Per mezzo di questi casi clinici, i colleghi dimostrano l’ampia gamma di indicazioni applicabili a CEREC, dai restauri a visita singola alle sfide altamente estetiche e alla riabilitazione orale completa.

Lasciati ispirare e sperimenta come questa tecnologia intelligente e sofisticata possa supportare il tuo lavoro per rendere l’esperienza di trattamento per te e per i tuoi pazienti migliore, più sicura e più veloce.

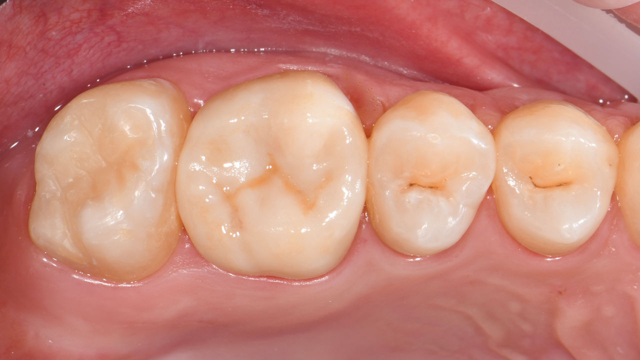
Primo molare superiore in 90 minuti 

Una corona in CEREC Tessera

Il restauro del primo molare superiore in una singola visita è stato possibile grazie all’efficiente flusso di lavoro CEREC con CEREC Primemill e CEREC SpeedFire. Il paziente è stato estremamente soddisfatto del breve tempo di trattamento e del risultato estetico.

Prima: Il primo molare superiore era stato restaurato con un’otturazione in composito estesa ma insufficiente, che presentava già fratture visibili.

Dopo: Restauro realizzato chairside con una ceramica avanzata a base di disilicato di litio, CEREC Tessera.

Dott. Shivi Gupta

San Diego, Stati Uniti


Primo molare superiore in 100 minuti

Un inlay in CEREC Tessera

Il restauro chairside in un’unica visita si è rivelato una soluzione particolarmente efficace e confortevole per questa paziente, poiché il suo tragitto fino allo studio era di 50 chilometri. È stato possibile realizzare un inlay altamente estetico con CEREC Tessera.

Prima: Restauro in ceramica fratturata realizzato con vetroceramica rinforzata con leucite dopo un tempo di servizio clinico di 12 anni.

Dopo: Restauro realizzato chairside in ceramica CEREC Tessera disilicata al litio avanzata.

Dott. Sven Rinke

Hanau, Germania


Secondo premolare superiore in 90 minuti

Corona in zirconia CEREC MTL 

Il paziente era molto soddisfatto del trattamento di conservazione dei denti in una singola visita. La corona realizzata in zirconia CEREC MTL offre un’elevata resistenza e un’estetica molto piacevole.

Prima: Una grande lesione mesiale cariosa sul dente 15. Il dente mostrava parodontite apicale asintomatica e una perdita significativa della struttura dentale.

Dopo: Restauro chairside in zirconia CEREC MTL progettato utilizzando la funzione individuale Biogeneric nel software CEREC. 

Dott.ssa Cecilie Terjesen

Arendal, Norvegia


Riabilitazione del quadrante

Due corone CEREC Tessera e due inlay 

In un’unica visita di quattro ore è stato eseguito il restauro di due corone e due intarsi, che avevano 15 anni. La paziente è rimasta molto soddisfatta dell’ottimo risultato estetico.

Prima: Otturazioni insufficienti nel secondo quadrante. I restauri avevano circa 15 anni.

Dopo: Corone realizzate chairside in CEREC Tessera (denti 26/27). Inlay per denti 24 e 25 realizzati con blocchetti in composito.

Dott. Andreas Bindl

Zurigo, Svizzera


Secondo premolare superiore in 60 minuti

Una corona singola CAD IPS e.max 

La velocità dell’intero flusso di lavoro protesico è stata incredibile: la preparazione, la fabbricazione e la cementazione del restauro, hanno richiesto solo 57 minuti. Il paziente era molto soddisfatto del breve tempo di trattamento e del risultato estetico piacevole.

Prima: Il dente 25 presentava carie marginale mesiale e distale e porcellana rotta sul PFM esistente.

Dopo: La corona sul dente 25 è stata ricostruita per essere portata più in linea a livello facciale e incisionale con l’arcata.

Dott. Frank Clark Brown

Melbourne, Stati Uniti


Primo molare superiore in 60 minuti

Corona singola CAD IPS e.max

Il caso clinico dimostra come CEREC Primemill consente di fabbricare chairside una corona in vetroceramica su tutta la superficie in un’unica sessione, in modo efficace e veloce, soddisfacendo al contempo le più elevate esigenze estetiche.

Prima: Ampia insufficienza dell’otturazione in composito sul dente 16 con crepe nella cresta marginale distale, incrinature della parete linguale e carie ricorrente distale.

Dopo: Corona in vetroceramica su tutta la superficie altamente estetica.

Dott.ssa Karyn M. Halpern DMD, MS

New York, Stati Uniti


Primo molare superiore in 75 minuti

Corona singola CAD IPS e.max

Una scansione rapida e molto accurata, un software di progettazione gestibile e intuitivo, combinato con un’unità di fresaggio e rettifica che completa un restauro in pochi minuti, consentono un significativo aumento dell’efficienza e una maggiore soddisfazione del paziente con il mio studio.

