Découvrez comment la technologie de l’impression 3D peut simplifier, accélérer et enrichir votre travail. En présentant des cas cliniques, des dentistes démontrent la valeur ajoutée de Primeprint dans la pratique quotidienne et les tâches de laboratoire. En tant que dentiste, vous remarquerez les points suivants : Vos patients sont impressionnés par la technologie moderne et apprécient l’expérience de la dentisterie de pointe. Les techniciens dentaires qui utilisent la technologie d’impression 3D peuvent également indiquer à leurs partenaires de cabinet que leur objectif principal dans le laboratoire est la fabrication numérique.

Guide d’implantologie imprimé en 3D

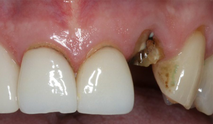
Un homme de 62 ans s’est présenté à mon cabinet avec une dent n° 10 fracturée ne pouvant pas être restaurée. Nous avons prévu un implant unique avec un guide chirurgical et un bridge temporaire, tous deux fabriqués avec Primeprint. L’intervention a été réalisée en 20 minutes, et il nous a fallu 10 minutes pour lier le bridge temporaire.

Avant : Situation initiale avec une dent n° 10 fracturée ne pouvant pas être restaurée

Utilisation : Mise en place du guide chirurgical imprimé en 3D avec le matériau de Primeprint Guide pour un ajustement adapté

Après : Mise en place du bridge Maryland à une aile imprimé en 3D avec le matériau Primeprint Temp comme restauration temporaire

Dr Dan Butterman

Centennial, États-Unis

Modèle imprimé en 3D avec matrices creuses pour le renouvellement antérieur des dents

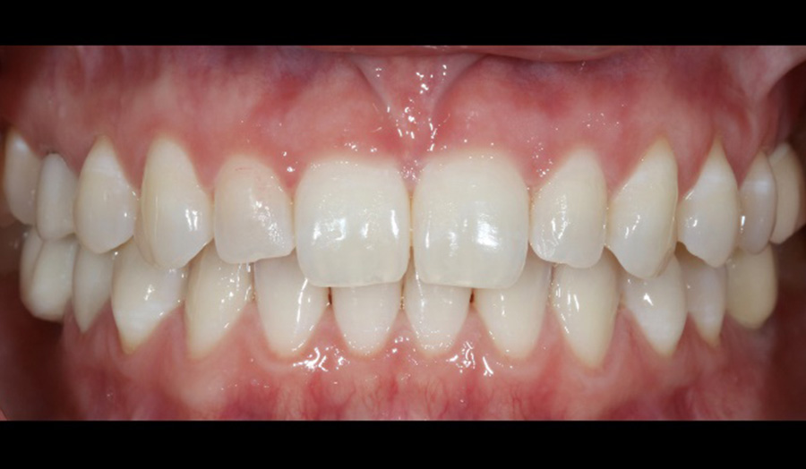
Une femme de 47 ans s’est présentée à mon cabinet avec des inquiétudes concernant six couronnes antérieures en zircone récemment réalisées dans un autre cabinet. L’efficacité et la facilité d’utilisation de la solution Primeprint me permettent d’imprimer rapidement des modèles le même jour du traitement, et donc de présenter un aperçu du traitement au patient avant la production finale avec CEREC Primemill.

Avant : Situation orale initiale avec asymétrie importante des lèvres lorsque la patiente souriait

Utilisation : Modèle imprimé en 3D avec matrices tranchées fabriquées avec le matériau Primeprint Model

Après : Restauration d’usage 

Dr. Mike Skramstad

Orono, États-Unis

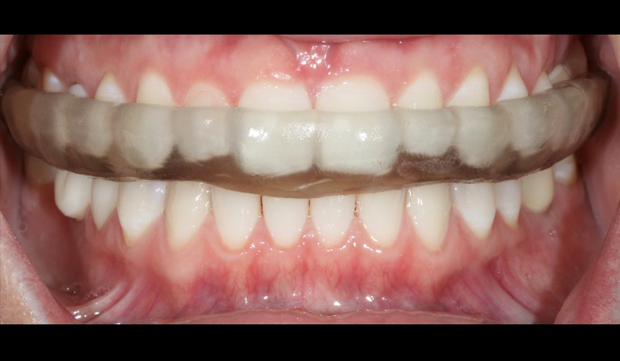
Modèle imprimé en 3D gouttière contre le bruxisme nocturne

Un homme de 34 ans s’est présenté à mon cabinet, avec des symptômes de bruxisme nocturne et des douleurs musculaires. Nous avons décidé que porter un protège-dents amovible la nuit minimiserait l’usure de sa dentition.

Avant : Situation orale initiale avec symptômes de

bruxisme nocturne

Utilisation : Finalisation de l’objet à imprimer

Après : Gouttière amovible imprimée en 3D, fabriquée avec le matériau Primeprint Splint

Dr Meena Barsoum

Arlington Heights, États-Unis

Modèle imprimé en 3D guide chirurgical imprimé en 3D pour l’implantologie et la restauration temporaire

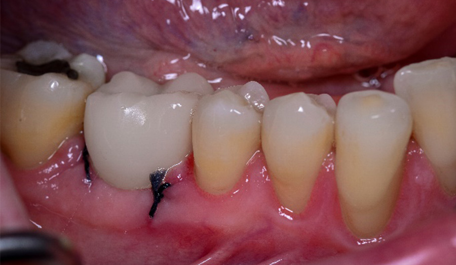
Un patient de 58 ans s’est présenté à mon cabinet avec une dent n° 30 manquante et le besoin de restaurer la fonction de mastication naturelle tout en préservant une structure dentaire saine. L’espace devait être comblé avec un implant et une couronne en céramique. J’ai planifié et mis en œuvre le traitement numériquement.

Avant : Situation orale initiale de dent manquante

Utilisation : Guide chirurgical imprimé en 3D, fabriqué avec le matériau Primeprint Guide

Après : Restauration temporaire imprimée en 3D avec le matériau Primeprint Temp (première comparaison) et restauration finale (deuxième comparaison)

Dr. Gerd Frahsek

Velbert, Allemagne

Modèle imprimé en 3D Porte-empreinte individuel

Une prothèse dentaire amovible hautement esthétique sans éléments de rétention visibles devait être fabriquée pour une patiente de 73 ans avec peu de dents restantes, qui portait auparavant une prothèse de modèle moulée. Elle ne se sentait pas satisfaite des impressions conventionnelles jusqu’à présent et voulait les éviter. La tâche consistait à réduire au minimum les impressions requises. 

Avant : Situation initiale d’un modèle numérique de la mandibule de la patiente

Utilisation : Porte-empreinte imprimé en 3D sur un modèle imprimé en 3D, fabriqué avec les matériaux Primeprint Tray et Primeprint Model

Christian Schuchmann

Darmstadt, Allemagne

Contactez-nous

En savoir plus sur la solution Primeprint de Dentsply Sirona.