Chiamaci o fornisci i tuoi recapiti qui sotto e un rappresentante di Dentsply Sirona ti contatterà a breve.
Il dispositivo radiografico 2D/3D di alta qualità con una gamma completa di servizi per ogni studio. Che si tratti di un dispositivo 2D puro o comprensivo di un modulo 3D, Orthophos S è un partner affidabile e ottimizzato per le attività quotidiane. Il sensore CsI Plus con funzione di messa a fuoco automatica assicura immagini chiare, anche in casi anatomicamente difficili. Il posizionamento automatico del paziente insieme al morso occlusale brevettato consente un posizionamento del paziente facile e rapido. Per l’uso in ortodonzia, Orthophos S è disponibile anche con un braccio cefalometrico opzionale. E poiché la protezione dal futuro è importante per Dentsply Sirona, il braccio cefalometrico può essere installato in qualsiasi momento.
Benefici
Anche in casi anatomicamente difficili con il sensore 2D CsI con funzione di autofocus
Da Ø 5 cm x 5,5 cm a 8 cm x 8 cm o opzionale fino a 11 cm x 10 cm
Il braccio cefalometrico può essere aggiunto sul lato destro o sinistro del dispositivo radiografico e ordinato al momento dell’acquisto o installato in qualsiasi momento
Grazie al posizionamento automatico del paziente con il morso occlusale brevettato
Con la modalità 3D Low dose intelligente si ottengono immagini 3D nell’intervallo di dosaggio di una radiografia 2D. In modalità HD (fino a 1.400) le singole immagini vengono acquisite durante un’unica rotazione e convertite in un volume 3D fino a 80 μm per immagini a bassa rumorosità ad alta risoluzione.
Con supporti motorizzati per tempie e frontali, misurazione automatica della larghezza delle aste, localizzatori leggeri e impugnature integrate per una maggiore stabilità di posizionamento
La maggior parte degli studi utilizza un dispositivo radiografico con due obiettivi principali in mente: Acquisire la migliore immagine possibile per supportare una diagnosi accurata e precisa e garantire che il paziente si senta a proprio agio durante il processo. Orthophos S offre soluzioni uniche e brevettate per supportare entrambi questi obiettivi con:
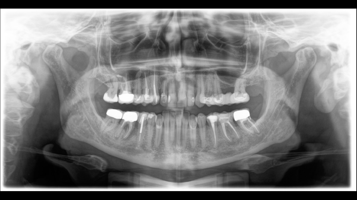
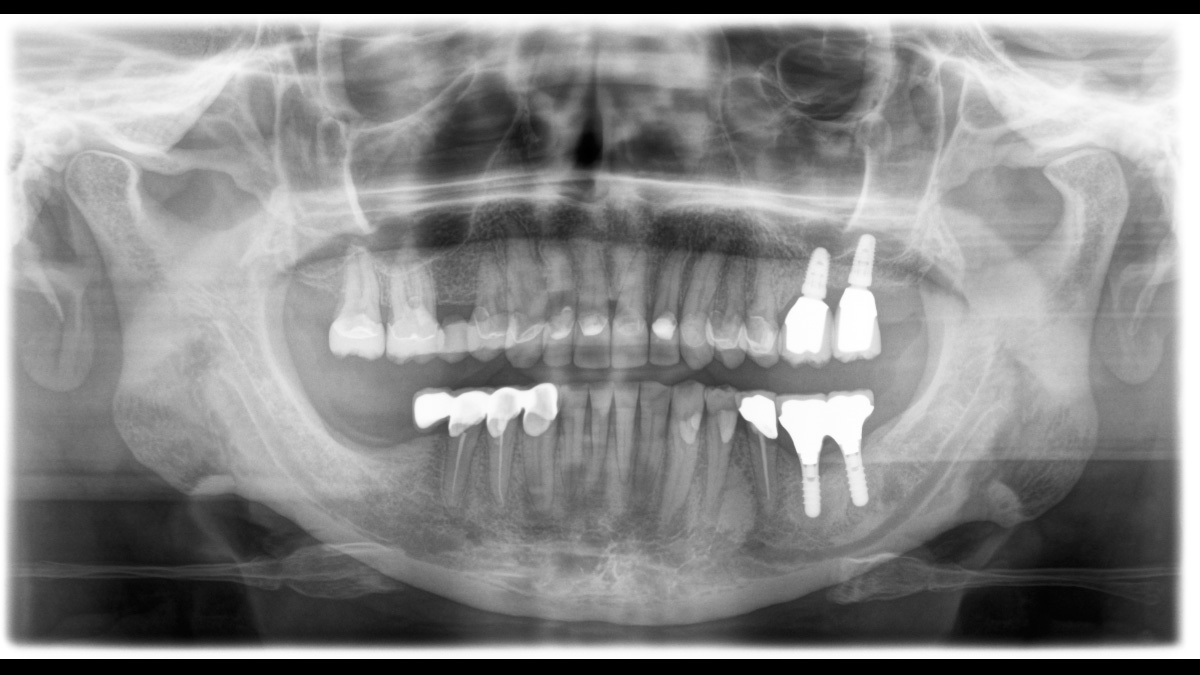
La giusta messa a fuoco è fondamentale per eccellenti radiografie panoramiche. Con la funzione di autofocus si ottiene automaticamente un’immagine a fuoco con la migliore nitidezza possibile. I dispositivi radiografici Dentsply Sirona acquisiscono diverse migliaia di singole immagini in un solo ciclo e identificano automaticamente le aree in cui la mascella è posizionata in modo ottimale. Senza ulteriori passaggi manuali, queste immagini vengono quindi visualizzate in un’immagine finale nitida.
Solo alcune parti dell’immagine sono a fuoco, mentre altre aree sono sfocate.
Il sistema rileva le aree pertinenti da diverse migliaia di singole immagini in un solo ciclo e identifica automaticamente le aree in cui la mascella è posizionata in modo ottimale.
Immagini nitide.
Un’ampia gamma di dimensioni del volume per soddisfare le varie esigenze diagnostiche e cliniche da Ø 5 x 5,5 cm a Ø 11 x 10 cm
I requisiti seguono quelli dei software di elaborazione delle immagini Sidexis 4 e Orthophos S. Per ulteriori dettagli, si vedano i requisiti di sistema di Sidexis 4 e i requisiti di installazione di Orthophos S.
I dispositivi radiografici Dentsply Sirona funzionano esclusivamente con Sidexis 4. Tuttavia, la migrazione dei dati da Sidexis XG a Sidexis 4 è molto semplice. Sidexis 4 offre l’esperienza digitale completa con gli strumenti più recenti
Orthophos S 2D consente il passaggio a 3D. Axeos è un dispositivo radiografico ibrido. Orthophos E non offre questa opzione.
Ulteriori download sono disponibili nel nostro Centro download.