Prima: Dente 26 che presenta carie e un restauro diretto in composito che si sta rompendo.

Dopo: Corona in ceramica in disilicato di litio altamente estetica e funzionale.

Dott. Dan Butterman

Centennial, Stati Uniti


Secondo premolare inferiore in 90 minuti

Corona singola Katana Zirconia STML

Il restauro di questo premolare era molto idoneo al trattamento chairside con zirconia e ha richiesto solo circa 90 minuti in totale. Siamo stati in grado di utilizzare zirconia a contorno completo grazie all’ampia gamma di tonalità disponibili, ottenendo risultati soddisfacenti per i requisiti estetici.

Prima: Dente 45 con decolorazione, conseguenza di un precedente trattamento del canale radicolare.

Dopo: Corona in zirconia traslucida con finitura personalizzata.

Dott.ssa Gertrud Fabel

Monaco, Germania


Primo molare superiore in 90 minuti

Corona singola Katana Zirconia STML

CEREC Primemill non solo velocizza l’appuntamento, ma anche la versatilità nelle strategie di fresaggio. In questo caso abbiamo scelto la modalità di fresaggio Extra Fine per ottenere la massima estetica e attenzione ai dettagli.

Prima: Corona in metallo-ceramica fratturata sul dente 14, precedentemente trattata con endodonzia.

Dopo: Corona in zirconia traslucida per un risultato estetico con massima resistenza e forma di ritenzione.

Dott. Mike Skramstad

Orono, Stati Uniti

Incisivi centrali superiori in 4 ore

Quattro corone singole CAD IPS e.max

Il restauro con corone interamente in ceramica non ha richiesto la preparazione sottogengivale per coprire il margine e nessuna ombra metallica scura ha disturbato l’estetica. Con CEREC Primescan e CEREC Primemill, i pazienti ricevono un restauro interamente in ceramica di alta qualità più velocemente che mai.

Prima: Otturazioni inadeguate sui denti 12-22, una linea gengivale irregolare sui denti 12 e 11 e bordi incisali gravemente erosi.

Dopo: Quattro corone in ceramica in disilicato di litio altamente estetiche e personalizzate.

Claudia Scholz

Kiel, Germania


Riabilitazione del quadrante in 2 sessioni

Dieci corone singole VITA Suprinity PC

La paziente voleva un bel sorriso. Poiché i denti da 15 a 25 sono tutti visibili, è stata presa la decisione di utilizzare una ceramica altamente estetica per tutti i 10 denti. Grazie all’estesa consultazione e all’implementazione con una simulazione, il restauro è stato effettuato in due sessioni con CEREC.

Prima: Paziente, insoddisfatta del suo sorriso a causa dello scolorimento dei denti.

Dopo: Dieci corone singole altamente estetiche, personalizzate con macchie.

Dott. Daniel Vasquez

San Diego, Stati Uniti

Incisivi laterali superiori in 180 minuti

Posizionamento dell’impianto Ankylos e due corone CELTRA DUO 

Dopo 9 mesi di interventi chirurgici, CEREC mi ha permesso di ripristinare il sorriso della mia paziente in una sola visita. I risultati sono stati fantastici rispetto alla situazione iniziale.

Prima: l’assenza dei denti 12 e 22 dovuta all’agenesi dentale e alla perdita ossea causata dai primi impianti posizionati male ha rappresentato una sfida per i restauri nella regione anteriore.

Dopo: restauri a dente singolo altamente estetici con impianti e corone anteriori fabbricati chairside.

Dr. Fernando Peixoto Soares

San Paolo, Brasile


Secondo premolare superiore

Posizionamento dell’impianto Astra Tech e corona singola CAD IPS e.max 

Un paziente di 36 anni si è recato presso il nostro studio quattro mesi dopo l’estrazione del dente 15 per chiudere lo spazio vuoto risultante con un impianto. Sei mesi dopo la chirurgia guidata, il paziente presentava condizioni gengivali e ossee sane.

Prima: assenza del dente 15 dovuta a una frattura longitudinale. Il paziente voleva chiudere lo spazio vuoto risultante.

Dopo: una corona in vetroceramica di alta qualità che fornisce un restauro altamente estetico e stabile a lungo termine.

Dott. Andreas Bindl

Zurigo, Svizzera


Primo premolare superiore in 90 minuti

Posizionamento dell’impianto Ankylos e corona singola CAD IPS e.max 

Entro 90 minuti sono state prodotte e posizionate le protesi finali dopo un trattamento implantare, grazie al flusso di lavoro digitale chairside con CEREC. Il paziente ne era molto soddisfatto.

Prima: Dente 24 con frattura della radice orizzontale e infezione periferica.

Dopo: Conservazione dell’estetica e del contorno naturale dei tessuti molli.

Dott. Carlos Repullo

Siviglia, Spagna

Contattaci

Contattaci Per saperne di più sulle nostre soluzioni CAD/CAM e sul nostro sistema CEREC di Dentsply Sirona, richiedi informazioni sui prodotti.