Chiamaci o fornisci i tuoi recapiti qui sotto e un rappresentante di Dentsply Sirona ti contatterà a breve.
Axeos: l’unità 2D/3D più versatile con un ampio campo visivo e un’eccezionale qualità dell’immagine per studi con un ampio spettro di trattamenti. Sviluppato insieme a dentisti e medici, Axeos offre la gamma più completa di funzioni tra tutti i dispositivi radiografici extraorali Dentsply Sirona. Oltre all’eccellente qualità dell’immagine e alle dimensioni del volume 3D personalizzabile, il dispositivo radiografico dentale è completamente ottimizzato per un maggiore comfort del paziente. Axeos non solo offre qualità in termini di prestazioni e comfort, ma grazie all’armadietto per accessori integrato e alla luce ambientale ha anche un design pluripremiato.
Benefici
Numerose dimensioni del volume garantiscono flessibilità nella pratica quotidiana. Esaminare un’area precisa o valutare la dentizione completa, comprese le ATM
Con la modalità Low dose intelligente si ottengono immagini 3D nell’intervallo di dosaggio di una radiografia 2D. In modalità HD (fino a 1.400) le singole immagini vengono acquisite durante un’unica rotazione e convertite in un volume 3D fino a 80 μm per immagini a bassa rumorosità ad alta risoluzione
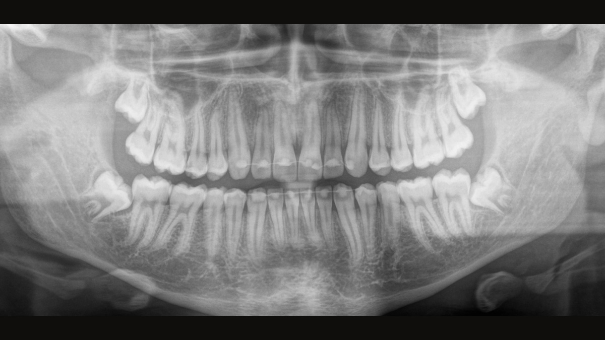
Per immagini panoramiche eccezionali con elevata nitidezza. È possibile scegliere un braccio cefalometrico destro o sinistro opzionale che può essere installato in qualsiasi momento
Connettività a PACS, RIS, DICOM Worklist e stampanti DICOM. Immagini radiografiche secondo lo standard DICOM
Con EasyPad e autoposizionatore per immagini di alta qualità, facile riproducibilità e comfort per il paziente e l’assistente
Per una comoda conservazione degli accessori del bite block, l’armadietto integrato è dotato di illuminazione interna ed è a portata di mano dell’operatore
Per flussi di lavoro efficienti e tempi di attesa ridotti. La regolazione intelligente dell’altezza imposta automaticamente il dispositivo radiografico all’altezza del singolo paziente in base alle impostazioni memorizzate dalle visite precedenti
Quando si cerca di acquisire una radiografia medica o dentale di qualità, vi è un conflitto fondamentale in corso. Da un lato, si desidera fare tutto il necessario per ottenere la massima qualità dell’immagine, dall’altro, la dose di radiazioni deve essere la più bassa ragionevolmente possibile per il paziente. In Dentsply Sirona ci impegniamo a offrire prodotti che garantiscano un’eccezionale qualità dell’immagine, supportando al contempo pratiche sicure ed etiche. Quando sviluppiamo i nostri prodotti, osserviamo il principio ALARA valido a livello internazionale (il più basso ragionevolmente possibile).
Low dose intelligente
Grazie alla modalità ottimizzata a basso dosaggio con un filtro dedicato, la radiografia di strutture dense, come le ossa, è possibile a una dose notevolmente ridotta. Ciò rende il Low dose intelligente un’opzione interessante ed efficiente per molte situazioni cliniche. Che si tratti di ortodonzia o implantologia, con le soluzioni Dentsply Sirona troverai l’impostazione ottimale per ogni caso.
Il sensore a conversione diretta (DCS) ha rivoluzionato lo standard della radiologia panoramica. I raggi X vengono convertiti direttamente in segnali elettrici. Pertanto, non vi è alcuna perdita di segnale a causa della conversione della luce, come nel caso dei sistemi convenzionali. Il risultato: immagini con un alto livello di nitidezza e contrasto, anche a una dose di radiazioni estremamente bassa. Per informazioni diagnostiche accurate a supporto del trattamento mirato.
L’immagine seguente mostra una radiografia panoramica con e senza tecnologia DCS. Utilizzando la freccia, trascinare il controllo attraverso l’immagine per vedere la differenza che fa il sensore di conversione diretta rispetto alla qualità dell’immagine e alle possibilità diagnostiche.
La giusta messa a fuoco è fondamentale per eccellenti radiografie panoramiche. Con la funzione di autofocus si ottiene automaticamente un’immagine a fuoco con la migliore nitidezza possibile. I dispositivi radiografici Dentsply Sirona acquisiscono diverse migliaia di singole immagini in un solo ciclo e identificano automaticamente le aree in cui la mascella è posizionata in modo ottimale. Senza ulteriori passaggi manuali, queste immagini vengono quindi visualizzate in un’immagine finale nitida.
Solo alcune parti dell’immagine sono a fuoco, mentre altre aree sono sfocate.
Il sistema rileva le aree pertinenti da diverse migliaia di singole immagini in un solo ciclo e identifica automaticamente le aree in cui la mascella è posizionata in modo ottimale.
Immagini nitide.
Axeos è dotato di una luce ambientale che illumina l’unità e crea un ambiente rilassante per rendere l’esperienza del tuo paziente il più piacevole possibile: più di 35 colori tra cui scegliere che si integrano perfettamente con l’aspetto moderno del tuo studio.
I requisiti seguono quelli dei software di elaborazione delle immagini Sidexis 4 e Axeos. Per ulteriori dettagli, consulta i requisiti di sistema di Sidexis 4 e i requisiti di installazione di Axeos.
I dispositivi radiografici 3D Dentsply Sirona funzionano esclusivamente con Sidexis 4. Tuttavia, la migrazione dei dati da Sidexis XG a Sidexis 4 è molto semplice. Sidexis 4 offre l’esperienza digitale completa con gli strumenti più recenti.
Orthophos S 2D consente il passaggio a 3D. Axeos è un dispositivo radiografico ibrido. Orthophos E non offre questa opzione.
Ulteriori download sono disponibili nel nostro Centro download.