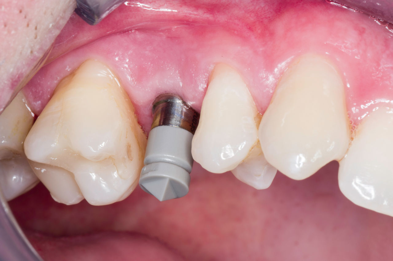
Primer premolar superior en 90 minutos

Colocación de implante Ankylos y corona individual IPS e.max CAD 

En 90 minutos se fabricaron y colocaron las prótesis finales después de un tratamiento de implantes, gracias al flujo de trabajo digital en clínica con CEREC. El paciente quedó muy satisfecho.

Antes: Diente 24 con fractura radicular horizontal e infección periférica.

Después: Preservación de la estética y el contorno natural de los tejidos blandos.

Dr. Carlos Repullo

Sevilla, España

Contacta con nosotros

Solicita información sobre nuestras soluciones CAD/CAM y nuestro sistema CEREC de Dentsply Sirona.