Descubra cómo la tecnología de impresión 3D puede simplificar, acelerar y deleitar su trabajo. Utilizando casos clínicos, sus colegas demuestran el valor agregado de Primeprint en la práctica diaria y las tareas de laboratorio. Como dentista, notará lo siguiente: Sus pacientes están impresionados por la tecnología moderna y aprecian la experiencia de la odontología a un alto nivel. Además: los técnicos dentales que utilizan tecnología de impresión 3D pueden indicar también a sus socios de práctica que su enfoque en el laboratorio está en la fabricación digital.

Guía impresa en 3D para implantología

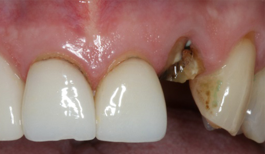
Un hombre de 62 años se presentó en mi consultorio con un diente número 10 fracturado y no restaurable. Planeamos un solo implante con una guía quirúrgica y un puente provisional, ambos fabricados con Primeprint. La cirugía se completó en 20 minutos y nos llevó 10 minutos unir el puente provisional.

Antes: Situación inicial con un diente no restaurable fracturado número 10

Uso: Colocación de la guía quirúrgica impresa en 3D con material guía Primeprint con un ajuste excelente

Después: Colocación del puente de Maryland de una ala impreso en 3D con material Primeprint Temp como restauración provisional

Dr. Dan Butterman

Centennial, EE. UU.

Modelo de impresión 3D con troqueles para la renovación de dientes anteriores

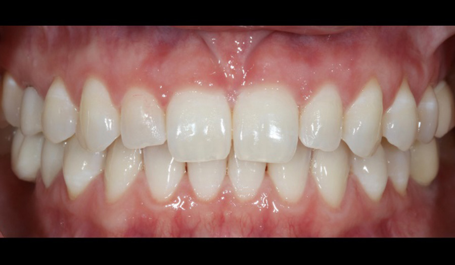
Una mujer de 47 años se presentó en mi consultorio preocupada por seis coronas de zirconia anteriores que le habían colocado recientemente en otra clínica. La eficiencia y facilidad de uso de Primeprint™ Solution me permite imprimir rápidamente modelos el mismo día del tratamiento, lo que me permite presentar una vista previa del tratamiento al paciente antes de la producción final con CEREC Primemill.

Antes: Situación bucal inicial con asimetría significativa de los labios al sonreír

Uso: Modelo impreso en 3D con muñones eliminados fabricados con material Primeprint Model

Después: Restauración final 

Dr. Mike Skramstad

Orono, EE. UU.

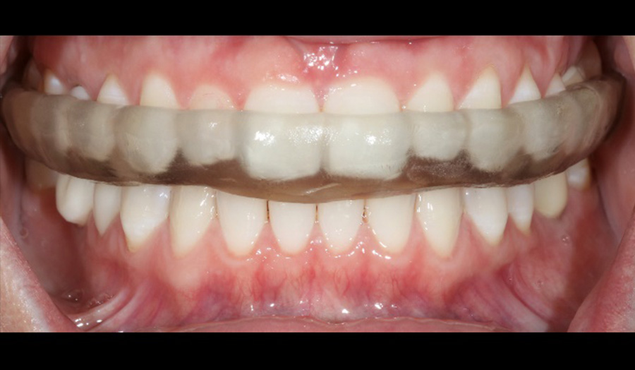
Modelo de impresión 3D Férula contra el bruxismo nocturno

Un hombre de 34 años se presentó en mi consultorio, con síntomas de bruxismo nocturno, y expresó que tenía dolor y molestias musculares. Decidimos que usar un protector bucal extraíble por la noche minimizaría el desgaste de su dentición.

Antes: Situación oral inicial con síntomas de

bruxismo nocturno

Uso: Finalización del objeto a imprimir

Después: Férula impresa en 3D desmontable fabricada con material Primeprint Splint

Dr. Meena Barsoum

Arlington Heights, EE. UU.

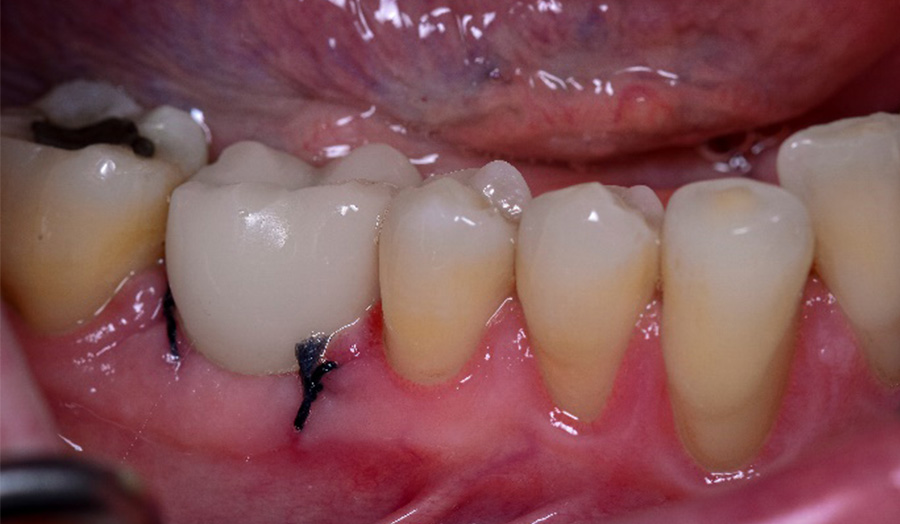
Modelo de impresión 3D guía quirúrgica para implantología y restauración provisional impresa en 3D

Un paciente masculino de 58 años se presentó en mi clínica con un diente faltante en el área 30 para restaurar la función de masticación natural y preservar la estructura dental sana. El espacio debía ser restaurado con un implante y una corona de cerámica. Se planificó y se implementó el tratamiento de manera digital.

Antes: Situación oral inicial del diente faltante

Uso: Guía quirúrgica impresa en 3D fabricada con material Primeprint Guide

Después: Restauración provisional impresa en 3D con material Primeprint Temp (primera comparación) y restauración final (segunda comparación)

Dr. Gerd Frahsek

Velbert, Alemania

Modelo de impresión 3D cubeta de impresión individual

Se tenía que fabricar una prótesis dental removible altamente estética, sin elementos de retención visibles, para una paciente mujer de 73 años con pocos dientes restantes que anteriormente usaba una prótesis dental moldeada. Se sentía insatisfecha con las impresiones convencionales hasta el momento y quería evitarlas. La tarea era reducir al mínimo las impresiones requeridas. 

Antes: Situación inicial de un modelo digital de la mandíbula del paciente

Uso: Cubeta de impresión impresa en 3D en un modelo impreso en 3D, fabricada con material Primeprint Tray y Primeprint Model

Cristiano Schuchmann

Darmstadt, Alemania

Contáctenos

Obtenga más información sobre Primeprint™ Solution de Dentsply Sirona.