Apprenez-en davantage sur l’ensemble de sécurité Windows 11 de Dentsply Sirona pour continuer à assurer la sécurité et la compatibilité de vos appareils Dentsply Sirona.
Ensemble de sécurité Windows 11 En savoir plus
Rejoignez-nous pour un événement créé exclusivement pour les orthodontistes et leur équipe. Découvrez une formation clinique immersive, des parcours de formation animés par des experts et des flux de travail numériques concrets. Rencontrez vos pairs et découvrez de nouvelles opportunités pour améliorer votre pratique et renforcer les compétences de votre équipe.
Notre stratégie de développement durable est fondamentale pour notre mission et toutes nos actions en tiennent compte.
Solution TruNatomy
TruNatomy est une solution endodontique complète offrant les avantages suivants :
Dans ce recueil de témoignages, des cliniciens partagent leurs expériences avec la solution TruNatomy. Des cas simples2 aux plus complexes3, TruNatomy est une solution qui assiste les cliniciens dans leur pratique quotidienne.
"Une réussite centrée sur le patient et le processus." - Dr. Cowie
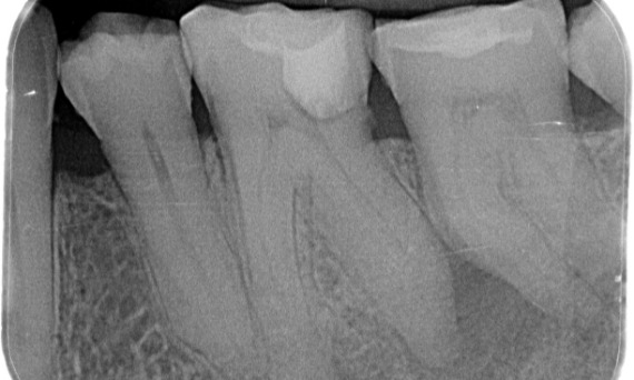
Avant : Présence d’une radioclarté périapicale principalement liée à la racine distale et perte de lamina dura sur la racine mésiale.
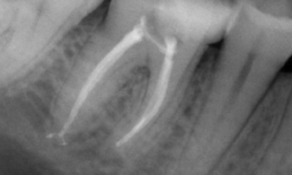
Après : La TruNatomie a été choisie dans ce cas pour permettre une approche avec levier de carie et pour se concentrer sur la préservation de la dentine péricervicale, en particulier sur l’aspect mésial où la dent avait une restauration plus minimale.
Bath, Royaume-Uni
"J’ai choisi TruNatomy afin de préserver autant de dentine que possible pour surmonter la charge occlusale et augmenter la longévité de la dent." - Dr. Abuelezz
Avant : Une lésion carieuse a été observée sur la première molaire inférieure droite. L’examen radiographique a révélé la proximité de la lésion avec la corne pulpaire et, en l’associant au motif de la consultation, on a conclu qu’il s’agissait d’une pulpite chronique irréversible.
Après : La cavité d’accès a été réalisée de façon aussi prudente que possible. La solution TruNatomy a été choisie en raison de l’âge du jeune patient. Nous devions préserver la dentine autant que possible afin d’augmenter la capacité de la dent à surmonter la charge occlusale et d’accroître la longévité de la restauration finale.
Caire, Égypte
En savoir plus sur nos produits et solutions d’endodontie.
1 Comparativement à ProTaper Next.
2 Dr Filippo Santarcangelo (S. 8 - Cas cliniques et témoignages PDF)
3 Dr Jonathan Cowie (S. 12 - Cas cliniques et témoignages PDF)
© 2026 - Dentsply Sirona, Inc. Tous droits réservés